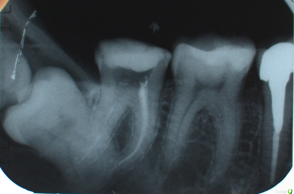
Kitten Опубликовано 13 декабря, 2014 Поделиться Опубликовано 13 декабря, 2014 (изменено) Добрый день, уважаемые специалисты Хочу с Вами проконсультироваться по сложному вопросу, за который не стали браться в платной клинике. После лечения глубокого кариеса зуба 4-7 остались две тонкие стенки, и я решила перейти к его протезированию. Перед установкой металлической вкладки сделали снимок, и оказалось, что зуб мудрости (или 8-ой зуб) лежит вертикально и цепляется корнями за семерку (снимок прилагается). А еще над семеркой есть "капюшон" (возможно, это тоже важная информация).8-ой зуб меня, в принципе, не беспокоит, десна не воспалена. Только иногда, когда думаю о нем, он как будто немножко ноет и "прорезаться" хочет. Хотя это мой мозг, возможно :-)Ортопед сказал, что без согласования хирурга протезировать зуб не будет, а местный хирург браться за мой случай не захотел, как я уже сказала. Посоветуйте, пожалуйста, что делать с восьмеркой: переходить к протезированию 7 зуба и не думать о нем или все-таки удалить. Если подскажите, куда можно обратиться по этому вопросу, буду признательна. Спасибо! Изменено 13 декабря, 2014 пользователем Kitten Ссылка на комментарий
samsonov Опубликовано 13 декабря, 2014 Поделиться Опубликовано 13 декабря, 2014 (изменено) В Вашем случае КТ не помешает, без него точно нельзя спланировать. Изменено 13 декабря, 2014 пользователем samsonov 1 Ссылка на комментарий
red_butler Опубликовано 13 декабря, 2014 Поделиться Опубликовано 13 декабря, 2014 у Вас там два зуба, делайте Кт и ищите грамотного хирурга и удаляйте оба до протезирования седьмого. Случай интересный 4 Ссылка на комментарий
Зубоволок 36 Опубликовано 13 декабря, 2014 Поделиться Опубликовано 13 декабря, 2014 у Вас там два зуба, делайте Кт и ищите грамотного хирурга и удаляйте оба до протезирования седьмого. Случай интересный Действительно похоже на то что и девятка имеется. Ссылка на комментарий
Kitten Опубликовано 13 декабря, 2014 Автор Поделиться Опубликовано 13 декабря, 2014 Вот уж никак не могла подумать, что там еще один зубик прячется. А если два зуба придется удалять, на соседних зубах это может как-то отразиться? У меня на пятерке коронка стоит. Буду делать К/Т, в любом случае. Напишите, пожалуйста, в личку, если кто-то хирурга грамотного может посоветовать. Спасибо, Юля. Ссылка на комментарий
red_butler Опубликовано 13 декабря, 2014 Поделиться Опубликовано 13 декабря, 2014 если все сделать правильно - риски минимальныврача ищите здесь - http://forum.stom.ru/topic/16116-posovetujte-khirurgaimplantologa/ Ссылка на комментарий
Kitten Опубликовано 14 декабря, 2014 Автор Поделиться Опубликовано 14 декабря, 2014 К/Т лучше делать для всей нижней челюсти или только для этого участка (8-9 зуб)? 1 Ссылка на комментарий
kladoffka Опубликовано 15 декабря, 2014 Поделиться Опубликовано 15 декабря, 2014 К/Т лучше делать для всей нижней челюсти или только для этого участка (8-9 зуб)? Всей. Поможет в дальнейшем планировать лечение и в других сегментах. Ссылка на комментарий
samsonov Опубликовано 15 декабря, 2014 Поделиться Опубликовано 15 декабря, 2014 Имхо, ортопантомограммы достаточно для начала. 1 Ссылка на комментарий
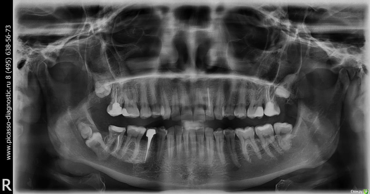
Kitten Опубликовано 20 декабря, 2014 Автор Поделиться Опубликовано 20 декабря, 2014 Я сделала ОПТГ и КТ. Ссылка на КТ ниже. Для тех, у кого нет возможности скачать файл полностью, приложила скриншоты. Жду ваши рекомендации. https://yadi.sk/d/3-GC2npldVBv4 Ссылка на комментарий
red_butler Опубликовано 20 декабря, 2014 Поделиться Опубликовано 20 декабря, 2014 ищите специалиста и в путь, форум Вам в помощь 2 Ссылка на комментарий
Рекомендуемые сообщения
Для публикации сообщений создайте учётную запись или авторизуйтесь
Вы должны быть пользователем, чтобы оставить комментарий
Создать аккаунт
Зарегистрируйте новый аккаунт в нашем сообществе. Это очень просто!
Регистрация нового пользователяВойти
Уже есть аккаунт? Войти в систему.
Войти