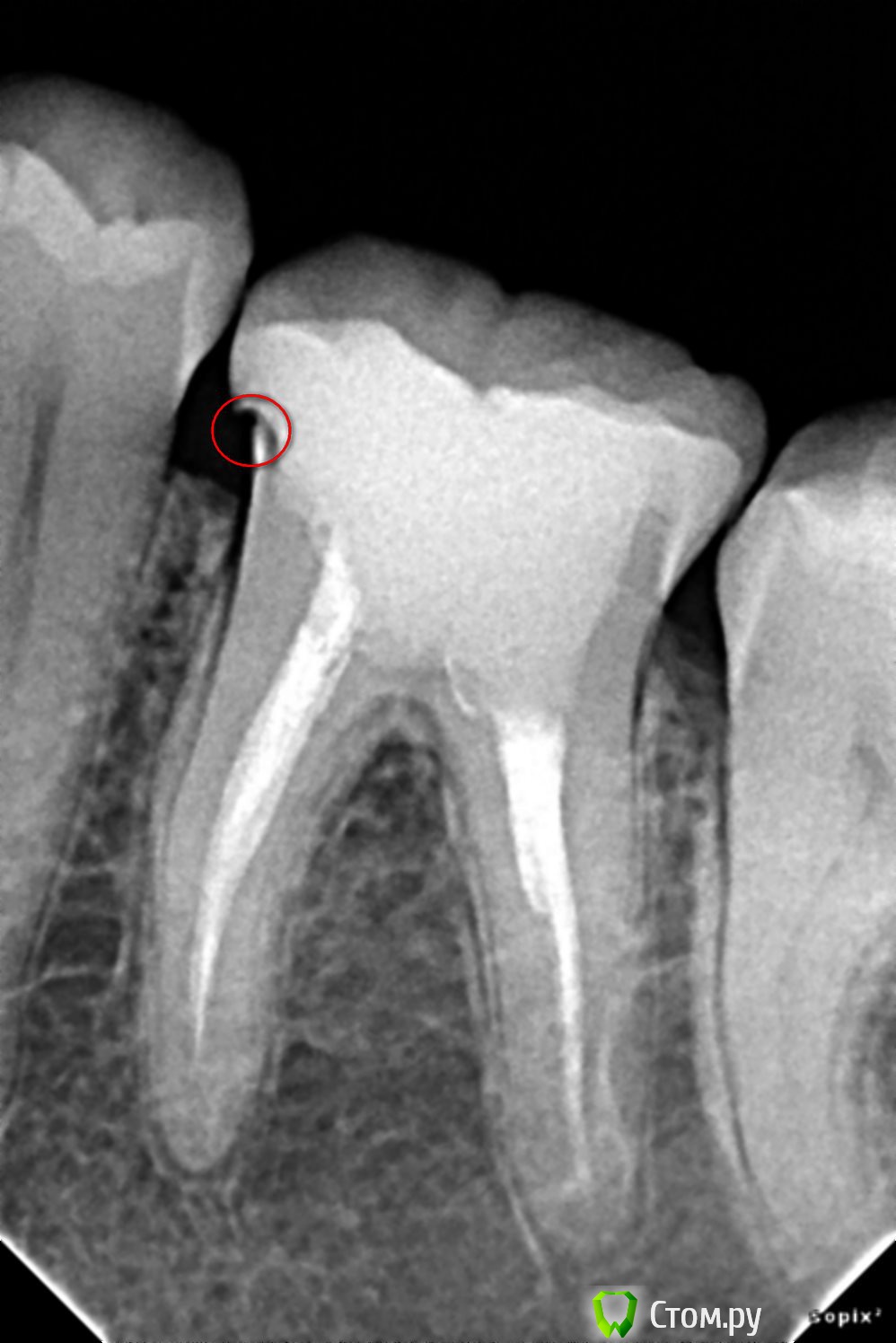
ТатьянаС Опубликовано 3 ноября, 2014 Поделиться Опубликовано 3 ноября, 2014 Добрый день! Недавно мне поставили керамическую вкладку на 6 нижний зуб слева, по итогам сделали снимок, он во вложении, настораживает меня место, обведенное красным. Врач говорит, что т.к. пища туда не попадает, все ок и ничего делать не надо. Как считаете я зря переживаю или нет? Спасибо! Ссылка на комментарий
IvanK Опубликовано 3 ноября, 2014 Поделиться Опубликовано 3 ноября, 2014 Здравствуйте Нужно переделать 1 Ссылка на комментарий
ТатьянаС Опубликовано 3 ноября, 2014 Автор Поделиться Опубликовано 3 ноября, 2014 Здравствуйте Нужно переделатьСпасибо за ответ, переделать - вытащить вкладку и сделать все заново? Или можно это место как-то обточить? Ссылка на комментарий
SDC Опубликовано 3 ноября, 2014 Поделиться Опубликовано 3 ноября, 2014 Спасибо за ответ, переделать - вытащить вкладку и сделать все заново? Или можно это место как-то обточить?Переделать. Не откорректировать, а переделать 2 Ссылка на комментарий
IvanK Опубликовано 3 ноября, 2014 Поделиться Опубликовано 3 ноября, 2014 Переделать. Не откорректировать, а переделать+1 Ссылка на комментарий
IvanK Опубликовано 3 ноября, 2014 Поделиться Опубликовано 3 ноября, 2014 Возможно, имеет смысл задуматься о коронке 2 Ссылка на комментарий
SDC Опубликовано 3 ноября, 2014 Поделиться Опубликовано 3 ноября, 2014 имеет смысл задуматься о коронке+1 Ссылка на комментарий
ТатьянаС Опубликовано 3 ноября, 2014 Автор Поделиться Опубликовано 3 ноября, 2014 Возможно, имеет смысл задуматься о коронкеСпасибо Вам большое за консультацию, так похоже и придется сделать, поменяв, конечно, врача. Как считаете, насколько вопрос срочный, с таким зубом вообще нельзя ходить или сколько-то он протянет, я еду в командировку в конце ноября, на полгода, боюсь не успею разобраться со всем, у меня еще удаление ретинированной 8-ки. Ссылка на комментарий
SDC Опубликовано 3 ноября, 2014 Поделиться Опубликовано 3 ноября, 2014 Спасибо Вам большое за консультацию, так похоже и придется сделать, поменяв, конечно, врача. Как считаете, насколько вопрос срочный, с таким зубом вообще нельзя ходить или сколько-то он протянет, я еду в командировку в конце ноября, на полгода, боюсь не успею разобраться со всем, у меня еще удаление ретинированной 8-ки.Слепок под коронку+удаление.Одновременное заживление и лабораторный этап и через 2 недели фиксация коронки. Все в сроки до конца ноября, вполне, даже неделя останется в запасе на возможную коррекцию коронки. Ссылка на комментарий
Рекомендуемые сообщения
Для публикации сообщений создайте учётную запись или авторизуйтесь
Вы должны быть пользователем, чтобы оставить комментарий
Создать аккаунт
Зарегистрируйте новый аккаунт в нашем сообществе. Это очень просто!
Регистрация нового пользователяВойти
Уже есть аккаунт? Войти в систему.
Войти