Lyuba Опубликовано 10 ноября, 2014 Поделиться Опубликовано 10 ноября, 2014 Уважаемые стоматологи! подскажите, пожалуйста, от чего может быть такая ситуация - постоянные ноющие боли в области коронки на импланте. Вроде все нормально сделано, кусать не больно, прилегание к соседним зубам нормальное. Болят явно не соседние зубы, поскольку, когда коронку снимали на 2 недели, боли исчезли.... Ссылка на комментарий
diesel87 Опубликовано 10 ноября, 2014 Поделиться Опубликовано 10 ноября, 2014 Снимок покажите пожалуйста 2 Ссылка на комментарий
dnsmc Опубликовано 11 ноября, 2014 Поделиться Опубликовано 11 ноября, 2014 Снимок в полости рта бы увидеть в разных ракурсах, как было поставлено, и рентген снимок, а после уже можно давать "какие то консультации", а так на словах... Ссылка на комментарий
Lyuba Опубликовано 11 ноября, 2014 Автор Поделиться Опубликовано 11 ноября, 2014 сегодня сняли в очередной раз. версии:- из-за импланта, который немного выходит в гайморову пазуху- слишком широкая коронка и создает непомерную нагрузку на имплантно это увы, только версии.мрт подойдет? Ссылка на комментарий
IvanK Опубликовано 12 ноября, 2014 Поделиться Опубликовано 12 ноября, 2014 Врачам нужны объективные данные http://forum.stom.ru/topic/20613-sovety-patcientam-obiazatelno-k-prochteniiu/ С Формирователем болит?Когда появились боли? Ссылка на комментарий
Shaid Опубликовано 12 ноября, 2014 Поделиться Опубликовано 12 ноября, 2014 Фантомные боли Шутка. Сделайте КТ. Ссылка на комментарий
Lyuba Опубликовано 12 ноября, 2014 Автор Поделиться Опубликовано 12 ноября, 2014 (изменено) Иван, добрый день!Вы меня вчера смотрели вживую с Г.К. и Н.Н.)))), правда на некроз это не тянуло, и вряд ли боли только от этогопытаемся переделывать, проблема в том, что нет уверенности, что это не от импланта, поскольку он в гайморовой.... по мрт воспаления никто не видит....с формирователем не болит, нагрузки нет... боли появились год назад. после постановки коронки, и со временем стали более частыми/интенсивнымикак протезировать понимания нет ... поможет ли более узкая коронка с меньшей нарузкой на десеу - это бооооольшой вопрос(((( Изменено 12 ноября, 2014 пользователем Lyuba Ссылка на комментарий
Lyuba Опубликовано 12 ноября, 2014 Автор Поделиться Опубликовано 12 ноября, 2014 точно... боли в несуществующем зубе... ))) то ли от десны, то и от нагрузки на имплант... Ссылка на комментарий
IvanK Опубликовано 13 ноября, 2014 Поделиться Опубликовано 13 ноября, 2014 правда на некроз это не тянуло Ну Вам виднее, конечно, ... там четкий участок некроза десны от избыточного давления, жаль не сделал фото, мог бы выложить Ссылка на комментарий
IvanK Опубликовано 13 ноября, 2014 Поделиться Опубликовано 13 ноября, 2014 Напишите в личку ФИО и дату рождения, гляну КТ Ссылка на комментарий
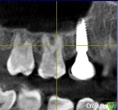
Lyuba Опубликовано 5 января, 2015 Автор Поделиться Опубликовано 5 января, 2015 С наступившим Новым Годом! Желаю всем побольше счастья и поменьше проблем! )) Прошу прощения, что опять мучаю Вас вопросами, но очень хочется разрешить проблему с зубами, поскольку постоянные ноющие боли достали (((((несмотря на то, что коронку с импланта сняли уже 2 месяца назад и поначалу было вроде бы полегче, боли сохранились.Сейчас я Швейцарии с консультировалась с имплантологами двух клиник (Швейцария и Германия).Они говорят, что имплант установлен на 2-3 мм в гайморову пазуху, что является бесспорной ошибкой хирурга, и его нужно извлекать.В то же время 100% гарантии, что боли дает именно имплант, а не соседний 6й зуб нет. Аргументация за то, что имплант "проблемный" - гайморова пазуха.что проблема в соседнем 6м зубе : пломба недалеко от пульпы. Но: два месяца назад пломбу сменили пульпа не вскрыта, кариеса не было... Сегодня делали рентген 6ки... - измененений у корня зуба нет, зуб с адекватной реакцией "живого зуба" на электрические токи и холодовой тест.Один из врачей сказал, что может быть, это проблема периодонта (какие-то небольшие разрежения), но снаружи все очень прилично выглядит.... Можно ли как-то ТОЧНО установить, в чем проблема - в импланте или соседнем зубе?не хочется "методом исключения" депульпировать зуб или выпиливать имплант (и зашивать гайморову пазуху с последующей установкой костного материала).... Ссылка на комментарий
