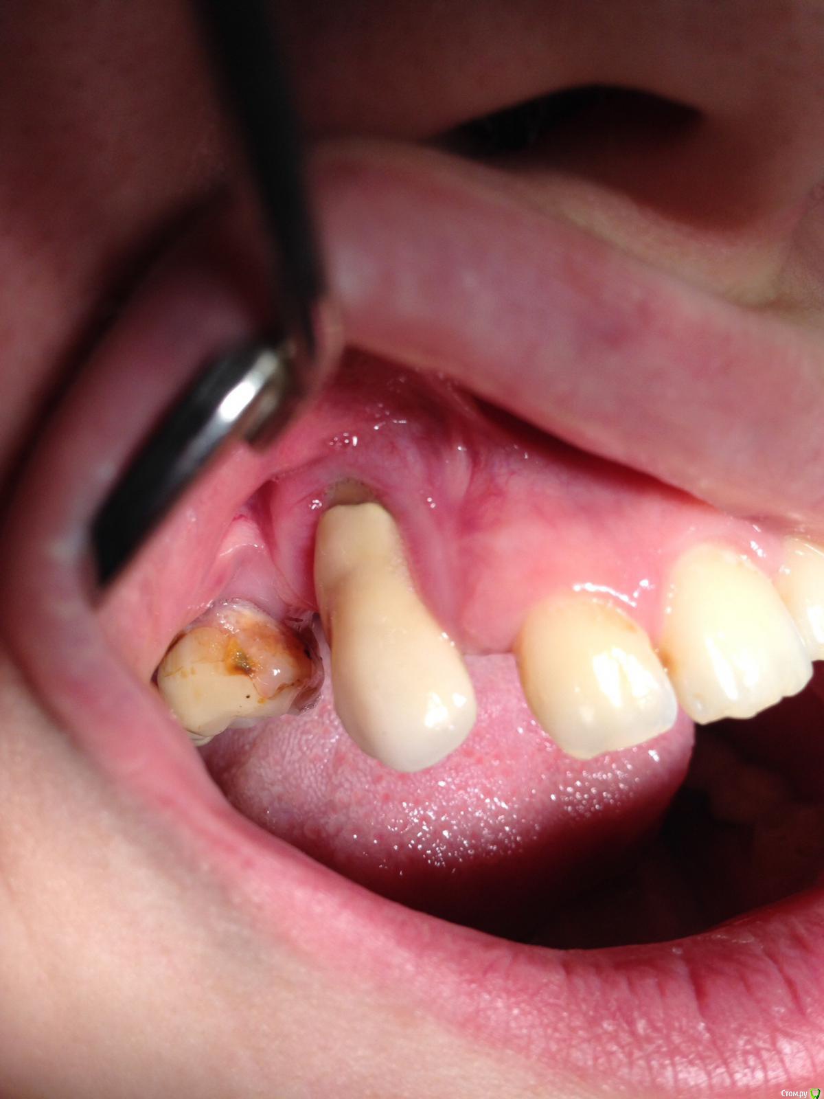
Bratok Опубликовано 30 ноября, 2014 Поделиться Опубликовано 30 ноября, 2014 Сегодня пришла пациентка с авторской ноу хау методикой восстановления "приговоренных" зубов.Плюсы методики - не нужен феррул!Главное, чтобы хотя бы часть корня была сохранена Высокоэстетичная технология! Долгосрочные результаты и гарантии!!!! Вот вы говорите под десной нельзя снять нормально оттиск! Там кровь, там слюна десневая жидкость в общем.. А вот вам! ) не перевелись еще на Руси мастера на все руки! В общем не буду томить смотрите фото..29 лет пациентка пришла с пульпитом 2.8 зуба с просьбой "замазать пломбу". В общем без комментариев Ссылка на комментарий
diesel87 Опубликовано 30 ноября, 2014 Поделиться Опубликовано 30 ноября, 2014 Ну и пусть стоит! Ссылка на комментарий
Lolopop Опубликовано 30 ноября, 2014 Поделиться Опубликовано 30 ноября, 2014 коронка не в контакте с соседями-пусть техник керамику добавит)) Ссылка на комментарий
Stomart Опубликовано 30 ноября, 2014 Поделиться Опубликовано 30 ноября, 2014 После тройки сразу моляр? Ссылка на комментарий
Bratok Опубликовано 30 ноября, 2014 Автор Поделиться Опубликовано 30 ноября, 2014 Нет. У нее нет клыка и зуба 1.5.Это почему то они сделали клык из 1.4..почему то.. может техник был с бодуна? Ссылка на комментарий
MayTaraki Опубликовано 30 ноября, 2014 Поделиться Опубликовано 30 ноября, 2014 Сколько работе времени? Ссылка на комментарий
Bratok Опубликовано 30 ноября, 2014 Автор Поделиться Опубликовано 30 ноября, 2014 Со слов пациентки : "давно.." Не помнит.Года 2-3 Ссылка на комментарий
Петрович Опубликовано 16 февраля, 2015 Поделиться Опубликовано 16 февраля, 2015 я ничего не понял. Где 28 зуб? Ссылка на комментарий
m.d.n Опубликовано 16 февраля, 2015 Поделиться Опубликовано 16 февраля, 2015 Мега сексуальна) Ссылка на комментарий
4ebstom Опубликовано 17 февраля, 2015 Поделиться Опубликовано 17 февраля, 2015 Не факт что так глубоко заточили...вестибулярная убыль тканей была изначально я думаю..Но работа "зачотная")))) Ссылка на комментарий
jm3300 Опубликовано 17 февраля, 2015 Поделиться Опубликовано 17 февраля, 2015 ну пациент же доволен Ссылка на комментарий
Гарриевич Опубликовано 17 февраля, 2015 Поделиться Опубликовано 17 февраля, 2015 Я думаю в медведково бы ей этот зуб сохранили)) Ссылка на комментарий
4ebstom Опубликовано 17 февраля, 2015 Поделиться Опубликовано 17 февраля, 2015 Что за Медведково? район? Ссылка на комментарий
Shargik Опубликовано 17 февраля, 2015 Поделиться Опубликовано 17 февраля, 2015 Руки бы оторвать, как у людей мозг до такого доходит, ни себе, ни людям.. Ссылка на комментарий
syrovovec Опубликовано 17 февраля, 2015 Поделиться Опубликовано 17 февраля, 2015 Как раз себе!! Ссылка на комментарий
Петрович Опубликовано 17 февраля, 2015 Поделиться Опубликовано 17 февраля, 2015 объясните пожалуйста. Что было что как сделали и как стало. и как было надо сделать и что тогда бы мы увидели сейчас? Ссылка на комментарий
m.d.n Опубликовано 18 февраля, 2015 Поделиться Опубликовано 18 февраля, 2015 Самое обидное что афтор етого монумента не знает что нужно делать по другому Ссылка на комментарий
Рекомендуемые сообщения
Для публикации сообщений создайте учётную запись или авторизуйтесь
Вы должны быть пользователем, чтобы оставить комментарий
Создать аккаунт
Зарегистрируйте новый аккаунт в нашем сообществе. Это очень просто!
Регистрация нового пользователяВойти
Уже есть аккаунт? Войти в систему.
Войти