aqua1 Опубликовано 8 февраля, 2015 Поделиться Опубликовано 8 февраля, 2015 Добрый день! История моя давняя и до сих пор не решена….Где-то в 2007 году удалили в нижней 5-ке нерв, но зуб иногда «простреливал» при случайном накусывании по ночам. Подозреваю, что неудачное лечение могло быть связано с тем, что немного передержали лекарство, так как врач был в отпуске..Через полгода, в 2008 году на десне между 5 и 6 образовался бугорок, снимок показал воспаление на корне. Так как каналы на снимке были запломбированы хорошо, сказали что нет смысла их перелечивать, и зуб придётся удалить(( Естественно, меня такой поворот не устраивал, зуб был хорошо сохранен, никогда не беспокоил, и лечение кариеса изначально было просто профилактическим, но канал оказался слишком близко... Второй вариант был антибиотики, образовался свищ, а вскоре всё зажило и припухлость полностью спала (хотя на снимке 2009 года ситуация не изменилась).Ни зуб, ни дёсны не беспокоили меня абсолютно до весны 2012 года, когда после ветреной погоды, зуб поныл 2 дня и образовалась даже не припухлость, а затвердевшая дуга вдоль 6-8 зубов. Боли и воспаления не было. Испугавшись, что это будет расти и дальше такими же темпами, поехала в стоматологию, где терапевт отправила меня к хирургу, у которого было 2 варианта – резать или вырывать. На новом снимке никаких изменений опять замечено не было.. Десну разрезали между 5 и 6, гноя не было, потом отёк сошёл, а затвердение нет.В настоящий момент оно особо не беспокоит, только иногда ощущается в челюсти, асимметрии лица тоже вроде не заметно. В 2014 году начала активно лезть полулежачая восьмерка, без боли и воспаления. Затвердевшая дуга на десне начинается под 6-м зубом и плавно уходит за эту 8-ку. По случаю всего этого в январе 2015 сделали панорамный снимок всей этой красоты.Очень нужны ваши советы!1) Обязательно ли удалять эту 5-ку или как её лечить? Сойдет ли затвердение на десне после удаления? Что это вообще может быть?2) Я так понимаю, что 8-ка на удаление. Стоит ли немного подождать, пока она вылезет побольше, чтобы легче её удалить?Заранее спасибо. Прилагаю всю историю в рентгенах, а также фото, как это выглядит сейчас вживую. Ссылка на комментарий
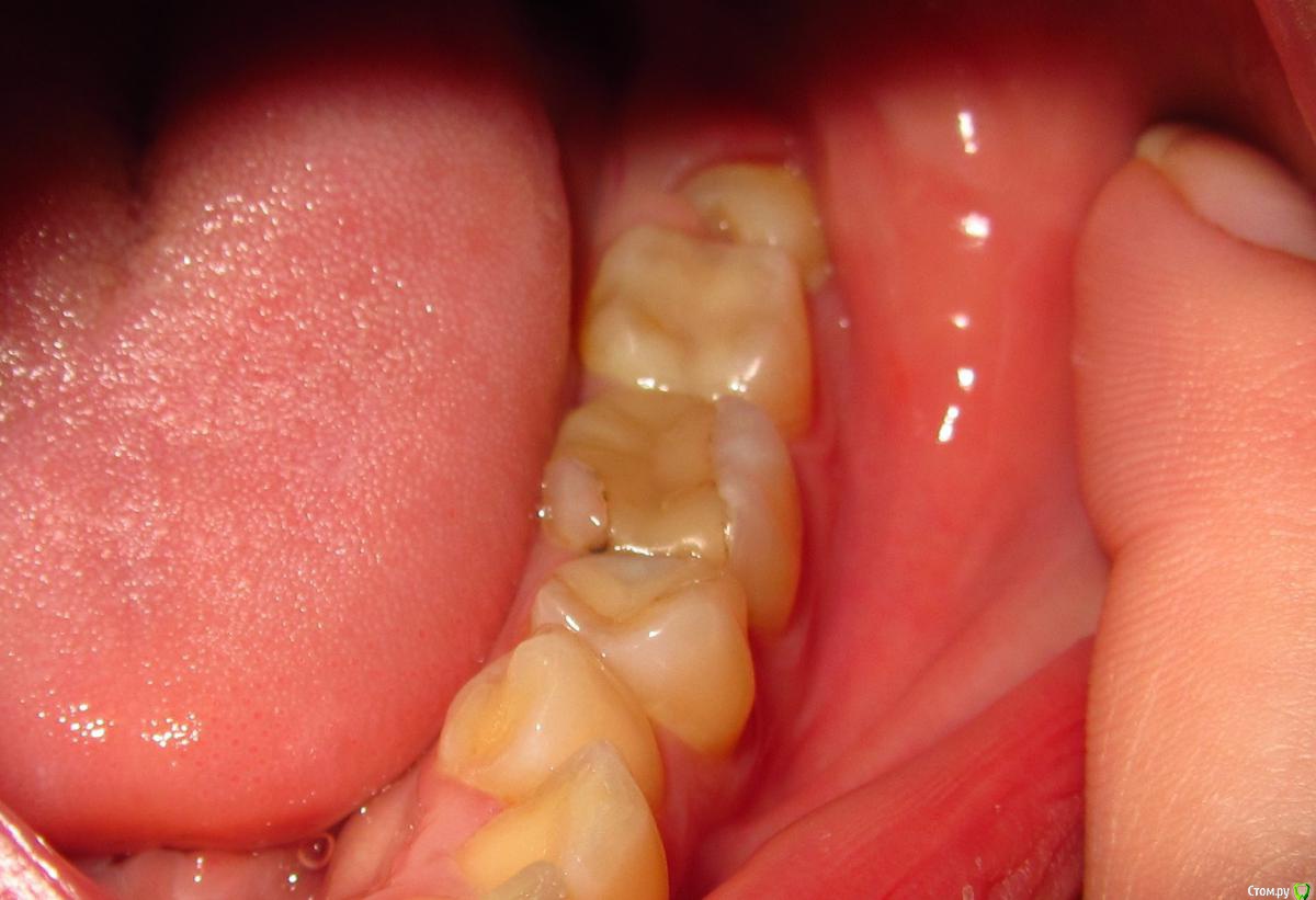
