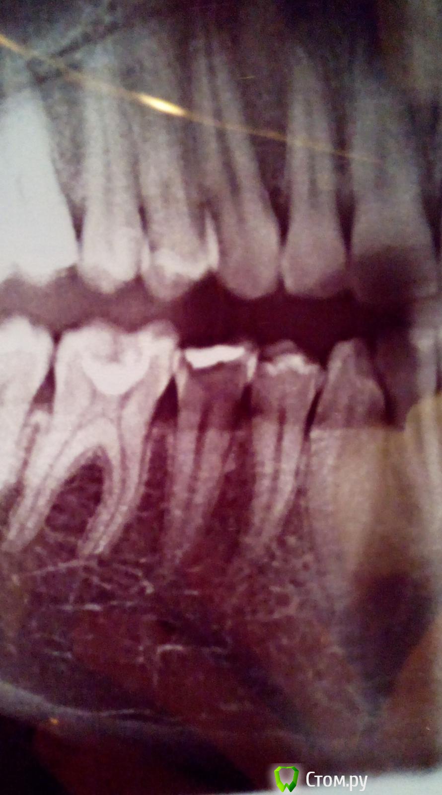
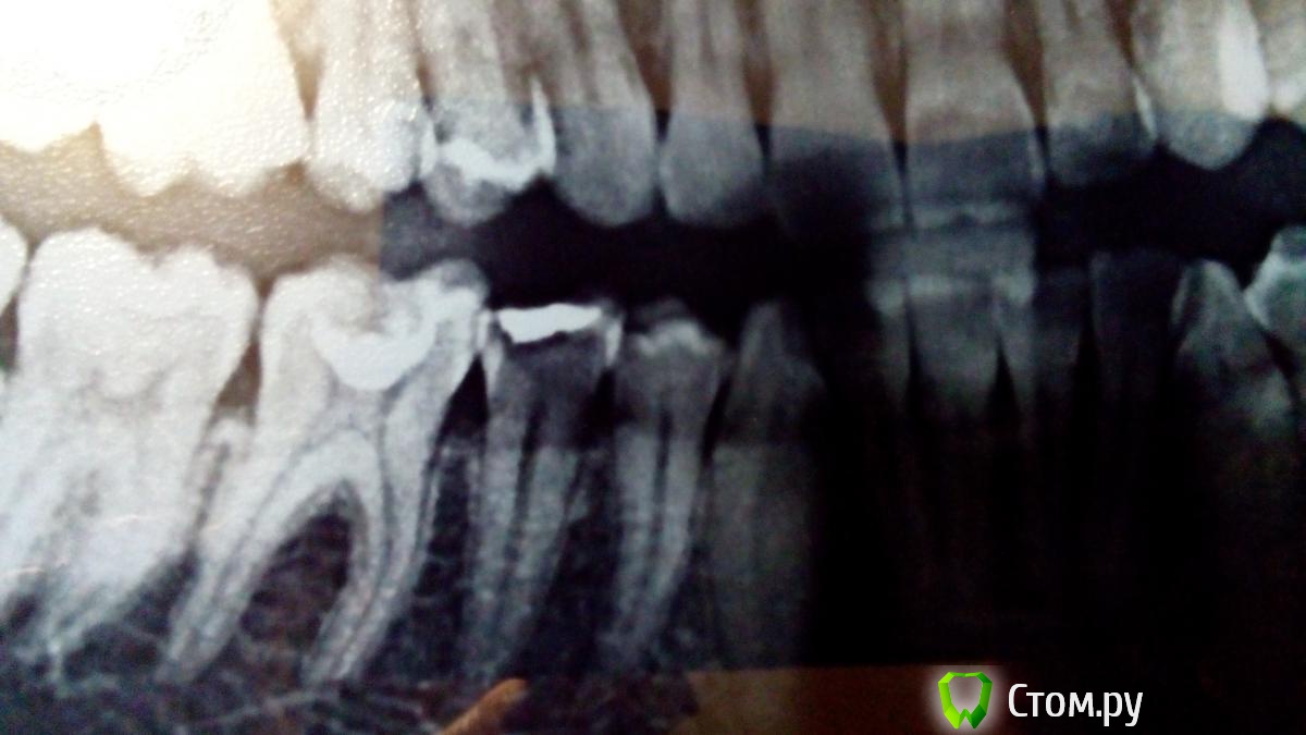
moskva2014 Опубликовано 21 сентября, 2014 Поделиться Опубликовано 21 сентября, 2014 (изменено) Всем салют!Подскажите,пожалуйста,такой вопрос: вчера установил врач пломбу световую. Устанавливали без анестезии, терпимо было. Сегодня зуб немножко ноет. Сходила сделать панорамный снимок по его совету и смущает меня,что под пломбой я вижу немножко черноты. Это кариес недопломбированный врачом? Прохожу полное лечение и смену всех старых пломб. Имеет ли смысл теперь каждый раз ходить на рентген проверять как "поработал врач"? Изменено 21 сентября, 2014 пользователем moskva2014 Ссылка на комментарий
SDC Опубликовано 21 сентября, 2014 Поделиться Опубликовано 21 сентября, 2014 (изменено) Всем салют!Подскажите,пожалуйста,такой вопрос: вчера установил врач пломбу световую. Устанавливали без анестезии, терпимо было. Сегодня зуб немножко ноет. Сходила сделать панорамный снимок по его совету и смущает меня,что под пломбой я вижу немножко черноты. Это кариес недопломбированный врачом? Прохожу полное лечение и смену всех старых пломб. Имеет ли смысл теперь каждый раз ходить на рентген проверять как "поработал врач"?И Вам салют! Могу предположить (Вы не указали), что лечили в последний раз 5 нижний зуб - только на этом зубе под пломбой есть нерентгеноконтрастная щель (чернота).Нерентгеноконтрастное пространство может быть чем угодно - от кариозных тканей, подкладки до обычного воздуха. Чтобы узнать наверняка, нужно спросить своего врача, которому Вы, похоже, не доверяете. Если врач вне доверия, то только диагностическое вскрытие покажет, что это такое. Правда, есть еще один способ - просвечивание (трансиллюминация) зуба мощным потоком света и на основании полученных данных консилиум по гаданию о том, что там под пломбой.Каждый раз делать снимки не имеет смысла, да и в этом снимке тоже нет смысла. Изменено 21 сентября, 2014 пользователем SDC Ссылка на комментарий
moskva2014 Опубликовано 22 сентября, 2014 Автор Поделиться Опубликовано 22 сентября, 2014 (изменено) SDC, все верно, 5ый зуб нижний лечился. К врачу попала по общей очереди в городсккой поликлинике, поэтому не могу знать насколько он профессионал своего дела, т.к. отзывами не располагаю, даже в Интернете нет ничего про него. Естественно меня забеспокоило после увиденного на снимке наличие нерентгеноконтрастного пространства,т.к. я собираюсь лечить-доверить еще 9 зубов.Завтра очередная встреча с врачом, спрошу у него про это "черное пространство". Изменено 22 сентября, 2014 пользователем moskva2014 Ссылка на комментарий
Рекомендуемые сообщения
Для публикации сообщений создайте учётную запись или авторизуйтесь
Вы должны быть пользователем, чтобы оставить комментарий
Создать аккаунт
Зарегистрируйте новый аккаунт в нашем сообществе. Это очень просто!
Регистрация нового пользователяВойти
Уже есть аккаунт? Войти в систему.
Войти