Dantist55 Опубликовано 22 декабря, 2014 Поделиться Опубликовано 22 декабря, 2014 Извиняюсь за фото, над фотопротоколом работаю. Критика приветствуется. 17 Ссылка на комментарий
Аслан Опубликовано 22 декабря, 2014 Поделиться Опубликовано 22 декабря, 2014 Мне кажется можно было и менее травматичную методику выбрать...Просто нкр, или мпк... Ссылка на комментарий
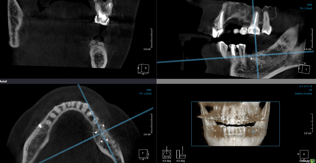
Популярный пост Dantist55 Опубликовано 22 декабря, 2014 Автор Популярный пост Поделиться Опубликовано 22 декабря, 2014 Через 5 месяцев... 21 Ссылка на комментарий
Magomed Опубликовано 22 декабря, 2014 Поделиться Опубликовано 22 декабря, 2014 мне понравилось 1 Ссылка на комментарий
Sahan Опубликовано 22 декабря, 2014 Поделиться Опубликовано 22 декабря, 2014 Сейчас Дмитрий будет ворчать, что фото не полностью загружены)) 2 Ссылка на комментарий
АнтонТЛТ Опубликовано 22 декабря, 2014 Поделиться Опубликовано 22 декабря, 2014 Название темы не соответствует выложенному кейсу. Тут не блоки, а ламинаты. И в классике нет графта, чистый ауто Ссылка на комментарий
Sahan Опубликовано 22 декабря, 2014 Поделиться Опубликовано 22 декабря, 2014 В четвертом сегменте во время имплантации дополнительно костную пластику проводили? Ссылка на комментарий
ILGAMSA Опубликовано 22 декабря, 2014 Поделиться Опубликовано 22 декабря, 2014 Супер! 1 Ссылка на комментарий
fmn Опубликовано 22 декабря, 2014 Поделиться Опубликовано 22 декабря, 2014 Спасибо, что поделились! Отличная работа, приятно смотреть. Ссылка на комментарий
Dantist G.M. Опубликовано 22 декабря, 2014 Поделиться Опубликовано 22 декабря, 2014 Мне тоже понравилось, хоть и не гуру я сам. Тем не менее всегда слежу за форумом и каждый день читаю новости и новые темы. Ссылка на комментарий
Mane Опубликовано 22 декабря, 2014 Поделиться Опубликовано 22 декабря, 2014 в целом хорошо. но нет деталей где я смогу понять что качественно отработали: 1) кт срезы до и после с замерами чтоб было понятно на сколько нарастили 2)кт срезы с установленными имплантами чтоб было понятно какие болты удалось установить и стало чтоб всем понятно для чего наращивали - ведь вы растили в высоту и в ширину. 3) фото на этапе установленных имплантов - соотношение платформы импланта и уровня кости - заглубили или нет - если да то насколько. Ориентировались ли на будущий зенит зуба. мне понравилось. но чуйка что есть гиперлечение - думаю можно было болты и костную пластику совместить. Растить по высоте я скорее всего бы не стал. 1 Ссылка на комментарий
SDC Опубликовано 22 декабря, 2014 Поделиться Опубликовано 22 декабря, 2014 Через 5 месяцев...Мне не понравилось просветление в 3 квадранте. Крутили КТ? Что это? Ссылка на комментарий
Bier Опубликовано 22 декабря, 2014 Поделиться Опубликовано 22 декабря, 2014 я бы в 3м сегменте пластику не стал бы делать. 1 Ссылка на комментарий
Чертков Александр Опубликовано 22 декабря, 2014 Поделиться Опубликовано 22 декабря, 2014 я бы в 3м сегменте пластику не стал бы делать.Олег, в 3м или всё таки в 4м? Ссылка на комментарий
Bier Опубликовано 22 декабря, 2014 Поделиться Опубликовано 22 декабря, 2014 в 3м, где вертикалили. Ссылка на комментарий
Dantist55 Опубликовано 22 декабря, 2014 Автор Поделиться Опубликовано 22 декабря, 2014 В четвертом сегменте во время имплантации дополнительно костную пластику проводили?Да, имплантация с НКР. Ссылка на комментарий
Dantist55 Опубликовано 22 декабря, 2014 Автор Поделиться Опубликовано 22 декабря, 2014 Супер!Очень приятно услышать такой отзыв от "Мастера"! Ссылка на комментарий
Dantist55 Опубликовано 22 декабря, 2014 Автор Поделиться Опубликовано 22 декабря, 2014 Спасибо, что поделились! Отличная работа, приятно смотреть.Я рад что Вам понравилось. Ссылка на комментарий
Dantist55 Опубликовано 22 декабря, 2014 Автор Поделиться Опубликовано 22 декабря, 2014 Мне тоже понравилось, хоть и не гуру я сам. Тем не менее всегда слежу за форумом и каждый день читаю новости и новые темы.Я и сам больше читаю, т.к. не решаюсь выкладывать свои работы (уж очень высока планка установленная старожилами) 1 Ссылка на комментарий
Dantist55 Опубликовано 22 декабря, 2014 Автор Поделиться Опубликовано 22 декабря, 2014 в целом хорошо. но нет деталей где я смогу понять что качественно отработали: 1) кт срезы до и после с замерами чтоб было понятно на сколько нарастили 2)кт срезы с установленными имплантами чтоб было понятно какие болты удалось установить и стало чтоб всем понятно для чего наращивали - ведь вы растили в высоту и в ширину. 3) фото на этапе установленных имплантов - соотношение платформы импланта и уровня кости - заглубили или нет - если да то насколько. Ориентировались ли на будущий зенит зуба. мне понравилось. но чуйка что есть гиперлечение - думаю можно было болты и костную пластику совместить. Растить по высоте я скорее всего бы не стал.КТ посмотрю позже на работе - я в отпуске.По высоте добавляли чтобы зубы не получились большими.Импланты не заглублял, т.к. у XIVE полированная фаска.Насчет гиперлечения может Вы и правы. Эту работу я сделал сразу после приезда от Кури. 2 Ссылка на комментарий
Dantist55 Опубликовано 22 декабря, 2014 Автор Поделиться Опубликовано 22 декабря, 2014 Мне не понравилось просветление в 3 квадранте. Крутили КТ? Что это?Перед имплантацией крутил-все было норм. Ссылка на комментарий
SDC Опубликовано 22 декабря, 2014 Поделиться Опубликовано 22 декабря, 2014 Перед имплантацией крутил-все было норм.Значит так эксклюзивно фонит. Ссылка на комментарий
Dantist55 Опубликовано 22 декабря, 2014 Автор Поделиться Опубликовано 22 декабря, 2014 Значит так эксклюзивно фонит. Ссылка на комментарий
Alejandro Опубликовано 22 декабря, 2014 Поделиться Опубликовано 22 декабря, 2014 Классно! Хансер тоже одобрил бы, особенно если ауто было бы). Ссылка на комментарий
Dantist55 Опубликовано 22 декабря, 2014 Автор Поделиться Опубликовано 22 декабря, 2014 Классно! Хансер тоже одобрил бы, особенно если ауто было бы).Я думаю Mix даже стабильнее будет. Ссылка на комментарий
Рекомендуемые сообщения
Для публикации сообщений создайте учётную запись или авторизуйтесь
Вы должны быть пользователем, чтобы оставить комментарий
Создать аккаунт
Зарегистрируйте новый аккаунт в нашем сообществе. Это очень просто!
Регистрация нового пользователяВойти
Уже есть аккаунт? Войти в систему.
Войти