togrul Опубликовано 20 августа, 2014 Поделиться Опубликовано 20 августа, 2014 Добрый день коллеги. Интересует ваше мнение по выбору конструкции на н.ч. Как бы вы разделили конструкцию? Ссылка на комментарий
alekszander Опубликовано 20 августа, 2014 Поделиться Опубликовано 20 августа, 2014 если позволяет положение имплантатов поставить несъемное так бы и сделал, иначе на кой столько было их ставить... По поводу разделить... по мне так кажется тут особо не разделишь, во всяком случае без понтиков или консолей (от отдельных последних вам легче не станет). Делайте подкову (внизу) на винтовой+керамическая десна, а в подарок ирригатор. Себя подстрахуете при винтовой. Либо где то делать понтики+винтовая (я бы не делал так) Мосты на имплантатх вверху + я бы сделал одиночки на своих зубах, если все хорошо с феррул эффектом.. А вообще конечно изначально при планировании постановки винтов, нужно было сделать постановку предварительную постановку+WAX-UP, тогда бы все спланировали и не было бы скорее всего вопросов, что делать сейчас. Поправьте если не прав. 1 Ссылка на комментарий
togrul Опубликовано 20 августа, 2014 Автор Поделиться Опубликовано 20 августа, 2014 если позволяет положение имплантатов поставить несъемное так бы и сделал, иначе на кой столько было их ставить... По поводу разделить... по мне так кажется тут особо не разделишь, во всяком случае без понтиков или консолей (от отдельных последних вам легче не станет). Делайте подкову (внизу) на винтовой+керамическая десна, а в подарок ирригатор. Себя подстрахуете при винтовой. Либо где то делать понтики+винтовая (я бы не делал так) Мосты на имплантатх вверху + я бы сделал одиночки на своих зубах, если все хорошо с феррул эффектом.. А вообще конечно изначально при планировании постановки винтов, нужно было сделать постановку предварительную постановку+WAX-UP, тогда бы все спланировали и не было бы скорее всего вопросов, что делать сейчас. Поправьте если не прав.Абсолютно с вами согласен с выше написанным. Работа планировалась мной после постановки имплантатов. Пациента передали мне после ухода его лечащего врача.1. Конструкцию внизу я планировал сделать на винтовой фиксации, но шахты выходят на реж. край резцов. не очень будет красиво .2 . Хочу разделить для страховки.3. думаю сделаем каркас с десной где можно на винтовой фиксации с отпрепарированными зубами, а после на них отдельные коронки.Как то так) Ссылка на комментарий
togrul Опубликовано 20 августа, 2014 Автор Поделиться Опубликовано 20 августа, 2014 почему мосты ? я делаю если есть одиночками... Ссылка на комментарий
alekszander Опубликовано 20 августа, 2014 Поделиться Опубликовано 20 августа, 2014 " 3. думаю сделаем каркас с десной где можно на винтовой фиксации с отпрепарированными зубами, а после на них отдельные коронки." вообще не поянтно отписались, складывается впечатление, что каркасы винтовой фиксации совместно с зубами... "почему мосты ? я делаю если есть одиночками..." во втором сегменте можно, а в первом только мост)))Решать ставит одиночками или связывать в мост нужно:а) понять какие имплантаты(длина ширина) и в какой конвергенции стоят. На своих зубах уже отписал (феррул+ соотношение длин коронка-корень)б) гигиена пациента (под мостами еще хуже будет, но на одиночках с плохой гигиеной тоже есть свои минусы. Ссылка на комментарий
togrul Опубликовано 20 августа, 2014 Автор Поделиться Опубликовано 20 августа, 2014 Хотим отфрезировать кракасы с винтовой фиксацией с зубами (они будут обточены) и техник на них сделает коронки.Прошу прошения да первый сегмент только мост безусловно.) Ссылка на комментарий
