CRAZYDUCK Опубликовано 8 августа, 2016 Поделиться Опубликовано 8 августа, 2016 (изменено) Насчет кт -нежелательно их делать без особых показаний детям до 12 лет ,все равно большая нагрузка лучевая (но я сама много снимков делаю и спокойно к обычным на визиографе отношусь), а эту информацию сказала коллега после лекции израильского доктора (не помню,но могу спросить). Сказал ,что в Израиле еще раньше ,чем у нас повально на кт стали отправлять перед эндо ,имплантацией и тд и участились случаи онкологии,крупный университет, провели свои расчеты ,исследования и связали это с кт (как-то так) Изменено 8 августа, 2016 пользователем CRAZYDUCK Ссылка на комментарий
crown Опубликовано 9 августа, 2016 Поделиться Опубликовано 9 августа, 2016 Вряд ли Крейзи. Чтобы развилась легкая форма лучевой болезни нужно 20 тысяч кт. Я сомневаюсь что 1 кт ребенку (60мкЗв) может вызвыть онкологию, тем более мы в год получаем около 1000 мкЗв от техники и природных факторов, что даже полезно. С онкологией думаю просто совпадение. Пока ничего не доказано. Просто интересно сравнить внутриротовой снимок и кт, разницу деструкции, до лечения и после. 1 Ссылка на комментарий
CRAZYDUCK Опубликовано 12 августа, 2016 Поделиться Опубликовано 12 августа, 2016 Да,я поняла про кт ,тоже интересно посмотреть что там да как. Ну у меня возникли сомнения на счет лучевой нагрузки и онкологии ,но я на кт детей не отправляла и все равно было ,не интересно во всем этом разбираться пока.У родителей бывают иногда сомнения насчет даже виззиографа (ну зло и все такое эти снимки ),но это категория родителей ,которая думает,что молочные не нужно лечить . Все чаще "продвинутые "родители приходят (недавно одна мама возмущалась,что в предыдущей клинике им перед лечением даже снимок не сделали ),приятно с такими работать. Ссылка на комментарий
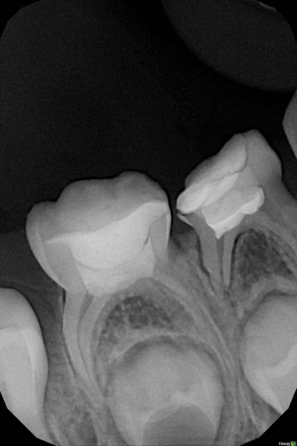
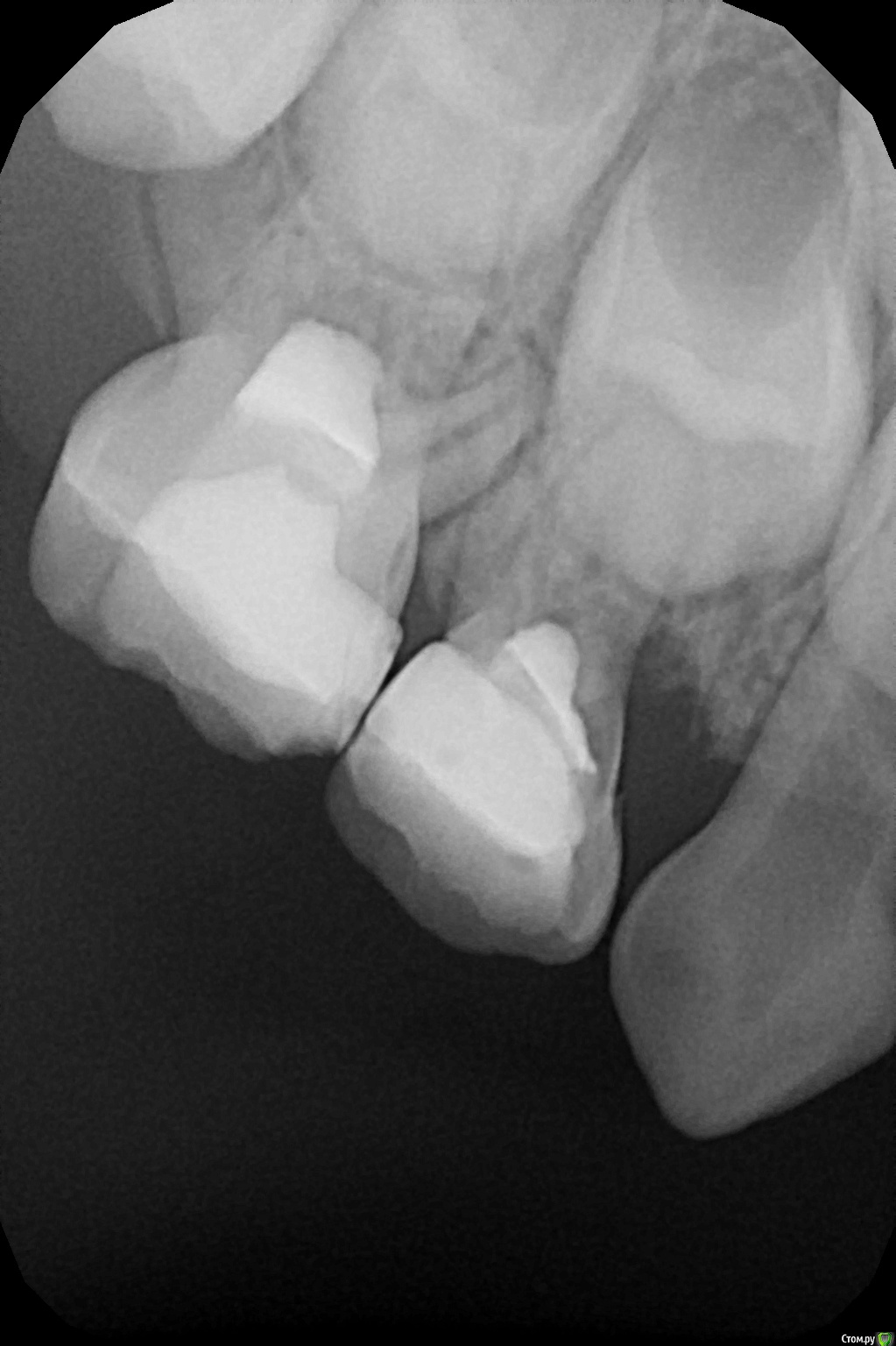
crown Опубликовано 1 сентября, 2016 Поделиться Опубликовано 1 сентября, 2016 Все народ перехожу на экстирпацию, разочаровался я в методе витальной ампутации. Перепробовал все: кальций, цоэ, пульпотек, мта и даже резорцин) но увы, большой процент осложнений. Вот один из последних пациентов, 8.5 пролечил с триоксидентом, прошло 3-4 месяца, гангренозный пульпит, причем там бал кариес!(( 8.4, лечил год-полтора назад, в бифуркации беда, надо перелечивать, 5.4 - 2 года с момента лечения сгрызся медиальный корень. А парню только 5 лет. Читал несколько статей, где проводили лечение пульпита разными материалами, а потом сравнивали в динамике, так вот процент успеха в первые два года 96%!!!! а с мта так вообще 100%!! причем без коффердама. Не знаю может я что то делаю не так, может они что то делают так)) но мой процент гораздно ниже. Ссылка на комментарий
