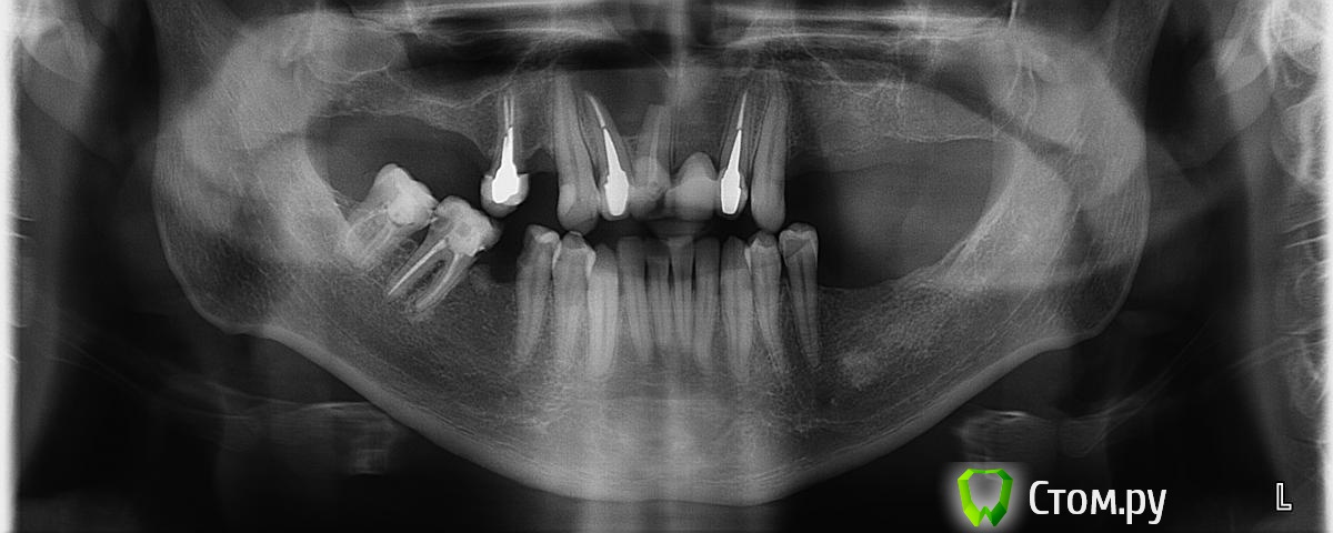
negodyai Опубликовано 17 октября, 2014 Поделиться Опубликовано 17 октября, 2014 Добрый день! Подскажите пожалуйста по моей ситуации. Свежего снимка к сожалению не нашел. Думаю, специалистам будет понятно, снимок сделан ДО цистэктомии передних зубов или после :-\ Летом заниматься зубами не было финансовой возможности. Сейчас созрел.Что посоветуете? В ближайшей клинике, после операции по удалению кисты, мне посоветовали ставить брекеты на нижнюю челюсть, для выравнивания прикуса, затем, возможно нужен будет синус-лифтинг верхней челюсти (на месте удаления кисты "пустота") с подсадкой костной ткани, затем, одномоментная имплантация, 6-7 имплантатов на мостах.. Речь шла о имплантатах какой-то корейской фирмы, насколько они хорошие и что за фирма, не сказали.Нуждаюсь в вашем совете. Ссылка на комментарий
IvanK Опубликовано 17 октября, 2014 Поделиться Опубликовано 17 октября, 2014 Все примерно так.. я бы сделал кт снимок Ссылка на комментарий
M@estro Опубликовано 17 октября, 2014 Поделиться Опубликовано 17 октября, 2014 (изменено) Цистэктомию единицы делали. Клык не смотрели ? Изменено 17 октября, 2014 пользователем M@estro Ссылка на комментарий
negodyai Опубликовано 17 октября, 2014 Автор Поделиться Опубликовано 17 октября, 2014 Все примерно так.. я бы сделал кт снимок КТ есть, просто на диске, нет возможности выложить. Все что сказали в клинике, основано на снимках и КТ, конечно... Цистэктомию единицы делали. Клык не смотрели ? Там киста большая была, причем рецидив. Первый раз сделал в гос. поликлинике, что-то там не доделали и она снова выросла, уже в этот огромный размер. Клык хотели удалять вначале, но вроде обошлось... Сейчас новые снимки сделать нужно, надеюсь, все нормально там будет на этом месте... Я что спросить хотел, в Белорусь имеет смысл ехать протезироваться? Я так понял, имплантаты вроде Штраумана или Нобеля, Ксайта, там не сертифицированы, в основном MIS они практикуют... Ссылка на комментарий
Рекомендуемые сообщения
Для публикации сообщений создайте учётную запись или авторизуйтесь
Вы должны быть пользователем, чтобы оставить комментарий
Создать аккаунт
Зарегистрируйте новый аккаунт в нашем сообществе. Это очень просто!
Регистрация нового пользователяВойти
Уже есть аккаунт? Войти в систему.
Войти