Dc.Petrov Опубликовано 11 февраля, 2015 Поделиться Опубликовано 11 февраля, 2015 Доброго дня! Подскажите, пжста, плюсы и минусы методики и прогноз конкретно приведенного случая Ссылка на комментарий
Чертков Александр Опубликовано 11 февраля, 2015 Поделиться Опубликовано 11 февраля, 2015 С какой целью вообще выполнена эта операция? Минусы я полагаю Вы и сами видите. 5 Ссылка на комментарий
syrovovec Опубликовано 11 февраля, 2015 Поделиться Опубликовано 11 февраля, 2015 А для чего это делалось? Ссылка на комментарий
johniola Опубликовано 11 февраля, 2015 Поделиться Опубликовано 11 февраля, 2015 отработка методы 3 Ссылка на комментарий
kriokov Опубликовано 11 февраля, 2015 Поделиться Опубликовано 11 февраля, 2015 Подскажите, пжста, плюсы и минусы методики и прогноз конкретно приведенного случая если при улыбка не нижняя то можно так делать при широкой уздечке нижней губы прикрепленной к вершине гребня.А , что здесь с прогнозом? Заплатка да заплатка, так и останется 1 Ссылка на комментарий
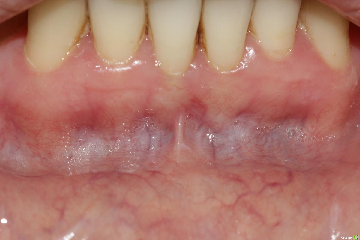
Dc.Petrov Опубликовано 11 февраля, 2015 Автор Поделиться Опубликовано 11 февраля, 2015 С какой целью вообще выполнена эта операция? увеличение ЗПКД, профилактика рецессии, при улыбке не видно Ссылка на комментарий
Dc.Petrov Опубликовано 11 февраля, 2015 Автор Поделиться Опубликовано 11 февраля, 2015 Минусы я полагаю Вы и сами видите. [/quote Вы имеете ввиду отличие по цвету? Ссылка на комментарий
Чертков Александр Опубликовано 11 февраля, 2015 Поделиться Опубликовано 11 февраля, 2015 (изменено) увеличение ЗПКД, профилактика рецессии, при улыбке не видноЕсть более "эстетичные" и менее инвазивные способы. Рецессии?...Где? Я бы такой уровень уздечки даже и не подумал как-то изменять. А если уж очень хочется, то можно было выполнить довольно простую френотомию(эктомию). Минусы я полагаю Вы и сами видите. [/quote Вы имеете ввиду отличие по цвету?Нет, цвет - дело второстепенное, а вот два грубых рубца получили...тем самым, действительно, поспособствовали возможности рецессии. Изменено 11 февраля, 2015 пользователем Чертков Александр Ссылка на комментарий
АнтонТЛТ Опубликовано 11 февраля, 2015 Поделиться Опубликовано 11 февраля, 2015 Надо было просто биотип утолщить 1 Ссылка на комментарий
Владмир Опубликовано 11 февраля, 2015 Поделиться Опубликовано 11 февраля, 2015 Никаких показаний к хирургии нет 6 Ссылка на комментарий
Dr.Aubov Опубликовано 11 февраля, 2015 Поделиться Опубликовано 11 февраля, 2015 Теперь рецессия будет Ссылка на комментарий
SDC Опубликовано 11 февраля, 2015 Поделиться Опубликовано 11 февраля, 2015 Надо было просто биотип утолщитьАнтон, Вы уверены, что биотип просил его утолщить? Ссылка на комментарий
АнтонТЛТ Опубликовано 11 февраля, 2015 Поделиться Опубликовано 11 февраля, 2015 Антон, Вы уверены, что биотип просил его утолщить?ну если только 31, 41 Ссылка на комментарий
Dc.Petrov Опубликовано 12 февраля, 2015 Автор Поделиться Опубликовано 12 февраля, 2015 Никаких показаний к хирургии нет Не согласен, мб на фото не видно, но СДС у 31,41 не более 1-2 мм от края маргинальной десны.При инфильтрации анестетика это особенно очевидно. Условия для рецессий есть. Надо было просто биотип утолщить Согласен вот два грубых рубца получили...тем самым, действительно, поспособствовали возможности рецессии ? Не совсем понял Ваше утверждение. Буду наблюдать в отдаленные сроки. Если Вам интересно продолжу тему с фото через 3, 6, 12 месВсех благодарю за комментарии Ссылка на комментарий
Владмир Опубликовано 12 февраля, 2015 Поделиться Опубликовано 12 февраля, 2015 Не согласен, мб на фото не видно, но СДС у 31,41 не более 1-2 мм от края маргинальной десны.При инфильтрации анестетика это особенно очевидно. Условия для рецессий есть. Согласен ? Не совсем понял Ваше утверждение. Буду наблюдать в отдаленные сроки. Если Вам интересно продолжу тему с фото через 3, 6, 12 месВсех благодарю за комментарииКакие условия для рецессии? Тонкий биотип разве является причиной рецессий? Пациент прожил сколько лет и рецессий нет а тут вдруг должна роявиться 5 Ссылка на комментарий
meznik Опубликовано 15 февраля, 2015 Поделиться Опубликовано 15 февраля, 2015 Господа, кто как чаще делает вестибулопластику на нижней челюсти. Эдлан- Мейхер или СДТ? Ссылка на комментарий
Rafael_Gogyan Опубликовано 16 февраля, 2015 Поделиться Опубликовано 16 февраля, 2015 ИМХО, не было показаний для данной операции Господа, кто как чаще делает вестибулопластику на нижней челюсти. Эдлан- Мейхер или СДТ? понятие "вестибулопластика" существует наверное только в России. Делать его просто так для профилактики не нужно. По Эдлану-Мейхеру мы не получаем прикрепленную кератинизированную десну. А просто углубить преддверие это ничего не значит. При отсутствии ЗПКД как вариант можно СДТ. Но, опять же, применяя увеличение и микрохирургию при рецессиях в области нижних резцов чаще используют туннельные методики. Без рубцов. И заживление более комфортное для пациента. Ссылка на комментарий
Рекомендуемые сообщения
Для публикации сообщений создайте учётную запись или авторизуйтесь
Вы должны быть пользователем, чтобы оставить комментарий
Создать аккаунт
Зарегистрируйте новый аккаунт в нашем сообществе. Это очень просто!
Регистрация нового пользователяВойти
Уже есть аккаунт? Войти в систему.
Войти