axtrace Опубликовано 13 июля, 2014 Поделиться Опубликовано 13 июля, 2014 Добрый день! Предыстория: Поставили пломбу на 46 (он был разрушен более чем на 1/2). Три месяца походил, начал реагировать на холодное, через два-три дня - пока дошел до врача - отдавать в кость. Когда начал отдавать в кость, стал сомневаться, 46 ли это - реально стало не понятно. Врач попробивала зубы током, оказалось, что самое большой ток в 48 - поставила туда мумифицирующее и еще что-то.Боль не прошла.Вернулся через три дня - мумифицирующее и еще что-то поставили в 46, стало гораздо легче.Особенность НИИ такова, что в очередях надо ждать по 3 часа. При том, что там есть запись.Когда я вернулся на пломбировку каналов, прождал опять несколько часов и сбежал оттуда (это было в минувшую среду).Сегодня был на приеме у терапевта в другой клинике - сделали панорамный снимок, вскрыли временные пломбы, попытались разобраться, что делали в предыдущем месте, увидели проблему в 46 - у основания канала очажок воспаления. Поставили временную пломбу, отпустили с миром.Предложили план лечения:46 - пломбировка каналов, коронка.48 - пока пломбу, сколько проходишь, столько и проходишь. Потом удаление зуба. Так как врач будет в отпуске, все это назначено на через 10 дней. Но зуб ноет, особенно по ночам. Подскажите, насколько такой план выглядит адекватным и не надо ли принимать срочных мер?10 дней ходить на обесболивающих? Ссылка на комментарий
red_butler Опубликовано 13 июля, 2014 Поделиться Опубликовано 13 июля, 2014 нужны объективные данные http://forum.stom.ru/topic/2813-obiazatelno-k-prochteniiu/ Ссылка на комментарий
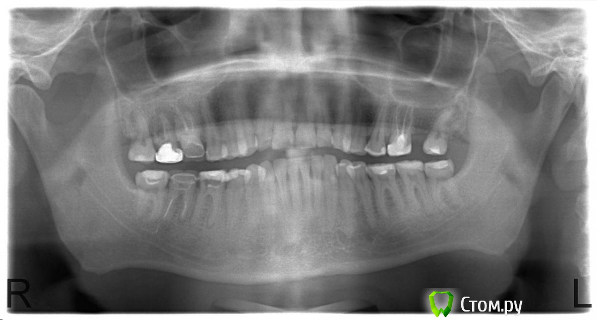
axtrace Опубликовано 13 июля, 2014 Автор Поделиться Опубликовано 13 июля, 2014 нужны объективные данные http://forum.stom.ru/topic/2813-obiazatelno-k-prochteniiu/Да, не закрывайте тему, пожалуйста, до утра. Я сейчас сгоняю в клинику, получу снимок и выложу. Извините. Спасибо Ссылка на комментарий
red_butler Опубликовано 13 июля, 2014 Поделиться Опубликовано 13 июля, 2014 не волнуйтесь, не закроют. Ссылка на комментарий
axtrace Опубликовано 13 июля, 2014 Автор Поделиться Опубликовано 13 июля, 2014 Прикрепляю панорамный снимок: https://yadi.sk/i/yk5MbfiMWX88hДобрый день! Предыстория: Поставили пломбу на 46 (он был разрушен более чем на 1/2). Три месяца походил, начал реагировать на холодное, через два-три дня - пока дошел до врача - отдавать в кость. Когда начал отдавать в кость, стал сомневаться, 46 ли это - реально стало не понятно. Врач попробивала зубы током, оказалось, что самое большой ток в 48 - поставила туда мумифицирующее и еще что-то.Боль не прошла.Вернулся через три дня - мумифицирующее и еще что-то поставили в 46, стало гораздо легче.Особенность НИИ такова, что в очередях надо ждать по 3 часа. При том, что там есть запись.Когда я вернулся на пломбировку каналов, прождал опять несколько часов и сбежал оттуда (это было в минувшую среду).Сегодня был на приеме у терапевта в другой клинике - сделали панорамный снимок, вскрыли временные пломбы, попытались разобраться, что делали в предыдущем месте, увидели проблему в 46 - у основания канала очажок воспаления. Поставили временную пломбу, отпустили с миром.Предложили план лечения:46 - пломбировка каналов, коронка.48 - пока пломбу, сколько проходишь, столько и проходишь. Потом удаление зуба. Так как врач будет в отпуске, все это назначено на через 10 дней. Но зуб ноет, особенно по ночам. Подскажите, насколько такой план выглядит адекватным и не надо ли принимать срочных мер?10 дней ходить на обесболивающих? Ссылка на комментарий
