Марьяна Опубликовано 22 ноября, 2014 Поделиться Опубликовано 22 ноября, 2014 (изменено) Уважаемые врачи. У меня возникло некое недопонимание с достаточно уважаемым коллегой.По данным КТ я вижу двойной перелом ветви челюсти. Он мне говорит, что это артефакты. И советует сделать спиральную томографию и для него КЛКТ не информативна.Прилагаю 3D реформат, до и спустя 4 месяца после операции аугментации с забором костного блока ретромолярно на нижней челюсти справа. Сразу отмечу- это моё КТ. Пациентом являюсь я сама.Если необходимо будет, вышлю дайкомы. Первый файл до операции. Остальные после. Первые два - программа EZ-Vision. Если понизить плотность костной ткани(в программе естественно), то будет видно, что был так же перелом в области угла. Два файла последних - программа Invivo5(Анатомаж).Нужны ваши мнения. Изменено 22 ноября, 2014 пользователем Марьяна Ссылка на комментарий
АнтонТЛТ Опубликовано 22 ноября, 2014 Поделиться Опубликовано 22 ноября, 2014 Выложите срезы, 3д реконструкция никогда не была информативной 3 Ссылка на комментарий
Марьяна Опубликовано 22 ноября, 2014 Автор Поделиться Опубликовано 22 ноября, 2014 Выложите срезы, 3д реконструкция никогда не была информативнойПопробую. Проще в программе смотреть, конечно, т.к. линии перелома сложные. Ссылка на комментарий
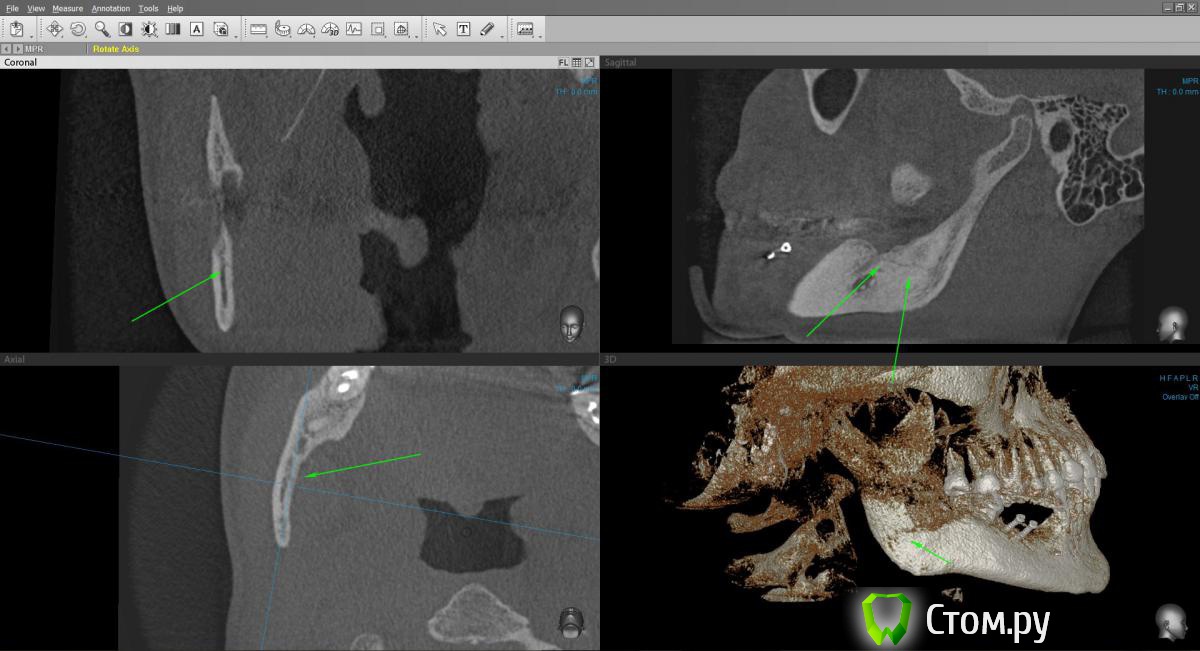
Марьяна Опубликовано 22 ноября, 2014 Автор Поделиться Опубликовано 22 ноября, 2014 Попробую. В программе конечно проще поймать линии переломов.Ну вот ..в области конкретно ветви: Ссылка на комментарий
Марьяна Опубликовано 22 ноября, 2014 Автор Поделиться Опубликовано 22 ноября, 2014 В области угла зигзагообразная линия ..практически уже не визуализируется: Ссылка на комментарий
Aquarius Опубликовано 22 ноября, 2014 Поделиться Опубликовано 22 ноября, 2014 Попробую. В программе конечно проще поймать линии переломов.Ну вот ..в области конкретно ветви:Вы Марьяна Александровна? ))) Жалобы есть какие-нибудь? Ссылка на комментарий
Евгений Ходыкин Опубликовано 22 ноября, 2014 Поделиться Опубликовано 22 ноября, 2014 Жалобы опишите ваши... Ссылка на комментарий
Марьяна Опубликовано 22 ноября, 2014 Автор Поделиться Опубликовано 22 ноября, 2014 (изменено) Вы Марьяна Александровна? ))) Жалобы есть какие-нибудь?Да..я Марьяна Александровна.))) Жалобы есть, да. Губа нижняя и подбородок справа онемевшие. В области десны и зубов чувствительность уже появилась. Кстати..костный блок справа, что на винтах, рассосался почти полностью. Изменено 22 ноября, 2014 пользователем Марьяна Ссылка на комментарий
Марьяна Опубликовано 22 ноября, 2014 Автор Поделиться Опубликовано 22 ноября, 2014 Честно..хочу сатисфакции))) Ссылка на комментарий
