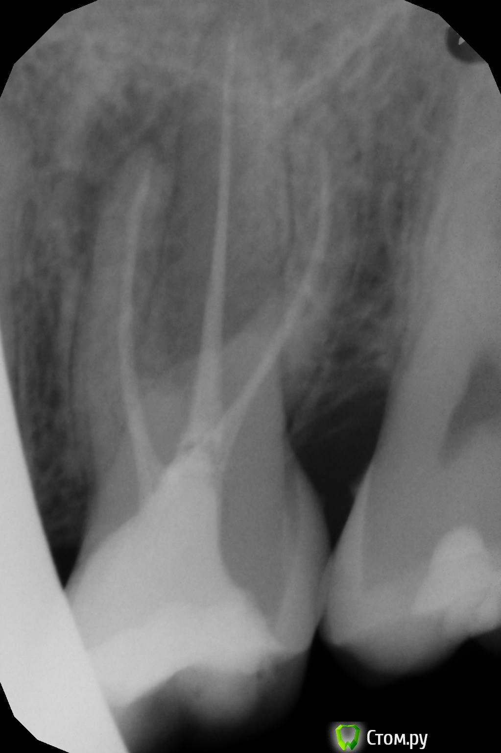
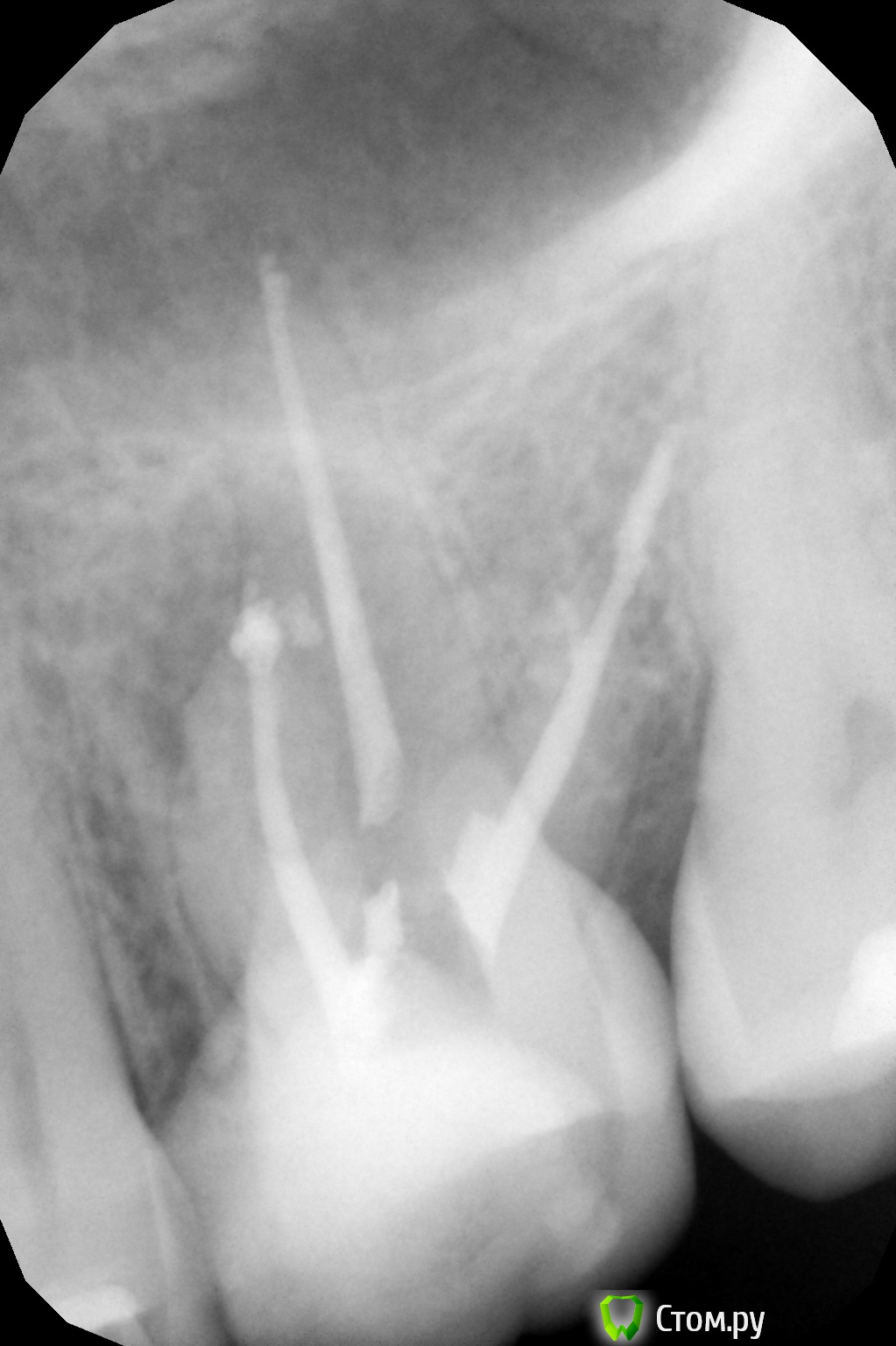
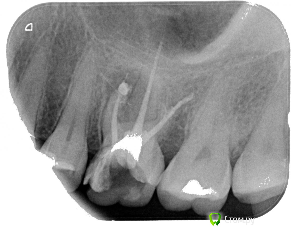
oksanab Опубликовано 9 октября, 2014 Поделиться Опубликовано 9 октября, 2014 (изменено) мне лечили 26-й зуб и медсестра озвучила, что нет 40-го и 38-го штифта .В итоге врач поставил просто эндометазон без гуттаперчей. Это я узнала, когда мне зуб вскрыли и стали перепломбировывать один канал, ввиду того, что паста там была не застывшая, мягкая. Является ли это ошибкой терапевта, когда паста мягкая в канале? . Плохо ли, когда эндометазон без гуттаперчи(судя по всему не было 40-го )? И почему ,как вы думаете, уже другой терапевт перелечила только центральный канал и не тронула остальные, хотя я просила об этом(потому что ортопед попросил). Она только загерметизировала остальные два канала(возможно апексом, не знаю, а вот центральный канал апексом верхушку корня залила). Достаточно ли этого, или лучше все-таки перепломбировать и два остальных канала?(в одном из них судя по всему перфорация, на другом - лекарство выведено за канал ,а может эндометазон за канал с лечебной целью выведен.... В выписке предыдущий врач не отметил, какое конкретно лекарство за каналом было выведено. Прилагаю снимки, на первом три канала 12 лет назад, на втором и третьем - перелечивание и пломбировка эндометазоном всех трех каналов(просто два снимка в разных клиниках ,но суть одна), да еще и скол зуба появился небольшой(ортопеды говорят, поправимо), и на третьем снимке перепломбировали только центральный канал. Нормально ли перепломбировали хоть средний канал? на мой взгляд как-то верхушка его странно расширилась, была поуже на 2-м и 3-м снимке(пломбировали методом латеральной конденсации). Подскажите пожалуйста, что думаете? Изменено 9 октября, 2014 пользователем oksanab Ссылка на комментарий
