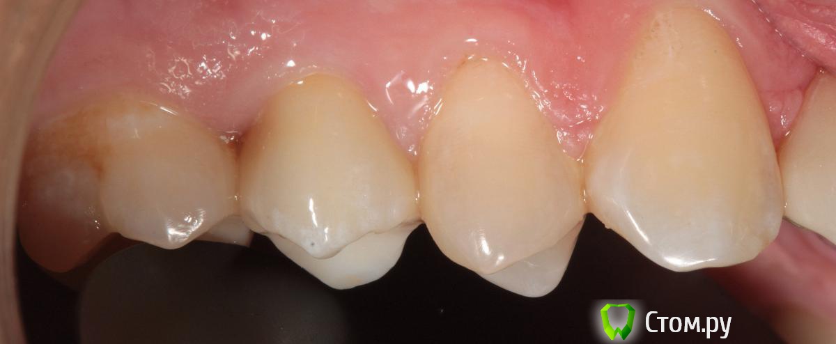
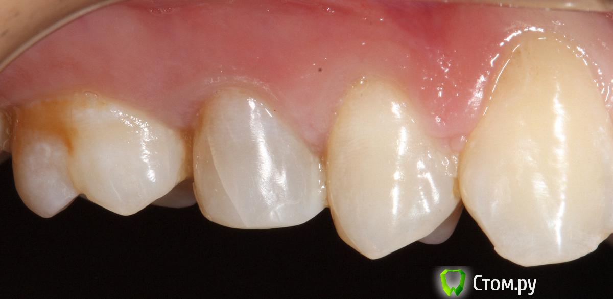
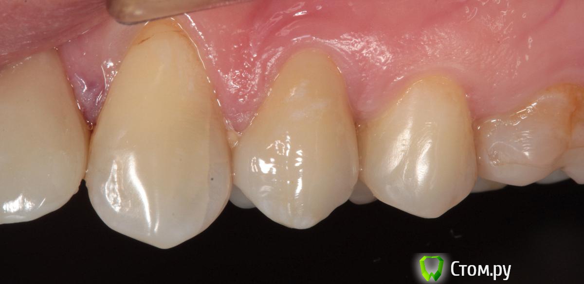
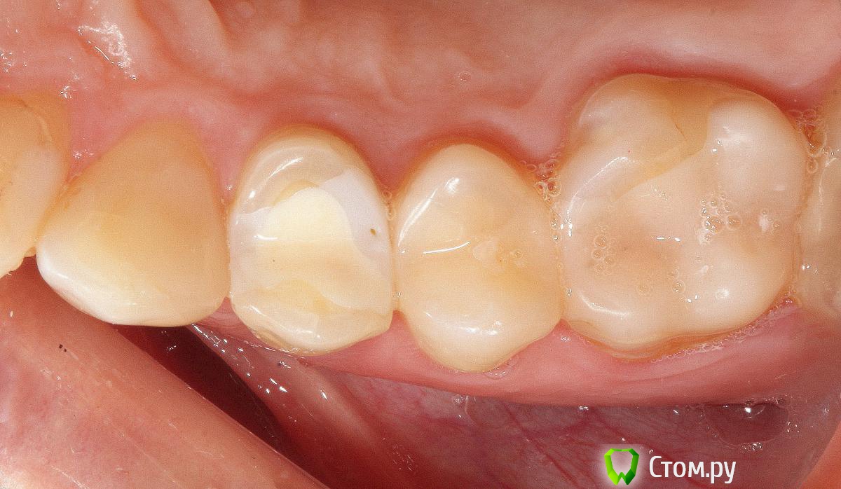
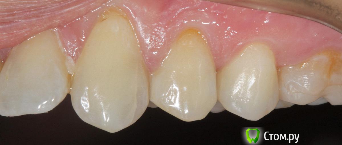
SDC Опубликовано 19 ноября, 2014 Поделиться Опубликовано 19 ноября, 2014 (изменено) Prettau, извините, не знаю, как редактировать название темы. Здравствуйте всем. В хирургическом много практиков, а по протетике - много теории)). Итак, разбавляю вино. (теория вечна)Протезирование премоляров коронками Преттау с нанесением керамики вестибулярно.Много фото, прошу прощения, поэтому без радикала, превью. Наверное даже так лучше, потому, что по клику откроются не сжатые фото, а радикал жмет.Протезирование в течение 2 недель. Фиксация на фуджи, без коффердама, но в сухих условиях (коффер не поставить по причине глубокий дистальной границы препарирования на обоих премолярах - глубокий кариес проксимальных поверхностей в анамнезе)Рг-контроль на предмет остатков цемента и на последнем фото удаленные излишки цемента на перчатке. Изменено 19 ноября, 2014 пользователем SDC 7 Ссылка на комментарий
RuStom Опубликовано 19 ноября, 2014 Поделиться Опубликовано 19 ноября, 2014 Красиво. не отличить от настоящего. Сколько техничка выходит, можно в личку Ссылка на комментарий
SDC Опубликовано 19 ноября, 2014 Автор Поделиться Опубликовано 19 ноября, 2014 Красиво. не отличить от настоящего. Сколько техничка выходит, можно в личкуМогу сказать, сколько стоит вся работа Ссылка на комментарий
RuStom Опубликовано 19 ноября, 2014 Поделиться Опубликовано 19 ноября, 2014 Скажи) и техника посоветуй этого Ссылка на комментарий
SDC Опубликовано 19 ноября, 2014 Автор Поделиться Опубликовано 19 ноября, 2014 Скажи) и техника посоветуй этогоСтоимость всей работы 86 т.р. , техника советую Ссылка на комментарий
RuStom Опубликовано 19 ноября, 2014 Поделиться Опубликовано 19 ноября, 2014 (изменено) Это за 2 коронки?Техник молодец Изменено 19 ноября, 2014 пользователем RuStom Ссылка на комментарий
SDC Опубликовано 19 ноября, 2014 Автор Поделиться Опубликовано 19 ноября, 2014 Это за 2 коронки?Техник молодецЭто стоимость протезирования и сопутствующих расходов. В нашей клинике есть одна цена, где "все включено" Ссылка на комментарий
RuStom Опубликовано 19 ноября, 2014 Поделиться Опубликовано 19 ноября, 2014 ну я и интересуюсь, сопутствующие расходы - может это эндодонтия, восстановление культи и проч.Или же это оттиски, времянка и т.п.Ну, на самом деле, не принципиально. Суть ясна Ссылка на комментарий
Lolopop Опубликовано 19 ноября, 2014 Поделиться Опубликовано 19 ноября, 2014 за что такая любовь к штифтам с резьбой?) работа красивая) Ссылка на комментарий
