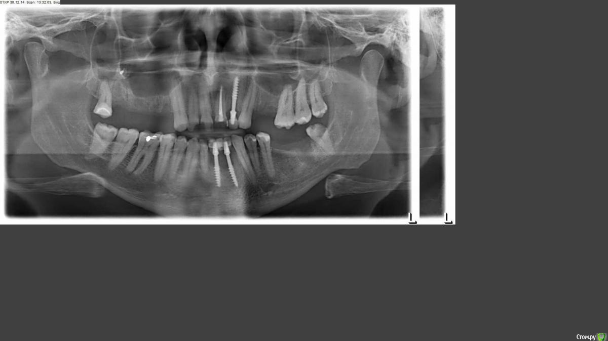
Trevor Опубликовано 24 января, 2015 Поделиться Опубликовано 24 января, 2015 Уважаемые учасники форума, скажите пожалуйста, что делают в случае, если часть наружного шва после синус-лифтинга отвалилась (8-ой день после операции), т.е. часть нитки с узлом на языке утром обнаружил? Остальные нити пока на месте, но нити не синтетические, и не шолковые скорее (как мне кажется), а обычные. Получается часть нити осталась в десне. Снимать швы будут 27-го, а операция была 15-го, т.е. на 12-ый день. Есть еще нюанс - операция была в другом городе, снимать, следовательно, будет другой хирург, не тот, что делал СЛ. Наверно нужно обязательно сказать, что часть нитей отвалилась уже? Может ли начаться нагноение если не всю нить удалить? Вообще допустимо ли использование не синтетических нитей?Стоят 3 импланта на месте 22, 32, 41 зубов. Прошло 4 месяца. Можно ли по снимку сказать как проходит остеоинтеграция и проходит ли вообще, объективно, не обращая внимание на систему этих имплантов? Учитывая весьма негативное отношение к этой системе на форуме в целом.Если бы я знал об этом раньше, я может и не стал ставить эти импланты. Но решение было принято раньше, чем я прочитал этот форум.снимок 30.12.14 импланты установлены 14.09.14 Ссылка на комментарий
diesel87 Опубликовано 25 января, 2015 Поделиться Опубликовано 25 января, 2015 А зачем открытый синус то делали? По поводу остеоинтеграции, лучше по прицельному снимку смотреть, но низ не нравится. Ссылка на комментарий
Trevor Опубликовано 25 января, 2015 Автор Поделиться Опубликовано 25 января, 2015 А зачем открытый синус то делали? По поводу остеоинтеграции, лучше по прицельному снимку смотреть, но низ не нравится.Ну как зачем? Во всех клиниках, в кот. был на консультации до этого, по плану был синусА что не нравится и чем, не могли бы Вы чуть подробнее? Ссылка на комментарий
Bier Опубликовано 25 января, 2015 Поделиться Опубликовано 25 января, 2015 Иплантаты выбраны, мягко скажем не очень... 1 Ссылка на комментарий
Trevor Опубликовано 25 января, 2015 Автор Поделиться Опубликовано 25 января, 2015 Иплантаты выбраны, мягко скажем не очень...Это я уже понял Ссылка на комментарий
diesel87 Опубликовано 25 января, 2015 Поделиться Опубликовано 25 января, 2015 Ну как зачем? Во всех клиниках, в кот. был на консультации до этого, по плану был синусА что не нравится и чем, не могли бы Вы чуть подробнее?Судя по снимку можно было обойтись без открытого синуса Ссылка на комментарий
Рекомендуемые сообщения
Для публикации сообщений создайте учётную запись или авторизуйтесь
Вы должны быть пользователем, чтобы оставить комментарий
Создать аккаунт
Зарегистрируйте новый аккаунт в нашем сообществе. Это очень просто!
Регистрация нового пользователяВойти
Уже есть аккаунт? Войти в систему.
Войти