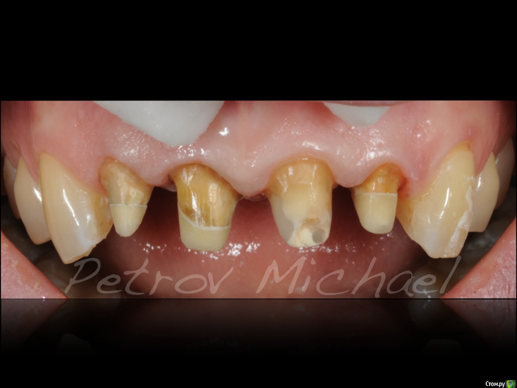
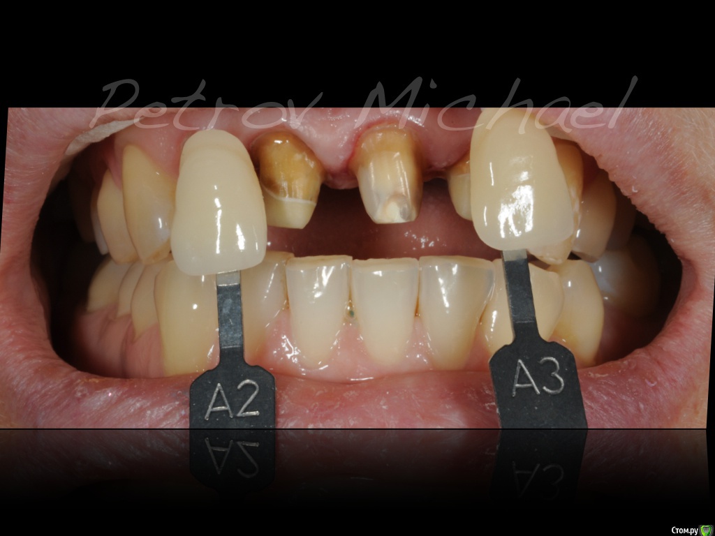
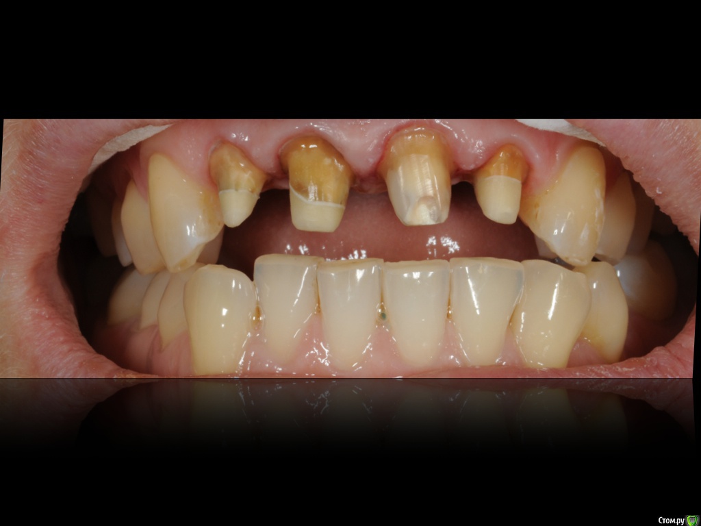
DR.P Опубликовано 25 декабря, 2014 Поделиться Опубликовано 25 декабря, 2014 (изменено) Коллеги, хочу поделиться случаем: обратилась пациентка с жалобами на гуляющие боли зубов не связанные с раздражителями, в процессе диагностики были выявлены множественные кариесы, дающие схожую симптоматику. Кариес успешно вылечен, но симптомы не ушли. Проводил комплексную гигиену с покрытиями АПФ, жалобы те же. Пациентке дал рекомендацию заняться лечением центральных резцов по следующим причинам: центральные резцы - мк мост, нарушение краевого прилегания (небно), обнаженный метал, граничащий с десной, признаки коррозии металла, эстетическое несоответствие формы и цвета зубов.В первый же день после снятия мк моста и изготовления временных коронок пациентка отметила ощущение 'легкости и здоровья'. При осмотре культи зубов поражены кариесом, оверпреп вестибулярно, недопреп небно и апроксимально. В каналах инородные тела, но периодонт без признаков патологических изменений. Все 4 зуба эндодонтически перелечены. Зубы восстановил КХС вкладками с керамической облицовкой. Изготовлены коронки из циркона. Во время первой примерки не попали в цвет, в итоге решил сделать центральные А3, боковые А3 от экватора до режущего и А3,5 в придесневой части.Фиксация всего на кетак цем. Были предложены коррекция зенитов, но пациентка хотела максимально сжатые сроки. Изменено 25 декабря, 2014 пользователем DR.P 4 Ссылка на комментарий
chervoncevdaniil Опубликовано 26 декабря, 2014 Поделиться Опубликовано 26 декабря, 2014 Тут ретракция только с 000 была? Ссылка на комментарий
DR.P Опубликовано 26 декабря, 2014 Автор Поделиться Опубликовано 26 декабря, 2014 Тут ретракция только с 000 была?Нет, 00 ретракция одной нитью. 000 использую только во время двойной ретракции в качестве первой нити. Ссылка на комментарий
mlmf Опубликовано 4 января, 2015 Поделиться Опубликовано 4 января, 2015 А как определяете когда лучше одну нить, а когда 2? Понятно по биотипу десны , а как его определить ? Ссылка на комментарий
DR.P Опубликовано 5 января, 2015 Автор Поделиться Опубликовано 5 января, 2015 А как определяете когда лучше одну нить, а когда 2? Понятно по биотипу десны , а как его определить ? На практике если тонки биотип десны - зубодесневая борозда неглубокая (при введении одной нити как правило уже нет свободного места) Методика одной нити проще быстрее и удобна при расположении границы препарирования на уровне десневого края. Такой методикой мы смещаем десну в основном по вертикали, чем по горизонтали.