SDC Опубликовано 19 ноября, 2014 Автор Поделиться Опубликовано 19 ноября, 2014 (изменено) ну я и интересуюсь, сопутствующие расходы - может это эндодонтия, восстановление культи и проч.Или же это оттиски, времянка и т.п.Ну, на самом деле, не принципиально. Суть яснаВключено все этапы от первой фотографии, до последней. Изменено 19 ноября, 2014 пользователем SDC Ссылка на комментарий
SDC Опубликовано 19 ноября, 2014 Автор Поделиться Опубликовано 19 ноября, 2014 (изменено) за что такая любовь к штифтам с резьбой?) работа красивая)Спасибо, и встречные вопросы:- почему Вы подумали, что это любовь?- к какому виду штифтов сложилась любовь у Вас?- какая разница между нашими любовями )))? Изменено 19 ноября, 2014 пользователем SDC Ссылка на комментарий
Lolopop Опубликовано 19 ноября, 2014 Поделиться Опубликовано 19 ноября, 2014 каждый выбирает что ему по душе) а мне титановые штифты не нравятся, моя любовь это КШВ. подумал о любви - потому что на обоих зубах на снимке Ваши ЛЮБИМЫЕ штифты))) смущает в титановых штифтах не резьбовая нарезка , а фиксация на цемент...вернее именно та чать штифта которая остается в коронке, ведь она головка штифта вместе с цементом создает культю, а культя из штифта и сица как то не мне) Ссылка на комментарий
SDC Опубликовано 19 ноября, 2014 Автор Поделиться Опубликовано 19 ноября, 2014 (изменено) каждый выбирает что ему по душе) а мне титановые штифты не нравятся, моя любовь это КШВ. подумал о любви - потому что на обоих зубах на снимке Ваши ЛЮБИМЫЕ штифты))) смущает в титановых штифтах не резьбовая нарезка , а фиксация на цемент...вернее именно та чать штифта которая остается в коронке, ведь она головка штифта вместе с цементом создает культю, а культя из штифта и сица как то не мне)Ясно. Дело в том, что при восстановлении литой вкладкой есть много моментов, при которых может быть нарушен герметизм корневого канала:- период с временной пломбой- слепок- период с временной пломбой- примерка и фиксация (если проводить этот этап без коффердама)Мы зависимы от точности, предоставляемой лабораторией. В случае, если не согласны:- повторный слепок- период с временной пломбой- примерка и фиксация Все это время (до месяца) пациент "без зуба" или со штифтовой временной конструкцией, вероятность разгерметизации которой в разы больше, чем у временной пломбы. В зубах фронтальной группы - это СВШ - они становятся любимыми.В зубах боковой группы - титановые.Я долгое время думал, что иду "своим" путем (очень часто от коллег встречались возражения по поводу применения титановых постов для билдапов) вдруг, недавние новости от Манье показали, что он тоже (или я тоже) позитивно относится к титановым штифтам с композитными корами для билдапов. Изменено 19 ноября, 2014 пользователем SDC Ссылка на комментарий
