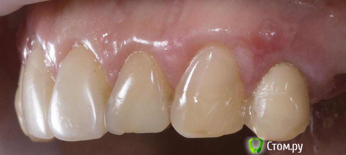
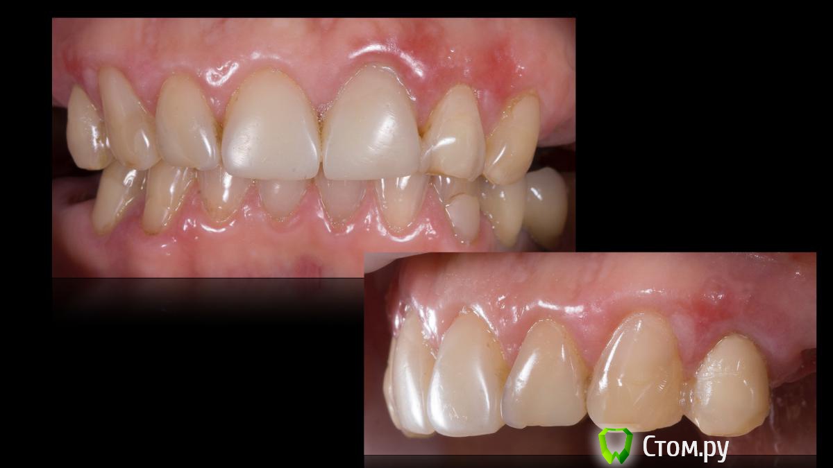
bugroff87 Опубликовано 26 ноября, 2014 Поделиться Опубликовано 26 ноября, 2014 (изменено) Здравсвуйте, коллеги! Вот такая пациента пришла, говорит за два года была у всех, от чего ее уже не лечили, последний доктор в институте заподозрил кпл! Стояли у нее м/к мосты, один сняли, поставили имплантаты и начались вот такие проблемы со слизистой, токи измеряли, кандидоз лечили, короче погоняли ее. Я решил, виной всему композитные реставрации, на 14 был изготовлен керамический винир, зафиксирован по последнему слову, с коффером, вылизал все, композит на остальных заполировал (краевое мягко говоря не айс было), у 14 есть небольшие изменения в лучшую сторону. Щам ждем, параллельно удалять будем и имплантировать. Изменено 26 ноября, 2014 пользователем bugroff87 Ссылка на комментарий
bugroff87 Опубликовано 26 ноября, 2014 Автор Поделиться Опубликовано 26 ноября, 2014 Вот Ссылка на комментарий
Lolopop Опубликовано 26 ноября, 2014 Поделиться Опубликовано 26 ноября, 2014 вопрос то можно узнать? и начните с жалоб пациента хотя бы)) Ссылка на комментарий
bugroff87 Опубликовано 26 ноября, 2014 Автор Поделиться Опубликовано 26 ноября, 2014 Что со слизистой? Жалобы на болезненность из-за чего не может полноценно чистить. Ее можно сказать довели, стояли коронки, были зубы, теперь есть нечем, а сняли все, излекли все вкладки с подозрением на гальванизм. Какая тактика? Ссылка на комментарий
Lolopop Опубликовано 26 ноября, 2014 Поделиться Опубликовано 26 ноября, 2014 начните с простого - анализ КТ, если все чисто начинайте отбрасывать одну нозологию за другой...спросите про привычки, может это хроническая травма от чего нибудь, сделайте аллергопробы Ссылка на комментарий
bugroff87 Опубликовано 26 ноября, 2014 Автор Поделиться Опубликовано 26 ноября, 2014 На КТ ничего, на что пробы сдавать, на композит, какой, я не знаю из какого это сделано? По мне так проблема в реставрациях, я не прав? Ссылка на комментарий
Marishkin Опубликовано 30 декабря, 2014 Поделиться Опубликовано 30 декабря, 2014 На КТ ничего, на что пробы сдавать, на композит, какой, я не знаю из какого это сделано? По мне так проблема в реставрациях, я не прав? Добрый день! По внешнему виду похоже на начальный пародонтит. Я бы начала с определения наличия пародонтальных карманов, удаления нависающих краев реставраций и вектор-терапии.Если вопрос в ведении данной пациентки - то думаю, нужно поднимать пародонтологические протоколы.А так хотя бы панорамный снимок покажите... Ссылка на комментарий
Рекомендуемые сообщения
Для публикации сообщений создайте учётную запись или авторизуйтесь
Вы должны быть пользователем, чтобы оставить комментарий
Создать аккаунт
Зарегистрируйте новый аккаунт в нашем сообществе. Это очень просто!
Регистрация нового пользователяВойти
Уже есть аккаунт? Войти в систему.
Войти