Денис777 Опубликовано 1 февраля, 2015 Поделиться Опубликовано 1 февраля, 2015 (изменено) Доктора нужен ваш совет по данному пациенту!!!Высказываем свою точку зрения кто что думает... Изменено 1 февраля, 2015 пользователем Денис777 Ссылка на комментарий
SDC Опубликовано 1 февраля, 2015 Поделиться Опубликовано 1 февраля, 2015 Что именно вызывает у Вас сложности? 2 Ссылка на комментарий
red_butler Опубликовано 2 февраля, 2015 Поделиться Опубликовано 2 февраля, 2015 задавайте более конкретные вопросы и дайте больше данных. И главное - что хочет сам пациент?А то фото панорамы на телефон, как то не серьезно Ссылка на комментарий
Денис777 Опубликовано 2 февраля, 2015 Автор Поделиться Опубликовано 2 февраля, 2015 Пациент пришел по поводу эстетического не удовлетворения своих зубов. Вееро образное расхождение фронтальных зубов,подвижность 2 степени.Нужен совет докторов кто как борется с пародонтозом,протокол лечения.P.S Извиняюсь за фото не было времени перекинуть в электронном ввиде Ссылка на комментарий
art700 Опубликовано 2 февраля, 2015 Поделиться Опубликовано 2 февраля, 2015 Ну ОПТГ здесь мало, фото и модели нужны. Ссылка на комментарий
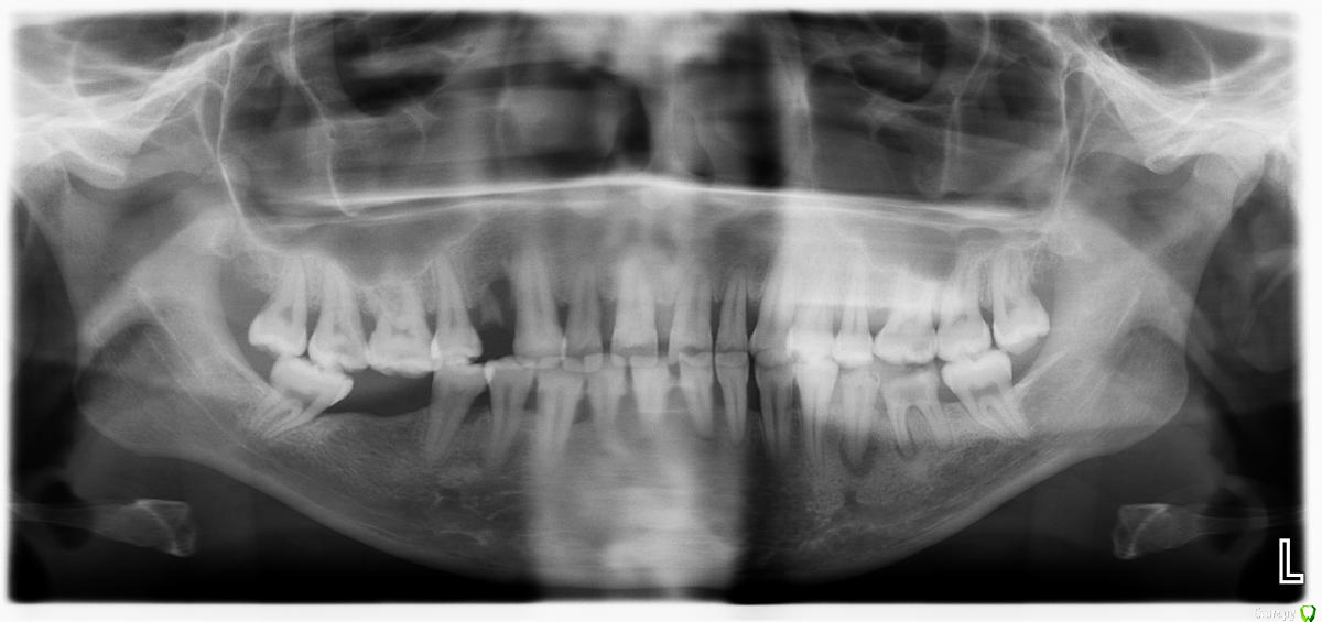
Денис777 Опубликовано 4 февраля, 2015 Автор Поделиться Опубликовано 4 февраля, 2015 (изменено) Вот Доктора!!!Вчера получилось сделать фото и скинуть нормальное орто.. Изменено 4 февраля, 2015 пользователем Денис777 Ссылка на комментарий
orthophil Опубликовано 8 февраля, 2015 Поделиться Опубликовано 8 февраля, 2015 Ситуация не простая. Возникают следующие вопросы:1. Увеличение протрузии и диастем или стабильное положение зубов.2. Есть ли проблемы с окклюзией - совпадает ли цо цс3. Есть ли артропатия4. Скорость прогрессирования пародонтопатии5. Мативированность пациентки на глобальное лечение.Дальше по порядку: консультации ортодонта, терапевта, ортопеда.Если хотите конкретнее давайте больше информации. Ссылка на комментарий
krokomot Опубликовано 17 февраля, 2015 Поделиться Опубликовано 17 февраля, 2015 (изменено) Вариантов много, на что настроена сам пациентка, просто терапию и ли по полной программе голивуд? Из этого и вытекает бюджет. Учитывая узуру от поедания семечек он довольно скромный. Нужны все специалисты терапевты, хирурги, ортопеды( вряли она наденет бреккеты, а без них зубы обратно не задвинешь). Лечение каналов зубов с апекальным переодонтитом, удаление зубов со значительной атрофией. Протезирование боковых и фронтального отделов + конечно же регулярная переодонтальная поддерживающая терапия. Так получится что-то более менее вменяемое, за что стыдно не будет Изменено 17 февраля, 2015 пользователем krokomot Ссылка на комментарий
Рекомендуемые сообщения
Для публикации сообщений создайте учётную запись или авторизуйтесь
Вы должны быть пользователем, чтобы оставить комментарий
Создать аккаунт
Зарегистрируйте новый аккаунт в нашем сообществе. Это очень просто!
Регистрация нового пользователяВойти
Уже есть аккаунт? Войти в систему.
Войти