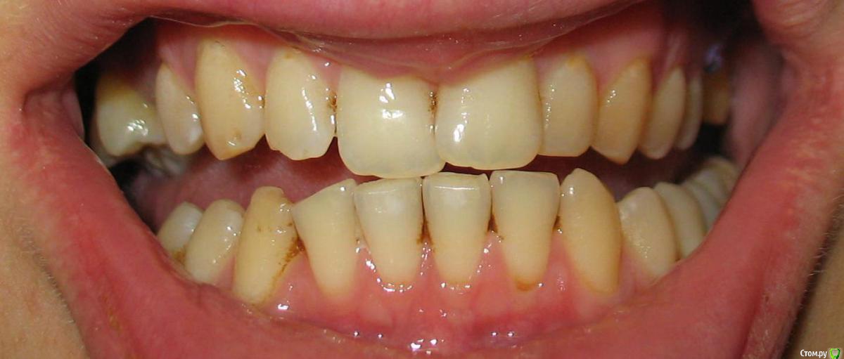
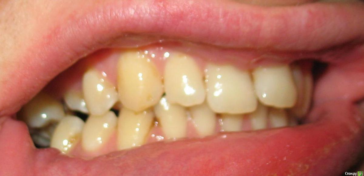
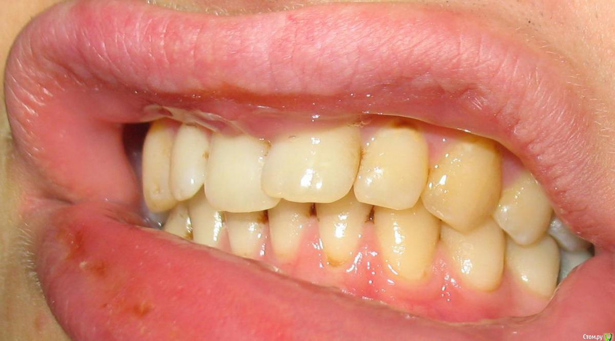
max2141 Опубликовано 4 января, 2015 Поделиться Опубликовано 4 января, 2015 Здравствуйте, уважаемые доктора!После посещения стоматолога мне было рекомендовано посетить стоматолога-ортодонта, поэтому у меня возникло несколько вопросов, по которым мне очень важно знать ваше мнение. 1) мне был удалён зуб 2.6, можно ли передвинуть вперёд зубы 2.7 и 2.8 на освободившееся место?2) нужно ли удалять зуб 1.5? Из-за того, что он развёрнут на 90 градусов мне рекомендовали его удалить перед началом ортодонтического лечения3) если возможно, то на какой срок будут необходимы брекеты? Прилагаю снимки и КТ двух челюстей. Заранее благодарю! Ссылка на DICOM : https://yadi.sk/d/DDLyqVftdmyGJ Панорамные снимки есть в этой теме: http://forum.stom.ru/topic/24727-nizhniaia-vosmerka/ Ссылка на комментарий
max2141 Опубликовано 10 января, 2015 Автор Поделиться Опубликовано 10 января, 2015 Добрый день! Я бы очень хотел получить консультацию. Достаточно тех данных, которые я предоставил, или требуется что-то ещё? Ссылка на комментарий
Force Опубликовано 10 января, 2015 Поделиться Опубликовано 10 января, 2015 проблема-то не простая. Восьмерки убирать. 26 имплантировать. 15 - не удалять.Вопрос с пространственным положением челюсти - нужна полная диагностика и анализ ситуации. Потом только принимать решения. Вариант с удалением 15 - заведомо ложный путь. Ссылка на комментарий
max2141 Опубликовано 11 января, 2015 Автор Поделиться Опубликовано 11 января, 2015 Спасибо за ответ! Мне хирург говорил, что имплантация 2.6 потребует дополнительных манипуляция с костной тканью. Это для меня весьма затратно. Получается, что вариант с перемещением 27 и 28 вообще не возможен? И по поводу 15: его так и оставить? Не разворачивать и не перемещать? Или на все эти вопросы нужна очная консультация? Ссылка на комментарий
Рекомендуемые сообщения
Для публикации сообщений создайте учётную запись или авторизуйтесь
Вы должны быть пользователем, чтобы оставить комментарий
Создать аккаунт
Зарегистрируйте новый аккаунт в нашем сообществе. Это очень просто!
Регистрация нового пользователяВойти
Уже есть аккаунт? Войти в систему.
Войти