togrul Опубликовано 20 августа, 2014 Автор Поделиться Опубликовано 20 августа, 2014 Примерно такая конструкция. Ссылка на комментарий
alekszander Опубликовано 20 августа, 2014 Поделиться Опубликовано 20 августа, 2014 Примерно такая конструкция.все равно не понял, для чего это? накладка на свои зубы? Ссылка на комментарий
togrul Опубликовано 20 августа, 2014 Автор Поделиться Опубликовано 20 августа, 2014 Для того чтобы шахта не проецировалась на реж. поверхность + что бы можно было просто заменить коронку не снимая всю конструкцию, если это потребуется. Как бы вы сделали? Ссылка на комментарий
alekszander Опубликовано 20 августа, 2014 Поделиться Опубликовано 20 августа, 2014 теперь понял)) на фронте на имплантатах делать по типу такой конструкции, а места где выходят шахты закрыть коронками сверху. Снять получится только пропилив до шахт коронки. Ну тогда фикисровать на что нибудь этакое чтоб получилось снять потом, а так: наверное ед. выход для норм. функции и эстетики.PS я вначале подумал, что это пойдет на свои зуба на в.ч.)) Ссылка на комментарий
togrul Опубликовано 20 августа, 2014 Автор Поделиться Опубликовано 20 августа, 2014 Да я тоже так думаю что ед. выход. а так, я бы сделал на балке в такой ситуации...при сколе они будут спиливаться, это запасной выход в такой работе Ссылка на комментарий
alekszander Опубликовано 20 августа, 2014 Поделиться Опубликовано 20 августа, 2014 чем сложнее работа, тем больше гемора ее сдавать)) Если про балку: многова-то болтов вкрутили на н.ч.)) Хотя много не мало)Если вдруг чего придумается, отпишусь, а так интересная тема, удачи в нашем не легком деле. Ссылка на комментарий
togrul Опубликовано 20 августа, 2014 Автор Поделиться Опубликовано 20 августа, 2014 Спасибо. буду выкладывать все этапы Ссылка на комментарий
doktor vv Опубликовано 20 августа, 2014 Поделиться Опубликовано 20 августа, 2014 Абсолютно с вами согласен с выше написанным. Работа планировалась мной после постановки имплантатов. Пациента передали мне после ухода его лечащего врача.1. Конструкцию внизу я планировал сделать на винтовой фиксации, но шахты выходят на реж. край резцов. не очень будет красиво .2 . Хочу разделить для страховки.3. думаю сделаем каркас с десной где можно на винтовой фиксации с отпрепарированными зубами, а после на них отдельные коронки.Как то так)Мне кажется постановку или воск не поздно еще сделать-судя по фото с загипсованными моделями прикус не очень простой.А как в таких случаях быть с финансами ,я так понимаю что фрезерованный каркас с отдельными коронками по стоимости гораздо выше просто коронное или мостов на винтовой? Ссылка на комментарий
togrul Опубликовано 20 августа, 2014 Автор Поделиться Опубликовано 20 августа, 2014 Мне кажется постановку или воск не поздно еще сделать-судя по фото с загипсованными моделями прикус не очень простой.А как в таких случаях быть с финансами ,я так понимаю что фрезерованный каркас с отдельными коронками по стоимости гораздо выше просто коронное или мостов на винтовой?Все уже мы с техником сделали :постановка,продулировали модели после ключ и выбрали как раз конструкции, без моделировки предварительной наломал бы дров) да конструкция фрезерованная с отдельными зубами это как 2 ед. то есть создавая такую работу техник будет брать почти двойную цену. Почему выложил, хочу узнать мнение коллег в таких клин ситуациях. Ссылка на комментарий
doktor vv Опубликовано 20 августа, 2014 Поделиться Опубликовано 20 августа, 2014 Конструкция мне кажется в данной ситуации вполне себе рациональная.Фрезерованный каркас из металла или цирконий? Ссылка на комментарий
togrul Опубликовано 20 августа, 2014 Автор Поделиться Опубликовано 20 августа, 2014 Пока не решили финансово.скорее всего Мк Ссылка на комментарий
