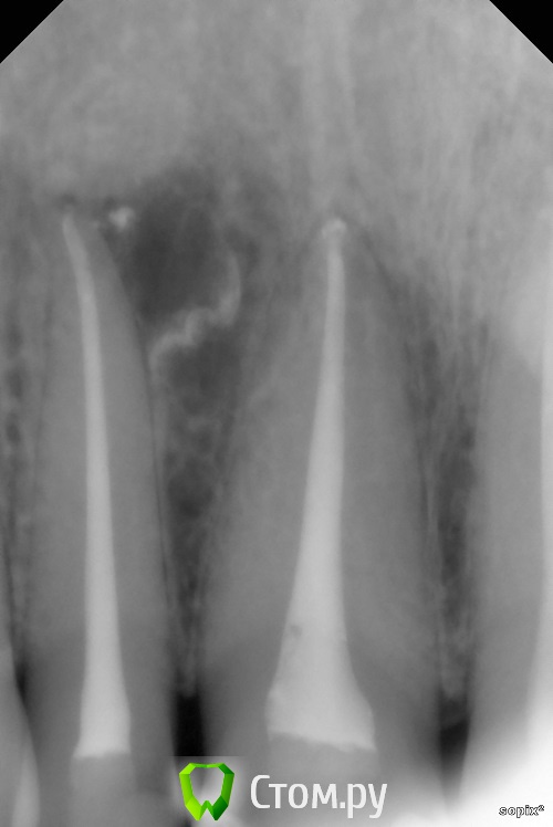
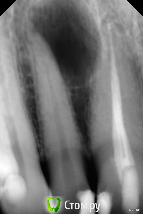
Dr.Sham Опубликовано 9 ноября, 2014 Поделиться Опубликовано 9 ноября, 2014 (изменено) Пришла пациентка за винирами, сделали снимки, увидили красоту Виниры на время отложили.Начал лечить, получил обострение, отмылся повторно, симптомы ушли.2 раза кальций поменял, т.к. после первого раза еще канал влажный был.Запаковал или волной, или сквирт был, уже не вспомнить.Вот результаты, критикуйте 05.1209.1311.14 Изменено 9 ноября, 2014 пользователем Dr.Sham 11 Ссылка на комментарий
M@estro Опубликовано 9 ноября, 2014 Поделиться Опубликовано 9 ноября, 2014 Перепреп детектед а так норм Ссылка на комментарий
Dr.Sham Опубликовано 9 ноября, 2014 Автор Поделиться Опубликовано 9 ноября, 2014 Ортопедию не я делал :-) 1 Ссылка на комментарий
Shaid Опубликовано 10 ноября, 2014 Поделиться Опубликовано 10 ноября, 2014 Перепреп детектед Имеется ввиду овер в 1.2 или чрезмерное расширение устьевой и средней части в 1.1? Ссылка на комментарий
Рекомендуемые сообщения
Для публикации сообщений создайте учётную запись или авторизуйтесь
Вы должны быть пользователем, чтобы оставить комментарий
Создать аккаунт
Зарегистрируйте новый аккаунт в нашем сообществе. Это очень просто!
Регистрация нового пользователяВойти
Уже есть аккаунт? Войти в систему.
Войти