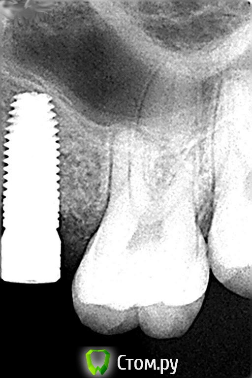
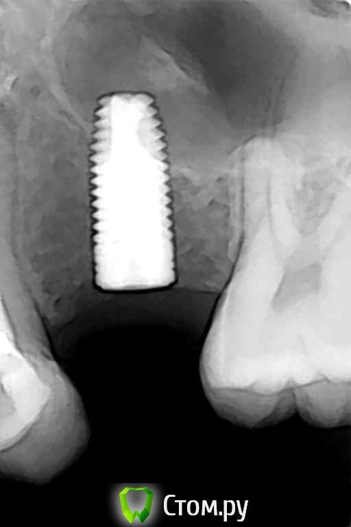
Михаил Демурчян Опубликовано 29 октября, 2014 Поделиться Опубликовано 29 октября, 2014 (изменено) Комментарии к фотографиям: 1. В тех случаях, когда нужно поднять пазуху всего на 2-3 мм, можно обойтись совершенно без остеопластического материала. Рентгенограмма до операции. 2. Рентгенограмма сразу после операции. Над установленным имплантатом виден фрагмент кости вследствие проведенной остеотомии. Тень полусферы обозначает границы кровяного сгустка под слизистой оболочкой пазухи. 3. Контрольный снимок спустя год после операции. Видна новая граница пазухи над имплантатом. Изменено 29 октября, 2014 пользователем Михаил Демурчян 4 Ссылка на комментарий
bullbull Опубликовано 29 октября, 2014 Поделиться Опубликовано 29 октября, 2014 Плазму использовали?А почему через год ФДМ? Ссылка на комментарий
Михаил Демурчян Опубликовано 29 октября, 2014 Автор Поделиться Опубликовано 29 октября, 2014 Плазму использовали?А почему через год ФДМ?Вообще ничего не использовали.Пациент через год вернулся. Формирователь можно было раньше ставить. Ссылка на комментарий
Kostoprav Опубликовано 29 октября, 2014 Поделиться Опубликовано 29 октября, 2014 тоже в подобных ситуациях ничего в пазуху не засыпаю. Ссылка на комментарий
Евгений Ходыкин Опубликовано 29 октября, 2014 Поделиться Опубликовано 29 октября, 2014 По 5мм и даже более смело на сгустке поднимают... Ильгам кстати выкладывал кейс как-то Ссылка на комментарий
Фарид Расулыч Опубликовано 29 октября, 2014 Поделиться Опубликовано 29 октября, 2014 (изменено) Недавно случайно попал на лекцию по синусу, лектор тоже говорил что пазуха заполненая кровью в костном заместителе не нуждается. А так же что пазуху можно вполне проткнуть имплантом и 2-3 мм над костью обрастут мембраной. Изменено 29 октября, 2014 пользователем Фарид Расулыч Ссылка на комментарий
Евгений Ходыкин Опубликовано 29 октября, 2014 Поделиться Опубликовано 29 октября, 2014 Недавно случайно попал на лекцию по синусу, лектор тоже говорил что пазуха заполненая кровью в костном заместителе не нуждается. А так же что пазуху можно вполне проткнуть имплантом и 2-3 мм над костью обрастут мембраной.При условии, что воспаление не присоединится Ссылка на комментарий
Фарид Расулыч Опубликовано 29 октября, 2014 Поделиться Опубликовано 29 октября, 2014 Ну Имплант же стерильный, А пазуха нет. Так что если лишней грязи не занести и антибиотиком шлифануть то (по его словам, не моим) проблем быть не должно. Я не писал что придерживаюсь такого же мнения) Ссылка на комментарий
faity Опубликовано 29 октября, 2014 Поделиться Опубликовано 29 октября, 2014 америкосы вроде давно так делают 1 Ссылка на комментарий
Фарид Расулыч Опубликовано 29 октября, 2014 Поделиться Опубликовано 29 октября, 2014 Лектор как раз был оттуда )) Ссылка на комментарий
faity Опубликовано 29 октября, 2014 Поделиться Опубликовано 29 октября, 2014 вот и сошлись карты) Ссылка на комментарий
kriokov Опубликовано 30 октября, 2014 Поделиться Опубликовано 30 октября, 2014 А откуда взяли, что пазуха "не стерильна"? разные данные на обучении приводились- и то , что высевали из синуса, и то , что ничего из флоры получено не было. 1 Ссылка на комментарий
Фарид Расулыч Опубликовано 30 октября, 2014 Поделиться Опубликовано 30 октября, 2014 Это не мои данные. Пазуха не может быть стерильной априори. Так как сообщается с полостью носа, Вы же не будете утверждать что нос стерилен? По поводу контаминации импланта сразу после извлечения из упаковки утверждать не берусь. Так как не знаю. Исследований не проводил, и книг мало прочел на эту тему) может кто то уже исследовал данный вопрос. Ссылка на комментарий
Фарид Расулыч Опубликовано 30 октября, 2014 Поделиться Опубликовано 30 октября, 2014 Согласен с kriokov, в разное время приводились разные данные. Но я склонен считать что всё же пазуха не стерильна. Даже если там живет "одна единственная" бактерия это уже говорит о не стерильности. Ссылка на комментарий
kriokov Опубликовано 30 октября, 2014 Поделиться Опубликовано 30 октября, 2014 Но я склонен считать что всё же пазуха не стерильна нам она и не нужна стерильная, нужна здоровая 3 Ссылка на комментарий
Фарид Расулыч Опубликовано 30 октября, 2014 Поделиться Опубликовано 30 октября, 2014 нам она и не нужна стерильная, нужна здоровая Полностью согласен! Ссылка на комментарий
Рекомендуемые сообщения
Для публикации сообщений создайте учётную запись или авторизуйтесь
Вы должны быть пользователем, чтобы оставить комментарий
Создать аккаунт
Зарегистрируйте новый аккаунт в нашем сообществе. Это очень просто!
Регистрация нового пользователяВойти
Уже есть аккаунт? Войти в систему.
Войти