doktor vv Опубликовано 20 августа, 2014 Поделиться Опубликовано 20 августа, 2014 В любом случае работа будет интерессной,ждем фото) Ссылка на комментарий
togrul Опубликовано 20 августа, 2014 Автор Поделиться Опубликовано 20 августа, 2014 Обязательно все выложу) Ссылка на комментарий
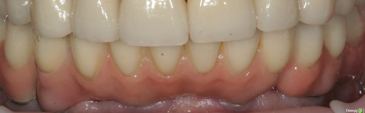
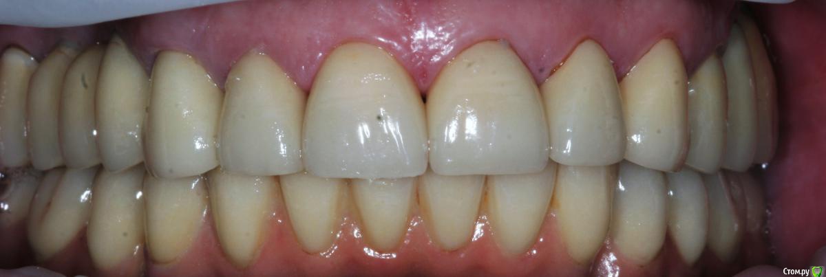
togrul Опубликовано 30 декабря, 2014 Автор Поделиться Опубликовано 30 декабря, 2014 (изменено) Добрый день, вчера закончил работу.Извините за качество фото. Изменено 30 декабря, 2014 пользователем togrul 4 Ссылка на комментарий
Lolopop Опубликовано 30 декабря, 2014 Поделиться Опубликовано 30 декабря, 2014 Добрый день, вчера закончил работу.Извините за качество фото.красота))) выглядит красиво))внизу решили на винтовой цельный мост , а что решили на верхней челюсти?) Ссылка на комментарий
DR.P Опубликовано 30 декабря, 2014 Поделиться Опубликовано 30 декабря, 2014 Отличная работа! Расскажите про регистрацию прикуса пожалуйста. Какие были шаблоны: восковые или с жестким базисом? На в.ч. Базис перекрывал культи фронтальной группы зубов? Делали винтовую фиксация для удержания базиса? Вообщем вопросов много, расскажите пожалуйста поподробнее. Ссылка на комментарий
togrul Опубликовано 31 декабря, 2014 Автор Поделиться Опубликовано 31 декабря, 2014 красота))) выглядит красиво))внизу решили на винтовой цельный мост , а что решили на верхней челюсти?) Добрый день. Все сделали на цементной фиксации. На вч все одиночки ,кроме одного сегмента там мост. Ссылка на комментарий
togrul Опубликовано 31 декабря, 2014 Автор Поделиться Опубликовано 31 декабря, 2014 Отличная работа! Расскажите про регистрацию прикуса пожалуйста. Какие были шаблоны: восковые или с жестким базисом? На в.ч. Базис перекрывал культи фронтальной группы зубов? Делали винтовую фиксация для удержания базиса? Вообщем вопросов много, расскажите пожалуйста поподробнее.Добрый день. Валики были на жестком базисе не прикручиваемые. Базис не перекрывал фронт, т.к. мне нужно было сохранить высоту которая есть. Я определил высоту в жев области оставив времянки во фронте, после снял времянки и нанес паттерн на базис нч и сделал стоп для зубов на вч. Как то так))) Ссылка на комментарий
DR.P Опубликовано 17 января, 2015 Поделиться Опубликовано 17 января, 2015 Добрый день. Валики были на жестком базисе не прикручиваемые. Базис не перекрывал фронт, т.к. мне нужно было сохранить высоту которая есть. Я определил высоту в жев области оставив времянки во фронте, после снял времянки и нанес паттерн на базис нч и сделал стоп для зубов на вч. Как то так)))спасибо! Интересный вариант, понравился. Я обычно в таких ситуациях прошу техника делать прикус, чтобы надевался на культи. Замеряю расстояние от точки на основании подборотка до точки основания носа в состоянии физиологического покоя (может быть знаете этот способ зуботехническим шпателем с переносом параметра на пластинку воска, если приучить руку - очень удобно) После чего формирую верхний валик по протетической плоскости и по высоте губы. Далее создаю высоту прикуса такой, чтобы на 2-3 мм была меньше физ покоя. Слежу при этом на пропорции лица зрительно. Несколько раз перепроверяю физ покой и высоту когда валики в окклюзии. Вы так делаете? Какое ваше мнение? Ссылка на комментарий
Рекомендуемые сообщения
Для публикации сообщений создайте учётную запись или авторизуйтесь
Вы должны быть пользователем, чтобы оставить комментарий
Создать аккаунт
Зарегистрируйте новый аккаунт в нашем сообществе. Это очень просто!
Регистрация нового пользователяВойти
Уже есть аккаунт? Войти в систему.
Войти