togrul Опубликовано 15 июля, 2014 Поделиться Опубликовано 15 июля, 2014 Добрый день коллеги. Пациентка хочет изменить цвет и форму зубов,пришла ко мне после установки имплантатов в жевательной области справа и слева. Сняли диагностические оттиски в привычном прикусе техник используя индекс LVI смоделировал зубы. План действий на сегодняшний день это перенос мок апа в полость рта и контроль соответствия выбранной высоты нижнего отдела лица. ( подняли на 1.5мм).Ваши советы по поводу данной клин ситуации?сегодня чуть позже выложу моделировку. Ссылка на комментарий
togrul Опубликовано 15 июля, 2014 Автор Поделиться Опубликовано 15 июля, 2014 Восковая моделировка Ссылка на комментарий
Alex74 Опубликовано 15 июля, 2014 Поделиться Опубликовано 15 июля, 2014 А что вы хотите чтобы вам посоветовали? Вы на правильном пути, нужно теперь посмотреть макет в полости рта. По воску кажется, что чуть центральные бы удлинить... Но это на мок апе видно будет. А так, неплохая ситуация для тотала.... Удачи) Ссылка на комментарий
togrul Опубликовано 15 июля, 2014 Автор Поделиться Опубликовано 15 июля, 2014 Спасибо). Вопрос как вы переносите в полость рта такие моделировки, точнее с помощью чего ?Каппа? силикон со слизистым упором? и как потом обработать все это не снимая? Ссылка на комментарий
Alex74 Опубликовано 15 июля, 2014 Поделиться Опубликовано 15 июля, 2014 каппа или ключ силиконовый. можно частями, можно анатомические образования использовать как "упор". а что вы хотите обрабатывать? Ссылка на комментарий
togrul Опубликовано 15 июля, 2014 Автор Поделиться Опубликовано 15 июля, 2014 Хочу проверить нравиться ли ей такая длина зубов, плюс как она будет привыкать к новому положению. Для этого я ее должен отпустить с вакс апом. Но я не смогу обработать межзубные промежутки так как не хочу препарировать пока пациентка не скажет что все ок. Как бы вы поступили? Ссылка на комментарий
Доктор Хаус Опубликовано 15 июля, 2014 Поделиться Опубликовано 15 июля, 2014 Вам к Коучмену нужно на DSD , ну или книжку Мауро Фрадеани прочитать , там как раз описываются антропометрические данные лица и примерный расчет какие зубы по форме и по размерам должны быть у данного лица. а так вы все делаете правильно побольше уверенности и вперед) Ссылка на комментарий
togrul Опубликовано 15 июля, 2014 Автор Поделиться Опубликовано 15 июля, 2014 Спасибо все уже изучил буду выкладывать результаты. Ссылка на комментарий
Доктор Хаус Опубликовано 15 июля, 2014 Поделиться Опубликовано 15 июля, 2014 Спасибо). Вопрос как вы переносите в полость рта такие моделировки, точнее с помощью чего ?Каппа? силикон со слизистым упором? и как потом обработать все это не снимая? Берете вакс ап а силикон только базу смешиваете и без ложки снимаете оттиск с вакс аповской ) модели, аккуратно равномерно снимаете силиконовый ключ , потом после того как затвердеет с вестибулярной стороны аккуратно оттягиваете силикон и снимаете ключ , скальпелем клин образно срезаете в области сосочков (именно отсюда будет выходить излишки бисакриловой пластмассы ) ну и по высоте чтобы удобно было вносить в рот , когда заливаете бисакрилат носик канюли держите в уже выдавленном бисакрилате (будет меньше пор ), после затвердевания пластмассы уберите излишки у сосочков и аккуратно оттягиваю ключ вестибулярно снимаете его , отвалившиеся от зубов куски бисакрилата фиксируете на жидкотекучий композит и фоткаете пациента по протоколу , естественно предупреди его в начале чтоб не кусала не выдавливали зубы , что этот мок ап только для того что бы оценить форму размер зубов , положение зубного ряда относительно лица . примерно так я делаю но редко я больше хирург. 1 Ссылка на комментарий
