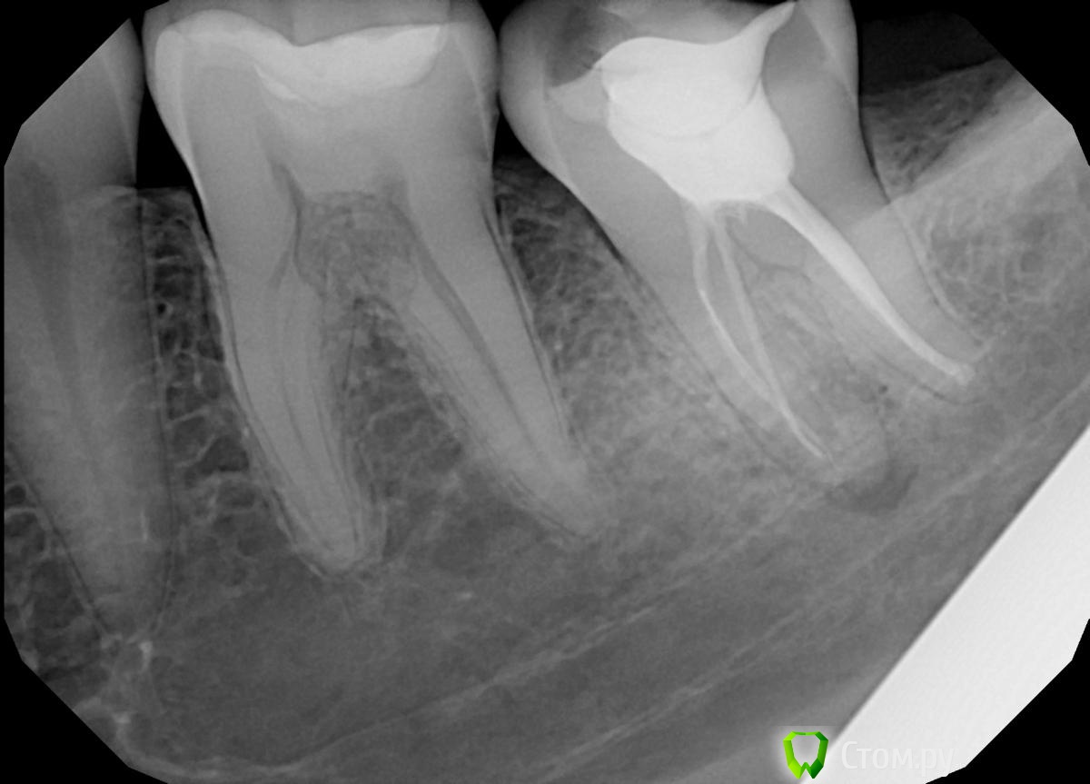
Valerkaa Опубликовано 25 сентября, 2014 Поделиться Опубликовано 25 сентября, 2014 Всем добрый вечер! Родственнице делали снимки 3.7, в кадр еще и 3.6 попал .Сама, к сожалению, во рту посмотреть не могу, она живет в другом городе. Но со слов, жалоб никаких, да и внешне тоже все спокойно. На что это похоже? У меня что-то никаких мыслей кроме внутренней резорбции или чего-то такого нет. Доктор отправляет родственницу на МРТ. У кого какие мысли? Ссылка на комментарий
AlexanderGudkov Опубликовано 25 сентября, 2014 Поделиться Опубликовано 25 сентября, 2014 Всем добрый вечер! Родственнице делали снимки 3.7, в кадр еще и 3.6 попал .Сама, к сожалению, во рту посмотреть не могу, она живет в другом городе. Но со слов, жалоб никаких, да и внешне тоже все спокойно. На что это похоже? У меня что-то никаких мыслей кроме внутренней резорбции или чего-то такого нет. Доктор отправляет родственницу на МРТ. У кого какие мысли? Лучше на клкт) Ссылка на комментарий
Паращук Роман Опубликовано 25 сентября, 2014 Поделиться Опубликовано 25 сентября, 2014 Да а с чего ей там быть? Кт сегментарное сделайте и все будет видно. Ссылка на комментарий
Рекомендуемые сообщения
Для публикации сообщений создайте учётную запись или авторизуйтесь
Вы должны быть пользователем, чтобы оставить комментарий
Создать аккаунт
Зарегистрируйте новый аккаунт в нашем сообществе. Это очень просто!
Регистрация нового пользователяВойти
Уже есть аккаунт? Войти в систему.
Войти