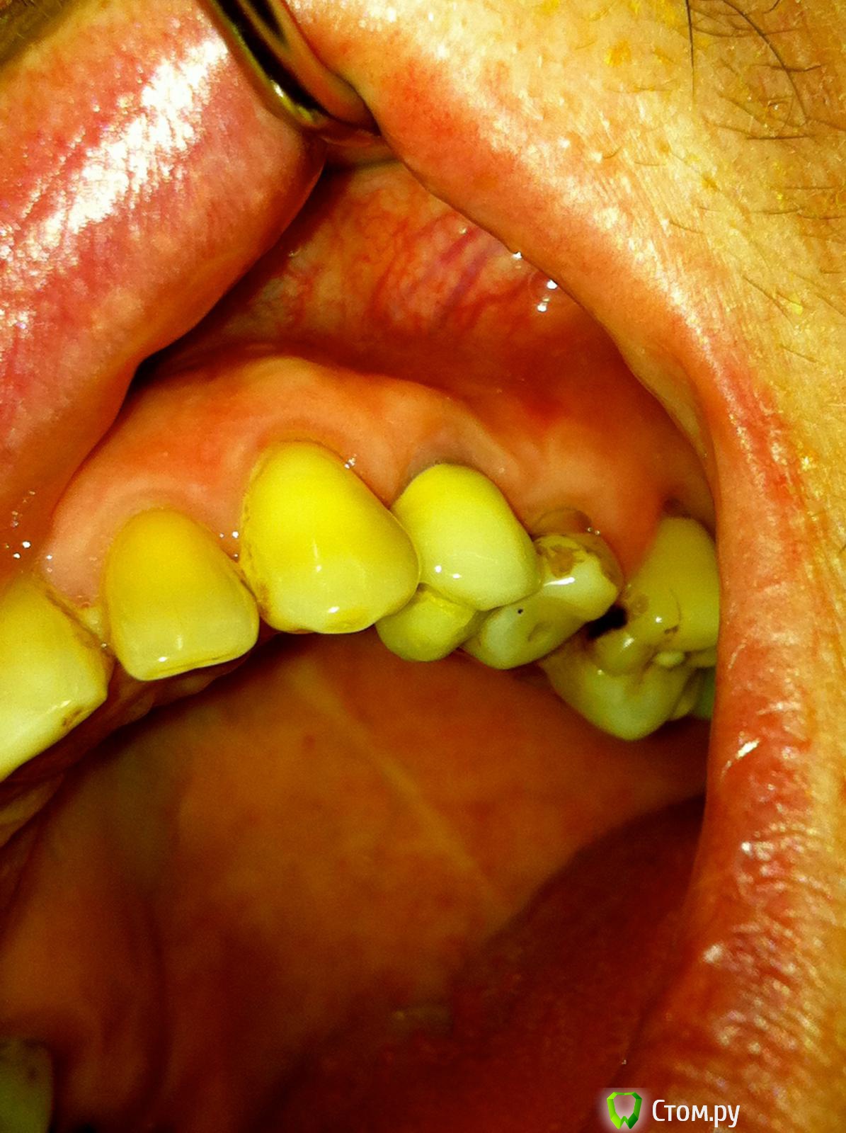
Tabula Rasa Опубликовано 29 сентября, 2014 Поделиться Опубликовано 29 сентября, 2014 (изменено) Пациент Л, 65 летИмплантация в области 2.4. Ожидание 4-4.5 месяца->недостаток мягких тканей и к тому же явный "завал" вестибулярного овала->ротированный лоскут на ножке одновременно фиксируемый формирователем->1 месяц->протезирование.Окончательным результатом не до конца доволен,т.к десна все равно усела и по высоте,и по ширине...думается ошибка в отсутствие временной коронки на импланте была. Изменено 29 сентября, 2014 пользователем IlyaPM Ссылка на комментарий
syrovovec Опубликовано 30 сентября, 2014 Поделиться Опубликовано 30 сентября, 2014 Немного нёбнее нужно было ставить и сст при установке, а на раскрытия добавить если что, По толщине мне нравиться, а по высоте вроде маловато Ссылка на комментарий
syrovovec Опубликовано 30 сентября, 2014 Поделиться Опубликовано 30 сентября, 2014 Да и VIP ct дает усадку довольно сильную, не нужен он здесь был кмк 1 Ссылка на комментарий
Mane Опубликовано 30 сентября, 2014 Поделиться Опубликовано 30 сентября, 2014 Ошибка в методе пластики десны. Здесь был нужен гамборенинг! 4 Ссылка на комментарий
Евгений Ходыкин Опубликовано 30 сентября, 2014 Поделиться Опубликовано 30 сентября, 2014 С такой гигиеной не опасаетесь за результаты?? Ссылка на комментарий
Евгений Ходыкин Опубликовано 30 сентября, 2014 Поделиться Опубликовано 30 сентября, 2014 И кстати да, "хэштег" ССТ неверен в названии темы Ссылка на комментарий
syrovovec Опубликовано 30 сентября, 2014 Поделиться Опубликовано 30 сентября, 2014 Ошибка в методе пластики десны. Здесь был нужен гамборенинг!Гамборенинг это как?)) Ссылка на комментарий
Alexey Doc Опубликовано 30 сентября, 2014 Поделиться Опубликовано 30 сентября, 2014 Мне тоже кажется что винт вестибулярно стоит Ссылка на комментарий
Дмитрий Никитюк Опубликовано 30 сентября, 2014 Поделиться Опубликовано 30 сентября, 2014 Мне тоже кажется что винт вестибулярно стоит Креститься нужно , а лучше штангенциркуль взять: http://s017.radikal.ru/i432/1409/a3/aa03dee0bb19.png Видно как топикстартер вышел за пределы эстетического окна. В таких условиях рассчитывать на суперрезультат не приходится. Но не смертельно. 9 Ссылка на комментарий
Рубцова Опубликовано 1 октября, 2014 Поделиться Опубликовано 1 октября, 2014 Уважаемые доктора вопрос 1 Как в таком случае оптимально Провести пластику десны ? 2 гамборенинг это как или где почитать Спс если ответите Ссылка на комментарий
Большой Зеленый Опубликовано 1 октября, 2014 Поделиться Опубликовано 1 октября, 2014 Уважаемые доктора вопрос 1 Как в таком случае оптимально Провести пластику десны ? 2 гамборенинг это как или где почитать Спс если ответитеhttp://forum.stom.ru/topic/20724-gambarena-stail/?hl=гамборена Ссылка на комментарий
Рекомендуемые сообщения
Для публикации сообщений создайте учётную запись или авторизуйтесь
Вы должны быть пользователем, чтобы оставить комментарий
Создать аккаунт
Зарегистрируйте новый аккаунт в нашем сообществе. Это очень просто!
Регистрация нового пользователяВойти
Уже есть аккаунт? Войти в систему.
Войти