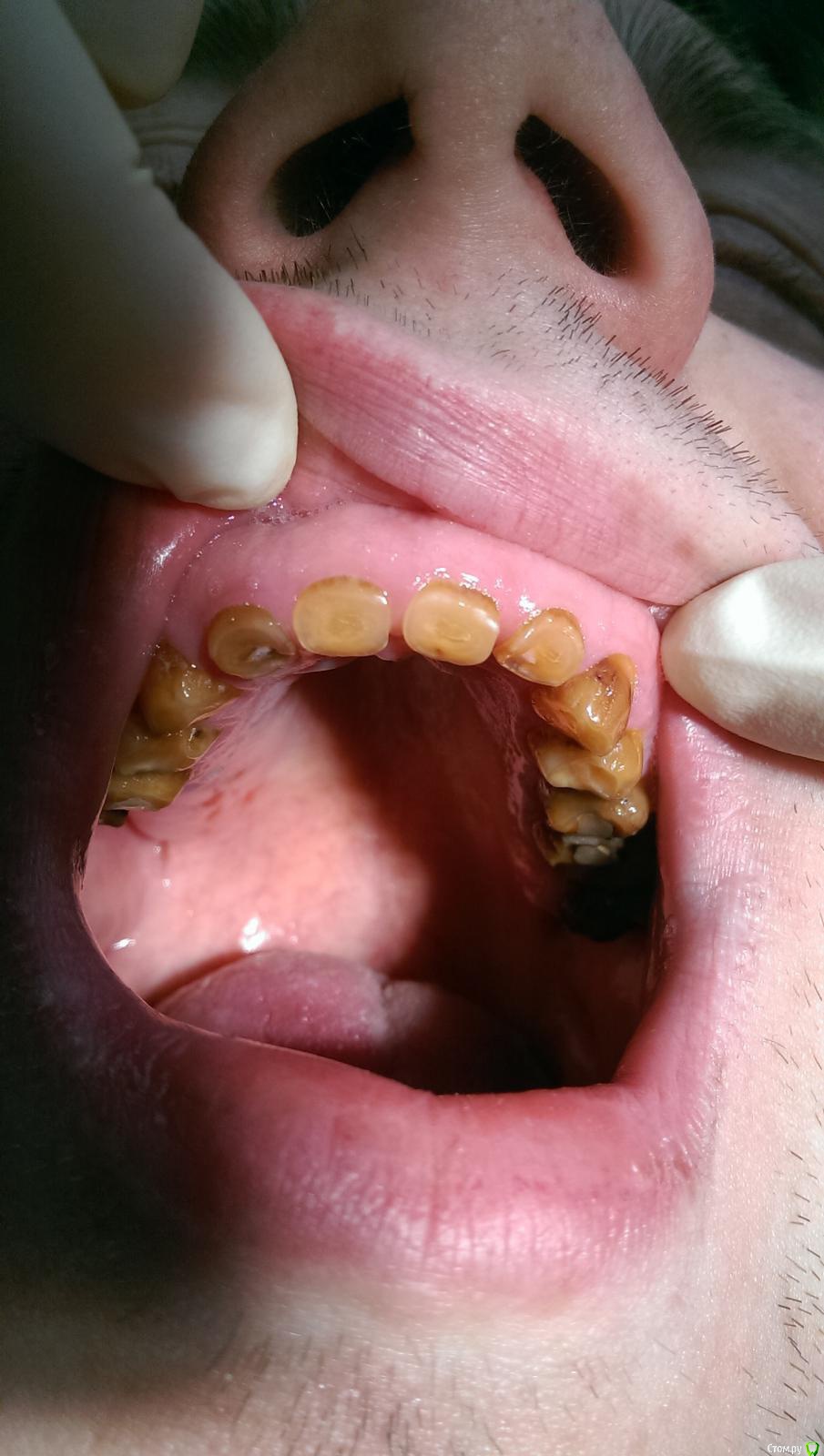
Ром@н Опубликовано 17 декабря, 2014 Поделиться Опубликовано 17 декабря, 2014 Пациент- молодой человек 28 лет.Посоветуйте пожалуйста как быть. Сегодня сфотографировал. ОПТГ будет позже - не знаю только когда, т.к. проподает. Сегодня удалили 1.6. Ссылка на комментарий
Ром@н Опубликовано 17 декабря, 2014 Автор Поделиться Опубликовано 17 декабря, 2014 Вот фото с телефона правда Ссылка на комментарий
DR.P Опубликовано 19 декабря, 2014 Поделиться Опубликовано 19 декабря, 2014 (изменено) Интересный случай. Напишу краткий протокол лечения и варианты:1) измеряем физ покой, и высоту его прикуса. Если разница этих значений больше 2-3 мм - стираемость - необходимо повышать прикус.2) Если 2-3 мм - значит стираемость компенсаторная, то есть с зубоальвеолярным выдвижением. В случае 1) культевые вкладки и коронки (необходимо вернуть высоту прикуса)В случае 2) хирургическое удлинение зубов, коронки Изменено 19 декабря, 2014 пользователем DR.P Ссылка на комментарий
Ром@н Опубликовано 20 декабря, 2014 Автор Поделиться Опубликовано 20 декабря, 2014 лечил у него несколько зубов по поводу кариеса - пломбы не держатся вылетают со временем, хотя когда препарирую все плотно Ссылка на комментарий
DR.P Опубликовано 20 декабря, 2014 Поделиться Опубликовано 20 декабря, 2014 Я же вам написал выше, измеряли физ покой? По поводу пломб - здесь протезирование комплексное Ссылка на комментарий
chervoncevdaniil Опубликовано 21 декабря, 2014 Поделиться Опубликовано 21 декабря, 2014 Мне кажется тут явно снижение высоты прикуса компенсировано,взгляните на мощный альвеолярный отросток.Не простая ситуация у пациента,без грамотной хирургии будет сложно Ссылка на комментарий
