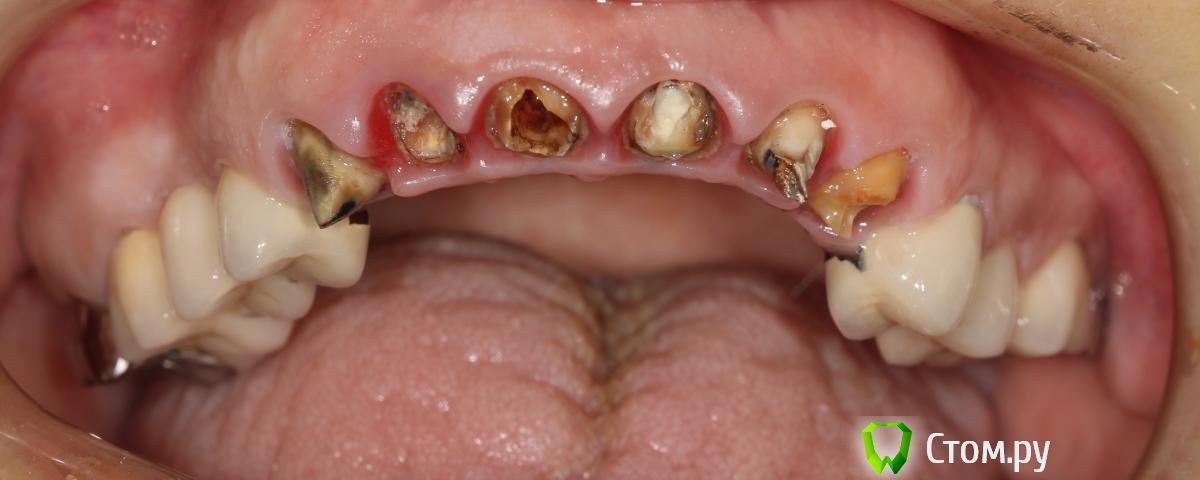
BestDoctor Опубликовано 8 октября, 2014 Поделиться Опубликовано 8 октября, 2014 А Вы говорите прилегание) Со слов пациента мост простоял около 4-х лет. А десна в идеальном состоянии. 2 Ссылка на комментарий
Fake personage Опубликовано 8 октября, 2014 Поделиться Опубликовано 8 октября, 2014 А Вы говорите прилегание) Со слов пациента мост простоял около 4-х лет. А десна в идеальном состоянии.Теперь главное не дышать,чтобы ничего не испортить.Какой план лечения? 4 Ссылка на комментарий
Bier Опубликовано 8 октября, 2014 Поделиться Опубликовано 8 октября, 2014 ну я бы не назвал это идеальным состоянием, хорошо видно, что десна изменена в цвете маргинально 3 Ссылка на комментарий
BestDoctor Опубликовано 8 октября, 2014 Автор Поделиться Опубликовано 8 октября, 2014 Теперь главное не дышать,чтобы ничего не испортить.Какой план лечения?Там с боковыми участками ситуация не лучше(фото пока нет). Буду переводить все на времянки и постепенно перелечивать. Что касается фронта 12 будем убирать, остальные попробуем спасать. 12 думаю заместить циркониевым мостом 13-11 Ссылка на комментарий
BestDoctor Опубликовано 8 октября, 2014 Автор Поделиться Опубликовано 8 октября, 2014 ну я бы не назвал это идеальным состоянием, хорошо видно, что десна изменена в цвете маргинально Ссылка на комментарий
Fake personage Опубликовано 8 октября, 2014 Поделиться Опубликовано 8 октября, 2014 ну я бы не назвал это идеальным состоянием, хорошо видно, что десна изменена в цвете маргинальноповод есть Ссылка на комментарий
Fake personage Опубликовано 8 октября, 2014 Поделиться Опубликовано 8 октября, 2014 Там с боковыми участками ситуация не лучше(фото пока нет). Буду переводить все на времянки и постепенно перелечивать. Что касается фронта 12 будем убирать, остальные попробуем спасать. 12 думаю заместить циркониевым мостом 13-11не лучший вариант. Ссылка на комментарий
Bobby Опубликовано 8 октября, 2014 Поделиться Опубликовано 8 октября, 2014 А Вы говорите прилегание) Со слов пациента мост простоял около 4-х лет. А десна в идеальном состоянии. Тут щиты, вот и сосочки в порядке. 1 Ссылка на комментарий
BestDoctor Опубликовано 8 октября, 2014 Автор Поделиться Опубликовано 8 октября, 2014 ЧТо такое щиты? Ссылка на комментарий
BestDoctor Опубликовано 8 октября, 2014 Автор Поделиться Опубликовано 8 октября, 2014 не лучший вариант. А как Вы бы поступили? Ссылка на комментарий
Fake personage Опубликовано 8 октября, 2014 Поделиться Опубликовано 8 октября, 2014 Тут щиты, вот и сосочки в порядке.))А как Вы бы поступили? сохрание единиц и двойки как минимум не прогнозируемоОрто бы глянуть. Ссылка на комментарий
LuckyDoc Опубликовано 9 октября, 2014 Поделиться Опубликовано 9 октября, 2014 Поддесневой преп, ткани изменены, после ревизии останется совсем мало. Для феррула понадобится хирургия, либо удаление. Иначе никаких гарантий. А сосочки красивые) Ссылка на комментарий
Чертков Александр Опубликовано 9 октября, 2014 Поделиться Опубликовано 9 октября, 2014 ну я бы не назвал это идеальным состоянием, хорошо видно, что десна изменена в цвете маргинально...хронический застой...Абсолютно согласен с Олегом. Ссылка на комментарий
dnsmc Опубликовано 9 октября, 2014 Поделиться Опубликовано 9 октября, 2014 Ну прежде чем приступать к планированию будущей конструкции посмотреть бы снимок (ОПТГ, а лучше КТ) и тогда уже планировать: лечение, времянки и далее...опять же по показаниям, если не удалять... 1 Ссылка на комментарий
