Mel18 Опубликовано 13 января, 2015 Поделиться Опубликовано 13 января, 2015 Доброго времени суток и с наступившими праздниками! Живя всю жизнь без 7 и 8 не знал беды, пока один из форумных докторов (спасибо ему) не сказал, что пора бы дёргать крайние зубки. Походил по местным хирургам: один с удовольствием расписал все ужасы выдергивания, 2 других сказали, пока ничего не трогать, якобы раз столько времени с ними ходил и всё ок до сих пор, то и поводов особо нет...Кому верить? Вопрос знатокам! Что же всё-таки с ними делать? Чем это чревато (прикус, кариес?)? И сколько у меня на это есть времени, и на сколько быстро беда может прогрессировать? Ссылка на комментарий
kladoffka Опубликовано 14 января, 2015 Поделиться Опубликовано 14 января, 2015 Думаю, что все же стоит удалить, в данном случае позиция "не беспокоит - лучше не трогать" не совсем верна, т.к. потихонечку 8ки начнут разрушать 7ки. Если удалить 8ки, которые блокируют 7ки , то вполне вероятно, что эти семерки со временем и вылезут нормально.По поводу удаления - я бы сделал 3д снимок и ориентировался по нему - проще удалить и прогнозировать.Все вышесказанное ИМХО, интересно что скажут старшие коллеги. Ссылка на комментарий
Mel18 Опубликовано 14 января, 2015 Автор Поделиться Опубликовано 14 января, 2015 Думаю, что все же стоит удалить, в данном случае позиция "не беспокоит - лучше не трогать" не совсем верна, т.к. потихонечку 8ки начнут разрушать 7ки. Если удалить 8ки, которые блокируют 7ки , то вполне вероятно, что эти семерки со временем и вылезут нормально.По поводу удаления - я бы сделал 3д снимок и ориентировался по нему - проще удалить и прогнозировать.Все вышесказанное ИМХО, интересно что скажут старшие коллеги. благодарю! а если вылезут 7, то это всё в совокупности может как-то повлиять на прикус?и "потихонечку" - это есть более ли менее средние ориентировочные цифры? Ссылка на комментарий
kladoffka Опубликовано 14 января, 2015 Поделиться Опубликовано 14 января, 2015 благодарю! а если вылезут 7, то это всё в совокупности может как-то повлиять на прикус? и "потихонечку" - это есть более ли менее средние ориентировочные цифры? Думаю , что смещения зубов уже не произойдет, точно не могу ответить, не видел ситуации во рту.Нет, у меня цифр таких нет, не могу сказать на сколько быстро или медленно это будет происходить. Все индивидуально. Ссылка на комментарий
Mel18 Опубликовано 15 января, 2015 Автор Поделиться Опубликовано 15 января, 2015 Думаю , что смещения зубов уже не произойдет, точно не могу ответить, не видел ситуации во рту.Нет, у меня цифр таких нет, не могу сказать на сколько быстро или медленно это будет происходить. Все индивидуально. Старшие коллеги, видимо, не очень торопятся что-то сказать Спасибо Вам за внимание! Ссылка на комментарий
Korel Опубликовано 15 января, 2015 Поделиться Опубликовано 15 января, 2015 Думаю, что все же стоит удалить, в данном случае позиция "не беспокоит - лучше не трогать" не совсем верна, т.к. потихонечку 8ки начнут разрушать 7ки. Если удалить 8ки, которые блокируют 7ки , то вполне вероятно, что эти семерки со временем и вылезут нормально.По поводу удаления - я бы сделал 3д снимок и ориентировался по нему - проще удалить и прогнозировать.Все вышесказанное ИМХО, интересно что скажут старшие коллеги. +100 Ссылка на комментарий
