eugen.berend Опубликовано 17 января, 2015 Поделиться Опубликовано 17 января, 2015 (изменено) Здравствуйте,Есть проблема с 33 зубом. В мае 2012 мне поставили мостовой протез 33-35-37. Через какое-то время у меня онемела часть губы рядом с 33 зубом и от постукивания по его коронке появилось странное ощущение - не знаю как описать - как будто отдаёт в корень, не болезненное, но ощутимое. Не могу точно сказать, были или нет такие ощущения до установки протеза.Далее в июле 2014 мостовидный протез мне убрали, временно оставив коронку на 33 зубе, т.к. жалоб на него не было.В сентябре 2014 в один из дней зуб внезапно невыносимо разболелся. Я побежал в клинику, врач снял коронку, удалил пульпу и пролечил канал. При этом анестезия совершенно не подействовала, так что пришлось терпеть китайские пытки. После пролечивания ощущения от постукивания ослабли, но не прекратились вовсе. При прикосновении к щеке в области этого зуба металлическим предметом - странное ощущение, как от очень слабых электрических импульсов.Я задал вопрос насчёт этого зуба лечащему меня ортопеду. Поинтересовался, что это такое вокруг корня - воспаление? Он сказал, что там всё ок, что то, что я принял за воспаление - это периодонт, что зуб будет протезирован коронкой на штифто-культевой вкладке, в числе прочих.НО, терапевту этот вопрос я ещё не задавал, следующая консультация у меня только в среду. Хотелось бы узнать примерно, что меня ждёт.Я читал о травматическом периодонтите - когда периодонт воспаляется из-за постоянной травмирующей нагрузки зуба, например, некорректно изготовленным протезом. Это оно? Сильно сложно лечить, есть ли вероятность потери зуба?Снимок октября 2014, завтра могу сделать прицельный снимок. Изменено 17 января, 2015 пользователем eugen.berend Ссылка на комментарий
eugen.berend Опубликовано 22 января, 2015 Автор Поделиться Опубликовано 22 января, 2015 Забыл забрать снимок, терапевт не увидел ничего подозрительного... Ссылка на комментарий
IvanK Опубликовано 28 января, 2015 Поделиться Опубликовано 28 января, 2015 Забыл забрать снимок снимок , все же , будет?) Ссылка на комментарий
eugen.berend Опубликовано 28 января, 2015 Автор Поделиться Опубликовано 28 января, 2015 снимок , все же , будет?) будет в пятницу!) Ссылка на комментарий
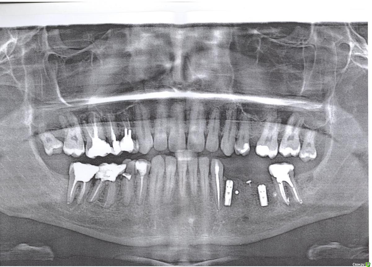
eugen.berend Опубликовано 28 января, 2015 Автор Поделиться Опубликовано 28 января, 2015 http://s019.radikal.ru/i615/1501/0a/c9994ce0abdf.jpghttp://s49.radikal.ru/i125/1501/bd/e20009e103fc.jpg Ссылка на комментарий
IvanK Опубликовано 30 января, 2015 Поделиться Опубликовано 30 января, 2015 Думаю, что нужно проверить имплантат Ссылка на комментарий
red_butler Опубликовано 31 января, 2015 Поделиться Опубликовано 31 января, 2015 Думаю, что нужно проверить имплантатэто мягко сказано. eugen.berend как можно скорее покажитесь своему хирургу 1 Ссылка на комментарий
IvanK Опубликовано 31 января, 2015 Поделиться Опубликовано 31 января, 2015 это мягко сказано.eugen.berend как можно скорее покажитесь своему хирургу дипломатичный ответ Ссылка на комментарий
eugen.berend Опубликовано 31 января, 2015 Автор Поделиться Опубликовано 31 января, 2015 это мягко сказано.eugen.berend как можно скорее покажитесь своему хирургу А что там такое?Возможность есть через 2 недели только( Ссылка на комментарий
IvanK Опубликовано 6 февраля, 2015 Поделиться Опубликовано 6 февраля, 2015 А что там такое? проблема в имплантате Ссылка на комментарий
eugen.berend Опубликовано 6 февраля, 2015 Автор Поделиться Опубликовано 6 февраля, 2015 Отправлял хирургу снимок, он сказал, что на оптг уровень кости норм, а прицельный снимок, похоже, недоэкспонирован. Ортопед также осмотрел меня, сказал, что всё ок. Но очного приёма у хирурга ещё не было - будет через неделю, он вообще собирался мне уже формирователи ставить. Я напишу по результату. Ссылка на комментарий