Доктор Хаус Опубликовано 15 июля, 2014 Поделиться Опубликовано 15 июля, 2014 Спасибо все уже изучил буду выкладывать результаты.пока печатал уже ответили) Ссылка на комментарий
togrul Опубликовано 15 июля, 2014 Автор Поделиться Опубликовано 15 июля, 2014 Спасибо за совет. Я точно также делаю только меньшее количество зубов. ) будем делать спасибо еще раз Ссылка на комментарий
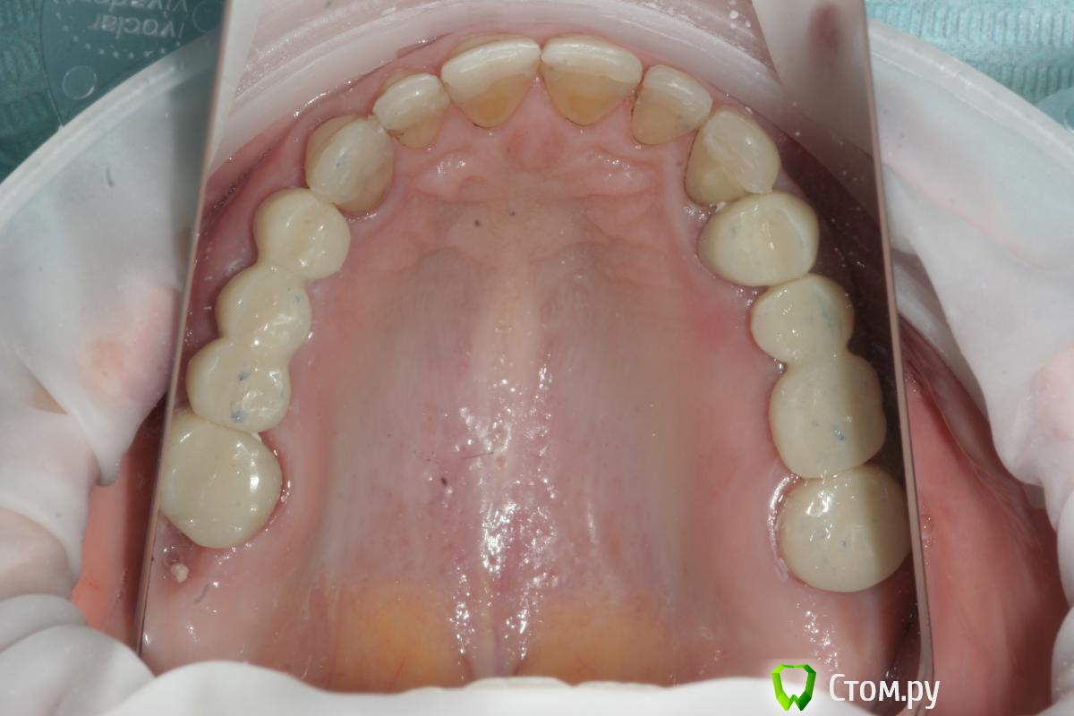
togrul Опубликовано 28 августа, 2014 Автор Поделиться Опубликовано 28 августа, 2014 Добрый день зафиксировал сегодня жевательные зубы на временных коронках. И провели пробную композитную реставрацию для определения длины передних зубов. Учусь фотографировать прощу прощение за качество. Ссылка на комментарий
M@estro Опубликовано 28 августа, 2014 Поделиться Опубликовано 28 августа, 2014 Фотки вполне. Приобретите зеркала дополнительно и ретрактор для фото,вметсо пальцев. Потом чуть кадрирования - и через 30-40 фотографий процесс будет автоматическим ) Ссылка на комментарий
togrul Опубликовано 29 августа, 2014 Автор Поделиться Опубликовано 29 августа, 2014 Фотки вполне. Приобретите зеркала дополнительно и ретрактор для фото,вметсо пальцев. Потом чуть кадрирования - и через 30-40 фотографий процесс будет автоматическим ) Спасибо приобретем) Ссылка на комментарий
Art 7 Опубликовано 29 августа, 2014 Поделиться Опубликовано 29 августа, 2014 (изменено) http://s017.radikal.ru/i413/1408/45/5d5ee4623695.pngдля определения длинны, это не прям такой шаблон к действию,но как точка отсчёта подойдёт Изменено 29 августа, 2014 пользователем Art 7 1 Ссылка на комментарий
togrul Опубликовано 29 августа, 2014 Автор Поделиться Опубликовано 29 августа, 2014 http://s017.radikal.ru/i413/1408/45/5d5ee4623695.pngдля определения длинны, это не прям такой шаблон к действию,но как точка отсчёта подойдётСпасибо Артур, с помощью этого индекса и примерно все взяли) Ссылка на комментарий
Art 7 Опубликовано 29 августа, 2014 Поделиться Опубликовано 29 августа, 2014 Спасибо Артур, с помощью этого индекса и примерно все взяли)Ну другим пригодится Ссылка на комментарий
togrul Опубликовано 29 августа, 2014 Автор Поделиться Опубликовано 29 августа, 2014 Конечно согласен. Ссылка на комментарий
Rtov Опубликовано 2 сентября, 2014 Поделиться Опубликовано 2 сентября, 2014 Добрый день зафиксировал сегодня жевательные зубы на временных коронках. И провели пробную композитную реставрацию для определения длины передних зубов. Учусь фотографировать прощу прощение за качество. Толь, ты сам моделировал фронт из композита, после переноса времях на жеватки, Ссылка на комментарий
togrul Опубликовано 2 сентября, 2014 Автор Поделиться Опубликовано 2 сентября, 2014 Толь, ты сам моделировал фронт из композита, после переноса времях на жеватки, да сам моделировал по ключу, который сделал моделировке. Ссылка на комментарий
Рекомендуемые сообщения
Для публикации сообщений создайте учётную запись или авторизуйтесь
Вы должны быть пользователем, чтобы оставить комментарий
Создать аккаунт
Зарегистрируйте новый аккаунт в нашем сообществе. Это очень просто!
Регистрация нового пользователяВойти
Уже есть аккаунт? Войти в систему.
Войти