IvanK Опубликовано 5 января, 2015 Поделиться Опубликовано 5 января, 2015 Проблем с имплантатом нет.то, что имплантат в пазухе не является ошибкой. Признаков воспаления в пазухе нет. 3 Ссылка на комментарий
IvanK Опубликовано 5 января, 2015 Поделиться Опубликовано 5 января, 2015 Проверил бы все зубы на витальность.Обидно будет удалить, а боли останутся. ..с Новым годом Ссылка на комментарий
Lyuba Опубликовано 5 января, 2015 Автор Поделиться Опубликовано 5 января, 2015 Иван, зубы на витальность проверены в креслах аж трех стоматологов (холодовой тест и тест электричеством), сделаны 2КТ (Galileos и WhiteFox), сделаны прицельные рентгеновские снимки всех зубов на этой стороне, а проблема до сих пор не выявлена.У меня НЕТ ЦЕЛИ кого-то ОБВИНЯТЬ ИЛИ что-то УДАЛЯТЬ, но жить с постоянной ноющей болью годами как-то неприятно. Надеюсь, Вы меня понимаете. Перфорация гайморовой пазухи и инородное тело в ней - это НЕПРАВИЛЬНО. Клиентом ЛОРА я уже по этому поводу была после установки импланта. У некоторых пациентов это, может и не вызывает проблем, но вот лично у меня, к примеру, выведенный за верхушку канала пломбировочный материал дважды вызывал многолетние боли и периодонтит. А здесь имплант в гайморовой.Боли он может вызывать, даже если нет кисты. Как можно исключить то, что это имплант? Или установить, что это соседний зуб? или проблема с периодонтом?Может, перенести тему в раздел хирургии? 1 Ссылка на комментарий
IvanK Опубликовано 5 января, 2015 Поделиться Опубликовано 5 января, 2015 переместил Ссылка на комментарий
annda Опубликовано 5 января, 2015 Поделиться Опубликовано 5 января, 2015 (изменено) Погуглите "синуслифтинг" , обязательно про закрытый и открытый, и прочитайте тему про имплантаты в гайморовой.Ну это прежде чем категорично и капслоком утверждать, что правильно и что неправильно .А потом надо бы еще невролога посетить по поводу исключения нейропатии тройничного нерва.А так же подумать по поводу лицевого миофасциального болевого синдрома. Попросите поставить очень маленькую дозу анестетика в проекцию имплантата и посмотрите, пройдет боль или останется.Станет сразу ясно, он вас мучает или что другое. Изменено 5 января, 2015 пользователем annda 2 Ссылка на комментарий
Lyuba Опубликовано 5 января, 2015 Автор Поделиться Опубликовано 5 января, 2015 Annda, спасибо за совет. Спрошу врача, поможет ли анестетик и не подействует ли он параллельно на соседние зубы.Утверждала, что это неправильно не я "начитавшись чего-то в интернете", а несколько врачей имплантологов, в том числе и в германии, где очень долго работают с имплантами системы Ankylos.Они говорят, что у некоторых пациентов импланты в гайморовой не вызывают проблем, у некоторых приходится удалять, и только тогда решается проблема с болью, поэтому импланты в гайморову стараются не ставить.Синус-лифтинг мне не делали.Некоторые врачи в России говорили то же самое, что это "неправильно", некоторые "ничего страшного". В моем случае мне пришлось лечиться у ЛОРа, что уже не совсем "правильно"У неврологов (также двух) я была, чтобы исключить невралгию троичного нерва, мышечные спазмы, у гнатолога - исключить бруксизм и т.д.+ пила кетанов с Новопасситом "на всякий"....То есть реально остаются 3 варианта:1) имплант2) соседний зуб (витальный)3) проблемы с периодонтом Ссылка на комментарий
