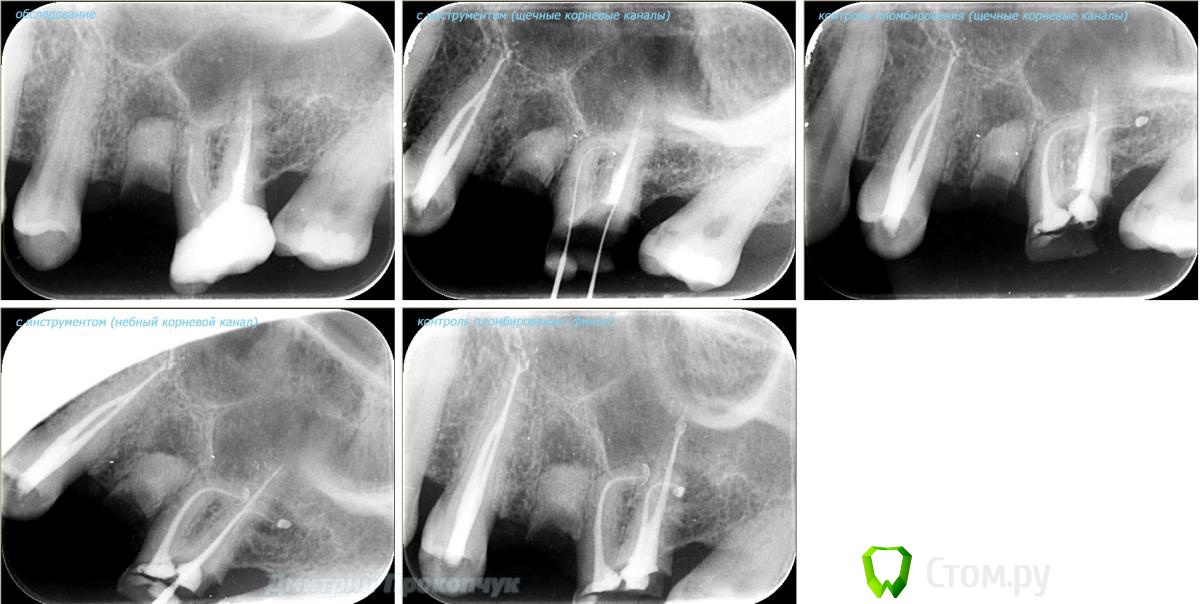
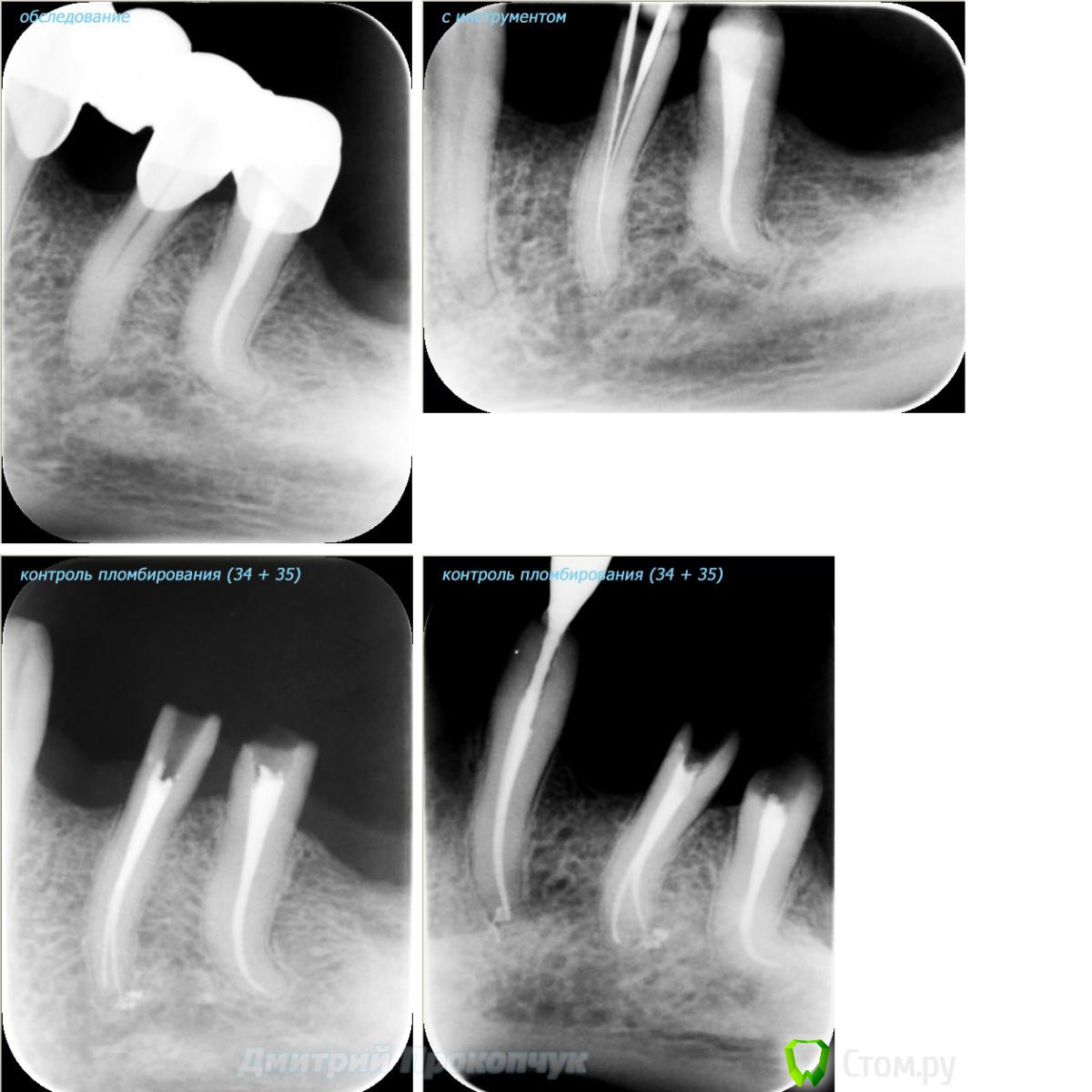
punkrat Опубликовано 16 сентября, 2014 Поделиться Опубликовано 16 сентября, 2014 Коллеги, тема , возможно, не имеет смысла просто приятная мне эндодонтия, сохранил с предыдущего места работы. Да, будь я проклят, я все знаю, НИГДЕ НЕТ КОФЕРА, на новом месте с этим норм. В общем если посчитаете, что я недостоин постить тут свои снимки, то так тому и быть, удалю тему.. 01. плановый ретрит 46ого и результат через 7 месяцев. Осложняющим моментом тут было то, что длина каналов была около 26 мм... 02. первичное эндо 34 (подготовка к ортопедии) + бонус - ретрит 35 03. ретрит 26 (подготовка к ортопедии) 04. ретрит 15, 16 (подготовка к ортопедии). основная сложность была в ретрите 15 - он был запломбирован термафилами, да еще снабжен свш... 05. ретрит 27 (подготовка к ортопедии). Ничего особенного, со временем посмотрим какова будет убыль этого совсем немаленького разрежения 06. ретрит 13. Разумеется пришлось выбивать вкладку, а потом еще попилить 3-4 миллиметра цемента, но, таки попилил куда нужно... 07. ретрит 17 (подготовка к ортопедии). В данном случае я, кажется, потратил больше времени на снятие литого моста, чем на лечение 17)) 08. ретрит 16 (подготовка к ортопедии). Снимка с инструментом нету, поскольку, визиограф сломался и его делал на пленку. 15 разумеется тоже перелечен... 09. плановый ретрит 16 10. первичное эндо 36, рядовой случай что дистальный щечный удалось найти не сразу, он был спрятан под нависающим дентиклем 11. ретрит 12, 11 (подготовка к ортопедии). Казалось бы, рядовой случай, если бы корневые каналы обоих зубов не были бы налухо забиты резорцин-формалиновой смесью... 12. ребенок 9ти лет, острый пульпит 46, попробовал оставить витальным. Пока полет нормальный, но даже если придется делать эндо в последствии, лучше когда оно будет сделано в более старшем возрасте... 13 Ссылка на комментарий
Ico Опубликовано 16 сентября, 2014 Поделиться Опубликовано 16 сентября, 2014 Работы хорошие! Если немного адекватной критики,то много пафов.В остальном мне нравится! Ссылка на комментарий
sydnik Опубликовано 16 сентября, 2014 Поделиться Опубликовано 16 сентября, 2014 нравится,да будь я проклят, если повернется язык это критиковать !пс кофер не дорогое удовольствие, жене недавно купил на работу за свои кровные и ничего, пару пац и отбила 1 Ссылка на комментарий
M@estro Опубликовано 16 сентября, 2014 Поделиться Опубликовано 16 сентября, 2014 Красивое эндо! " Кайфанул " жду ещё ! Ссылка на комментарий
