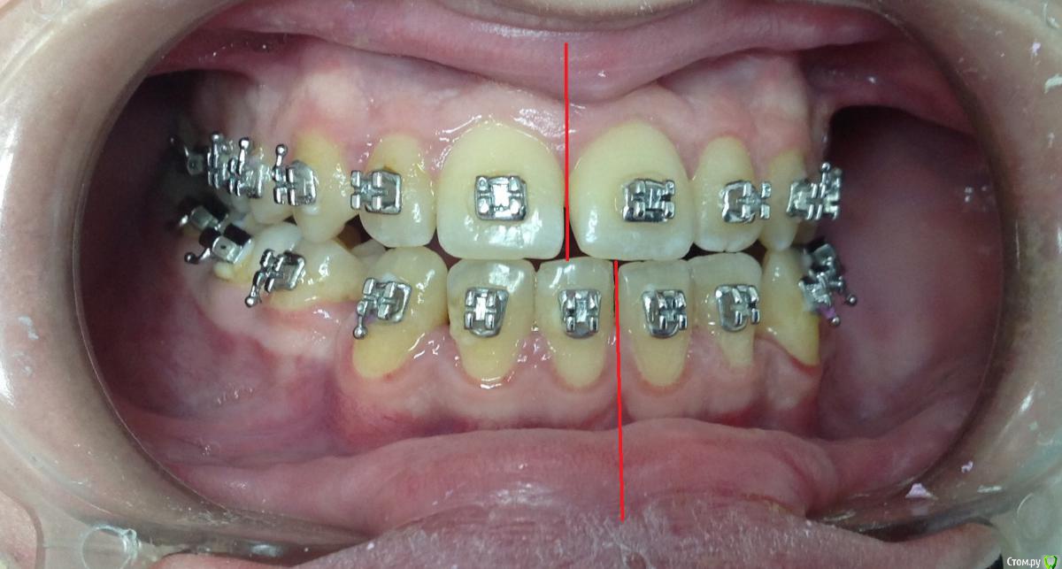
KoroNa Опубликовано 13 января, 2015 Поделиться Опубликовано 13 января, 2015 Здравствуйте. Опыт у меня совсем небольшой, можно даже сказать никакой на данном этапе. Пациент достался "по наследству" от подруги. Приехал учиться в наш город, она и пристроила мне. Я делала свое дело, меняла лигатурки, зная, что пациент периодически ездит в свой город и будет контроль лечения со стороны моей коллеги. А та, не долго думая, в декрет укатила с двойней. Когда увидела пациента, то как РАДА НЕ БЫЛА - ничего не сказать.3класс. вертикальный тип роста. Явные признаки к комплексному орто\хир лечению. Но она взялась, пожалела\попросили.....удалила премоляры на н\ч и начала дистализацию. Никаких ТРГ и моднлей в помине нет, да и я еще когда брала его даже фотографии не делала.Не хочу на форуме ругаться, но пациент "какашка" .......гигиенты нет как в полости рта, так и на лице...пропуски приемов....и т.д.НО! Подруге пообещала....Я сразу написала, что опыта ноль, только благодаря нашим лекторам стала сейчас обращать внимание на симметрию, на сустав и т.д. И вот, заходит пациент, на очередную смену лигатур, такой красивый в кабинет и что я вижу.....нижняя челюсть смещена влево, явная асимметрия. Куда мои глаза и мозги смотрели. Очень прошу помочь мне советами, что сейчас нужно сделать, с чего начать Ссылка на комментарий
Yana guapa Опубликовано 13 января, 2015 Поделиться Опубликовано 13 января, 2015 Начните с диагностики. Rg-снимки есть? считали ТРГ? фото в профиль не помешает и смыкание зубов с противоположной стороны. Когда пациент открывает максимально рот, средние линии совпадают, или есть хотя бы стремление к этому? соберите данные все.И вообще- пациента это смещение сильно беспокоит?)) Ссылка на комментарий
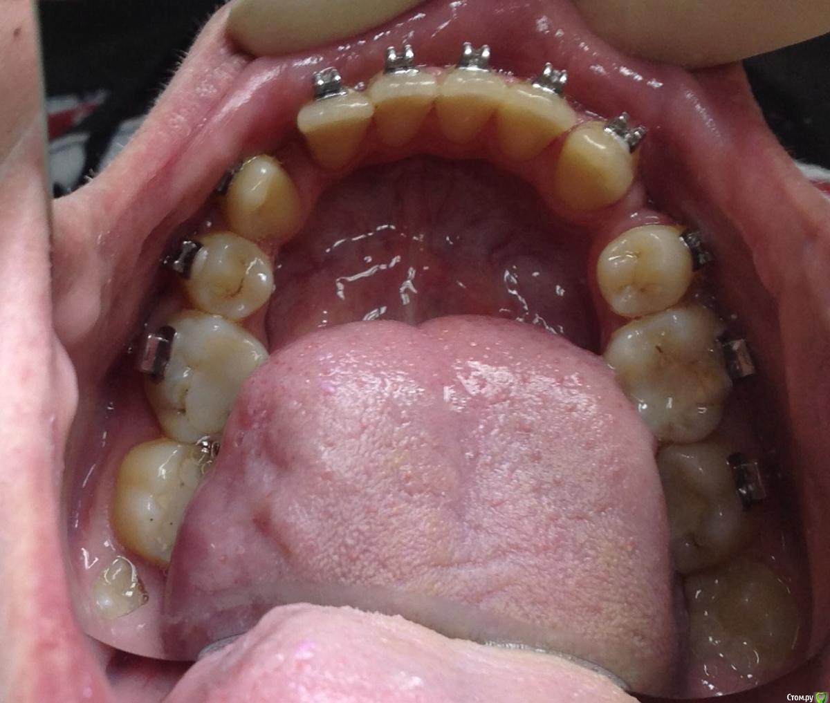
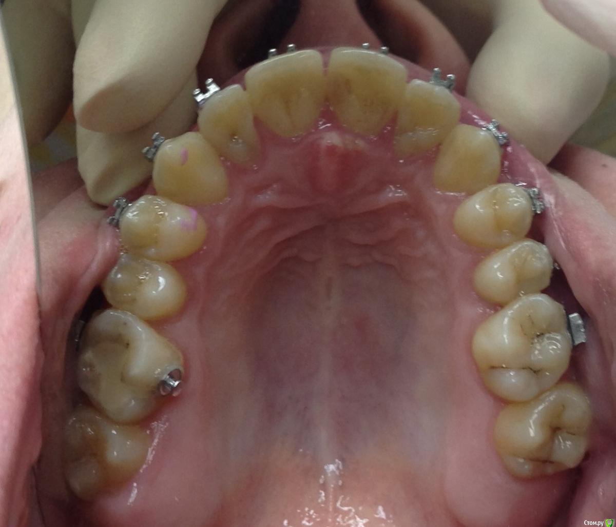
KoroNa Опубликовано 14 января, 2015 Автор Поделиться Опубликовано 14 января, 2015 Начните с диагностики. Rg-снимки есть? считали ТРГ? фото в профиль не помешает и смыкание зубов с противоположной стороны. Когда пациент открывает максимально рот, средние линии совпадают, или есть хотя бы стремление к этому? соберите данные все.