annda Опубликовано 5 января, 2015 Поделиться Опубликовано 5 января, 2015 (изменено) Вот теперь ваш пост более корректен, чем предыдущий( в плане наличия имплантатов в пазухе) , а то пациентов с ними с такими немало, и все читают, могут неправильно понять.кстати, чаще всего неприятности с имплантатами в пазухах связывают не с ними непосредственно, а с искусственный графтом, а у вас его как раз и не было.Когда и как вы лечились у ЛОРа? Изменено 5 января, 2015 пользователем annda Ссылка на комментарий
Lyuba Опубликовано 5 января, 2015 Автор Поделиться Опубликовано 5 января, 2015 Я ни в коем случае не призываю тех, у кого имплант выходит в гайморову бежать и удалять. организм у всех разный.Лечилась у ЛОРа после установки импланта, у меня были несколько месяцев жидкие выделения из носа, причем не могла даже горячий суп/чай пить - сразу начинало все течь.... делали рентген, "скоплений-воспалений" не обнаруживали.... Чем точно лечили, уже не помню, почти два года прошло, какие-то капли противовоспалительные. Ссылка на комментарий
annda Опубликовано 5 января, 2015 Поделиться Опубликовано 5 января, 2015 (изменено) А формирователь какой стоит сейчас?высоту знаете?На КТ сейчас все абсолютно спокойно, там вроде даже мембрана на имплантате лежит( это нормально, они обрастают здоровой слизистой, если все идет по плану) Изменено 5 января, 2015 пользователем annda Ссылка на комментарий
Lyuba Опубликовано 5 января, 2015 Автор Поделиться Опубликовано 5 января, 2015 (изменено) не знаю, какой... извините за качество, во рту мобильником.....мембрана под вопросом, никто не утверждает есть или нет (смотрели с разных ракурсов, дескать, если есть "то очень тонкая")а периодонтитного процесса не видно? Вроде и с форума доктор Краснов говорил, что в этом районе все спокойно, но ведь отчего-то болит ((((Или нерв немного в соседнем зубе поврежден, но зуб живой??? Изменено 5 января, 2015 пользователем Lyuba Ссылка на комментарий
annda Опубликовано 5 января, 2015 Поделиться Опубликовано 5 января, 2015 (изменено) Боль в живых зубах , как правило, имеет весьма характерные признаки ( приступообразность, зависимость от температурных раздражителей, иррадиация по челюсти, зависимость от времени суток, интенсивность и т. д.).Не обязательно это будет прямо - таки сосед( там и через зуб есть проблемные изображения на КТ в переднем отделе)Постоянные не интенсивные ноющие боли могут быть связаны и с десной . Имплантат достаточно заглублен, потому все супраструктуры прилично прижимают мягкие ткани к костной , и это может вызывать достаточно сильный дискомфорт. Попросите поставить формирователь 4,5 мм, у Анкилоса есть такой, длинный и узкий, посмотрите, изменится что-то или нет.Ах да, периодонтитных процессов не вижу, да их и не может быть, раз зубы витальные.Периимплантита я лично тоже тут не вижу, может кто другой видит, так отпишется. Изменено 5 января, 2015 пользователем annda 2 Ссылка на комментарий
Lyuba Опубликовано 5 января, 2015 Автор Поделиться Опубликовано 5 января, 2015 (изменено) формирователь, как говорили, поставили узкий, какая длина - не знаю...На температурные раздражители и сладкое зубы не реагируют, по ощущениям - не иррадирует...четко в области импланта и соседней шестерки. боли бывают как ноющие, так иногда и посильнее "прихватит", так что хочется бежать что-нибудь удалять.... минуты на две.... но непонятно ЧТО удалять.... нерв? имплант? зуб? (((( Изменено 5 января, 2015 пользователем Lyuba Ссылка на комментарий
IvanK Опубликовано 5 января, 2015 Поделиться Опубликовано 5 января, 2015 это не узкий,уже, чем у Вас был (индивидуальный), но не самый узкий Ссылка на комментарий
Kovalov Igor Опубликовано 16 мая, 2016 Поделиться Опубликовано 16 мая, 2016 Проблема не решилась ? Ссылка на комментарий
Рекомендуемые сообщения
Для публикации сообщений создайте учётную запись или авторизуйтесь
Вы должны быть пользователем, чтобы оставить комментарий
Создать аккаунт
Зарегистрируйте новый аккаунт в нашем сообществе. Это очень просто!
Регистрация нового пользователяВойти
Уже есть аккаунт? Войти в систему.
Войти