BestDoctor Опубликовано 9 октября, 2014 Автор Поделиться Опубликовано 9 октября, 2014 Поддесневой преп, ткани изменены, после ревизии останется совсем мало. Для феррула понадобится хирургия, либо удаление. Иначе никаких гарантий. А сосочки красивые)Пациент на хирургию не настроен. Если спасать, то гарантий конечно не будет(пациент осведомлен о ненадежности данных зубов). Но более конкретный разговор еще предстоит. Ссылка на комментарий
BestDoctor Опубликовано 9 октября, 2014 Автор Поделиться Опубликовано 9 октября, 2014 Ну прежде чем приступать к планированию будущей конструкции посмотреть бы снимок (ОПТГ, а лучше КТ) и тогда уже планировать: лечение, времянки и далее...опять же по показаниям, если не удалять...оптг и кт, может будет время закину Ссылка на комментарий
M@estro Опубликовано 10 октября, 2014 Поделиться Опубликовано 10 октября, 2014 Так настройки на хирургию Ссылка на комментарий
mlmf Опубликовано 10 октября, 2014 Поделиться Опубликовано 10 октября, 2014 А про какие щиты говорил Александр? Ссылка на комментарий
GurDoc Опубликовано 26 октября, 2014 Поделиться Опубликовано 26 октября, 2014 Интересно а почему она продержалась только 4 года. Ссылка на комментарий
Фарид Расулыч Опубликовано 27 октября, 2014 Поделиться Опубликовано 27 октября, 2014 подозреваю что щиты это что то типа подобия желобовидного уступа? Прав ли я?? Ссылка на комментарий
Гарриевич Опубликовано 27 октября, 2014 Поделиться Опубликовано 27 октября, 2014 подозреваю что щиты это что то типа подобия желобовидного уступа? Прав ли я??http://forum.stom.ru/topic/26978-shield/?hl=shield Ссылка на комментарий
Фарид Расулыч Опубликовано 27 октября, 2014 Поделиться Опубликовано 27 октября, 2014 Ну это по поводу имплантов. Тут то импантов нет и ситуация совсем другая. Ссылка на комментарий
Гарриевич Опубликовано 27 октября, 2014 Поделиться Опубликовано 27 октября, 2014 А какая разница имплант или нет, роль щита исполняет корень же все равно) Ссылка на комментарий
Фарид Расулыч Опубликовано 27 октября, 2014 Поделиться Опубликовано 27 октября, 2014 Ну все равно.. В ситуации показанной Бабуровым там щит это остаток корня, котороый перед имплантом. Тут же не просто корни оставленны? Это были культи зуба (в свои лучшие времена) И каким же образом культя зуба может быть щитом? только в том случае когда глубокий желобовидный преп. ИМХО Ссылка на комментарий
zzkz Опубликовано 27 октября, 2014 Поделиться Опубликовано 27 октября, 2014 Ну все равно.. В ситуации показанной Бабуровым там щит это остаток корня, котороый перед имплантом. Тут же не просто корни оставленны? Это были культи зуба (в свои лучшие времена) И каким же образом культя зуба может быть щитом? только в том случае когда глубокий желобовидный преп. ИМХОЕсть зуб - есть кость - есть сосочки(хоть здоровые, хоть не очень). Посыл был шуточным я так думаю, как далекое сравнение 1 Ссылка на комментарий
Рекомендуемые сообщения
Для публикации сообщений создайте учётную запись или авторизуйтесь
Вы должны быть пользователем, чтобы оставить комментарий
Создать аккаунт
Зарегистрируйте новый аккаунт в нашем сообществе. Это очень просто!
Регистрация нового пользователяВойти
Уже есть аккаунт? Войти в систему.
Войти