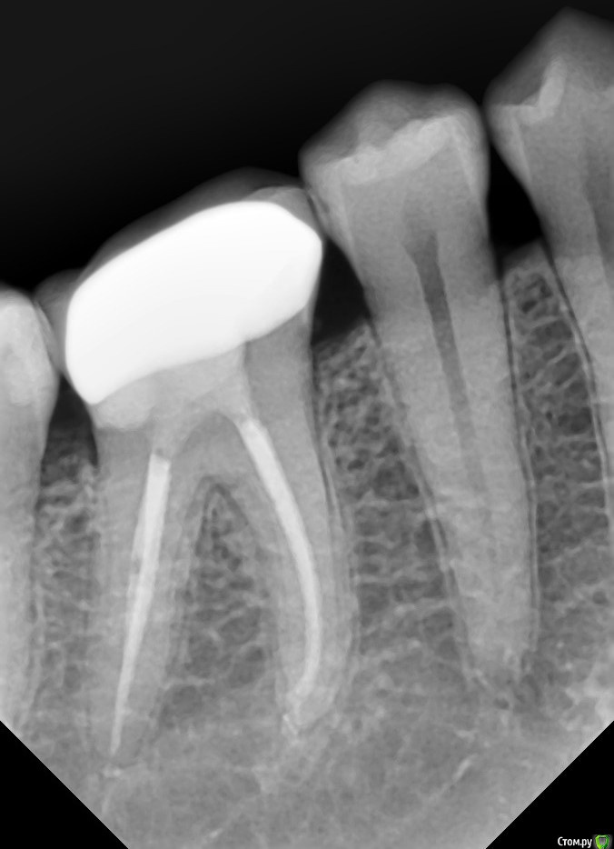
Hans85 Опубликовано 16 января, 2015 Поделиться Опубликовано 16 января, 2015 может есть подобные темы здесь.Как вы относитесь к марджин элевейшен?.Вот одна из моих работ.Делаем ставки господа-сколько прослужит(честно обещаю каждый год выкладывать рентген). Ссылка на комментарий
M@estro Опубликовано 16 января, 2015 Поделиться Опубликовано 16 января, 2015 Послужит несколько лет точно, а дальше зависит от того, насколько протокол соблюден Ссылка на комментарий
Большой Зеленый Опубликовано 16 января, 2015 Поделиться Опубликовано 16 января, 2015 Не долго.Там уже есть проблемы с косточкой.. Ссылка на комментарий
SDC Опубликовано 16 января, 2015 Поделиться Опубликовано 16 января, 2015 Ровно столько, сколько сможет выдержать герметизм композит. 1 Ссылка на комментарий
ksenistom Опубликовано 16 января, 2015 Поделиться Опубликовано 16 января, 2015 Стесняюсь спросить,что такое мэрджин элевейшин? Ссылка на комментарий
Hans85 Опубликовано 16 января, 2015 Автор Поделиться Опубликовано 16 января, 2015 Не долго.Там уже есть проблемы с косточкой..Не долго это сколько... Ровно столько, сколько сможет выдержать герметизм композит.А сколько может выдержать герметизм. Больно расплывчатые формулировки господа-Вам с таким даром надо идти в прогноз погоды или в прогноз российской экономики...Я ж хотел конкретных ставок,чтоб потом каждый год показывать динамику. 2 Ссылка на комментарий
Kolchanov Опубликовано 16 января, 2015 Поделиться Опубликовано 16 января, 2015 (изменено) Ставлю 100 юаней на то, что продержится 10 лет и более. При условии нормальной гигиены, разумеется.Интересная статья по технической стороне дела - http://webdelprofesor.ula.ve/odontologia/robertramirez/PDF/18К сожалению таких матриц (greater curve) для тоффльмайера в России пока не продают. ТОР ВМ обещали на февральскую выставку сделать, посмотрим... Самое близкое, что есть, это у них же контурные без выступов. Тоже по шейке нормально обхватывает. Изменено 16 января, 2015 пользователем Kolchanov 2 Ссылка на комментарий
SDC Опубликовано 16 января, 2015 Поделиться Опубликовано 16 января, 2015 (изменено) А сколько может выдержать герметизм. Больно расплывчатые формулировки господа-Вам с таким даром надо идти в прогноз погоды или в прогноз российской экономики... Я ж хотел конкретных ставок,чтоб потом каждый год показывать динамику.Это зависит от Ваших мануальных навыков, адгезивной системы, сухости операционного поля, состояния дентина.Будем посмотреть на реколлы )) Изменено 16 января, 2015 пользователем SDC 1 Ссылка на комментарий
Art 7 Опубликовано 16 января, 2015 Поделиться Опубликовано 16 января, 2015 Не долго это сколько... А сколько может выдержать герметизм. Больно расплывчатые формулировки господа-Вам с таким даром надо идти в прогноз погоды или в прогноз российской экономики...Я ж хотел конкретных ставок,чтоб потом каждый год показывать динамику.Вы же сделали эту работу, вам и оценивать сколько это простоит. А в чём сложность была сделать границу на тканях зуба а не пломбы? Ссылка на комментарий
Dmitriy84 Опубликовано 16 января, 2015 Поделиться Опубликовано 16 января, 2015 может есть подобные темы здесь.Как вы относитесь к марджин элевейшен?.Вот одна из моих работ.Делаем ставки господа-сколько прослужит(честно обещаю каждый год выкладывать рентген).На живые зубы ещё есть смысл ставить, а на депульпированные- только эксперименты, может завтра придет, а может и 20 лет отходит. Ссылка на комментарий
Dmitriy84 Опубликовано 16 января, 2015 Поделиться Опубликовано 16 января, 2015 Делаем ставки господа-сколько прослужит(честно обещаю каждый год выкладывать рентген).Через год:- Доктор, у меня тут отвалилось...- Да? Ну пойдемте подклеим и за одно снимочек сделаем, мне там на форум выложить 2 Ссылка на комментарий
Hans85 Опубликовано 17 января, 2015 Автор Поделиться Опубликовано 17 января, 2015 Значит ни кто здесь подобное не делал(видимо все правильные и делают все по фен-шую) и не делает, как я понял по ответам, и все логические рассуждения участников не подкреплены какими либо наблюдениями своих подобных работ. Всем спасибо -на этом считаю тему исчерпанной.Снимки с меня каждый год как обещал. 1 Ссылка на комментарий