red_butler Опубликовано 7 февраля, 2015 Поделиться Опубликовано 7 февраля, 2015 Я напишу по результату. будем ждать развязки 1 Ссылка на комментарий
eugen.berend Опубликовано 14 февраля, 2015 Автор Поделиться Опубликовано 14 февраля, 2015 Здравствуйте,Сегодня была операция по раскрытию десны и установке формирователей десны. Установили оба формирователя и в область 3.4 добавили десневую ткань, взятую с нёба. Врач уверил меня, что имплантаты прижились хорошо, полностью находятся в костной ткани. Ещё доставал какой-то измерятор подвижности (не уверен) имплантата (не помню, как называется), что-то потыкал, грит всё ок. Ну даже не знаю, в общем. Ссылка на комментарий
red_butler Опубликовано 14 февраля, 2015 Поделиться Опубликовано 14 февраля, 2015 Мы только рады, если ошибались. Но снимок через год обязательно сделайте. Ссылка на комментарий
eugen.berend Опубликовано 15 мая, 2015 Автор Поделиться Опубликовано 15 мая, 2015 (изменено) Здравствуйте! Уже поставили провизорные коронки, позавчера.http://higgs.rghost.ru/8T4RVHBMc/image.pngСнимок сделал сейчас. Всё ли ок? Изменено 15 мая, 2015 пользователем eugen.berend Ссылка на комментарий
eugen.berend Опубликовано 15 мая, 2015 Автор Поделиться Опубликовано 15 мая, 2015 И, кстати, не является ли вот этот "зазор" воспалённым периодонтом?http://rghost.ru/6zG2b8Cv5/image.png Ссылка на комментарий
eugen.berend Опубликовано 11 июня, 2015 Автор Поделиться Опубликовано 11 июня, 2015 Ап. Ответьте кто-нибудь, плз :с Ссылка на комментарий
red_butler Опубликовано 11 июня, 2015 Поделиться Опубликовано 11 июня, 2015 это не воспаление, а периодонтальная щель Ссылка на комментарий
eugen.berend Опубликовано 11 июня, 2015 Автор Поделиться Опубликовано 11 июня, 2015 это не воспаление, а периодонтальная щельОк большое спасибо!Всё же интересно, откуда могут быть такие ощущения при надавливании на этот зуб - будто там что-то отпружинивает, т.е. ткани, окружающие зуб, чувствуют надавливание. Причём только спереди, а не со внутренней части десны. Я всё же покажусь доктору ещё раз, посмотрим, напишу Ссылка на комментарий
cor Опубликовано 11 июня, 2015 Поделиться Опубликовано 11 июня, 2015 А височнонижнечелюстной сустав вас не беспокоит? Не щёлкает ли? Ссылка на комментарий
eugen.berend Опубликовано 11 июня, 2015 Автор Поделиться Опубликовано 11 июня, 2015 А височнонижнечелюстной сустав вас не беспокоит? Не щёлкает ли?Не очень понимаю, это щелкает ли при движении что ли?Иногда бывает ощущение, будто что-то внутрь шеи проскальзывает, не знаю, оно ли это. Ссылка на комментарий
cor Опубликовано 11 июня, 2015 Поделиться Опубликовано 11 июня, 2015 Ну чуть спереди от козелка уха(ушей) дискомфорта не бывает? Не бывает ощущения, что челюсть очень жевать устала и мышцы постоянно в напряжении? Ссылка на комментарий
eugen.berend Опубликовано 11 июня, 2015 Автор Поделиться Опубликовано 11 июня, 2015 Ну чуть спереди от козелка уха(ушей) дискомфорта не бывает? Не бывает ощущения, что челюсть очень жевать устала и мышцы постоянно в напряжении?Неееее, такого точно не бывает. Ссылка на комментарий
cor Опубликовано 11 июня, 2015 Поделиться Опубликовано 11 июня, 2015 Неееее, такого точно не бывает.Тогда всё здОрово. Ссылка на комментарий
eugen.berend Опубликовано 18 июня, 2015 Автор Поделиться Опубликовано 18 июня, 2015 Окей.Поставили штифто-культевую вкладку, на неё временную коронку. После этого описанные ощущения заметно притупились.Из проблем только то, что врач заметил, что у меня сильно стали выпирать тентовые винты, и их, возможно, позже придётся выкрутить.Походу всё ок. Спасибо всем. Ссылка на комментарий
Рекомендуемые сообщения
Для публикации сообщений создайте учётную запись или авторизуйтесь
Вы должны быть пользователем, чтобы оставить комментарий
Создать аккаунт
Зарегистрируйте новый аккаунт в нашем сообществе. Это очень просто!
Регистрация нового пользователяВойти
Уже есть аккаунт? Войти в систему.
Войти