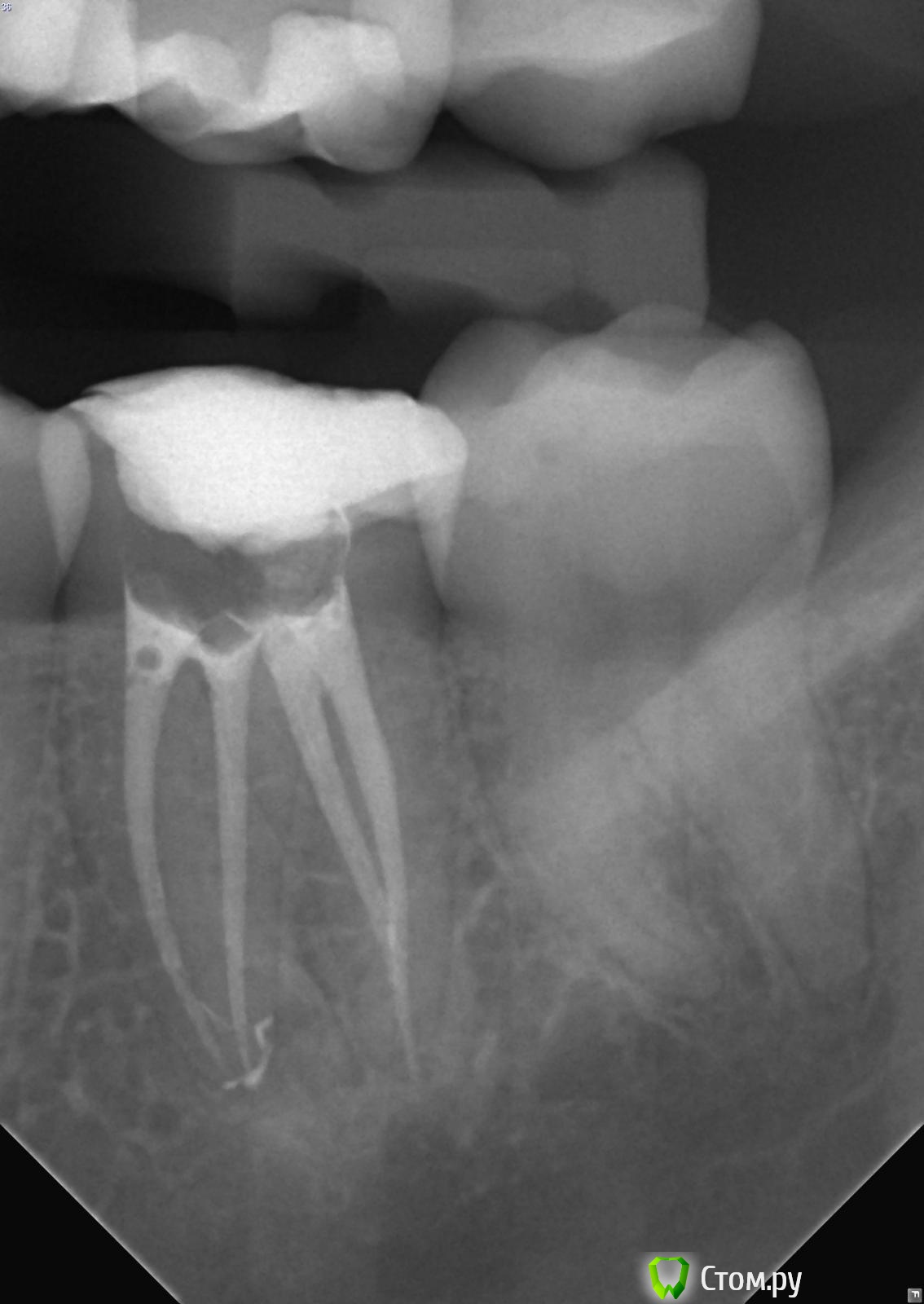
felicidade Опубликовано 23 июня, 2014 Поделиться Опубликовано 23 июня, 2014 (изменено) И снова добрый день Я хотела бы спросить, есть ли смысл в перелечивании каналов зуба №36 (девитализирован лет 10-12 назад), чтобы в будущем установить на корень литую культёвую вкладку и коронку? Каналы запломбированы жутко, под корнем есть киста, от самого зуба остались только стенки..Чисто физически, есть ли у него потенциал в плане дальнейшего протезирования, при условии, что перепломбировка каналов поможет, и киста чудесным образом уйдёт? Очень боюсь, что не выдержит жевательной нагрузки, что не на что попросту будет крепить протез.Врач-эндодонт в Любляне сначала подозревала резорбцию корня и оставленный в канале обломок иглы, но КТ показала, что ничего из этого нет. КТ я запросила у словенской клиники, в которой её делала, но пока на почту мне её не прислали, есть только такой снимок.Я, конечно, настроена на сохранение зуба, он меня никак не беспокоил все эти долгие годы (ТТТ), но хочу понять, стоит мне тратить 700 евро на эндо, или, может, лучше сразу удалять? Спасибо большое заранее p.s.Рентген сомнительного двадцать пятого зуба с неизвестным количеством корней/каналов смогу сделать и выложить только в середине июля в Любляне, т.к. тут в Италии рентген-снимки и КТ делаются строго по направлению врача. Изменено 23 июня, 2014 пользователем felicidade Ссылка на комментарий
IvanK Опубликовано 23 июня, 2014 Поделиться Опубликовано 23 июня, 2014 Здравствуйте, если дистально кариеса корня нет, то я за лечение, протезирование Ссылка на комментарий
felicidade Опубликовано 23 июня, 2014 Автор Поделиться Опубликовано 23 июня, 2014 ИванК, спасибо за ответ! Затеплилась надежда Откопала ещё два снимка, где частично виден зуб №36 (первый снимок уж больно плохого качества, эти получше, хоть и не целиком показывают зуб). Ссылка на комментарий
IvanK Опубликовано 23 июня, 2014 Поделиться Опубликовано 23 июня, 2014 @felicidade,Ищите терапевта и ортопеда не за что Ссылка на комментарий
DokDent Опубликовано 23 июня, 2014 Поделиться Опубликовано 23 июня, 2014 Вот ещё один снимок с Вашей панорамки. Теоретически можно перелечить и восстановить, но это 2-мерное изображение, поэтому по нему трудно судить об истинной картине что с корнями и вокруг них. Всё же лучше перед вмешательством посмотреть на кт. 1 Ссылка на комментарий
red_butler Опубликовано 24 июня, 2014 Поделиться Опубликовано 24 июня, 2014 Я за лечение, как минимум убрать пломбу и оценить объем оставшихся тканей Ссылка на комментарий
felicidade Опубликовано 18 июля, 2014 Автор Поделиться Опубликовано 18 июля, 2014 Большое спасибо всем ответившим!Каналы зуба с трудом, но перепломбировали. Теперь жду августа-сентября, чтобы озаботиться коронкой 2 Ссылка на комментарий
