Популярный пост Фарид Расулыч Опубликовано 20 декабря, 2014 Популярный пост Поделиться Опубликовано 20 декабря, 2014 (изменено) Пациент обратился с проблемой, на производстве выбило зуб полетевшей в лицо "фиговиной". При осмотре коронка сломана глубоко под десну. Принято решение удалять и имплантировать с одномоментным временным протезированием. Работа производилась в конце смены, поэтому фоткать было особо некогда. Но кое что заснял. Удалил корень, имплантировал (заглубил имплант), подшил маленькую сст-шку (пожалел что маленькую, надо было жиренй), снял слепок (десневой маски под рукой не было, модель вся из гипса), сделал на обычном абатменте времяшку (были под рукой только обычные абатменеты, на них и воспроизводил сию лепнину), прикрутил. Самовыводы: не торопиться, сст жирней, времяшки не на обычных абатментах, ибо жалки да и пробивает метал. Через какое то время наверно переделаю времянку и зениты подровняю, но пациента все устраивает. Что скажете вы?? Изменено 20 декабря, 2014 пользователем Фарид Расулыч 23 Ссылка на комментарий
Фарид Расулыч Опубликовано 20 декабря, 2014 Автор Поделиться Опубликовано 20 декабря, 2014 Айрат, лайкаешь из соседнего кабинета??? :-D 1 Ссылка на комментарий
red_butler Опубликовано 20 декабря, 2014 Поделиться Опубликовано 20 декабря, 2014 можно только порадоваться за работягу 2 Ссылка на комментарий
Дмитрий Никитюк Опубликовано 20 декабря, 2014 Поделиться Опубликовано 20 декабря, 2014 Эх, жалко корень, можно было экструзию сделать.Фото так просматривать неудобно. Не ленитесь заливать на файлообменник. Раздражает жутко, да и просматривать по одной неудобно.Шовник пора менять. 2 Ссылка на комментарий
Фарид Расулыч Опубликовано 20 декабря, 2014 Автор Поделиться Опубликовано 20 декабря, 2014 Дмитрий, про файлообменник тоже подумал. Шовник, уже поменяли. Про экструзию я как то не подумал, затупил... :-( Ссылка на комментарий
kladoffka Опубликовано 20 декабря, 2014 Поделиться Опубликовано 20 декабря, 2014 на какой шовник менять? моносин и пр. мононити? Ссылка на комментарий
kladoffka Опубликовано 20 декабря, 2014 Поделиться Опубликовано 20 декабря, 2014 Фарид, работа класс! 1 Ссылка на комментарий
Ayrat_zub Опубликовано 20 декабря, 2014 Поделиться Опубликовано 20 декабря, 2014 Айрат, лайкаешь из соседнего кабинета??? :-D ага 1 Ссылка на комментарий
Евгений Ходыкин Опубликовано 20 декабря, 2014 Поделиться Опубликовано 20 декабря, 2014 А чем неудобно так просматривать то, не пойму. Тут же открыл, увеличил... 1 Ссылка на комментарий
Чертков Александр Опубликовано 20 декабря, 2014 Поделиться Опубликовано 20 декабря, 2014 Отлично! Только "канаты" не айс... Ссылка на комментарий
an_ver Опубликовано 20 декабря, 2014 Поделиться Опубликовано 20 декабря, 2014 Маладца)) Фарид! Чувствуется на северных нефтяниках и газовиках рука набита)) у них часто фиговины и кулаки по зубам прилетают 2 Ссылка на комментарий
Фарид Расулыч Опубликовано 20 декабря, 2014 Автор Поделиться Опубликовано 20 декабря, 2014 Про летящие в лицо фиговины это точно!) как то когда еще работал в поликлинике привозили пациента, ему диск от болгарки в лицо прилетел. Отправляли в члх Сыктывкара, лицо собирали по кускам. Через пол года когда выписали лицо на паспорте и лицо на голове не совпадали) 2 Ссылка на комментарий
Дмитрий Никитюк Опубликовано 20 декабря, 2014 Поделиться Опубликовано 20 декабря, 2014 А чем неудобно так просматривать то, не пойму. Тут же открыл, увеличил...Это как кино по кадрам смотреть. Неудобно и всё. Зачем ещё куда то тыкать, да и ещё экран двигать, чтобы всё рассмотреть? Хочется видеть на экране все картинки в нормальном размере одновременно, чтобы сравнивать последовательные этапы в том числе. Что сложного в загрузке нормальных фото? Какие могут быть аргументы против, кроме лени? Ссылка на комментарий