Lolopop Опубликовано 19 ноября, 2014 Поделиться Опубликовано 19 ноября, 2014 возможно и правы , хотя прямой метод изготовления избавляет от большинства перечисленных проблем, с герметизмом проблемы есть при ношении временной пломбы, но тоже решаемо , хоть и частично - использованием световой временной пломбой)) Ссылка на комментарий
SDC Опубликовано 19 ноября, 2014 Автор Поделиться Опубликовано 19 ноября, 2014 возможно и правы , хотя прямой метод изготовления избавляет от большинства перечисленных проблем, с герметизмом проблемы есть при ношении временной пломбы, но тоже решаемо , хоть и частично - использованием световой временной пломбой))Вы про какую световую временную пломбу? Ссылка на комментарий
Lolopop Опубликовано 19 ноября, 2014 Поделиться Опубликовано 19 ноября, 2014 http://www.voco.com/ru/products/_products/clip/VC-84-001284-RU-0612_Web.pdf Ссылка на комментарий
SDC Опубликовано 19 ноября, 2014 Автор Поделиться Опубликовано 19 ноября, 2014 http://www.voco.com/ru/products/_products/clip/VC-84-001284-RU-0612_Web.pdfТечет, как ржавый водопровод 3 Ссылка на комментарий
LuckyDoc Опубликовано 20 ноября, 2014 Поделиться Опубликовано 20 ноября, 2014 Хорошая работа! Единственно на 26 я бы пломбу поменял заранее, чтобы в будущем контакт не нарушать. Фуджи One или Plus? Разве первый требует изоляции коффером? Ссылка на комментарий
SDC Опубликовано 20 ноября, 2014 Автор Поделиться Опубликовано 20 ноября, 2014 Хорошая работа! Единственно на 26 я бы пломбу поменял заранее, чтобы в будущем контакт не нарушать. Фуджи One или Plus? Разве первый требует изоляции коффером?Наверно, на 16? Она ~ 1 год назад сделана, перед фиксацией была полировка пломб на контактных поверхностях соседей. Фуджи 1, Обеспечение хорошей изоляции, необходимо для любого цемента, в данном случае несколько нитей ультрапак в проблемных местах. Ссылка на комментарий
LuckyDoc Опубликовано 20 ноября, 2014 Поделиться Опубликовано 20 ноября, 2014 Наверно, на 16? Она ~ 1 год назад сделана, перед фиксацией была полировка пломб на контактных поверхностях соседей. Фуджи 1, Обеспечение хорошей изоляции, необходимо для любого цемента, в данном случае несколько нитей ультрапак в проблемных местах.Точно) Смотрел по фото окклюзионных поверхностей. Согласен по поводу хорошей изоляции, она нигде лишней не будет, но обратил на это внимание потому что в аннотации к фуджи написано: "Просушите ватным тампоном или слегка обдуйте воздухом. НЕ ПЕРЕСУШИВАЙТЕ. Подготовленнаяповерхность зуба должна выглядеть влажной (блестящей)." - 100% цитата. На мой взгляд коффер все таки слишком круто при таких допусках. Ссылка на комментарий