chervoncevdaniil Опубликовано 21 декабря, 2014 Поделиться Опубликовано 21 декабря, 2014 P.S.и тему скорее в ортопедию,с точки зрения терапии мне кажется здесь делать нечего Ссылка на комментарий
Ром@н Опубликовано 21 декабря, 2014 Автор Поделиться Опубликовано 21 декабря, 2014 я просто к тому будет ли фиксироваться вкладка в канале,т.к какие пломбы только не ставил все держались недолго - я к тому что будет ли фиксация Ссылка на комментарий
chervoncevdaniil Опубликовано 21 декабря, 2014 Поделиться Опубликовано 21 декабря, 2014 я просто к тому будет ли фиксироваться вкладка в канале,т.к какие пломбы только не ставил все держались недолго - я к тому что будет ли фиксацияКакая связь что у вас выпадала пломба с фиксацией литой культевой вкладки? 1 Ссылка на комментарий
Ром@н Опубликовано 22 декабря, 2014 Автор Поделиться Опубликовано 22 декабря, 2014 не будет ли расфиксация вкладок Ссылка на комментарий
Ром@н Опубликовано 12 мая, 2015 Автор Поделиться Опубликовано 12 мая, 2015 Вот пациент вернулся и даже сделам ОПТГ Ссылка на комментарий
Ром@н Опубликовано 12 мая, 2015 Автор Поделиться Опубликовано 12 мая, 2015 ОПТГ КАЧЕСТВО С ТЕЛЕФОНП Ссылка на комментарий
Петрович Опубликовано 16 мая, 2015 Поделиться Опубликовано 16 мая, 2015 площадь сцепления при фиксации вкладки больше. Ссылка на комментарий
Dr.Berlinale Опубликовано 22 мая, 2015 Поделиться Опубликовано 22 мая, 2015 Судя по снимкам, все должно держаться. Ссылка на комментарий
Рекомендуемые сообщения
Для публикации сообщений создайте учётную запись или авторизуйтесь
Вы должны быть пользователем, чтобы оставить комментарий
Создать аккаунт
Зарегистрируйте новый аккаунт в нашем сообществе. Это очень просто!
Регистрация нового пользователяВойти
Уже есть аккаунт? Войти в систему.
Войти