Евгений Ходыкин Опубликовано 22 ноября, 2014 Поделиться Опубликовано 22 ноября, 2014 Спор у Вас с тем самым врачом, который делал, верно? Ссылка на комментарий
Aquarius Опубликовано 22 ноября, 2014 Поделиться Опубликовано 22 ноября, 2014 (изменено) Сдается мне, что можно было без забора обойтись, а каркасом каким-нибудь сделать. По жалобам вполне похоже на травму пучка. На подбородок больно надавливать? Кусать правыми зубами? Изменено 22 ноября, 2014 пользователем Aquarius 1 Ссылка на комментарий
Марьяна Опубликовано 22 ноября, 2014 Автор Поделиться Опубликовано 22 ноября, 2014 (изменено) Спор у Вас с тем самым врачом, который делал, верно?Да, стем, который делал. Пока даже не спор. Отправила КТ. Сама ему не напоминала, что я стоматолог, хотела его позицию узнать. Он заявил, что вообще все хорошо и можно приезжать на имплантацию. На вопрос мой: так костный блок рассосался почти, не считаете? Ответил: нам хватит.)))Потом говорю: а что за двойной перелом?Он: нет там перелома, артефакты)))Я: есть заключение рентгенолога.Он: врач ваш ошибается, делайте спиральную КТ.Ну я сказал, спасибо и все. Изменено 22 ноября, 2014 пользователем Марьяна Ссылка на комментарий
Марьяна Опубликовано 22 ноября, 2014 Автор Поделиться Опубликовано 22 ноября, 2014 (изменено) Сдается мне, что можно было без забора обойтись, а каркасом каким-нибудь сделать. По жалобам вполне похоже на травму пучка. На подбородок больно надавливать? Кусать правыми зубами?То, что там сделали, могли сделать мне и в Новосибе. Слева мне там под ОПН ксенокость сделали))) через 2недели после операции справа.На подбородок уже не больно надавливать. Простреливает сильно при касании в проекции подбородочного отверстия. Кусать правыми зубами не больно уже.А после операции(справа) зубы не смыкались около месяца. Изменено 22 ноября, 2014 пользователем Марьяна Ссылка на комментарий
Osteon Опубликовано 22 ноября, 2014 Поделиться Опубликовано 22 ноября, 2014 (изменено) похоже на перелом как производился забор костного блока,пьезо или с помощью боров и молотка? Изменено 22 ноября, 2014 пользователем Osteon Ссылка на комментарий
SDC Опубликовано 22 ноября, 2014 Поделиться Опубликовано 22 ноября, 2014 (изменено) Сама ему не напоминала, что я стоматолог, хотела его позицию узнатьНо он в курсе того, что Вы стоматолог? Изменено 22 ноября, 2014 пользователем SDC Ссылка на комментарий
kriokov Опубликовано 23 ноября, 2014 Поделиться Опубликовано 23 ноября, 2014 похоже на перелом я бы не стал с выводами торопиться,К ТопикстартеруЕсли не затруднит, сделайте из кт панораму (оптг, это возможно сделать почти в любой программе просмотрщике , которая есть на диске), одну до забора блока, вторую после установки блока , и залейте обе. Мне кажется обычные панорамные снимки будут более информативны, особенно в ситуации после забора и трансплантации блока. имхо 2 Ссылка на комментарий