aqua1 Опубликовано 8 февраля, 2015 Автор Поделиться Опубликовано 8 февраля, 2015 (изменено) Разъяснения по снимкам:1) весна 2008 года - начало2) 2009 год3) весна 2012 года - сразу после обострения и появления отвердевшей десны4) свежий снимок 2015 года5) так выглядит зуб мудрости4) зубы и десна в обычном состоянии7) и 8) - изображения отвердевшей дуги на десне вдоль 6, 7 и 8 зубов (т.е. та область, что между зубами и пальцем) Изменено 8 февраля, 2015 пользователем aqua1 Ссылка на комментарий
shishok Опубликовано 8 февраля, 2015 Поделиться Опубликовано 8 февраля, 2015 1)5 обязательно перелечить,2)проверить 6 на витальность(живой или нет),3)восьмой удалять сейчас(побольше он не вырастет). Ссылка на комментарий
aqua1 Опубликовано 8 февраля, 2015 Автор Поделиться Опубликовано 8 февраля, 2015 1)5 обязательно перелечить,2)проверить 6 на витальность(живой или нет),3)восьмой удалять сейчас(побольше он не вырастет).1) Если врач возьмётся перелечить, какой должен быть план лечения? Или достаточно будет распломбировать, прочистить, и снова запломбировать канал (т.е. за одно посещение)?2) 6 вроде живой, не воспалялся, не болел, и нерв не удаляли... А как можно еще проверить? Он у меня седующий на смену пломбы, но пока решила разобраться с 5-кой.3) Может быть, хотя за последние полгода он вылез где-то на треть от теперешнего состояния. Ссылка на комментарий
shishok Опубликовано 8 февраля, 2015 Поделиться Опубликовано 8 февраля, 2015 1)план лечения определяет лечащий врач(возможно и в одно и в два посещения),2)то ,что 6 не болел-не показатель.Доктор знает как проверить,не беспокойтесь.3)откладывая удаление 8,Вы ухудшаете прогноз 7(возможно развитие кариеса на задней поверхности семерки). Ссылка на комментарий
aqua1 Опубликовано 11 февраля, 2015 Автор Поделиться Опубликовано 11 февраля, 2015 Будут ли еще варианты? 5-ку без сомнений перелечивать?? Просто до сих пор мне везде советовали её удалить... И я уже почти созрела до этого.. Ссылка на комментарий
IvanK Опубликовано 12 февраля, 2015 Поделиться Опубликовано 12 февраля, 2015 Вам решать. Я бы начал с лечения. Ссылка на комментарий
aqua1 Опубликовано 12 февраля, 2015 Автор Поделиться Опубликовано 12 февраля, 2015 Вам решать. Я бы начал с лечения.я бы конечно тоже... без зуба или с имплантом ходить пока не хочется.. постараюсь найти врача, кто возьмётся. Ссылка на комментарий
Рекомендуемые сообщения
Для публикации сообщений создайте учётную запись или авторизуйтесь
Вы должны быть пользователем, чтобы оставить комментарий
Создать аккаунт
Зарегистрируйте новый аккаунт в нашем сообществе. Это очень просто!
Регистрация нового пользователяВойти
Уже есть аккаунт? Войти в систему.
Войти