Doc Опубликовано 17 января, 2015 Поделиться Опубликовано 17 января, 2015 Ставлю 100 юаней на то, что продержится 10 лет и более. При условии нормальной гигиены, разумеется. Колчанов, Вы бы осторожнее с юанями-то! При нынешней ситуации не факт, что через 10 лет квартира на Манхеттене не будет стоить 100 юаней! )) 4 Ссылка на комментарий
Doc Опубликовано 17 января, 2015 Поделиться Опубликовано 17 января, 2015 Значит ни кто здесь подобное не делал(видимо все правильные и делают все по фен-шую) и не делает, как я понял по ответам, и все логические рассуждения участников не подкреплены какими либо наблюдениями своих подобных работ. Всем спасибо -на этом считаю тему исчерпанной.Снимки с меня каждый год как обещал.Уважаемый коллега. Вы без году неделя на форуме, а уже позволяете себе как-то в очень неуважительным тоне общаться со старшими коллегами. Вот это точно не по фен-шую. Скромнее нужно быть. Хотя бы для начала. Вот заработаете авторитет многочисленными публикациями с реколлами в 10 лет, тогда и будете снисходительно-пренебрежительно общаться с молодняком. Хотя практика показывает, что как раз опытные врачи с большим авторитетом куда более тактично себя ведут. 6 Ссылка на комментарий
Doc Опубликовано 17 января, 2015 Поделиться Опубликовано 17 января, 2015 Стесняюсь спросить,что такое мэрджин элевейшин?Ну, это красивое название "переноса уступа" (дословно "подъем края"). Если, как видите на снимке, апроксимально кариес ушел глубоко под десну, то мы уже где-то обсуждали перенос уступа на вкладке, например. Делается вкладка, а уже выше уровня десны прямо на вкладке делается уступ и сажается коронка. Вкладка куда надежнее пломбы, но даже в том случае большинство врачей признало эту методику не адекватной. Ну а про пломбу и говорить нечего. Там количество слабых мест куда больше, а следовательно протекать будет с большей вероятностью. При условии сохранения большого количества твердых тканей такой зуб действительно иногда может продержаться много лет, но скорее как исключение, подтверждающее правило. 2 Ссылка на комментарий
Bobby Опубликовано 17 января, 2015 Поделиться Опубликовано 17 января, 2015 Эта методика работает, есть несколько кейсов. Это компромис, который может продлить жизнь зубу (когда нет возможности сделать удлинение).Залогом успеха этой методы является создание идеальной изоляции. Манье показывал на курсе реколы. Техника подъёма края придумана очень давно. 1 Ссылка на комментарий
Art 7 Опубликовано 17 января, 2015 Поделиться Опубликовано 17 января, 2015 Если возможно создать в таких условиях изоляцию, то какие проблемы создать там уступ и проснять его оттиском? Или к пломбе десна дружелюбнее относится чем к коронке? 5 1 Ссылка на комментарий
dok1 Опубликовано 17 января, 2015 Поделиться Опубликовано 17 января, 2015 Если возможно создать в таких условиях изоляцию, то какие проблемы создать там уступ и проснять его оттиском? Или к пломбе десна дружелюбнее относится чем к коронке? Присоединяюсь к вопросу. Были ранее такие пациенты, но терялись и длительных наблюдений нет. Ссылка на комментарий
Doc Опубликовано 17 января, 2015 Поделиться Опубликовано 17 января, 2015 Эта методика работает, есть несколько кейсов. Это компромис, который может продлить жизнь зубу (когда нет возможности сделать удлинение).Залогом успеха этой методы является создание идеальной изоляции. Манье показывал на курсе реколы. Техника подъёма края придумана очень давно.Если ты Манье, то шансы, конечно, повышаются. Но показывать один рентгеновский снимок, не давать никакой информации о том, как ставилась пломба и как коронка, на что ставилась, с коффером или без, и т.д. и т.п, это все равно, что задавать старый добрый вопрос:"Из пункта А в пункт Б вышел поезд. Сколько лет машинисту?". 2 Ссылка на комментарий
Doc Опубликовано 17 января, 2015 Поделиться Опубликовано 17 января, 2015 Если возможно создать в таких условиях изоляцию, то какие проблемы создать там уступ и проснять его оттиском? Или к пломбе десна дружелюбнее относится чем к коронке?Полностью поддерживаю вопрос!Если даже на вкладке такие работы держатся не очень долго, то сложно пломбу считать более надежным материалом. 2 Ссылка на комментарий