Марьяна Опубликовано 23 ноября, 2014 Автор Поделиться Опубликовано 23 ноября, 2014 (изменено) Но он в курсе того, что Вы стоматолог? Он был в курсе, когда я была в клинике. Сейчас, когда я звонила спустя 4 месяца узнать его резюме по высланному КТ, я поняла, что не помнит. Но не уверена.Хочу уточнить- это не частная стоматология. Мне делали операцию в клинике ЧЛХ одного известного ВУЗА.) Изменено 23 ноября, 2014 пользователем Марьяна Ссылка на комментарий
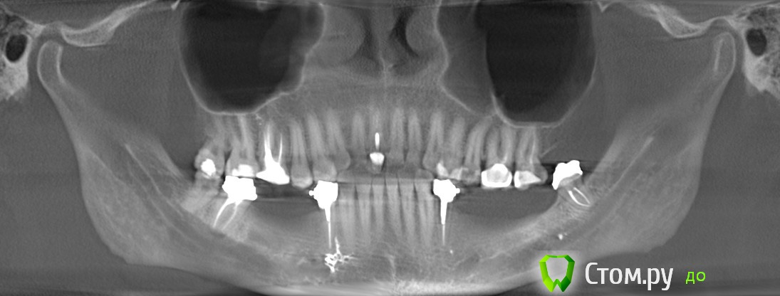
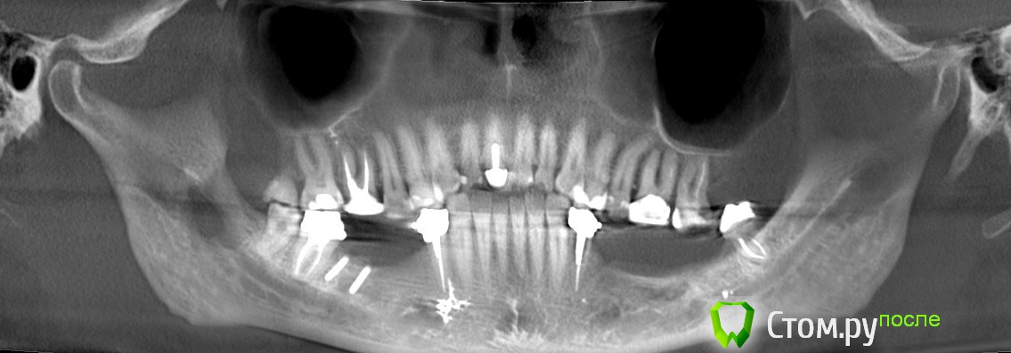
Марьяна Опубликовано 23 ноября, 2014 Автор Поделиться Опубликовано 23 ноября, 2014 (изменено) я бы не стал с выводами торопиться,К ТопикстартеруЕсли не затруднит, сделайте из кт панораму (оптг, это возможно сделать почти в любой программе просмотрщике , которая есть на диске), одну до забора блока, вторую после установки блока , и залейте обе. Мне кажется обычные панорамные снимки будут более информативны, особенно в ситуации после забора и трансплантации блока. имхо Хорошо, вот:Позже закину ссылку на дайкомы. Изменено 23 ноября, 2014 пользователем Марьяна Ссылка на комментарий
Марьяна Опубликовано 23 ноября, 2014 Автор Поделиться Опубликовано 23 ноября, 2014 Вот ссылка на дайкомы на яндекс диск. Заархивировала, не знаю, правильно ли. Могу дать ссылку на несжатые дайкомы.https://yadi.sk/d/S1Y5pJiIcsosJ- после https://yadi.sk/d/3DJkWvmqcsot7-до https://yadi.sk/d/wQOFWVL1cKC4c-ссылка на программу IСAT, можно в неё загрузить дайкомы. Ссылка на комментарий
Марьяна Опубликовано 23 ноября, 2014 Автор Поделиться Опубликовано 23 ноября, 2014 похоже на перелом как производился забор костного блока,пьезо или с помощью боров и молотка? Судя по результату - скорее молоток и долота...Честно, я не знаю как проводилась операция. В этой клинике в принципе не принято плотно общаться с пациентами и уж тем более обсуждать планы оперативного лечения. Я ехала туда за другой операцией- забор планировался с подвздошной. Мне сделали две операции под ОПН.... Справа аутокость с ретромолярным забором, слева- ксенокость. Про ксенокость я узнала постфактум из выписки. Была уверена, что там тоже ретромолярный забор был. Ссылка на комментарий
Bier Опубликовано 23 ноября, 2014 Поделиться Опубликовано 23 ноября, 2014 Если и был перелом, то без смещения и уже зажил...отправьте дайкомы Дмитрию Рогацкину. 2 Ссылка на комментарий
