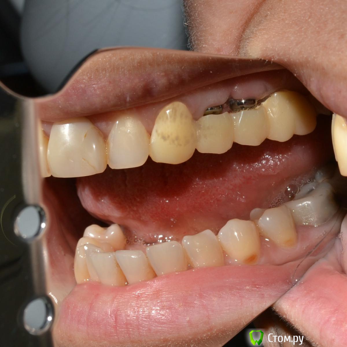
rezo47 Опубликовано 10 октября, 2014 Поделиться Опубликовано 10 октября, 2014 Вот такую ситуацию получил после установки ФДМок, теперь ломаю голову как востановить, а вернее создать сосочек Ссылка на комментарий
Aquarius Опубликовано 10 октября, 2014 Поделиться Опубликовано 10 октября, 2014 Вот такую ситуацию получил после установки ФДМок, теперь ломаю голову как востановить, а вернее создать сосочекИ? )))) где ситуация? 1 Ссылка на комментарий
Aquarius Опубликовано 10 октября, 2014 Поделиться Опубликовано 10 октября, 2014 Вот такую ситуацию получил после установки ФДМок, теперь ломаю голову как востановить, а вернее создать сосочеквот теперь вижу)) А рентген есть? Кости возможно нет из-за близкого расположения имплантов. Не знаю прокатит нет, по Скляру на передней питающей ножке. В нем дырки сделать под формики. Или по Палаччи полулунным разрежьте и между формиков киньте вестибулярно. Исходных данных маловато. Окклюзионно покажите, если есть. Ссылка на комментарий
АнтонТЛТ Опубликовано 10 октября, 2014 Поделиться Опубликовано 10 октября, 2014 сст натянуть на фдм, может дважды Ссылка на комментарий
Mane Опубликовано 10 октября, 2014 Поделиться Опубликовано 10 октября, 2014 Одним словом тут снова нужен гамборенинг! Упилите фдм до малого диаметра чтоб дать место между нами. И пересадите сст с бугра в зону сосочка или в область всех двух формирователей. 2 Ссылка на комментарий
Дмитрий Никитюк Опубликовано 10 октября, 2014 Поделиться Опубликовано 10 октября, 2014 Гамборенинг лучший выбор. Формики спилить или даже один временно убрать. На второй абатмент, ССТ с бугра и консольчик с правильным профилем, вот через 2 недели в подобном случае: http://s017.radikal.ru/i442/1410/a6/f9a2d3d07f02.jpg 13 Ссылка на комментарий
an_ver Опубликовано 10 октября, 2014 Поделиться Опубликовано 10 октября, 2014 Зачетный сосок)) шовник гликолон? Ссылка на комментарий
rezo47 Опубликовано 10 октября, 2014 Автор Поделиться Опубликовано 10 октября, 2014 Одним словом тут снова нужен гамборенинг!Упилите фдм до малого диаметра чтоб дать место между нами. И пересадите сст с бугра в зону сосочка или в область всех двух формирователей. Продольный разрез между имплантами, затем сст, фдм и ушиться? Ссылка на комментарий
Mane Опубликовано 10 октября, 2014 Поделиться Опубликовано 10 октября, 2014 Да. Заходите туда остро- то есть расщепленный лоскут. Но важно чтоб между фдм был жирный кусок сст. И чтоб между фдмами было пространство хотя бы 3 мм. 1 Ссылка на комментарий
Дмитрий Никитюк Опубликовано 10 октября, 2014 Поделиться Опубликовано 10 октября, 2014 Зачетный сосок)) шовник гликолон? Вы думаете секрет в шовнике? Нет, это "нейлон черный" от "Голнит", материал полипропилен, размер 6-0. 1 Ссылка на комментарий
Популярный пост Дмитрий Никитюк Опубликовано 10 октября, 2014 Популярный пост Поделиться Опубликовано 10 октября, 2014 Продольный разрез между имплантами, затем сст, фдм и ушиться? Разрез внутрибороздковый вестибулярно, между имплантатами ткани поднять тонельно, за счёт мобилизации вестибулярного лоскута, лоскут сместить коронарно, под него ССТ, с заходом между формиков аж на нёбо. Если нёбо хорошее, можно взять оттуда на ножке. Вот делал между 14 и 15 недавно: http://s015.radikal.ru/i333/1410/a8/468c7cac9f47.png 20 Ссылка на комментарий
rezo47 Опубликовано 10 октября, 2014 Автор Поделиться Опубликовано 10 октября, 2014 (изменено) Разрез внутрибороздковый вестибулярно, между имплантатами ткани поднять тонельно, за счёт мобилизации вестибулярного лоскута, лоскут сместить коронарно, под него ССТ, с заходом между формиков аж на нёбо.Если нёбо хорошее, можно взять оттуда на ножке.Вот делал между 14 и 15 недавно:удаляйте фото из цитатСпасибо, а все это ушить на тонкие фдм или заглушки? Изменено 11 октября, 2014 пользователем IvanK Ссылка на комментарий
Дмитрий Никитюк Опубликовано 10 октября, 2014 Поделиться Опубликовано 10 октября, 2014 Тонкие фдм, естественно. 1 Ссылка на комментарий
an_ver Опубликовано 13 октября, 2014 Поделиться Опубликовано 13 октября, 2014 Вы думаете секрет в шовнике? Нет, это "нейлон черный" от "Голнит", материал полипропилен, размер 6-0.Нет,я так не думаю. Думаю секрет в голове Ссылка на комментарий
Чертков Александр Опубликовано 13 октября, 2014 Поделиться Опубликовано 13 октября, 2014 секрет в голове ....и руках.... Ссылка на комментарий
rivezico Опубликовано 13 октября, 2014 Поделиться Опубликовано 13 октября, 2014 Вот делал между 14 и 15 недавно: http://cdn.alltheragefaces.com/img/faces/large/surprised-mother-of-god-bloody-l.png Ссылка на комментарий
Рекомендуемые сообщения
Для публикации сообщений создайте учётную запись или авторизуйтесь
Вы должны быть пользователем, чтобы оставить комментарий
Создать аккаунт
Зарегистрируйте новый аккаунт в нашем сообществе. Это очень просто!
Регистрация нового пользователяВойти
Уже есть аккаунт? Войти в систему.
Войти