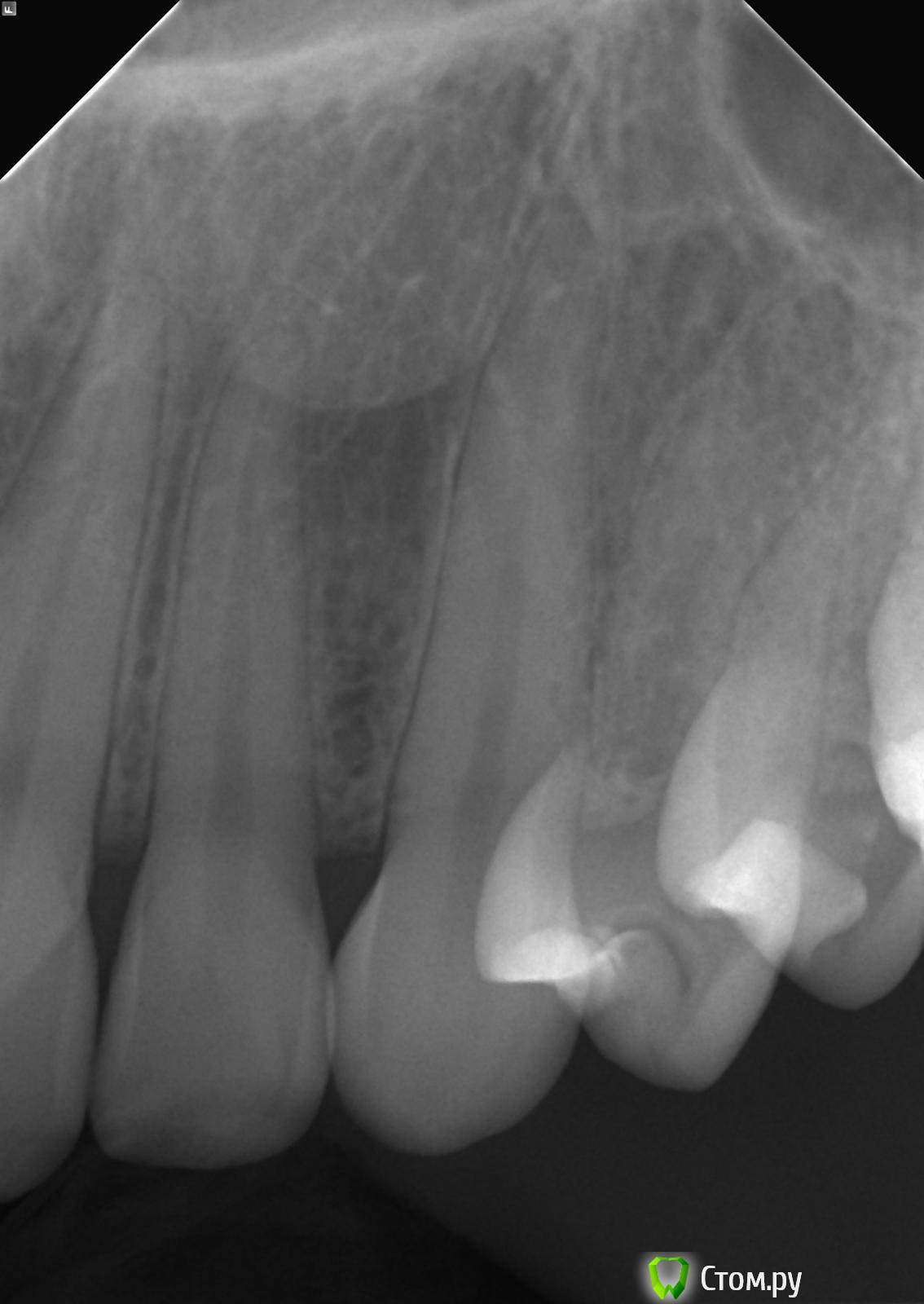
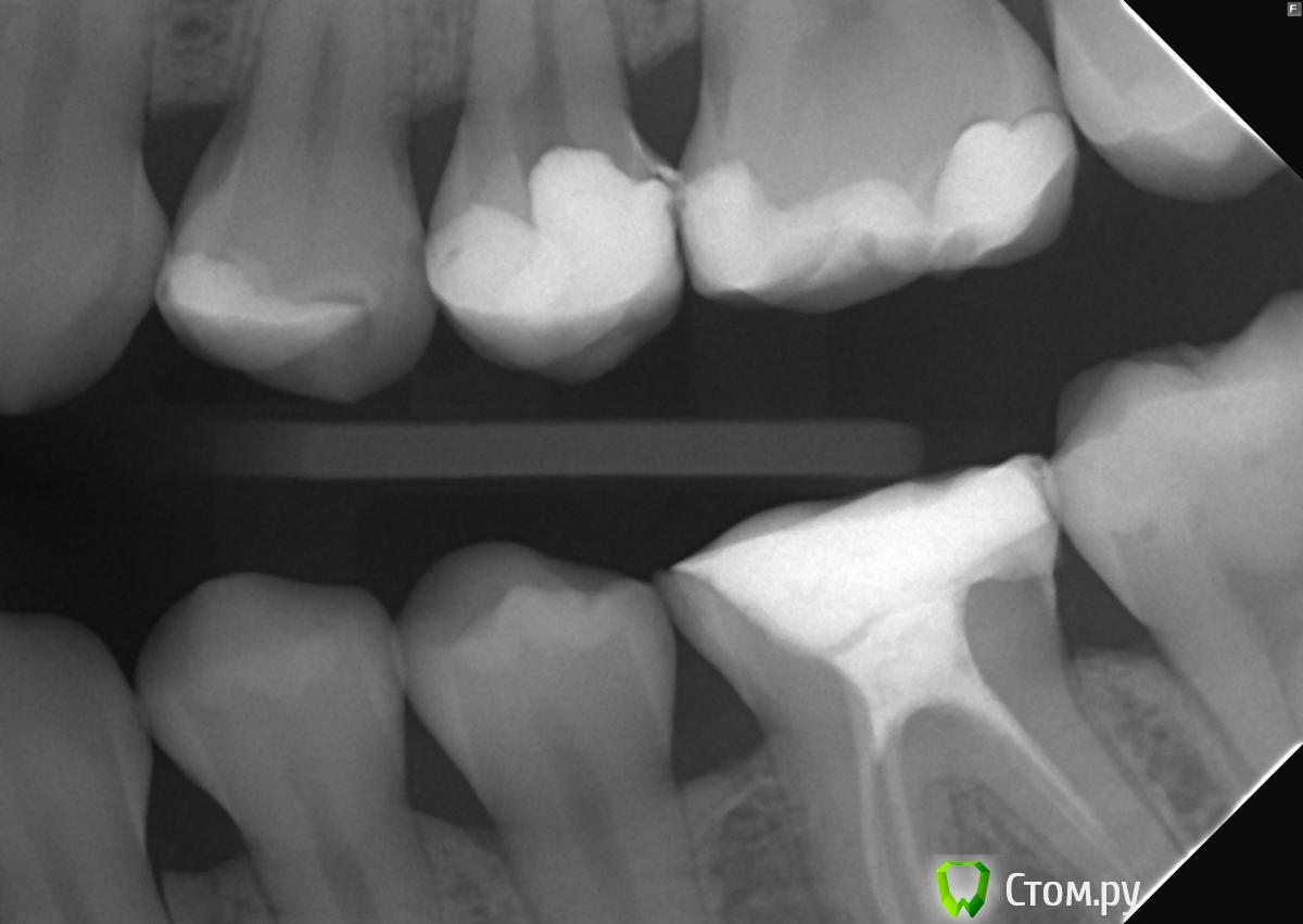
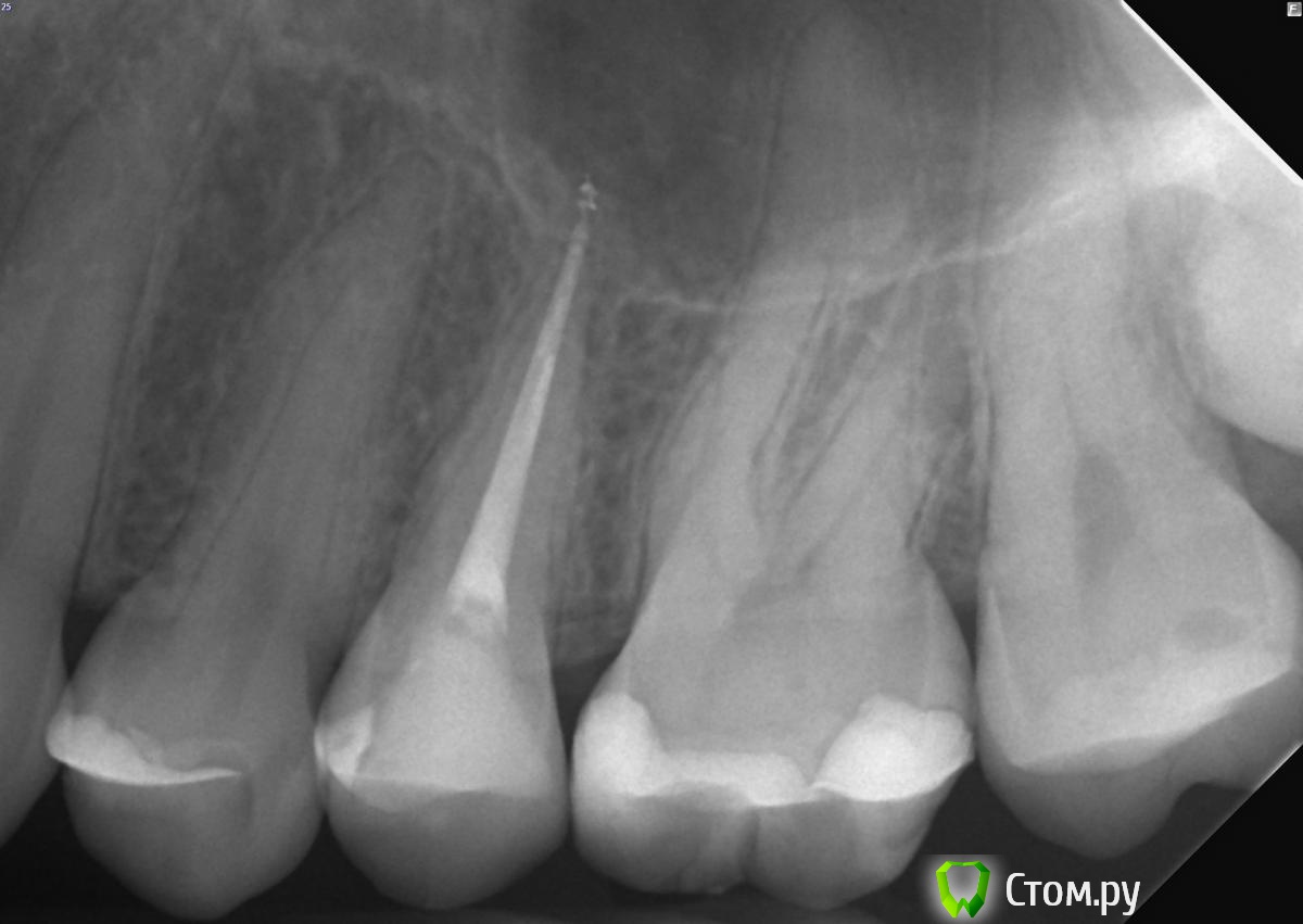
felicidade Опубликовано 25 сентября, 2014 Поделиться Опубликовано 25 сентября, 2014 Добрый день! Хотелось бы спросить мнение докторов относительно зубов 24 и 26: 1) судя по рентген-снимкам, у меня в 24 зубе кариес под пломбой. Скажите, пожалуйста, насколько он кажется близким к нерву? Может, я зря записалась к обычному терапевту, и мне надо сразу топать к эндодонту?2) зуб 26: виден ли там вторичный кариес? Я меняла пломбу в апреле этого года и заплатила то ли 5, то ли 6 тысяч за этот зуб, под прежней пломбой уже был кариес. Было бы очень обидно узнать, что новую пломбу надо снова менять Спасибо заранее и хорошего дня Ссылка на комментарий