kriokov Опубликовано 23 ноября, 2014 Поделиться Опубликовано 23 ноября, 2014 Хорошо, вот: Марьяна Александровна, по панораме.Мне кажется нет перелома нижней челюсти в обл угла и в обл ветви. Но это мое личное мнение и я его попытаюсь обосновать.Зеленая стрелка показывает на место забора блокажелтая на линию восходящей части венечного отростка-- там нет непрерывностисиняя стрелка -- ветвь, линия может быть и артефактом связанным с забором блока, если он был значительным по протяжению.Мне кажется , Вам надо списываться с доктором, ( напомнить ему , что Вы стоматолог, еще раз без обиняков изложить все вопросы которые Вас тревожат), осмотр, и решать , что дальше делать. http://www.imageup.ru/img214/1954483/maryana.jpg Ссылка на комментарий
Марьяна Опубликовано 23 ноября, 2014 Автор Поделиться Опубликовано 23 ноября, 2014 (изменено) Если и был перелом, то без смещения и уже зажил...отправьте дайкомы Дмитрию Рогацкину.Да, зажил, и слава Богу. Отправлять дайкомы Рогацкину смысла нет. Он скажет, то, что есть. А есть двойной перелом. Я сама есть консультант по 3D КТ, :-) С Иваном Морозовым , который представляет Рогацкина у нас в Новосибе мы уже пообщались и в Анатомаже он и сделал мне одну из нарезок. И рентгенолог, которго хвалит Рогацкин, тоже в курсе)Смещение , кстати, есть, небольшое, дистально.Это видно по дистальному контуру ветви.Почему я выношу на общее обсуждение свою историю? Ну мне обидно, да. Обидно, что со мной так обошлись коллеги. Что по необъективным причинам, без уведомления был изменен план лечения. Что скрыли истинную причину, по которой срочно прекратили операцию и отложили вторую на две недели. Позиция лечащего врача сейчас убивает наповал. Я даже по-началу засомневалась в своей компетентности, увидев повторное КТ и его резюме по нему.Я ещё хотела написать вот что. Суть моего поста здесь. По факту..я имею право предьявить претензию, но не хочу. Слава Богу, что все обошлось без серьезных осложнений. Что не было остеомиелита, что не случилось явного смещения, несмотря на то, что перелом не был шинирован и т.д. и .т.п.Я оскорблена поведением врача. У нас у всех есть свое маленькое кладбище и мы знаем и помним о всех своих ошибках. Но надо уметь признавать ошибки и исправлять. И если именитый врач ведет себя, как нашкодивший пацан...если между коллегами такое вот отношение, страшно за пациентов, которые вообще не в теме.В общем...лозунг какой-то получился) Уважайте своих пациентов и друг друга. Изменено 23 ноября, 2014 пользователем Марьяна 5 Ссылка на комментарий
