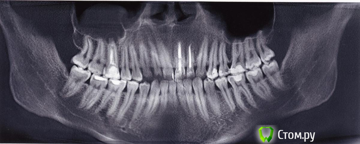
alessandor Опубликовано 8 июля, 2014 Поделиться Опубликовано 8 июля, 2014 Здравствуйте! Очень необходима Ваша консультация. Три недели назад после переутомления и переохлаждения распухла щека, никаких особых болей небыло. Сходил к стоматологу сделали снимок и компьютерное сканирование (КТ). Обнаружено обазование на корне 6 верхнего правого зуба (на снимке третий слева верхний зуб) и в гайморовой пазухе над ним. В 2009 был удален нерв и плохо запломбирован канал. Периодически последнее время при насморке была слабая ноющая боль, а незадолго до опухоли пульсация. Каких либо истечений из носа и насморка небыло, и нет сейчас. Стал принимать антибиотики - опухоль спала, через несколько дней после окончания приема щека снова распухла (может надуло в машине). Сейчас снова принимаю антибиотики (сегодня последний день) - опухоль снова спала. Все это время нос промываю долфином - что заливаю тоже и выходит (чисто). Зуб не шатается, не выпирает, при накусывании не болит (на всякий случай ем на другую сторону). Мне предлагают удаление зуба (говорят будет перфорация) со вскрытием гайморовой пазухи и удалением поврежденной слизистой оболочки. Другие предлагают попробовать полечить. При этом никто никаких гарантий не дает - как получиться. Конечно хочется сохранить зуб и не вскрывать гайморовую пазуху которая меня не беспокоит.Посоветуйте, очень на Вас надеюсь, как поступить, куда обратиться (готов приехать в другой регион), делать надо срочно, опасаюсь что снова распухнет. Могу дополнительно прислать и другие снимки из КТ. Заранее благодарю за ответ! С уважением, Александр. Ссылка на комментарий
dr-krasnov Опубликовано 8 июля, 2014 Поделиться Опубликовано 8 июля, 2014 Картина хронического правостороннего одонтогенного синусита, периапикального абсцесса в области 16 зуба. Показано хирургическое лечение и консультация ЛОР врача. 2 Ссылка на комментарий
alessandor Опубликовано 8 июля, 2014 Автор Поделиться Опубликовано 8 июля, 2014 Огромное спасибо за ответ! У лор врача был - он показаний к гайморомии не видит, надо будет посмотреть динамику. Говорит лечите зуб. Мнение ЧЛ хирургов - удаление зуба с совместной гайморотомией (опасаюсь осложенией). С уважением, Александр. Ссылка на комментарий
IvanK Опубликовано 8 июля, 2014 Поделиться Опубликовано 8 июля, 2014 Здравствуйте,по-моему мнению, стандартное удаление 1 Ссылка на комментарий
alessandor Опубликовано 8 июля, 2014 Автор Поделиться Опубликовано 8 июля, 2014 После всего уже готов и удалить. Очень был бы и рад если простое удаление и никаких проблем в дальнейшем. Но местные специалисты говорят что без перфорации у них наверно не получиться поэтому придется делать гайморотомию, лунку зашьют с установкой мембраны. Как пойдет дело никто не говорит (никаких подробностей и гарантий), возможно начнут с удаления, а закончится радиакальной гайморотомией. С уважением, Александр. Ссылка на комментарий
IvanK Опубликовано 8 июля, 2014 Поделиться Опубликовано 8 июля, 2014 Я не вижу показаний для гайморотомии...Если будет сообщение - закрыть его и все Ищите Врача Ссылка на комментарий
red_butler Опубликовано 9 июля, 2014 Поделиться Опубликовано 9 июля, 2014 Моё мнение, при адекватной эндодонтии можно обойтись только консервативным лечением, ищите стоматолога-эндодонтиста. Но Вы должны понимать, что если перелечивание будет не удачным, потеряете время и "немного" денег и вернетесь к началу. Ссылка на комментарий
alessandor Опубликовано 9 июля, 2014 Автор Поделиться Опубликовано 9 июля, 2014 Моё мнение, при адекватной эндодонтии можно обойтись только консервативным лечением, ищите стоматолога-эндодонтиста. Но Вы должны понимать, что если перелечивание будет не удачным, потеряете время и "немного" денег и вернетесь к началу.Можете посоветовать такого специаста или клинику где он есть? У себя в городе эндодонтистов не нашел. Готов приехать в другую область. Заранее спасибо! С уважением, Александр. Ссылка на комментарий
red_butler Опубликовано 10 июля, 2014 Поделиться Опубликовано 10 июля, 2014 напишите сюда http://forum.stom.ru/topic/4752-posovetuite-terapevta-v-gorode-n/ Ссылка на комментарий
