kspilnichenko Опубликовано 14 октября, 2014 Поделиться Опубликовано 14 октября, 2014 Уважаемые доктора,помогите определиться с тактикой лечения. Около месяца назад под инфильтрационной анестезией проведена замена пломб ( 13 зуб) на апроксимальных поверхностях и в пришеечной области,зуб виртуальный,полость зуба не вскрыта,до лечения жалоб не предъявлял. На след день пациент обратился с дискомфортом при жевании, после при шлифовки пломбы накусывать стало не больно. Но сейчас отмечает боли при надавливании в области верхушки,со слов "такое ощущение,что есть синяк" . При осмотре гематом нет,перкуссия безболезненна, термопроба отрицательна. Пальпация по пешеходной складке чувствительна,но ни гиперемии,ни отека нет. Подскажите,пожалуйста,что это может быть и что с этим делать? Грешила на анестезию, но беспокоит уже около месяца . Ссылка на комментарий
DmitrySH Опубликовано 14 октября, 2014 Поделиться Опубликовано 14 октября, 2014 Витальность зуба проверьте 2 Ссылка на комментарий
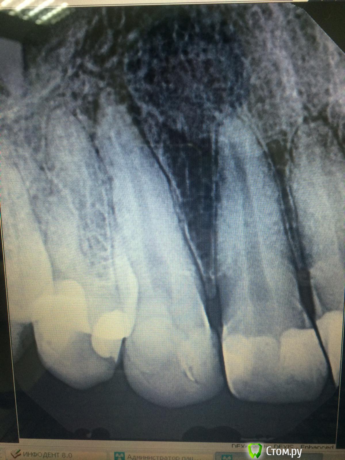
faity Опубликовано 14 октября, 2014 Поделиться Опубликовано 14 октября, 2014 как-то так Ссылка на комментарий
kspilnichenko Опубликовано 15 октября, 2014 Автор Поделиться Опубликовано 15 октября, 2014 Каво диагнодент подойдет для этого? Ссылка на комментарий
DmitrySH Опубликовано 16 октября, 2014 Поделиться Опубликовано 16 октября, 2014 Эндофрост подойдет Ссылка на комментарий
Андрей Боровой Опубликовано 16 октября, 2014 Поделиться Опубликовано 16 октября, 2014 пульпа погибла 100%=эндо Ссылка на комментарий
Рекомендуемые сообщения
Для публикации сообщений создайте учётную запись или авторизуйтесь
Вы должны быть пользователем, чтобы оставить комментарий
Создать аккаунт
Зарегистрируйте новый аккаунт в нашем сообществе. Это очень просто!
Регистрация нового пользователяВойти
Уже есть аккаунт? Войти в систему.
Войти