Марьяна Опубликовано 23 ноября, 2014 Автор Поделиться Опубликовано 23 ноября, 2014 (изменено) Марьяна Александровна, по панораме.Мне кажется нет перелома нижней челюсти в обл угла и в обл ветви. Но это мое личное мнение и я его попытаюсь обосновать.Зеленая стрелка показывает на место забора блокажелтая на линию восходящей части венечного отростка-- там нет непрерывностисиняя стрелка -- ветвь, линия может быть и артефактом связанным с забором блока, если он был значительным по протяжению.Мне кажется , Вам надо списываться с доктором, ( напомнить ему , что Вы стоматолог, еще раз без обиняков изложить все вопросы которые Вас тревожат), осмотр, и решать , что дальше делать. http://www.imageup.ru/img214/1954483/maryana.jpgНе доверяю я больше квалификации этого врача. И уже не хочу знать его мнения по моему вопросу. Реабилитацию буду дома проходить. Изменено 23 ноября, 2014 пользователем Марьяна Ссылка на комментарий
Bier Опубликовано 23 ноября, 2014 Поделиться Опубликовано 23 ноября, 2014 Да, зажил, и слава Богу. Отправлять дайкомы Рогацкину смысла нет. Он скажет, то, что есть. А есть двойной перелом. Я сама есть консультант по 3D КТ, :-) С Иваном Морозовым , который представляет Рогацкина у нас в Новосибе мы уже пообщались и в Анатомаже он и сделал мне одну из нарезок. И рентгенолог, которго хвалит Рогацкин, тоже в курсе)Смещение , кстати, есть, небольшое, дистально.Это видно по дистальному контуру ветви.Почему я выношу на общее обсуждение свою историю? Ну мне обидно, да. Обидно, что со мной так обошлись коллеги. Что по необъективным причинам, без уведомления был изменен план лечения. Что скрыли истинную причину, по которой срочно прекратили операцию и отложили вторую на две недели. Позиция лечащего врача сейчас убивает наповал. Я даже по-началу засомневалась в своей компетентности, увидев повторное КТ и его резюме по нему.Я ещё хотела написать вот что. Суть моего поста здесь. По факту..я имею право предьявить претензию, но не хочу. Слава Богу, что все обошлось без серьезных осложнений. Что не было остеомиелита, что не случилось явного смещения, несмотря на то, что перелом не был шинирован и т.д. и .т.п.Я оскорблена поведением врача. У нас у всех есть свое маленькое кладбище и мы знаем и помним о всех своих ошибках. Но надо уметь признавать ошибки и исправлять. И если именитый врач ведет себя, как нашкодивший пацан...если между коллегами такое вот отношение, страшно за пациентов, которые вообще не в теме.В общем...лозунг какой-то получился) Уважайте своих пациентов и друг друга.а как бы он зажил без шинирования? Т.е. врач увидел, что сломал челюсть, закончил операцию, не шинировал и челюсть сама собой зажила? Это все маловероятно. Скорее всего перелома не было, может быть трещина, которая осталась недиагностированной. Ссылка на комментарий
Рекомендуемые сообщения
Для публикации сообщений создайте учётную запись или авторизуйтесь
Вы должны быть пользователем, чтобы оставить комментарий
Создать аккаунт
Зарегистрируйте новый аккаунт в нашем сообществе. Это очень просто!
Регистрация нового пользователяВойти
Уже есть аккаунт? Войти в систему.
Войти