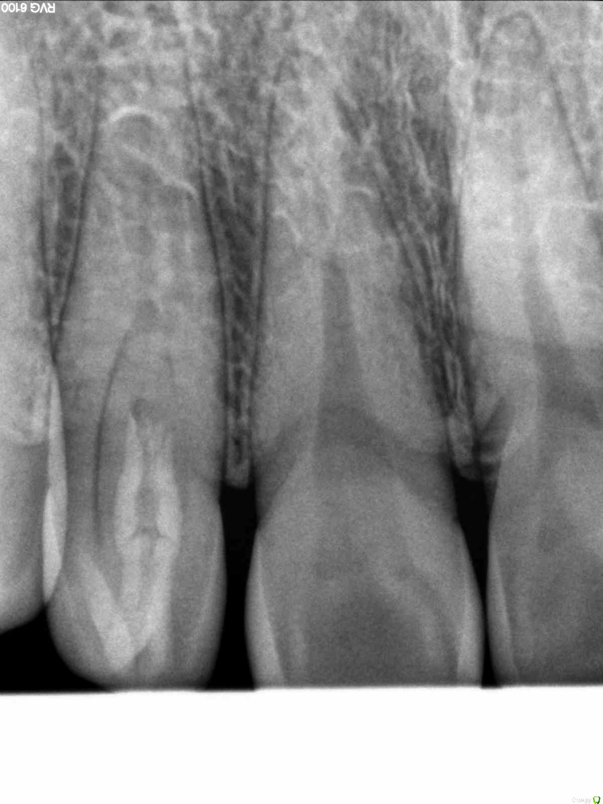
zzkz Опубликовано 5 декабря, 2014 Поделиться Опубликовано 5 декабря, 2014 Коллеги. Вот такой образец на днях попался. Зуб 12.Жалобы пациента на реакцию на холодное.На режущем крае маленькая точка при зондировании которой резкая боль. Мне напоминает апикальное отверстие.Пока закрыл жидким. боль стихла. Отпустил, чтобы подумать и принять решение.Что с ней делать? Ссылка на комментарий
parallax Опубликовано 5 декабря, 2014 Поделиться Опубликовано 5 декабря, 2014 Если судить по снимку, похоже на диагноз "зуб в зубе". 1 Ссылка на комментарий
Kolchanov Опубликовано 5 декабря, 2014 Поделиться Опубликовано 5 декабря, 2014 (изменено) Dens invaginatus То ли первый, то ли третий тип. Изменено 5 декабря, 2014 пользователем Kolchanov Ссылка на комментарий
zzkz Опубликовано 5 декабря, 2014 Автор Поделиться Опубликовано 5 декабря, 2014 Только отьверстие прям по центру режущего края.Что с таким делать? Если боль не прекратиться Ссылка на комментарий
parallax Опубликовано 5 декабря, 2014 Поделиться Опубликовано 5 декабря, 2014 Всё это дело из канала надо извлекать и пломбировать. Ссылка на комментарий
Kolchanov Опубликовано 5 декабря, 2014 Поделиться Опубликовано 5 декабря, 2014 Всё это дело из канала надо извлекать и пломбировать. Посмотрите сколько там занимает все это дело - http://www.jaypeejournals.com/eJournals/ShowText.aspx?ID=1299&Type=FREE&TYP=TOP&IN=_eJournals/images/JPLOGO.gif&IID=111&isPDF=NOИ чего потом от зуба останется? Ссылка на комментарий
parallax Опубликовано 5 декабря, 2014 Поделиться Опубликовано 5 декабря, 2014 Коллега, я с Вами полностью согласен, от зуба может остаться всего ничего. Но в данном случае, по-моему, тканей достаточно. Ну и в конце концов, если он будет болеть? Ссылка на комментарий
zzkz Опубликовано 6 декабря, 2014 Автор Поделиться Опубликовано 6 декабря, 2014 спасибо коллеги. пока не болит не трогаем. Дальше наверно только удаление Ссылка на комментарий
Рекомендуемые сообщения
Для публикации сообщений создайте учётную запись или авторизуйтесь
Вы должны быть пользователем, чтобы оставить комментарий
Создать аккаунт
Зарегистрируйте новый аккаунт в нашем сообществе. Это очень просто!
Регистрация нового пользователяВойти
Уже есть аккаунт? Войти в систему.
Войти