Евгений Ходыкин Опубликовано 20 декабря, 2014 Поделиться Опубликовано 20 декабря, 2014 Это как кино по кадрам смотреть. Неудобно и всё. Зачем ещё куда то тыкать, да и ещё экран двигать, чтобы всё рассмотреть? Хочется видеть на экране все картинки в нормальном размере одновременно, чтобы сравнивать последовательные этапы в том числе. Что сложного в загрузке нормальных фото? Какие могут быть аргументы против, кроме лени? Если память мне не изменяет, то обменник поджимает картинку. Плюс надо открыть отдельную вкладку, дождаться там загрузки... Тут же всё сразу и на месте. Поправьте, если не прав 1 Ссылка на комментарий
Дмитрий Никитюк Опубликовано 20 декабря, 2014 Поделиться Опубликовано 20 декабря, 2014 Если память мне не изменяет, то обменник поджимает картинку. Плюс надо открыть отдельную вкладку, дождаться там загрузки... Тут же всё сразу и на месте. Поправьте, если не прав Грузится довольно быстро. Да, тому кто выкладывает фото не так удобно, зато всем, кто будет просматривать потом очень удобно. Размещение подобных мелких фото это признак неуважения к читателям. Ссылка на комментарий
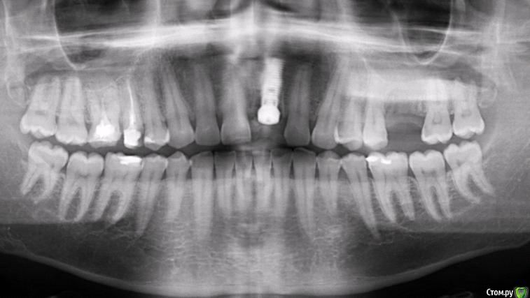
Sahan Опубликовано 20 декабря, 2014 Поделиться Опубликовано 20 декабря, 2014 Какой диаметр имплантата? Куда выходит шахта? Ссылка на комментарий
Фарид Расулыч Опубликовано 20 декабря, 2014 Автор Поделиться Опубликовано 20 декабря, 2014 Ну уж про неуважение Вы загнули. 4 Ссылка на комментарий
Фарид Расулыч Опубликовано 20 декабря, 2014 Автор Поделиться Опубликовано 20 декабря, 2014 3,75 х 16мм. Ставил по оси зуба. Ссылка на комментарий
kriokov Опубликовано 20 декабря, 2014 Поделиться Опубликовано 20 декабря, 2014 Грузится довольно быстро. Да, тому кто выкладывает фото не так удобно, зато всем, кто будет просматривать потом очень удобно. Размещение подобных мелких фото это признак неуважения к читателям.Да отчего не уважение то? Одну открываешь, и далее можно последовательно в большом формате‘ если фотки масштабированы , и вставлены последовательно, нормально просматриваются. Имхо 4 Ссылка на комментарий
Евгений Ходыкин Опубликовано 20 декабря, 2014 Поделиться Опубликовано 20 декабря, 2014 Да отчего не уважение то? Одну открываешь, и далее можно последовательно в большом формате‘ если фотки масштабированы , и вставлены последовательно, нормально просматриваются. ИмхоИ я про то же. В конце концов системой сайта так предусмотрено... 2 Ссылка на комментарий
Дмитрий Никитюк Опубликовано 20 декабря, 2014 Поделиться Опубликовано 20 декабря, 2014 Да отчего не уважение то? Одну открываешь, и далее можно последовательно в большом формате‘ если фотки масштабированы , и вставлены последовательно, нормально просматриваются. ИмхоЯ выше написал почему. Тому кто просматривает жутко неудобно. Ссылка на комментарий
kriokov Опубликовано 20 декабря, 2014 Поделиться Опубликовано 20 декабря, 2014 3,75 х 16мм. Ставил по оси зуба.По снимку показалось 13 мм максимум Ссылка на комментарий
leon2505 Опубликовано 20 декабря, 2014 Поделиться Опубликовано 20 декабря, 2014 Да отчего не уважение то? Одну открываешь, и далее можно последовательно в большом формате‘ если фотки масштабированы , и вставлены последовательно, нормально просматриваются. Имхо+1 Ссылка на комментарий
Фарид Расулыч Опубликовано 20 декабря, 2014 Автор Поделиться Опубликовано 20 декабря, 2014 Тем не менее это 16. Зуб небно уходит. Я как то заказал 8 имплантов по 16 мм для all on four, пациент не пришел) пришлось реализовывать импланты)) 2 Ссылка на комментарий
kriokov Опубликовано 20 декабря, 2014 Поделиться Опубликовано 20 декабря, 2014 Тем не менее это 16. Зуб небно уходит. Я как то заказал 8 имплантов по 16 мм для all on four, пациент не пришел) пришлось реализовывать импланты))Вот это я и не учел Ссылка на комментарий
Рекомендуемые сообщения
Для публикации сообщений создайте учётную запись или авторизуйтесь
Вы должны быть пользователем, чтобы оставить комментарий
Создать аккаунт
Зарегистрируйте новый аккаунт в нашем сообществе. Это очень просто!
Регистрация нового пользователяВойти
Уже есть аккаунт? Войти в систему.
Войти