Большой Зеленый Опубликовано 7 ноября, 2022 Поделиться Опубликовано 7 ноября, 2022 3 Ссылка на комментарий
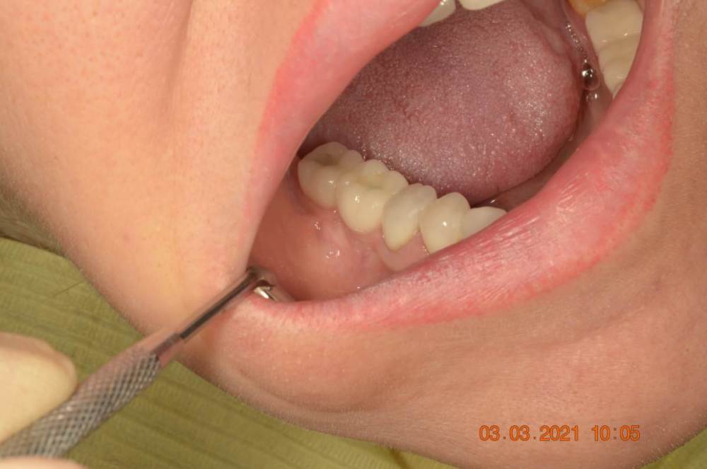
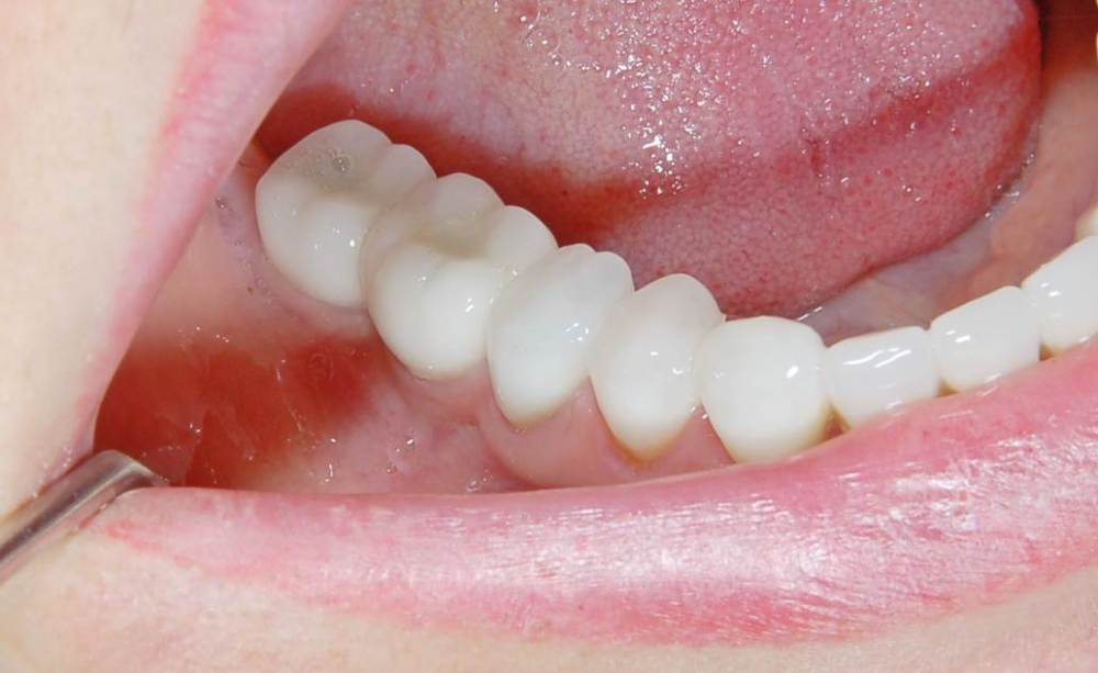
Большой Зеленый Опубликовано 7 ноября, 2022 Поделиться Опубликовано 7 ноября, 2022 Обратите внимание на даты 2 Ссылка на комментарий
Большой Зеленый Опубликовано 7 ноября, 2022 Поделиться Опубликовано 7 ноября, 2022 @Mailze Если честно ,система не совсем отечественная ,а если совсем честно то она итальянская .ВВ Дентал. Пилят винты в городе Балонья .В 2019 году я был на производстве. Потрясает конечно. Хотели перенести производство в роскосмос или в сколково ,но дальше слов не пошло. Может быть и к лучшему 1 Ссылка на комментарий
Mailze Опубликовано 7 ноября, 2022 Поделиться Опубликовано 7 ноября, 2022 Спасибо большое за подробный и развернутый ответ! Ссылка на комментарий
TIGER Опубликовано 7 ноября, 2022 Поделиться Опубликовано 7 ноября, 2022 @Большой ЗеленыйГлавный минус это её не распостраннёность....она может и в работе хороша,но это бесперспективная система на сегодня Ссылка на комментарий
Большой Зеленый Опубликовано 7 ноября, 2022 Поделиться Опубликовано 7 ноября, 2022 У Меня много реферативных пациентов . приходят протезироваться на других системах . Фрезерный центр легко изготавливает любые абатменты . Слепочный модуль и аналог купить в эпоху интернета очень просто . Какая нужна распространенность? Ссылка на комментарий
TIGER Опубликовано 7 ноября, 2022 Поделиться Опубликовано 7 ноября, 2022 @Большой Зеленый оригинал нужен только(я не использую реплики например ),плюс в РФ и мире и система не распостранена.за этот прайс есть куча систем более продвинутых . Ссылка на комментарий
Большой Зеленый Опубликовано 7 ноября, 2022 Поделиться Опубликовано 7 ноября, 2022 У дилера есть премил абатменты. За 10 лет работы проблем никаких не было. 1 Ссылка на комментарий
Рекомендуемые сообщения
Для публикации сообщений создайте учётную запись или авторизуйтесь
Вы должны быть пользователем, чтобы оставить комментарий
Создать аккаунт
Зарегистрируйте новый аккаунт в нашем сообществе. Это очень просто!
Регистрация нового пользователяВойти
Уже есть аккаунт? Войти в систему.
Войти