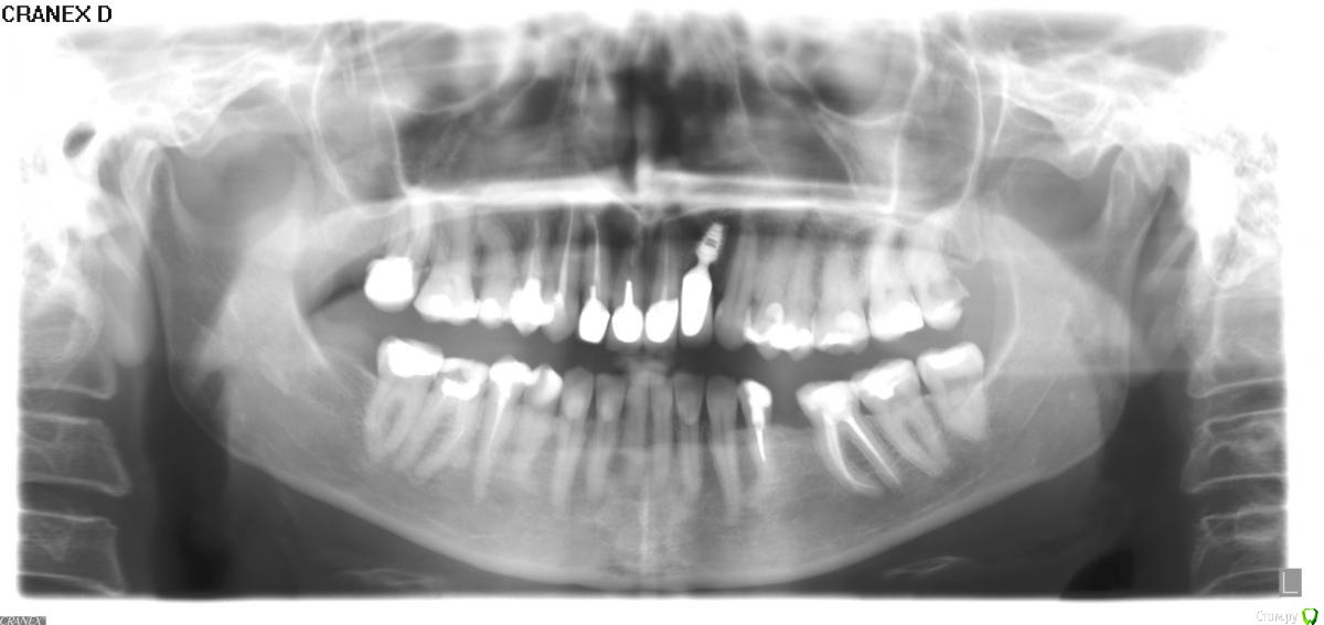
Ирина Анатольевна Опубликовано 30 ноября, 2014 Поделиться Опубликовано 30 ноября, 2014 Здравствуйте,уважаемые доктора. Год назад мне был установлен имплант Байкон. Как сказал ортопед, который потом занимался протезированием, установлен он очень глубоко, поэтому эстетика получилась "не очень", зуб какой-то слишком длинный. Утешает то, что даже при самой широкой улыбке десну у меня не видно, поэтому что либо из-за этого переделывать не хочется, да и все это очень сложно, как я понимаю. Беспокоит меня другое - нормально ли что стоит он не только глубоко, но еще и как-то очень криво, и вообще все ли с ним в порядке, потому что при артикуляции я постоянно чувствую десну вокруг импланта? Может его вообще лучше удалить? Ссылка на комментарий
Bier Опубликовано 30 ноября, 2014 Поделиться Опубликовано 30 ноября, 2014 если жить не мешает - не трогайте. 1 Ссылка на комментарий
MayTaraki Опубликовано 30 ноября, 2014 Поделиться Опубликовано 30 ноября, 2014 если жить не мешает - не трогайте. +1 Ссылка на комментарий
faity Опубликовано 1 декабря, 2014 Поделиться Опубликовано 1 декабря, 2014 не чините то, что работает Ссылка на комментарий
Ирина Анатольевна Опубликовано 1 декабря, 2014 Автор Поделиться Опубликовано 1 декабря, 2014 Спасибо. Вы меня успокоили, теперь не буду волноваться что вдруг что-то совсем плохо. Ссылка на комментарий
Рекомендуемые сообщения
Для публикации сообщений создайте учётную запись или авторизуйтесь
Вы должны быть пользователем, чтобы оставить комментарий
Создать аккаунт
Зарегистрируйте новый аккаунт в нашем сообществе. Это очень просто!
Регистрация нового пользователяВойти
Уже есть аккаунт? Войти в систему.
Войти