И вообще- пациента это смещение сильно беспокоит?)) Спасибо за ваш быстрый ответ.Фото в профиль есть, а вот смыкание зубов слева не получился снимок. Постараюсь переделать. Снимков нет, отправила на ТРГ. При открывании рта среднии линии начинают более-менее совпадать. Пациента не беспокоило это пока я не с акцентировала на проблеме. Он стал жевать на левой стороне и впервые за все время у него появились щелчки в суставе. Ссылка на комментарий
Afffinity Опубликовано 14 января, 2015 Поделиться Опубликовано 14 января, 2015 Интересно, на оптг ветви нч одинаковой длины будут или все таки нет... Ссылка на комментарий
orthophil Опубликовано 18 января, 2015 Поделиться Опубликовано 18 января, 2015 Думаю паниковать пока рано. Такое иногда бывает при значительном перемещении зуба/зубов, когда возникают контакты бугор-в-бугор, а н.ч отвечает компенсаторным смещением в ту или иную стогону. Если ЦЛ н.ч при максимальном оркрывании рта мигрирует, то всеОК. В любом случае проведите полную диагностику, а ОПТГ сейчас сделайте в положении ЦО (при полном/максимальном смыкании зубов). Это даст возможность оценить симметрию СГ. PS с какой целью стоит лингвальная кнопка на в.ч, носит ли пациент эластики и если да то как? Ссылка на комментарий
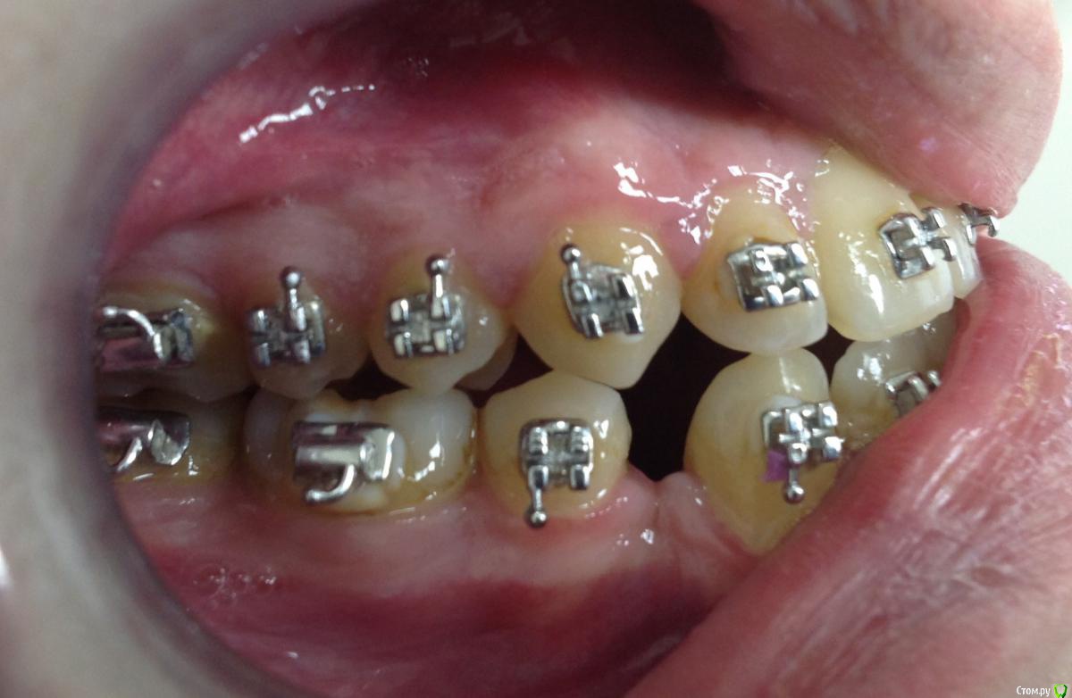
KoroNa Опубликовано 20 января, 2015 Автор Поделиться Опубликовано 20 января, 2015 Думаю паниковать пока рано. Такое иногда бывает при значительном перемещении зуба/зубов, когда возникают контакты бугор-в-бугор, а н.ч отвечает компенсаторным смещением в ту или иную стогону. Если ЦЛ н.ч при максимальном оркрывании рта мигрирует, то всеОК. В любом случае проведите полную диагностику, а ОПТГ сейчас сделайте в положении ЦО (при полном/максимальном смыкании зубов). Это даст возможность оценить симметрию СГ.PS с какой целью стоит лингвальная кнопка на в.ч, носит ли пациент эластики и если да то как?Здравствуйте.Центральная линия при максимальном открывании рта практически "централизуется", но там есть еще и смещение ЦЛ из-за миграции резцов влево."ОПТГ сейчас сделайте в положении ЦО (при полном/максимальном смыкании зубов" - т.е. объяснить пациенту чтобы сомкнул рот на все зубы как смыкает обычно? не нужно смещать челюсть и делать прикусной шаблон?Кнопка справа на 6ом моляре применялась для устранения перекрестной окклюзии. пациент оторвал замок и около месяца не появлялся на прием. вот зуб и уехал. Ссылка на комментарий
