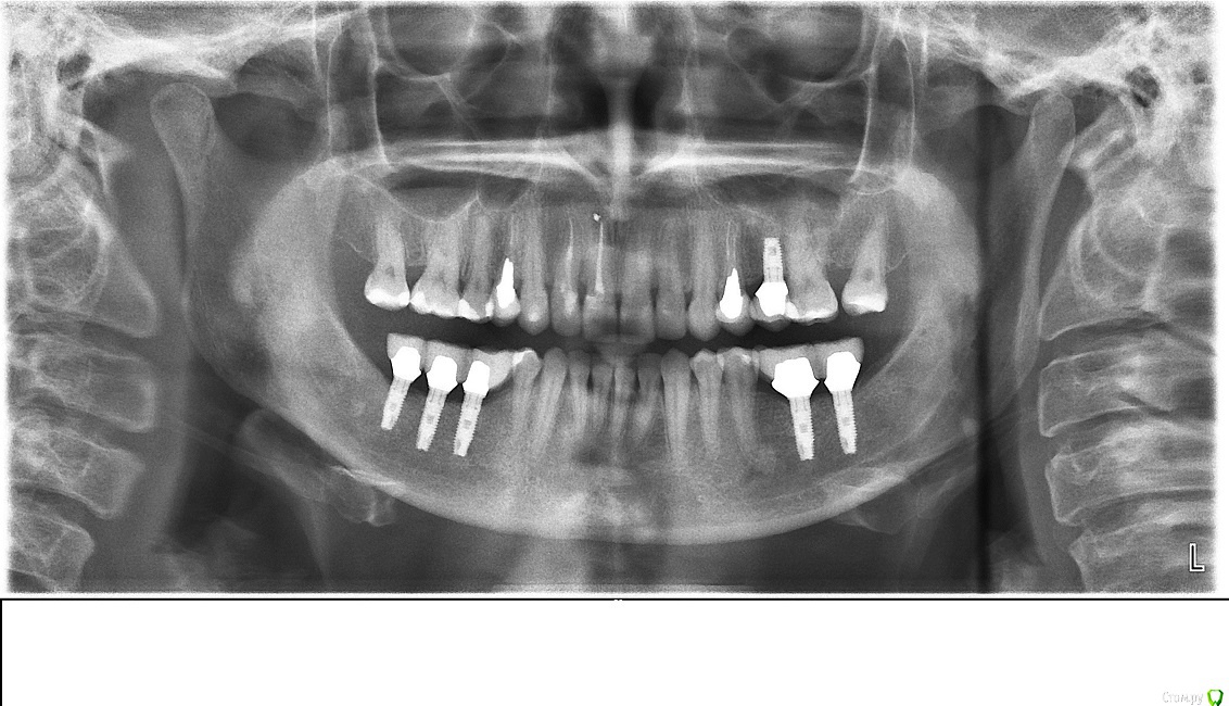
Таня-К Опубликовано 4 января, 2015 Поделиться Опубликовано 4 января, 2015 Добрый день! Проконсультируйте, пожалуста, по снимку. Два с половиной месяца назад закончено протезирование. На данный момент существует боль в области левого сустава (два-три раза в неделю, болит не сильно, что то между легкой болью и сильным дискомфортом). Мой врач несколько раз шлифовал контакты. Недавно я обратилась за консультацией в клинику, которая себя позиционирует как такая, что много внимания приделяет правильной окклюзии и на этом специализируется. Там мне сказали, что у меня большие проблемы с суставами (ассиметрия), это хроническое заболевание, "суставы назад вам никто не поставит", ортопедически эта проблема не решается, а только симптоматически. Посоветовали обратиться к остеопату.Уважаемые врачи! Буду очень благодарна за Ваше мнение по моей проблеме. Можно ли по этому снимку диагностировать (заподозрить) серьезные изменения в суставах? Или проблему можно решить (хотя бы частично) коррекцией коронок?Большое спасибо. Ссылка на комментарий
Skip Опубликовано 4 января, 2015 Поделиться Опубликовано 4 января, 2015 Можно ли по этому снимку диагностировать (заподозрить) серьезные изменения в суставах? "Заподозрить" то можно, но сказать что-то определённое нельзя, т.к. ОПТГ не является тем снимком, по которому ставят диагноз в отношении ВНЧС. МРТ наиболее информативный вид обследования. 1 Ссылка на комментарий
Таня-К Опубликовано 5 января, 2015 Автор Поделиться Опубликовано 5 января, 2015 Спасибо. Подскажите еще, пожалуста. Есть ли в моем случае основание для более глубокого обследования суставов? По моим ощущениям, у меня завышен прикус слева на коронках. Может, коррекция коронок решит все проблемы, и случай не такой сложный и "хронический"? Ссылка на комментарий
Skip Опубликовано 5 января, 2015 Поделиться Опубликовано 5 января, 2015 Спасибо. Подскажите еще, пожалуста. Есть ли в моем случае основание для более глубокого обследования суставов? По моим ощущениям, у меня завышен прикус слева на коронках. Может, коррекция коронок решит все проблемы, и случай не такой сложный и "хронический"? Пока не будет создано стабильных взаимоотношений суставных структур, Вы будете постоянно ощущать дискомфорт и эти коронки врядли будут доставлять Вам удовольствие в обозримом будущем. Их можно бесконечно пришлифовывать и не успеете встать с кресла, как будет опять возникать ощущение, что где-то завышает... Доктор ещё не вздрагивает, когда слышит Вашу фамилию на ресепшн..? 2 Ссылка на комментарий
Таня-К Опубликовано 10 января, 2015 Автор Поделиться Опубликовано 10 января, 2015 А что Вы посоветуете делать в моей ситуации? Ссылка на комментарий
Рекомендуемые сообщения
Для публикации сообщений создайте учётную запись или авторизуйтесь
Вы должны быть пользователем, чтобы оставить комментарий
Создать аккаунт
Зарегистрируйте новый аккаунт в нашем сообществе. Это очень просто!
Регистрация нового пользователяВойти
Уже есть аккаунт? Войти в систему.
Войти