SSTi Опубликовано 16 сентября, 2014 Поделиться Опубликовано 16 сентября, 2014 Кривулины каналы особенно доставили удовольствие) а есть с нового места работы с коффером и всеми делами? Очень интересно посмотреть) прям скрасили вечер мой Ссылка на комментарий
punkrat Опубликовано 16 сентября, 2014 Автор Поделиться Опубликовано 16 сентября, 2014 (изменено) Коллеги, спасибо, я не ожидал, прям счастлив))) С нового места как подсоберу интересных работ некоторое количество, обязательно выложу. Еще есть несколько кейсов со старого места, такие уже скажем средней степени сложности, только надо будет в фотошопе оформить в единую пикчу. Про паффы все знаю, причина в термафиле + есть у меня бзик, что если аплок не пищит верхушку, считаю что не дошел, и пытаюсь додолбить и в связи с этим иногда апекс подразбиваю в итоге обработки. Изменено 16 сентября, 2014 пользователем punkrat Ссылка на комментарий
Ico Опубликовано 16 сентября, 2014 Поделиться Опубликовано 16 сентября, 2014 Коллеги, спасибо, я не ожидал, прям счастлив))) С нового места как подсоберу интересных работ некоторое количество, обязательно выложу. Еще есть несколько кейсов со старого места, такие уже скажем средней степени сложности, только надо будет в фотошопе оформить в единую пикчу. Про паффы все знаю, причина в термафиле + есть у меня бзик, что если аплок не пищит верхушку, считаю что не дошел, и пытаюсь додолбить и в связи с этим иногда апекс подразбиваю в итоге обработки.Каким аплоком пользуетесь? Ссылка на комментарий
punkrat Опубликовано 16 сентября, 2014 Автор Поделиться Опубликовано 16 сентября, 2014 Каким аплоком пользуетесь? эти снимки промерены SybronEndo, такой в виде ракушки, маленький да удаленький, довольно точный апекслокатор. 1 Ссылка на комментарий
Ico Опубликовано 17 сентября, 2014 Поделиться Опубликовано 17 сентября, 2014 и пытаюсь додолбить и в связи с этим иногда апекс подразбиваю в итоге обработки.Если так,то термафил не самыи хороший вариант паковки.Тут либо упор дальше от верхушки делать с патенси на 10 кфаиле,либо меньше силера использовать. Ссылка на комментарий
punkrat Опубликовано 17 сентября, 2014 Автор Поделиться Опубликовано 17 сентября, 2014 Если так,то термафил не самыи хороший вариант паковки.Тут либо упор дальше от верхушки делать с патенси на 10 кфаиле,либо меньше силера использовать. да я размышляю над каким-то ясным и универсальным способом, обработки/пломбировки, посмотрю что из этого получиться)) Ссылка на комментарий
SatoSan Опубликовано 17 сентября, 2014 Поделиться Опубликовано 17 сентября, 2014 Какой силер использовали? Ссылка на комментарий