Yana guapa Опубликовано 20 января, 2015 Поделиться Опубликовано 20 января, 2015 Здравствуйте.Центральная линия при максимальном открывании рта практически "централизуется", но там есть еще и смещение ЦЛ из-за миграции резцов влево."ОПТГ сейчас сделайте в положении ЦО (при полном/максимальном смыкании зубов" - т.е. объяснить пациенту чтобы сомкнул рот на все зубы как смыкает обычно? не нужно смещать челюсть и делать прикусной шаблон?Кнопка справа на 6ом моляре применялась для устранения перекрестной окклюзии. пациент оторвал замок и около месяца не появлялся на прием. вот зуб и уехал. Да, снимок в ЦО -это снимок при максимальном количестве контактов между ВЧ и НЧ, т.е. его "родное" соотношение . Обычно ОПТГ делают удерживая позиционер резцами.Вам Orthophil предложил сделать "в прикусе", чтобы ярче увидеть асимметрию не только в ПР, но и на снимке, а также положение головок. Ссылка на комментарий
orthophil Опубликовано 20 января, 2015 Поделиться Опубликовано 20 января, 2015 Кнопка справа на 6ом моляре применялась для устранения перекрестной окклюзии. пациент оторвал замок и около месяца не появлялся на прием. вот зуб и уехал. Что значит "уехал" , а конкретнее куда? Ссылка на комментарий
orthophil Опубликовано 20 января, 2015 Поделиться Опубликовано 20 января, 2015 Да, снимок в ЦО -это снимок при максимальном количестве контактов между ВЧ и НЧ, т.е. его "родное" соотношение . Обычно ОПТГ делают удерживая позиционер резцами.Вам Orthophil предложил сделать "в прикусе", чтобы ярче увидеть асимметрию не только в ПР, но и на снимке, а также положение головок.Если снимок делаю по ортодонтическим показаниям, то делаю только в ЦО.На самом деле "родное" соотношение это ЦС ). Ссылка на комментарий
orthophil Опубликовано 20 января, 2015 Поделиться Опубликовано 20 января, 2015 P.S. Идеально чтобы ЦС совпадало сЦО. Ссылка на комментарий
