NadyaR Опубликовано 31 июля, 2014 Поделиться Опубликовано 31 июля, 2014 (изменено) Решила выкладывать поэтапно следующую работу. Пациентке 23 года. Жалобы на неудовлетворительную эстетику передних зубов. Предварительно зубы были отбелены Зумом. По плану лечения: 12, 21, 22 - керамические виниры, 11 - безметалловая коронка. 11 зуб - ретрит, золотая культевая вкладка. Выполнен черновой преп после предварительной замены пломб на апроксимальных поверхностях по силиконовому ключу. Теперь встал вопрос. Что делать с 21 зубом? Я бы хотела ограничиться виниром, но техник говорит лучше коронку. 21 зуб - ротирован по оси, проблема с созданием уступа на нёбной поверхности в случае если винир. Как лучше сделать, может посоветуете? Преп пока не фоткала. Только на моделях. Постараюсь выложить дальнейшие этапы. Изменено 31 июля, 2014 пользователем NadyaR Ссылка на комментарий
NadyaR Опубликовано 31 июля, 2014 Автор Поделиться Опубликовано 31 июля, 2014 вакс ап Ссылка на комментарий
NadyaR Опубликовано 31 июля, 2014 Автор Поделиться Опубликовано 31 июля, 2014 (изменено) диагностическая модель Изменено 31 июля, 2014 пользователем NadyaR Ссылка на комментарий
Евгений Ходыкин Опубликовано 31 июля, 2014 Поделиться Опубликовано 31 июля, 2014 У техника гипса поболее классом не нашлось чтоли?? А так 2.1 можно винир, проблем не вижу, оценить путь ведения резцов... 1 Ссылка на комментарий
doktor vv Опубликовано 31 июля, 2014 Поделиться Опубликовано 31 июля, 2014 А что ортодонтия? Ссылка на комментарий
doktor vv Опубликовано 31 июля, 2014 Поделиться Опубликовано 31 июля, 2014 И почему воск зелено синий?))) Ссылка на комментарий
doktor vv Опубликовано 31 июля, 2014 Поделиться Опубликовано 31 июля, 2014 Под винир уступ на небе никогда не делаю(если только так называемый винир 3/4)-сошлифовываете по режущему;если мало эмали осталось после обработки то лучше коронка. Ссылка на комментарий
NadyaR Опубликовано 31 июля, 2014 Автор Поделиться Опубликовано 31 июля, 2014 От ортодонтии пациентка отказалась, по срокам результат нужен как можно быстрее. Переходит на хорошую работу, где внешность играет немаловажную роль)) Про воск, честно, не задумывалась) Какой есть) Вакс ап делала сама) Ссылка на комментарий
NadyaR Опубликовано 31 июля, 2014 Автор Поделиться Опубликовано 31 июля, 2014 Сторонница препарировать под винир с уступом на нёбной поверхности на 2 мм. Ну так, чтобы надёжнее и не было сколов потом) очень не хочется конечно препарировать зуб полностью под коронку, жалко. Ссылка на комментарий
doktor vv Опубликовано 31 июля, 2014 Поделиться Опубликовано 31 июля, 2014 вакс ап это как бы еще и презентация пациенту концепт его будущей работы-поэтому и модели и сам воск должны быть карамельными(в идеале воск светлый а модели в артикуляторе)если жалко под коронку -делайте винир-даже если вдруг отклеится можно и коронку будет сделать))не усложняйте задачу технику-не стремитесь всегда сделать уступ-куда важнее количество эмали Ссылка на комментарий
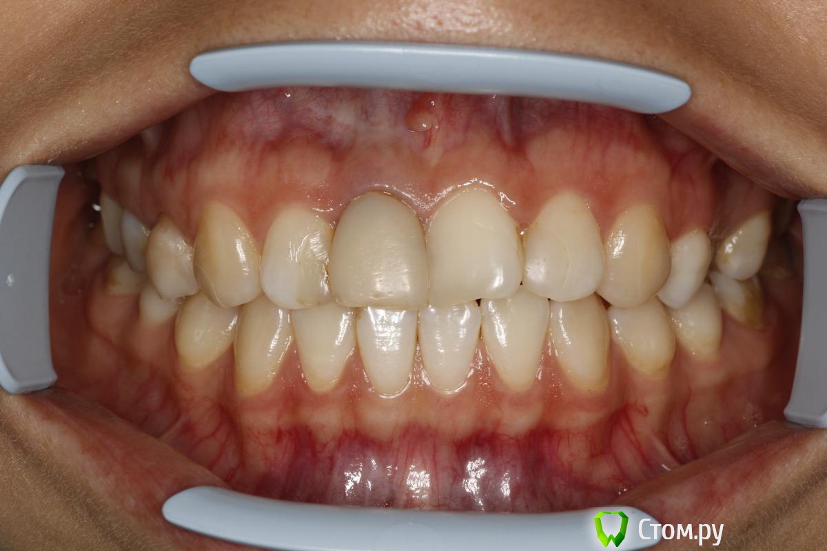
NadyaR Опубликовано 5 августа, 2014 Автор Поделиться Опубликовано 5 августа, 2014 На этапе препарирования. Не ругайтесь по поводу качества фоток. Сфоткала и посмотрела только в конце рабочего дня. Ссылка на комментарий
NadyaR Опубликовано 5 августа, 2014 Автор Поделиться Опубликовано 5 августа, 2014 21 зуб решила взять под керамический винир. Ссылка на комментарий
NadyaR Опубликовано 5 августа, 2014 Автор Поделиться Опубликовано 5 августа, 2014 (изменено) временные виниры с ваксапа. Структур. Изменено 5 августа, 2014 пользователем NadyaR Ссылка на комментарий
doktor vv Опубликовано 5 августа, 2014 Поделиться Опубликовано 5 августа, 2014 Я бы центральные чуть длиннее сделал.А так все гуд. техник рад наверное винирам Ссылка на комментарий
alekszander Опубликовано 7 августа, 2014 Поделиться Опубликовано 7 августа, 2014 (изменено) делаю виниры и 0.3 мм без перехода на небную поверхность, фиксирую только в кофере и только на вариолинк - 3 года полет нормальный)) По временным - я бы 1.1,2.1,2.2 опустил бы согласно уровню 1.2(правда там 2.3 выше 1.3). Вообщем поработал бы с кривой по режущим краям. Ну и если говорить про обработку, это же не для фиксации так обработали?PS при фиксации учтите, что коронка и винир(если мало опака) будут отличаться после фиксации, так что просите техника заопачить хорошо и коронку и винир (вкладка правда скорее всего все равно даст фон). На будущее советовал бы и вкладку покрывать опаком. Изменено 7 августа, 2014 пользователем alekszander Ссылка на комментарий
Рекомендуемые сообщения
Для публикации сообщений создайте учётную запись или авторизуйтесь
Вы должны быть пользователем, чтобы оставить комментарий
Создать аккаунт
Зарегистрируйте новый аккаунт в нашем сообществе. Это очень просто!
Регистрация нового пользователяВойти
Уже есть аккаунт? Войти в систему.
Войти