red_butler Опубликовано 18 июля, 2014 Поделиться Опубликовано 18 июля, 2014 ну вот и замечательно, не тяните с протезированием Ссылка на комментарий
DokDent Опубликовано 18 июля, 2014 Поделиться Опубликовано 18 июля, 2014 Большое спасибо всем ответившим!Каналы зуба с трудом, но перепломбировали. Теперь жду августа-сентября, чтобы озаботиться коронкой Симпатично)) Ссылка на комментарий
felicidade Опубликовано 9 октября, 2014 Автор Поделиться Опубликовано 9 октября, 2014 Сначала договорились со врачом о металлокерамике на золотом штифте, но при препарировании 3.6 зуба мне была предложена альтернатива в виде оверлея, и я согласилась. Вот так теперь выглядит 3.6. Большое спасибо всем докторам, что посоветовали перелечить и немедленно протезировать зуб! :-)Следующим этапом будет удаление восьмёрок :-) Ссылка на комментарий
red_butler Опубликовано 9 октября, 2014 Поделиться Опубликовано 9 октября, 2014 Ссылка на комментарий
IvanK Опубликовано 9 октября, 2014 Поделиться Опубликовано 9 октября, 2014 Хорош! Ссылка на комментарий
felicidade Опубликовано 15 февраля, 2015 Автор Поделиться Опубликовано 15 февраля, 2015 Добрый день, уважаемые доктора 36 зуб поживает нормально, ТТТ. У меня большая просьба: не могли бы вы сказать, если ли хоть минимальные признаки уменьшения кисты под ним после перепломбировки каналов (июль 2014)?Вот ОПТГ до перелечивания (апрель 2014). Тут уже октябрьская ОПТГ, а вот тут - свежайшая февральская (2015).Надеюсь, что если киста и не уменьшилась, то хоть кариесов новых нет А также, пользуясь случаем, ещё раз очень благодарю всех, кто поучаствовал в судьбе спасения зуба этим летом! Ссылка на комментарий
red_butler Опубликовано 15 февраля, 2015 Поделиться Опубликовано 15 февраля, 2015 выглядит очень прилично Ссылка на комментарий
felicidade Опубликовано 6 ноября, 2015 Автор Поделиться Опубликовано 6 ноября, 2015 Здравствуйте! Это снова я Сегодня сделала контрольную ОПТГ (спустя 1г 3 мес после перепломбировки №36 и спустя 9 мес с момента последней ОПТГ). Эту не самую качественную ОПТГ я сделала вообще у ортодонта, т.к. у остальных стоматологов в нашем регионе запись новых пациентов на панорамный снимок+профилактический осмотр идёт самое раннее на январь 2016, а самое позднее - на май В общем, сейчас снова возьмусь за обзвон местных докторов, авось кто и примет меня пораньше с уже готовым снимком. А у меня, пока ищу стоматолога, снова нескромная просьба бегло оценить состояние челюсти: в апреле я наконец-то удалила верхние ретинированные зубы мудрости, ну, и, как всегда, у меня паническая боязнь вторичного кариеса под пломбами.. Всем ещё раз спасибо и хороших выходных! Ссылка на комментарий