SDC Опубликовано 20 ноября, 2014 Автор Поделиться Опубликовано 20 ноября, 2014 Точно) Смотрел по фото окклюзионных поверхностей. Согласен по поводу хорошей изоляции, она нигде лишней не будет, но обратил на это внимание потому что в аннотации к фуджи написано: "Просушите ватным тампоном или слегка обдуйте воздухом. НЕ ПЕРЕСУШИВАЙТЕ. Подготовленнаяповерхность зуба должна выглядеть влажной (блестящей)." - 100% цитата. На мой взгляд коффер все таки слишком круто при таких допусках.Как раз с коффером достичь подобных характеристик поверхности легче.В данном случае платок лежал на уступе, не получилось. 1 Ссылка на комментарий
LuckyDoc Опубликовано 20 ноября, 2014 Поделиться Опубликовано 20 ноября, 2014 Как раз с коффером достичь подобных характеристик поверхности легче.В данном случае платок лежал на уступе, не получилось.Все понятно, спасибо за ответы! Ссылка на комментарий
Паращук Роман Опубликовано 20 ноября, 2014 Поделиться Опубликовано 20 ноября, 2014 (изменено) Отличный результат. Позвольте несколько вопросов.СВШ в боковых не ставите вообще,если да,то по какой причине?Как думаете антагонисты не будут истираться?Вы как-то меняете анатомию контакта при глубоких дефектах и недостатка сосочка?Спасибо. Изменено 20 ноября, 2014 пользователем Паращук Роман Ссылка на комментарий
SDC Опубликовано 20 ноября, 2014 Автор Поделиться Опубликовано 20 ноября, 2014 Отличный результат. Позвольте несколько вопросов.СВШ в боковых не ставите вообще,если да,то по какой причине?Как думаете антагонисты не будут истираться?Вы как-то меняете анатомию контакта при глубоких дефектах и недостатка сосочка?Спасибо.Спасибо Роман.По поводу штифтов. На самом деле, не имеет значения для меня.Важно, что не было титановых во фронтальном отделе (открываются при редукции тв.тк. небольшой объем композита вокруг штифта, что приводит к хрупкости билдапа и иногда металл.штифты светят через композит и керамику)Антагонисты истираться будут, а цирконий - нет. Что поделаешь.Сейчас мы с техником делаем нанесение вестибулярно и по скатам бугров, для уменьшения негативного эффекта повышенной прочности циркония и ускорения сдаваемости.контакт всегда площадочный, пятно контакта в корональной 1/4.Дефицит мягких тканей керамикой никогда не восполняем. Моделировка коронки максимально анатомична. Ссылка на комментарий
Гарриевич Опубликовано 20 ноября, 2014 Поделиться Опубликовано 20 ноября, 2014 SDC, вопрос по штифтам. Вы эндо занимаетесь?)работа Ссылка на комментарий
Рекомендуемые сообщения
Для публикации сообщений создайте учётную запись или авторизуйтесь
Вы должны быть пользователем, чтобы оставить комментарий
Создать аккаунт
Зарегистрируйте новый аккаунт в нашем сообществе. Это очень просто!
Регистрация нового пользователяВойти
Уже есть аккаунт? Войти в систему.
Войти