punkrat Опубликовано 17 сентября, 2014 Автор Поделиться Опубликовано 17 сентября, 2014 (изменено) Какой силер использовали? ну чтобы сразу обо всем, а не только о силере. Механика: протейперы + профайлы + уз + ручные файлы (сталь до 15, с 15 - NiTiфлексы), пломбировка: термофил + АН+ Изменено 17 сентября, 2014 пользователем punkrat Ссылка на комментарий
Л Ю С Я Опубликовано 17 сентября, 2014 Поделиться Опубликовано 17 сентября, 2014 Не люблю гутту на носителе. Как я только не извращалась, все равно неконтролируемый выход за апекс гутты или силера или недолет. Достаточно большие пафы. Некритично, но все же. Порадовал зуб ребенка, хорошо бы эндо избежать. На витальность проверяли? Ссылка на комментарий
punkrat Опубликовано 17 сентября, 2014 Автор Поделиться Опубликовано 17 сентября, 2014 (изменено) Порадовал зуб ребенка, хорошо бы эндо избежать. На витальность проверяли? Спасибо, пока еще он не особо сознательное существо)), то доверяюсь объективной картине, то есть снимкам, а по ним пока полет нормальный. Усложнять дело проверками на витальность и оценкой адекватности полученных результатов не хочется. В данной ситуации ребенок сделал максимум от него зависящее кстати: позволил сделать полноценную некроэктомию (причем я раза три красил дентин), антисептику полости, поставить все необходимые подкладки и полноценную реставрацию фотокомпозитом. ..а по поводу паффов, кстати, хотя они и не большие, но довольно часты у меня, хочется сказать, что жалоб на постпломбировочную болезненность почти никогда не бывает, вне зависимости от объема вышедшего материала, это радует (из этого конечно не следует делать вывод что можно выводить сколько не жалко)), просто наблюдение) Изменено 17 сентября, 2014 пользователем punkrat Ссылка на комментарий
koss Опубликовано 17 сентября, 2014 Поделиться Опубликовано 17 сентября, 2014 Последнее фото зачётное - чем перекрывали пульпу , есть наблюдения по этому случаю . Ссылка на комментарий
SSTi Опубликовано 17 сентября, 2014 Поделиться Опубликовано 17 сентября, 2014 жалоб на постпломбировочную болезненность почти никогда не бывает, вне зависимости от объема вышедшего материала, это радует (из этого конечно не следует делать вывод что можно выводить сколько не жалко)), просто наблюдение)я заметил одну простую вещь - если я мою очень хорошо канал(максимально возможно), не жалея хлорки( имею ввиду первичное эндо) , то пациенты отмечают еле заметный дискомфорт только первые часы после эндо, и то не знают, может это от укола. Даже если силер выдавился. А вот если я знаю, что недомыл чуть(изгиб сильный или склероз), то боли 100%, но тоже недолго- день , два, даже если инструментация и пломбировка без овера.