Hans85 Опубликовано 17 января, 2015 Автор Поделиться Опубликовано 17 января, 2015 Уважаемый коллега. Вы без году неделя на форуме, а уже позволяете себе как-то в очень неуважительным тоне общаться со старшими коллегами. Вот это точно не по фен-шую. Скромнее нужно быть. Хотя бы для начала. Вот заработаете авторитет многочисленными публикациями с реколлами в 10 лет, тогда и будете снисходительно-пренебрежительно общаться с молодняком. Хотя практика показывает, что как раз опытные врачи с большим авторитетом куда более тактично себя ведут.Уважаемый коллега,вы совершенно правы я здесь не так давно.но я не совсем понял в чем проявляется мое неуважение к коллегам-в констатации факта что ни кто не делал такое или я кого то оскорбил(если так то кого конкретно и чем).Насчет очень неуважительного тона это лишь субъективное ощущение каждого,и отнюдь не запрещено в правилах вашего форума.А авторитет мне не нужен,ведь я ни кого здесь не учу и не собираюсь -я просто выкладываю случаи . 1 Ссылка на комментарий
Hans85 Опубликовано 17 января, 2015 Автор Поделиться Опубликовано 17 января, 2015 Если ты Манье, то шансы, конечно, повышаются. Но показывать один рентгеновский снимок, не давать никакой информации о том, как ставилась пломба и как коронка, на что ставилась, с коффером или без, и т.д. и т.п, это все равно, что задавать старый добрый вопрос:"Из пункта А в пункт Б вышел поезд. Сколько лет машинисту?".Ни кто до Вас эти вопросы и не спрашивал ,если вы внимательно почитаете начало темы. Ссылка на комментарий
ksenistom Опубликовано 17 января, 2015 Поделиться Опубликовано 17 января, 2015 Ну, это красивое название "переноса уступа" (дословно "подъем края"). Если, как видите на снимке, апроксимально кариес ушел глубоко под десну, то мы уже где-то обсуждали перенос уступа на вкладке, например. Делается вкладка, а уже выше уровня десны прямо на вкладке делается уступ и сажается коронка. Вкладка куда надежнее пломбы, но даже в том случае большинство врачей признало эту методику не адекватной. Ну а про пломбу и говорить нечего. Там количество слабых мест куда больше, а следовательно протекать будет с большей вероятностью. При условии сохранения большого количества твердых тканей такой зуб действительно иногда может продержаться много лет, но скорее как исключение, подтверждающее правило.Спасибо за подробный ответ,теперь понятна суть диалога)) Ссылка на комментарий
johniola Опубликовано 17 января, 2015 Поделиться Опубликовано 17 января, 2015 Уважаемый коллега,вы совершенно правы я здесь не так давно.но я не совсем понял в чем проявляется мое неуважение к коллегам-в констатации факта что ни кто не делал такое или я кого то оскорбил(если так то кого конкретно и чем).Насчет очень неуважительного тона это лишь субъективное ощущение каждого,и отнюдь не запрещено в правилах вашего форума.А авторитет мне не нужен,ведь я ни кого здесь не учу и не собираюсь -я просто выкладываю случаи .Ну как не делал,конечно же делал,и всё это в конце концов вылетало.Здесь помимо всего нужна и очень хорошая гигиена,которую лично я не так уж и часто вижу у пациентов.Даже при использовании самого крутого бонда и композита,надеятся на долгосрочный результат не приходится.На сегодняшний день если есть возможность сделать удлинение коронки,тогда я возьмусь за такой зуб,а если нет,то имплант.Объясняю почему,этот ваш пациент,который сегодня не хочет платить за удлинение или имплант,и которому вы,как вы думаете сегодня делаете хорошее,завтра придёт с претензией и со словами(вы доктор,и вы должны были знать и предвидеть), а я типа мешок денег вам отдал. 1 Ссылка на комментарий
carloss Опубликовано 17 января, 2015 Поделиться Опубликовано 17 января, 2015 В таких случаях как, на рентгене, я даже удлинение не делаю - достаточно пройтись коагулятором или лазером.. и повторить то же самое на этапе цементировки 3 Ссылка на комментарий
Рекомендуемые сообщения
Для публикации сообщений создайте учётную запись или авторизуйтесь
Вы должны быть пользователем, чтобы оставить комментарий
Создать аккаунт
Зарегистрируйте новый аккаунт в нашем сообществе. Это очень просто!
Регистрация нового пользователяВойти
Уже есть аккаунт? Войти в систему.
Войти