art700 Опубликовано 13 июля, 2014 Поделиться Опубликовано 13 июля, 2014 Лечить 47, 46, это то что я смог увидеть, ибо с айпада ваш снимок открывает плохо, суда выложите лучше 1 Ссылка на комментарий
red_butler Опубликовано 13 июля, 2014 Поделиться Опубликовано 13 июля, 2014 (изменено) Требуется полноценная механическая и медикаментозная обработка и пломбирование корневых каналов, это делается за одно посещение. У вас в профиле не указан город, Но надеюсь клиник больше двух, найдите стоматолога-терапевта который вылечит зуб, если болит ждать еще 10 дней не стоит. Затем протезирование. Что касается зуба мудрости, я бы его удалил, если оставлять - То так же лечить корневые каналы и протезировать. Да, 3.7 тоже лечить Изменено 13 июля, 2014 пользователем red_butler 1 Ссылка на комментарий
DokDent Опубликовано 13 июля, 2014 Поделиться Опубликовано 13 июля, 2014 10 дней ждать и пить обезболивающие-не вариант. 46 пломбировать каналы и коронка, в 48 если клали мумифицирующее в-во (с Ваших слов) если это так, значит просто пломбой не обойдёшься, и тоже надо пломбировать каналы (хотя по этому снимку вскрытого рога пульпы я не вижу), возможно Вы ошиблись. В 47 тоже есть изменения на корнях. И сверху зубы-антагонисты могут беспокоить. 1 Ссылка на комментарий
axtrace Опубликовано 13 июля, 2014 Автор Поделиться Опубликовано 13 июля, 2014 Лечить 47, 46, это то что я смог увидеть, ибо с айпада ваш снимок открывает плохо, суда выложите лучшелечить - это значит ..... Ссылка на комментарий
axtrace Опубликовано 13 июля, 2014 Автор Поделиться Опубликовано 13 июля, 2014 10 дней ждать и пить обезболивающие-не вариант. 46 пломбировать каналы и коронка, в 48 если клали мумифицирующее в-во (с Ваших слов) если это так, значит просто пломбой не обойдёшься, и тоже надо пломбировать каналы (хотя по этому снимку вскрытого рога пульпы я не вижу), возможно Вы ошиблись. В 47 тоже есть изменения на корнях. И сверху зубы-антагонисты могут беспокоить.спасибо! с 46 в принципе все понятно. с 48 - да, мне сказали, что клали. Сегодня новый врач сказал, что туда не залезть с инструментом для пломбировки каналов, поэтому просто поставит пломбу. Верхние, да, вроде беспокоят, я просто не понимаю уже где болит, где нет - то мышцы сводит, то отдает повсюду в кости. Ссылка на комментарий
axtrace Опубликовано 13 июля, 2014 Автор Поделиться Опубликовано 13 июля, 2014 Требуется полноценная механическая и медикаментозная обработка и пломбирование корневых каналов, это делается за одно посещение. У вас в профиле не указан город, Но надеюсь клиник больше двух, найдите стоматолога-терапевта который вылечит зуб, если болит ждать еще 10 дней не стоит. Затем протезирование.Что касается зуба мудрости, я бы его удалил, если оставлять - То так же лечить корневые каналы и протезировать.Да, 3.7 тоже лечитьспасибо! С 4.6 ясно. Город Москва. Но от этого не легче... Как видите, сегодня мне за одно посещение просто вскрыли и посмотрели. Насчет удаления - кажется, просто, но, с другой стороны, с моими плохими зубами каждый жевательный зуб на счету. Корневые каналы сегодняшний врач лечить не взялась - трудо подлезть инструментом. А с 3.7 (или 4.7) аналогично все - каналы? Ссылка на комментарий
art700 Опубликовано 13 июля, 2014 Поделиться Опубликовано 13 июля, 2014 лечить - это значит .....red_butler вам ответил, что значит лечить Ссылка на комментарий
Рекомендуемые сообщения
Для публикации сообщений создайте учётную запись или авторизуйтесь
Вы должны быть пользователем, чтобы оставить комментарий
Создать аккаунт
Зарегистрируйте новый аккаунт в нашем сообществе. Это очень просто!
Регистрация нового пользователяВойти
Уже есть аккаунт? Войти в систему.
Войти