что касается асимптоматичных перелечек - практически никто не предъявлял жалобы на дискомфорт.если было обострение периодонтита - с кальцием боли проходят сразу, после паковки гуттой могут несколько дней держаться, но не интенсивные, и спадают с каждым днем. если был косяк в плане овер инструменации в первичном эндо - боли будут 100% и вполне себе приличные, в перелечке при оверинструментации чаще все спокойно.это по своим наблюдениям. Ссылка на комментарий
punkrat Опубликовано 17 сентября, 2014 Автор Поделиться Опубликовано 17 сентября, 2014 (изменено) Последнее фото зачётное - чем перекрывали пульпу , есть наблюдения по этому случаю . еще уточню, что планируя лечение, сразу морально готовился к эндо, т.е. если бы вскрытие было значительным, то деваться было бы некуда, на авось не рассчитывал, потому красил дентин пока он не перестал краситься, в данной ситуации полнота некроэктомии это была первостепенная задача, вскрытие рога оказалось небольшим по площади к счастью. Рог закрыт мта, да понимаю что поступил не по правилам его применения, но так посчитал разумным. Итого: мта + витремер + филтек наблюдение пока 4х месячное, то что представлено здесь, но работе уже полтора года, просто родительница не может довести до меня пациента в связи с появлением еще одного ребенка)), не находит свободного времени. ну и еще немного лирики по этому пациенту: лечились у меня с малолетсва этот мальчик и его брат, у брата по временным зубам ситуация была среднстатистическая - за весь период 3-4 кариеса + 1 или 2 пульпита, за давностью лет уже не помню, у этого мальчика ситуация была похуже, гигиена была ужасная, слюна очень вязкая, что естественно ситуацию осложняло + ребенок был крайне вредный, какой-то объем лечения временных зубов был проведен, но потом у родителей закончилось терпение его уговаривать и на полпути они лечение молочек решили прекратить. На прощание я им обрисовал перспективы (неутешительные)) ), дал строжайшие рекомендации по гигиене, предупредил что в их ситуации гигиену надо соблюдать гораздо тщательнее чем обычную, на том и распрощались... В итоге когда они пришли с этим зубом (а у ребенка прикус сменился довольно рано, на фото ему 9,5 а зубы уже все постоянные) оказалось что у него три фиссурных кариеса по шестеркам, ну и вот этот вариант, зубы все белые, ровные, гигиена удовлетворительная, т.е картина почти отличная. Короче считаю что это успех, поскольку ожидал что проблем стоматологических у него будет куча... Изменено 17 сентября, 2014 пользователем punkrat Ссылка на комментарий
