AndryLuk Опубликовано 22 ноября, 2014 Поделиться Опубликовано 22 ноября, 2014 Здравствуйте!Проконсультруйте пожалуйстаПоотваливались мосты вверху, пришлось искать в тырнэтах (т.к. цивилизация далеко) какие либо варианты восстановления зубного ряда.Нашел н-ске клинику обещающую восстановить одноэтапной импантацией. Приехал, отправил снимок, пришел ответ -"доктор посмотрел, можно сделать, примерная стоимость ......". На консультацию записали аж на 2.12.Пошел в другой центр стоматологии, в Томске, посмотрели сказали - удалить оставшиеся зубы с верхнейчелюсти - подождать 1,5 недели -потом сделают временный протез и только через 3(непомню может 4) месяцавозможно будет поставить импланты потом опять подождать 6 мес., а уж потом только протезировать.Одноэтапная сказали невозможна из-за ширины или толщины кости.Нижнюю челюсть пока не рассматриваю.Действительно через 1,5 недели можно уже сделать временный протез или дольше времени зарастают лунки?Все этапы должны быть оговорены (прописаны) в плане или договоре прежде чем начать удаление ?Какой из предложенных вариантов приемлем? Может есть третий? Удалить все зубы вроде никогда не поздно? Ссылка на комментарий
IvanK Опубликовано 22 ноября, 2014 Поделиться Опубликовано 22 ноября, 2014 Здравствуйте,выложите снимки Ссылка на комментарий
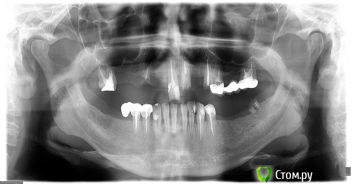
AndryLuk Опубликовано 22 ноября, 2014 Автор Поделиться Опубликовано 22 ноября, 2014 Ссылка на комментарий
faity Опубликовано 23 ноября, 2014 Поделиться Опубликовано 23 ноября, 2014 верх удалять все, низ 3.2-4.2 и 3.7при желании можно попробовать одномоментно, но для этого надо знать толщину кости. КТ надо Ссылка на комментарий
AndryLuk Опубликовано 5 декабря, 2014 Автор Поделиться Опубликовано 5 декабря, 2014 Сходил на удаление, хирург имплантолог высшей категории(как указано на сайте) удаляясломал лунки трёх зубов, осталось по одной стенке, все с левой стороны.1.Сколько времени нужно на заживление.2.Через какое время можно поставить и пользоваться временным протезом.3.Возможна ли будет теперь имплантация? Ссылка на комментарий
faity Опубликовано 5 декабря, 2014 Поделиться Опубликовано 5 декабря, 2014 сочувствую, имплантация возможна, но на более отсроченных сроках и с костной пластикой, через полгода сделайте КТ, посмотрим Ссылка на комментарий
AndryLuk Опубликовано 5 декабря, 2014 Автор Поделиться Опубликовано 5 декабря, 2014 сочувствую, имплантация возможна, но на более отсроченных сроках и с костной пластикой, через полгода сделайте КТ, посмотримспасибо, а нагружать то через сколько можно будет пострадавшую челюсть?КТ сейчас тоже сделаю. дабы зафиксировать качество работы, синуслифтинг однако недёшев и ктото должен отвечать за свою работу Ссылка на комментарий
faity Опубликовано 5 декабря, 2014 Поделиться Опубликовано 5 декабря, 2014 вы попали под графу "осложнения" от которых к сожалению никто не застрахован. нет гарантий, нет ответа.КТ выкладывайте Ссылка на комментарий
AndryLuk Опубликовано 5 декабря, 2014 Автор Поделиться Опубликовано 5 декабря, 2014 вы попали под графу "осложнения" от которых к сожалению никто не застрахован. нет гарантий, нет ответа.КТ выкладывайте"осложениния" это как если бы вы загнали машину в сервис для смена масла в двигателе, а она упала с подъёмника на бок? и надо то всего теперь - поменять пару крыльев,пару дверей, да стёкла, ну и кузов отрихтовать. а забыл. ещё и покрасить. Я думаю у вас и в мыслях небыло такой графы Ссылка на комментарий
SDC Опубликовано 5 декабря, 2014 Поделиться Опубликовано 5 декабря, 2014 "осложениния" это как если бы вы загнали машину в сервис для смена масла в двигателе, а она упала с подъёмника на бок? и надо то всего теперь - поменять пару крыльев,пару дверей, да стёкла, ну и кузов отрихтовать. а забыл. ещё и покрасить. Я думаю у вас и в мыслях небыло такой графы Немного не так, так не стоит сравнивать. Вернее все же понимание, что медицина - это не подъемникОткуда Вы знаете про сломанные лунки(???) И как в лунке может остаться по одной стенке? Что? Остальные 3/4 сломаны? Ссылка на комментарий
faity Опубликовано 5 декабря, 2014 Поделиться Опубликовано 5 декабря, 2014 я не механик, а ваш рот не автоподъемник, как мне кажется. аналогия не уместна Ссылка на комментарий
AndryLuk Опубликовано 6 декабря, 2014 Автор Поделиться Опубликовано 6 декабря, 2014 Немного не так, так не стоит сравнивать. Вернее все же понимание, что медицина - это не подъемникОткуда Вы знаете про сломанные лунки(???) И как в лунке может остаться по одной стенке? Что? Остальные 3/4 сломаны?После первого удаления зуба, который слева перед мостом, была лунка, после удаления следующего за ним зуба и последнего лунок нет ни у первого удаленного ни у других.Тонкий гребень кости от клыка до последнего. В понедельник сделаю, если получиться самостоятельно найти необходимый вид- выложу Ссылка на комментарий
AndryLuk Опубликовано 6 декабря, 2014 Автор Поделиться Опубликовано 6 декабря, 2014 я не механик, а ваш рот не автоподъемник, как мне кажется. аналогия не уместнаВы очень буквально восприняли, в каждой профессии есть порядок действий, которые должен произвести работник, чтобы получить положительный результат.Смысл аналогии в этом.На этом форуме тоже кто-то писал о протоколе действий при имплантации, так вот удаление это по-моему часть этого протокола, и оно должно быть атравматичным. Для этого я и шёл к хирургу имплантологу, предполагая что он знает что делает. Ссылка на комментарий
Bier Опубликовано 6 декабря, 2014 Поделиться Опубликовано 6 декабря, 2014 Не всегда реально удалить атравматично, как например, болты могли проржаветь и закиснуть, при попытке выкрутить свернуться, что повлекло за собой... Ссылка на комментарий
SDC Опубликовано 6 декабря, 2014 Поделиться Опубликовано 6 декабря, 2014 (изменено) После первого удаления зуба, который слева перед мостом, была лунка, после удаления следующего за ним зуба и последнего лунок нет ни у первого удаленного ни у других.Тонкий гребень кости от клыка до последнего. В понедельник сделаю, если получиться самостоятельно найти необходимый вид- выложуОписываемые Вами жалобы не являются показателем травматичного удаления.Вестибулярных стенок лунок зубов могло не быть изначально.http://s57.radikal.ru/i155/1412/29/ec99361ae9d1.jpg Изменено 6 декабря, 2014 пользователем SDC 5 Ссылка на комментарий
Рекомендуемые сообщения
Для публикации сообщений создайте учётную запись или авторизуйтесь
Вы должны быть пользователем, чтобы оставить комментарий
Создать аккаунт
Зарегистрируйте новый аккаунт в нашем сообществе. Это очень просто!
Регистрация нового пользователяВойти
Уже есть аккаунт? Войти в систему.
Войти