Джима Опубликовано 2 сентября, 2016 Поделиться Опубликовано 2 сентября, 2016 дорогой доктор, успокойтесь, попейте чайку, всё будет хорошо, у вас просто неудачный период цифры ведь не с потолка взяты, метод хороший, просто, видимо, у вас действительно где-то какой-то косяк. например, с герметизмом реставрации (на 85, кмк, точно). экстирпация не решит эту проблему про "кариес". может, недодиагностика. у меня дважды такое было. 1) 54 по 2 классу практически в пределах эмали. я бы эту полость не увидела, если бы не искала внимательно, т.к. дитё жаловалось на эту сторону, там был подпухший лимфоузел. всё, к чему удалось прикопаться - эта крошечная полость. потом я ушла в отпуск, этот зуб удалили с диким отёком. я за свой счёт ставила фиксатор места (первый раз в жизни, заодно научилась). 2) 75 по 1 классу в мезиальной части небольшой средний кариес, но дитё жалуется на зуб, когда ест. Почистила, и не понравился мне цвет "плохого" дентина в конце, не в желтизну, а в серый, плюс жалобы. Продырявила харрроший слой белого дентина и сделала вит.ампутацию. На след. день отёк, все дела. Еле вытянули его, очень долго периодонтит не сдавался.У детей это бывает. мне кажется, микроб проникает в такой зуб в самом начале, пока он ещё слабо минерализован, и в дальнейшем либо путь проникновения минерализуется, либо он микроскопически узкий и не виден. Ну, либо ретроградное инфицирование через лимфу после ангины какой-нибудь, а кариозная полость так, случайно. 1 Ссылка на комментарий
crown Опубликовано 3 сентября, 2016 Поделиться Опубликовано 3 сентября, 2016 Я спокоен, спокоен как удав. Вот шеф нервничает и нарушает мою внутреннюю гармонию. Пациент сын шефа. Спасибо за поддержку, но я решил пока так, нету нерва нет проблемы) Ссылка на комментарий
Джима Опубликовано 3 сентября, 2016 Поделиться Опубликовано 3 сентября, 2016 Пациент сын шефа. а, ну тогда всё нормально, я сыну одного шефа тож 84 до пердантита вылечила. Ссылка на комментарий
red_butler Опубликовано 4 сентября, 2016 Поделиться Опубликовано 4 сентября, 2016 Я спокоен, спокоен как удав. Вот шеф нервничает и нарушает мою внутреннюю гармонию. Пациент сын шефа. Спасибо за поддержку, но я решил пока так, нету нерва нет проблемы)тогда все понятно, есть часть пациентов которых в статистику включать не стоит. Например родственники, учителя и медработники Ссылка на комментарий
CRAZYDUCK Опубликовано 5 сентября, 2016 Поделиться Опубликовано 5 сентября, 2016 Я тоже думаю ,что все это бури на Солнце или на Марсе .Нормальный метод ,не переживайте Crown, у всех бывают такие периоды .А я родственников и коллег боюсь лечить (особенно мужа ), как-то все не так просто получается ... Ссылка на комментарий
Джима Опубликовано 6 сентября, 2016 Поделиться Опубликовано 6 сентября, 2016 а детей? Ссылка на комментарий
CRAZYDUCK Опубликовано 6 сентября, 2016 Поделиться Опубликовано 6 сентября, 2016 (изменено) Своих имеешь в виду ,Тань ?Своих -в первый раз старшую дочку очень волновалась лечить ,ей тогда еще 4 не было ,а потом спокойно лечила . сыну пока только герметизацию делала, а с младшей пока уговариваем чистить то ,что прорезалось. А ты своих детей как лечишь ,есть какое-то волнение ?Мужа лечить не люблю он нежный такой со мной ,так не коли ,так не делай ... Изменено 6 сентября, 2016 пользователем CRAZYDUCK Ссылка на комментарий