alessandor Опубликовано 11 июля, 2014 Автор Поделиться Опубликовано 11 июля, 2014 Сейчас (другой специалист) предлагает эндоскопичечски через нос удалить образование в гайморовой пазухе и после заживления (2 недели) взяться за зуб. Либо лечить его, либо удалять. Как Вы считаете такой вариант будет наиболее оптимальным в моем случаи? Заранее благодарю за ответ! С уважением, Александр. Ссылка на комментарий
IvanK Опубликовано 11 июля, 2014 Поделиться Опубликовано 11 июля, 2014 Я бы просто аккуратно удалил зуб. Через 3-4мес скорее всего само все пройдет. 1 Ссылка на комментарий
dr-krasnov Опубликовано 11 июля, 2014 Поделиться Опубликовано 11 июля, 2014 О каком образовании вообще речь? Не совсем понимаю . . . . 1 Ссылка на комментарий
alessandor Опубликовано 11 июля, 2014 Автор Поделиться Опубликовано 11 июля, 2014 О каком образовании вообще речь? Не совсем понимаю . . . .В гайморовой пазухе. Как с ней быть? С уважением, Александр. Ссылка на комментарий
dr-krasnov Опубликовано 11 июля, 2014 Поделиться Опубликовано 11 июля, 2014 Там нет никакого образования. Там воспаленная слизистая, а под ней больной зуб. 5 Ссылка на комментарий
alessandor Опубликовано 30 июля, 2014 Автор Поделиться Опубликовано 30 июля, 2014 Сейчас начал лечить зуб. Сняли пломбу, прошли каналы, отказачили через них гной (гноя было много) и заложили туда пасту, поставили временную пломбу на неделю. Говорят зуб залечят точно. Но что будет с кистой на зубе точно сказать нельзя. Возможен ли благоприятиный исход, что зуб залечат и киста тоже уйдет? С уважением, Александр! Ссылка на комментарий
faity Опубликовано 30 июля, 2014 Поделиться Опубликовано 30 июля, 2014 Сейчас начал лечить зуб. Сняли пломбу, прошли каналы, отказачили через них гной (гноя было много) и заложили туда пасту, поставили временную пломбу на неделю. Говорят зуб залечят точно. Но что будет с кистой на зубе точно сказать нельзя. Возможен ли благоприятиный исход, что зуб залечат и киста тоже уйдет? С уважением, Александр!вероятность есть, но она очень маленькая. как четко подтметил red_butler - вам нужен хороший эндодонт.в вашем конкретном случае более прогнозируемый результат был бы с удалением этого зуба и закрытием перфорации, никаких гайморотомий и прочих больших операций через маленькие дырочки я бы не рекомендовал. 2 Ссылка на комментарий
Cleric Опубликовано 2 августа, 2014 Поделиться Опубликовано 2 августа, 2014 Здравствуйте! Очень необходима Ваша консультация. Три недели назад после переутомления и переохлаждения распухла щека, никаких особых болей небыло. Сходил к стоматологу сделали снимок и компьютерное сканирование (КТ). Обнаружено обазование на корне 6 верхнего правого зуба (на снимке третий слева верхний зуб) и в гайморовой пазухе над ним. В 2009 был удален нерв и плохо запломбирован канал. Периодически последнее время при насморке была слабая ноющая боль, а незадолго до опухоли пульсация. Каких либо истечений из носа и насморка небыло, и нет сейчас. Стал принимать антибиотики - опухоль спала, через несколько дней после окончания приема щека снова распухла (может надуло в машине). Сейчас снова принимаю антибиотики (сегодня последний день) - опухоль снова спала. Все это время нос промываю долфином - что заливаю тоже и выходит (чисто). Зуб не шатается, не выпирает, при накусывании не болит (на всякий случай ем на другую сторону). Мне предлагают удаление зуба (говорят будет перфорация) со вскрытием гайморовой пазухи и удалением поврежденной слизистой оболочки. Другие предлагают попробовать полечить. При этом никто никаких гарантий не дает - как получиться. Конечно хочется сохранить зуб и не вскрывать гайморовую пазуху которая меня не беспокоит.Посоветуйте, очень на Вас надеюсь, как поступить, куда обратиться (готов приехать в другой регион), делать надо срочно, опасаюсь что снова распухнет. Могу дополнительно прислать и другие снимки из КТ. Заранее благодарю за ответ! С уважением, Александр.Если лечением будет заниматься эндодонтист, то вероятность благоприятного исхода 70-75%. Удаление не показано. Апикальная хирургия показана при неудаче консервативного лечения. Ссылка на комментарий
Рекомендуемые сообщения
Для публикации сообщений создайте учётную запись или авторизуйтесь
Вы должны быть пользователем, чтобы оставить комментарий
Создать аккаунт
Зарегистрируйте новый аккаунт в нашем сообществе. Это очень просто!
Регистрация нового пользователяВойти
Уже есть аккаунт? Войти в систему.
Войти