red_butler Опубликовано 6 ноября, 2015 Поделиться Опубликовано 6 ноября, 2015 Все нормально Ссылка на комментарий
felicidade Опубликовано 7 февраля, 2017 Автор Поделиться Опубликовано 7 февраля, 2017 (изменено) Добрый день, уважаемые господа стоматологи Вчера была на профилактической чистке зубов, заодно попросила сделать ОПТГ . Стоматолог сказал, что всё нормально - если не сложно, подтвердите или опровергните его мнение, пожалуйста Спасибо заранее! Изменено 7 февраля, 2017 пользователем felicidade Ссылка на комментарий
red_butler Опубликовано 7 февраля, 2017 Поделиться Опубликовано 7 февраля, 2017 Качество снимка не очень и сережки не сняты, но вроде все хорошо. Ссылка на комментарий
inSight Опубликовано 12 февраля, 2017 Поделиться Опубликовано 12 февраля, 2017 Мне нравиться, коронкой наградить надобно. Ссылка на комментарий
DmitrySH Опубликовано 12 февраля, 2017 Поделиться Опубликовано 12 февраля, 2017 Мне нравиться, коронкой наградить надобно.А чем оверлей не нравится? Ссылка на комментарий
inSight Опубликовано 12 февраля, 2017 Поделиться Опубликовано 12 февраля, 2017 А чем оверлей не нравится?Долговечностью. Ссылка на комментарий
felicidade Опубликовано 13 июня, 2017 Автор Поделиться Опубликовано 13 июня, 2017 (изменено) Добрый вечер! Я снова в Любляне у эндодонта, перепломбировавшего мне три года назад каналы в молярах и поставившего оверлей на нижнюю 6-ку. Недавно откололся кусочек у верхней перепломбированной 6-ки, покрытой пломбой - эндодонт вчера диагностировала вертикальную трещину и препарировала зуб под оверлей (опустив при этом десну на стыке 5 и 6 зубов, в которой при препарации обнаружился пародонтальный карман с неприятным запахом), вот фото зуба на сегодняшний момент: http://s019.radikal.ru/i626/1706/79/026ca7a7fc8dt.jpgВ четверг утром он будет покрыт оверлеем. Наверное, вопрос задавать уже поздно, т.к. судьба зуба решена и деньги уплачены, но я бы хотела услышать мнение врачей по поводу адекватности планируемой реставрации. Я, если честно, расстроилась, сделав фото и увидев масштаб разрушений: выглядит как "сдохшая лошадь", которую всеми силами пытаются реанимировать - может быть, удаление было бы самым адекватным вариантом? Насколько я поняла из объяснений врача, небольшая часть трещины осталась под десной. Изменено 13 июня, 2017 пользователем felicidade Ссылка на комментарий
Рекомендуемые сообщения
Для публикации сообщений создайте учётную запись или авторизуйтесь
Вы должны быть пользователем, чтобы оставить комментарий
Создать аккаунт
Зарегистрируйте новый аккаунт в нашем сообществе. Это очень просто!
Регистрация нового пользователяВойти
Уже есть аккаунт? Войти в систему.
Войти