Л Ю С Я Опубликовано 17 сентября, 2014 Поделиться Опубликовано 17 сентября, 2014 еще уточню, что планируя лечение, сразу морально готовился к эндо класс, надо видимо всегда так делать, тогда результат будет позитивный))) 2 Ссылка на комментарий
Гарриевич Опубликовано 15 октября, 2014 Поделиться Опубликовано 15 октября, 2014 Отличное эндо!) поздновато увидел тему) Ссылка на комментарий
kspilnichenko Опубликовано 15 октября, 2014 Поделиться Опубликовано 15 октября, 2014 Всегда с инструментами снимки делаете? Ссылка на комментарий
Stom22 Опубликовано 15 октября, 2014 Поделиться Опубликовано 15 октября, 2014 Какими инструментами пользовались при механической обработке к/к? Какому протоколу следовали? Ссылка на комментарий
Гарриевич Опубликовано 16 октября, 2014 Поделиться Опубликовано 16 октября, 2014 Какими инструментами пользовались при механической обработке к/к? Какому протоколу следовали?Прочитайте буковки в 12(кажется) посте, я конечно поимаю, что картинки интереснее, но все же)) Ссылка на комментарий
Stom22 Опубликовано 16 октября, 2014 Поделиться Опубликовано 16 октября, 2014 Ой, точно, вроде всё прочитала, а не заметила. Ссылка на комментарий
Dr.Sham Опубликовано 19 октября, 2014 Поделиться Опубликовано 19 октября, 2014 Коллеги, спасибо, я не ожидал, прям счастлив))) С нового места как подсоберу интересных работ некоторое количество, обязательно выложу. Еще есть несколько кейсов со старого места, такие уже скажем средней степени сложности, только надо будет в фотошопе оформить в единую пикчу. Про паффы все знаю, причина в термафиле + есть у меня бзик, что если аплок не пищит верхушку, считаю что не дошел, и пытаюсь додолбить и в связи с этим иногда апекс подразбиваю в итоге обработки.Алгоритм странный. Если апекс не пищит - додолбить. А чем? и где гарантия, что это верхушка, а не перфа в апикальной части? мы же знаем, что рентгенологическая верхушка лишь в небольшом % случаев совпадает с физиологической. На большинстве снимков очаг вроде уменьшился - субъективно, но не исчез. 7 месяцев - это срок. Ссылка на комментарий
SSTi Опубликовано 19 октября, 2014 Поделиться Опубликовано 19 октября, 2014 На большинстве снимков очаг вроде уменьшился - субъективно, но не исчез. 7 месяцев - это срок. Часто вы видите полное восстановление через 7 месяцев??? Это не срок. 1 Ссылка на комментарий
Рекомендуемые сообщения
Для публикации сообщений создайте учётную запись или авторизуйтесь
Вы должны быть пользователем, чтобы оставить комментарий
Создать аккаунт
Зарегистрируйте новый аккаунт в нашем сообществе. Это очень просто!
Регистрация нового пользователяВойти
Уже есть аккаунт? Войти в систему.
Войти