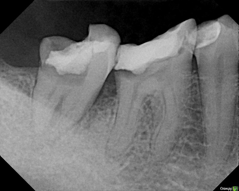
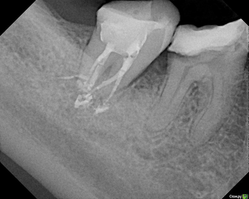
St616 Опубликовано 2 декабря, 2014 Поделиться Опубликовано 2 декабря, 2014 Добрый день ! Прошу вас посмотрите пломбировку каналов метапексомПосле пломбировки 2 дня сильная боль при нажатии и вообще.Сегодня пятый день, зуб поднывает и еще качается.Дело в том что у меня грудной ребенок, я его кормлю и поэтому не хотелось может более сильных, но не безопасных средств. Нервы удаляли с анастезией без лекарств. Тк был предложен только мышьяк. А у меня ребенок га гв. Пломбировка каналов и окончатильная очистка уже через 7 дней в другой клинике, хотели гуттаперчей. Но тк зуб качался сделали метапексом, врач вроде хоть и молодой но оч грамотный. Меня волнует небольшое темное пятно в одном канале под пломбой, это что воздух там? Не из ха этого ди боль сохраняется, сейчас уже небольшая. Воач по снимку сказал, что всё хорошо, а боль из за того что метапекс вышел за пределы. Фото до и после Ссылка на комментарий
anvladd Опубликовано 2 декабря, 2014 Поделиться Опубликовано 2 декабря, 2014 на счет темного пятна не беспокойтесь,а боль из за того что материал вышел за верхушку,должен рассосаться. Боль совсем не утихает? Ссылка на комментарий
St616 Опубликовано 2 декабря, 2014 Автор Поделиться Опубликовано 2 декабря, 2014 на счет темного пятна не беспокойтесь,а боль из за того что материал вышел за верхушку,должен рассосаться. Боль совсем не утихает? Спасибо за ответСейчас утихает, но ноет зуб Ссылка на комментарий
anvladd Опубликовано 2 декабря, 2014 Поделиться Опубликовано 2 декабря, 2014 утихает значит все норм,на сколько метапексом запломбировали? Ссылка на комментарий
St616 Опубликовано 2 декабря, 2014 Автор Поделиться Опубликовано 2 декабря, 2014 утихает значит все норм,на сколько метапексом запломбировали?Сказали 4-6 мес, зуб качается, но сейчас меньшеПока ребенок на гв, чтоб лекарств никаках не применять На этот срок норм? Или надо раньше? Потом гуттаперчу вроде хотят термофил Ссылка на комментарий
anvladd Опубликовано 2 декабря, 2014 Поделиться Опубликовано 2 декабря, 2014 срок норм. удачи. Ссылка на комментарий
Рекомендуемые сообщения
Для публикации сообщений создайте учётную запись или авторизуйтесь
Вы должны быть пользователем, чтобы оставить комментарий
Создать аккаунт
Зарегистрируйте новый аккаунт в нашем сообществе. Это очень просто!
Регистрация нового пользователяВойти
Уже есть аккаунт? Войти в систему.
Войти