KoroNa Опубликовано 23 января, 2015 Автор Поделиться Опубликовано 23 января, 2015 Кнопка справа на 6ом моляре применялась для устранения перекрестной окклюзии. пациент оторвал замок и около месяца не появлялся на прием. вот зуб и уехал. Что значит "уехал" , а конкретнее куда?Спасибо за ваши комментарии. Зуб 1.6 "ушел" в небную сторону -палатиноокклюзия, если не ошибаюсь. Ссылка на комментарий
orthophil Опубликовано 8 февраля, 2015 Поделиться Опубликовано 8 февраля, 2015 Понятно. Успехов. Ссылка на комментарий
PLAY Опубликовано 8 февраля, 2015 Поделиться Опубликовано 8 февраля, 2015 Попробуйте сделать билатеральную манипуляцию по Доусону, думаю что ассиметрия уйдет, заодно супраконтакты увидите. Хотя они тамвезде, правильных окклюзионных соотношений нет как люди вообще жуют так и в суставе всего лишь хрустит, а не болит сильно сильно Ссылка на комментарий
orthophil Опубликовано 9 февраля, 2015 Поделиться Опубликовано 9 февраля, 2015 Попробуйте сделать билатеральную манипуляцию по Доусону, думаю что ассиметрия уйдет, заодно супраконтакты увидите. Хотя они тамвезде, правильных окклюзионных соотношений нет как люди вообще жуют так и в суставе всего лишь хрустит, а не болит сильно сильноШтука хорошая но я думаю, что это не из-за мышечной асимметрии, не столько из-за нее, а сколько в следствие появления преждевременных контактов/контакта при перемещении зубов. Ссылка на комментарий
Maverick Опубликовано 1 марта, 2015 Поделиться Опубликовано 1 марта, 2015 (изменено) Переместить зубы в положение которое было запланировано изначально, справа поработать с перемещением, потом слева дотянуть, чтобы получить хорошие контакты, плюс полноразмерную стальные дугу можно расширить немного если есть необходимость в этом. Фото фронтальное сделано неправильно и дает неверную информацию, искажая данные. Хорошо было бы взглянуть что было до начала лечения. Хороших окклюзионных контактов все равно не получится в итоге. Изменено 1 марта, 2015 пользователем Maverick Ссылка на комментарий
Рекомендуемые сообщения
Для публикации сообщений создайте учётную запись или авторизуйтесь
Вы должны быть пользователем, чтобы оставить комментарий
Создать аккаунт
Зарегистрируйте новый аккаунт в нашем сообществе. Это очень просто!
Регистрация нового пользователяВойти
Уже есть аккаунт? Войти в систему.
Войти