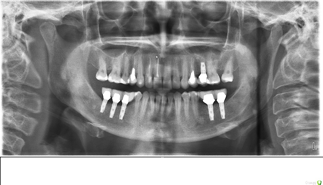
Таня-К Опубликовано 21 декабря, 2014 Поделиться Опубликовано 21 декабря, 2014 Добрый день, уважаемые врачи! Прошу Вашей консультации по имплантам. Импланты установлены в ноябре 2012 года, запротезированы в апреле 2013 (снимок 1 сделан в августе 2013). В октябре 2014 заменены коронки с целью улучшения окклюзии и эстетики, поскольку были мышечные боли и парафункции. Снимок 2 - новое протезирование.Проконсультируйте, пожалуста, произошла ли резорбция десны вокруг имплантов слева (там где три) и существует ли на данном этапе угроза для имплантов? Ссылка на комментарий
Bier Опубликовано 21 декабря, 2014 Поделиться Опубликовано 21 декабря, 2014 Если внешне все спокойно, то на мой взгляд - это вариант нормы. 3 Ссылка на комментарий
Большой Зеленый Опубликовано 22 декабря, 2014 Поделиться Опубликовано 22 декабря, 2014 Все нормально 1 Ссылка на комментарий
Таня-К Опубликовано 22 декабря, 2014 Автор Поделиться Опубликовано 22 декабря, 2014 Большое спасибо! Ссылка на комментарий
Рекомендуемые сообщения
Для публикации сообщений создайте учётную запись или авторизуйтесь
Вы должны быть пользователем, чтобы оставить комментарий
Создать аккаунт
Зарегистрируйте новый аккаунт в нашем сообществе. Это очень просто!
Регистрация нового пользователяВойти
Уже есть аккаунт? Войти в систему.
Войти