Если использовать методику 2х нитей мы смещаем десневой край и по вертикали (000) и горизонтали (00), тем самым добиваемся значительной толщины коррегирующего слоя в области зубодесневой борозды. Но такая методика будет травматичнее для десны и осуществить ее на тонком биотипе не получится.Что касается моего кейса, здесь можно было использовать обе методики. Сам экспериментирую еще =) Ссылка на комментарий
chervoncevdaniil Опубликовано 5 января, 2015 Поделиться Опубликовано 5 января, 2015 Если нить одна(000)она все равно остается в борозде во время снятия оттиска или вы ее убираете? Ссылка на комментарий
DR.P Опубликовано 5 января, 2015 Автор Поделиться Опубликовано 5 января, 2015 (изменено) Если нить одна(000)она все равно остается в борозде во время снятия оттиска или вы ее убираете?Вообще по правилам надо оставлять, но в данном случае я ее убрал и быстро ввел пистолетом коррегирующий. Если бы оставил 00, то она бы точно вышла со слепком (не люблю) А вот 000 тут можно было бы смело утопить и снимать слепок, не боясь ее вытащить Изменено 5 января, 2015 пользователем DR.P Ссылка на комментарий
chervoncevdaniil Опубликовано 5 января, 2015 Поделиться Опубликовано 5 января, 2015 А вчем минус,если нить выходит со слепком? Ссылка на комментарий
DR.P Опубликовано 5 января, 2015 Автор Поделиться Опубликовано 5 января, 2015 А вчем минус,если нить выходит со слепком?Минус в том, что нить может быть сухой или мокрой, соответственно набухать или сжиматься. во время изготовления модели нить может деформироваться, натянуть участок коррегирующей массы или оторваться на этапе извлечения модели из оттиска и остаться в гипсе. Это геморой для техника. Ссылка на комментарий
Dr.Sham Опубликовано 6 января, 2015 Поделиться Опубликовано 6 января, 2015 Культевые вкладки кажутся излишними. 1 Ссылка на комментарий
DR.P Опубликовано 6 января, 2015 Автор Поделиться Опубликовано 6 января, 2015 Культевые вкладки кажутся излишними.Культевым доверяю больше чем СВШ с билдапом. Надеяться на адгезивную фиксацию при ретритмение не стоит, ткани пигментированые. Есть риск перелома на одиночных коронках фронтальной группы. Поэтому только вкв. Ссылка на комментарий
Рекомендуемые сообщения
Для публикации сообщений создайте учётную запись или авторизуйтесь
Вы должны быть пользователем, чтобы оставить комментарий
Создать аккаунт
Зарегистрируйте новый аккаунт в нашем сообществе. Это очень просто!
Регистрация нового пользователяВойти
Уже есть аккаунт? Войти в систему.
Войти