Cleric Опубликовано 9 октября, 2014 Поделиться Опубликовано 9 октября, 2014 (изменено) В вашем зубе "пропущен" ещё один канал в переднем щечном корне. Зуб на адекватное перелечивание. В этом зубе минимум 4 канала. Изменено 9 октября, 2014 пользователем Cleric Ссылка на комментарий
Shaid Опубликовано 10 октября, 2014 Поделиться Опубликовано 10 октября, 2014 В настоящее время метод одной пасты(пломбирование без гуттаперчи) практически не используется ввиду низких герметизирующих свойств данного метода. Эндометазон так же не является препаратом выбора за счет гормональных составляющих, рассасывания пасты и влияния на цвет коронки зуба. 2 Ссылка на комментарий
oksanab Опубликовано 10 октября, 2014 Автор Поделиться Опубликовано 10 октября, 2014 (изменено) да, но как перепломбировали средний канал? подскажите пожалуйста. Мне сделали около 6 снимков, тут не все даже, но врач утверждает, что нет никакого 4-го канала. Изменено 10 октября, 2014 пользователем oksanab Ссылка на комментарий
Паращук Роман Опубликовано 10 октября, 2014 Поделиться Опубликовано 10 октября, 2014 (изменено) Сравните снимки.Ты видишь суслика? Нет? И я нет,а он есть! (с)ПиСи Пропущенный канал,перфорация,мат-ял за верхушкой. Зуб уже визу в плевательницу открыл.http://s020.radikal.ru/i708/1410/b7/ad9c402a2f4c.jpghttp://s43.radikal.ru/i099/1410/5f/23581663b182.jpg Изменено 10 октября, 2014 пользователем Паращук Роман Ссылка на комментарий
Рекомендуемые сообщения
Для публикации сообщений создайте учётную запись или авторизуйтесь
Вы должны быть пользователем, чтобы оставить комментарий
Создать аккаунт
Зарегистрируйте новый аккаунт в нашем сообществе. Это очень просто!
Регистрация нового пользователяВойти
Уже есть аккаунт? Войти в систему.
Войти