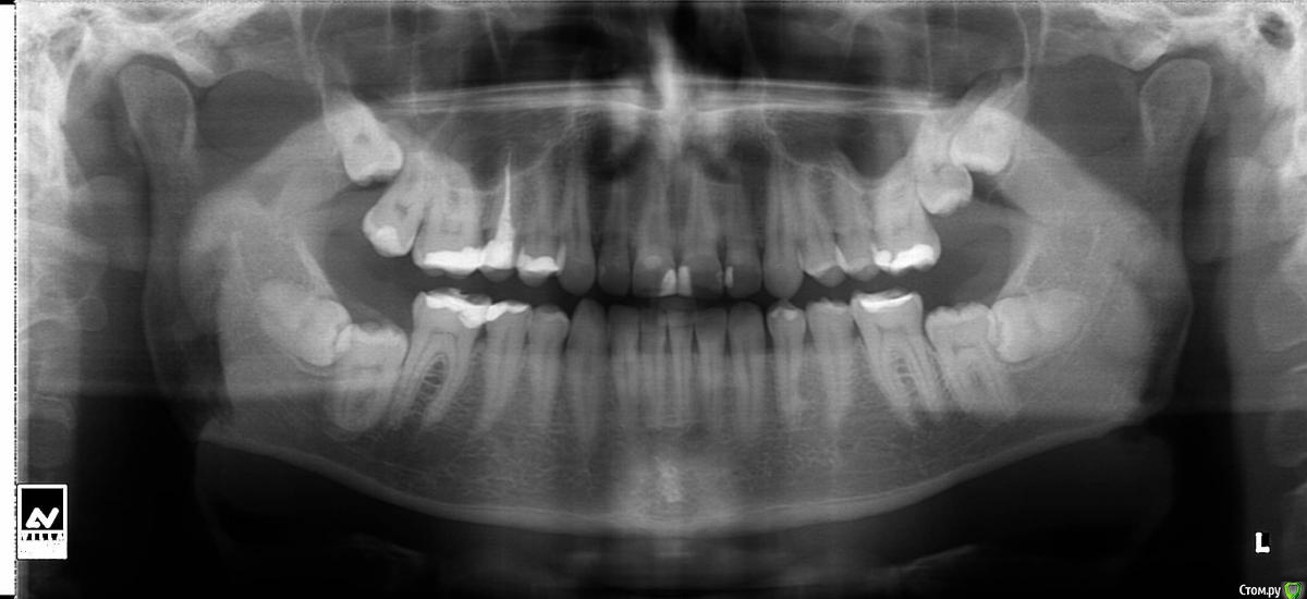
Mel18 Опубликовано 17 января, 2015 Автор Поделиться Опубликовано 17 января, 2015 +100 Думаю , что смещения зубов уже не произойдет, точно не могу ответить, не видел ситуации во рту.Нет, у меня цифр таких нет, не могу сказать на сколько быстро или медленно это будет происходить. Все индивидуально. Хоть и нет особого энтузиазма, рискну на всякий случай подлить масла в огонь сделанным сегодня КТ.Прошу прощения, что залил весь диск, внимательно прочитал "Как выложить КТ на сайте", но поскольку одноименной папки с "DICOM" обнаружено не было ,решил, что мой случай для "суперчайников"; ещё раз простите за большой объём. Буду признателен за уделённую свободную минутку. http://dfiles.ru/files/uyg5xsrge Ссылка на комментарий
faity Опубликовано 19 января, 2015 Поделиться Опубликовано 19 января, 2015 я бы сказал удаление 8-х и брекетыКТ перезалейте на яндекс.диск, с файлообменника очень долго качать Ссылка на комментарий
Mel18 Опубликовано 29 июня, 2015 Автор Поделиться Опубликовано 29 июня, 2015 Но очень оперативно, но исправляюсь: https://yadi.sk/d/1U7bYWDChZF9d 1 Ссылка на комментарий
faity Опубликовано 30 июня, 2015 Поделиться Опубликовано 30 июня, 2015 я крёстным отцом успел стать, пока вы кт делали))) 3 Ссылка на комментарий
red_butler Опубликовано 30 июня, 2015 Поделиться Опубликовано 30 июня, 2015 я крёстным отцом успел стать, пока вы кт делали)))Поздравляю, и отдельное спасибо за поднятие настроения Ссылка на комментарий
faity Опубликовано 30 июня, 2015 Поделиться Опубликовано 30 июня, 2015 спасибо и пожалуйста) по поводу КТ: смещение носовой перегородки, ассиметрия костей лицевого черепа, восьмерки удалять, брекеты ставить и это блин самый убогий КТвьювер из тех что я видел, плюс снимок не полный, не видно углов челюстей в которых лежат нижние восьмые и суставов височно-нижнечелюстных. Ссылка на комментарий
Mel18 Опубликовано 13 июля, 2015 Автор Поделиться Опубликовано 13 июля, 2015 спасибо и пожалуйста) по поводу КТ: смещение носовой перегородки, ассиметрия костей лицевого черепа, восьмерки удалять, брекеты ставить и это блин самый убогий КТвьювер из тех что я видел, плюс снимок не полный, не видно углов челюстей в которых лежат нижние восьмые и суставов височно-нижнечелюстных. ахахаха)))) смешно))) КТ не делал. оно старое, просто полгода жил без компьютера ..не смотря на убогость и неполноту картину. вердикт всё равно вынесен, верно? спасибо большое.. и побольше новых родственников ) Ссылка на комментарий
Рекомендуемые сообщения
Для публикации сообщений создайте учётную запись или авторизуйтесь
Вы должны быть пользователем, чтобы оставить комментарий
Создать аккаунт
Зарегистрируйте новый аккаунт в нашем сообществе. Это очень просто!
Регистрация нового пользователяВойти
Уже есть аккаунт? Войти в систему.
Войти