Korel Опубликовано 25 сентября, 2014 Поделиться Опубликовано 25 сентября, 2014 По снимкам страшного ничего не вижу, приветствую Вашу запись на осмотр к терапевту, он Вам очно , думаю, ответит точнее. Ссылка на комментарий
felicidade Опубликовано 25 сентября, 2014 Автор Поделиться Опубликовано 25 сентября, 2014 Спасибо, доктор!Зуб 26 внешне выглядит безупречно, поэтому спросила на всякий пожарный, а вот вдоль пломбы у 24 зуба появилась коричневая кайма+под всеми остальными пломбами, который ставил этот доктор, в течение года образовался кариес, и их пришлось менять этой весной. Поэтому приготовилась к худшему Ссылка на комментарий
Korel Опубликовано 25 сентября, 2014 Поделиться Опубликовано 25 сентября, 2014 появилась коричневая кайма Может и пломбы менять нет необходимости, ограничившись только полировкой. Всё решит очный осмотр. Ссылка на комментарий
Паращук Роман Опубликовано 25 сентября, 2014 Поделиться Опубликовано 25 сентября, 2014 То что вы можете считать кариесом,может быть не рентгенконтрастным м-ом жидкой формы. Ссылка на комментарий
Рекомендуемые сообщения
Для публикации сообщений создайте учётную запись или авторизуйтесь
Вы должны быть пользователем, чтобы оставить комментарий
Создать аккаунт
Зарегистрируйте новый аккаунт в нашем сообществе. Это очень просто!
Регистрация нового пользователяВойти
Уже есть аккаунт? Войти в систему.
Войти