Джима Опубликовано 6 сентября, 2016 Поделиться Опубликовано 6 сентября, 2016 (изменено) я старшему тоже анестезию первый раз еле сделала, так руки дрожали. а потом ничё, пиетет пропал а муж у меня спит в кресле. порода такая - где уронишь, там и спит. но всегда с моей игрушкой у тебя ж муж стоматолог просто. свой+коллега=дважды отягощённый анамнез. Изменено 6 сентября, 2016 пользователем Джима 1 Ссылка на комментарий
Khristina Опубликовано 24 октября, 2017 Поделиться Опубликовано 24 октября, 2017 вообще после сегодняшнего семинара поняла, что расширяла показания для ампутации. в ДФ помимо кровотечения полагаются еще на данные рентгена, и на боли в анамнезе. ну и они часто перестраховываются, она сама признается, что т.к лечение чаще под наркозом, то во всех сомнительных случаях выбирается более радикальный метод лечения. Здравствуйте, подскажите, что Вы имеете ввиду под болями в анамнезе. Как это может повлиять на выбор лечения? Спасибо Ссылка на комментарий
valen Опубликовано 9 ноября, 2017 Поделиться Опубликовано 9 ноября, 2017 Имеется в виду беспокоил ли этот зуб ранее по типу пульпита или нет. Если нет, на x-ray нет сообщения и боль длится не более суток, и купируется НПВС - 90% это обратимый пульпит. Если зуб уже беспокоил ранее - необратимый. Ссылка на комментарий
Этери Сафинос Опубликовано 18 октября, 2020 Поделиться Опубликовано 18 октября, 2020 Здравствуйте. Обратился ребенок 5 лет. 7.4 и 7.5 резорциненные. Отек в области этих зубов. Перкуссия на 7.4 и 7.5 безболезненная, подвижность 1 степени на обоих. На переходной отек больше в области 7.4, при пальпации безболезненный (так ребенок говорит). Открыли пока только 7.4, был гной, кровь сгустками, промыли через дистальный канал, много вышло каки, после промывания отек сдулся. Закрыли пока с кальсептом с йодоформом. На оптг огромная киста в области обоих зубов, стоит ли продолжать лечение зубов, открывать 7.5, что целесообразнее удалить или пытаться сохранить? Зачатки постоянных зубов в опасности, как бы вы поступили? Ссылка на комментарий
Дмитрий Л. Опубликовано 19 октября, 2020 Поделиться Опубликовано 19 октября, 2020 Удалять и лучше перенаправьте в стационар, раз такие вопросы. Ссылка на комментарий
Этери Сафинос Опубликовано 24 октября, 2020 Поделиться Опубликовано 24 октября, 2020 Удалять и лучше перенаправьте в стационар, раз такие вопросы.Спасибо...И извините за такие вопросы. Ссылка на комментарий
Рекомендуемые сообщения
Для публикации сообщений создайте учётную запись или авторизуйтесь
Вы должны быть пользователем, чтобы оставить комментарий
Создать аккаунт
Зарегистрируйте новый аккаунт в нашем сообществе. Это очень просто!
Регистрация нового пользователяВойти
Уже есть аккаунт? Войти в систему.
Войти