Bier Опубликовано 20 июня, 2014 Поделиться Опубликовано 20 июня, 2014 она действительно лечит стадию пятна? Ссылка на комментарий
Stomart Опубликовано 20 июня, 2014 Поделиться Опубликовано 20 июня, 2014 На ПАЦе по тер.стому преподаватели утверждали, что пользуются и есть результаты. Ссылка на комментарий
faity Опубликовано 20 июня, 2014 Поделиться Опубликовано 20 июня, 2014 У Шумского на кафедре его тестили, вроде как не особо, детали не уточнял. Ссылка на комментарий
ромашечка Опубликовано 20 июня, 2014 Поделиться Опубликовано 20 июня, 2014 У нас в Минске на кафедре тер. стома одна доктор широко исполььзует уже много лет - докторскую пишет. (Гранько С. А. )Много нюансов. Есть очень впечатляющие результаты. После брекетов , например. А есть и так себе, или результата визуально не видно, т.е пятно осталось. Я не помню точно прибор как называется кавовский -то ли лазерная , то ли световая флюористенция(вроде Vista Proof н-ся) . Она с ним работает. И он очень мотивирует пациентов. Т.е реальный результат в цифрах. Внешне может ничего не изменится- пятно останется, а на приборе - результат есть. Там как-то свечение здоровых тканей и свечение тканей , заселённных бактериями. На мастер классе, что видела- достаточно просто и быстро. Ссылка на комментарий
Ico Опубликовано 20 июня, 2014 Поделиться Опубликовано 20 июня, 2014 Он не лечит стадию пятна,он тупо его герметизирует,это высокотиксотропная смола, а протравка к нему это р-р солянки которая вскрывает хрупкую эмаль,а смола затекает при втирании в образованные пустоты. результаты хорошие,но очень легко можно прогадать,в одних случаях эффет есть в других - нет).Может это дефекты рукоплечести. 1 Ссылка на комментарий
M@estro Опубликовано 21 июня, 2014 Поделиться Опубликовано 21 июня, 2014 результаты хорошие,но очень легко можно прогадать,в одних случаях эффет есть в других - нет).Может это дефекты рукоплечести. Один - в -один впечатления, основанные на опыте супруги . Ссылка на комментарий
Kainov Опубликовано 21 июня, 2014 Поделиться Опубликовано 21 июня, 2014 У нас в Минске на кафедре тер. стома одна доктор широко исполььзует уже много лет - докторскую пишет. (Гранько С. А. )Много нюансов. Есть очень впечатляющие результаты. После брекетов , например. А есть и так себе, или результата визуально не видно, т.е пятно осталось. Я не помню точно прибор как называется кавовский -то ли лазерная , то ли световая флюористенция(вроде Vista Proof н-ся) . Она с ним работает. И он очень мотивирует пациентов. Т.е реальный результат в цифрах. Внешне может ничего не изменится- пятно останется, а на приборе - результат есть. Там как-то свечение здоровых тканей и свечение тканей , заселённных бактериями. На мастер классе, что видела- достаточно просто и быстро. Diagnodent pen называется. Но он фиксирует только изменение длин волн при флюорисценции, те по факту только оптические изменения. Есть СЭМ снимки срезов после айкона, кому интересно кину в личку. Ссылка на комментарий
Kainov Опубликовано 21 июня, 2014 Поделиться Опубликовано 21 июня, 2014 Один - в -один впечатления, основанные на опыте супруги .А он непрогнозируем в плане восстановления эстетики, по крайне мере у меня так. Делал себе инфильтрацию, все гуд. А бывает меловидное пятно еще больше становится и попробуй потом объяснить, что так надо. Хотя штука то хорошая. Ссылка на комментарий
арис Опубликовано 21 июня, 2014 Поделиться Опубликовано 21 июня, 2014 пользуюсь с апреля месяца. не очень часто, так как дорогое удовольствие. результаты очень нравятся, эффект моментальный. Можно сказать, что я в восторге от этого метода! Ссылка на комментарий
Каплан Опубликовано 21 июня, 2014 Поделиться Опубликовано 21 июня, 2014 не панацея. но работает. требует внимания. очень некомфортен в работе. в канюле очень много остается, канюля быстро засыхает, приходится менять, если за один визит несколько контатов делаешь. лучше все же с коффердамом. причем как положено - изолировать все зубки, подвязаять ниточки... Ссылка на комментарий
Kainov Опубликовано 21 июня, 2014 Поделиться Опубликовано 21 июня, 2014 (изменено) очень некомфортен в работе. в канюле очень много остается, канюля быстро засыхает, приходится менятьА я брашиком из шприцов набираю, даже удобней, не говоря о экономии правда на аппроксималках при соседях им не работаю, кмк очень неконтролируемо. Изменено 21 июня, 2014 пользователем Kainov 1 Ссылка на комментарий
Каплан Опубликовано 21 июня, 2014 Поделиться Опубликовано 21 июня, 2014 А я брашиком из шприцов набираю, даже удобней, не говоря о экономии правда на аппроксималках при соседях им не работаю, кмк очень неконтролируемо.так вся соль в апроксималках как раз)) Ссылка на комментарий
ромашечка Опубликовано 21 июня, 2014 Поделиться Опубликовано 21 июня, 2014 Diagnodent pen называется. Поискала- она работает -Интраоральные видеокамеры Vista Proof . ...Прежние методы с использованием флуоресценции имели определенные ограничения, которые преодолены посредством разработки внутриротовой камеры и современной методики расшифровки спектра флуоресценции. Используемый в камере сине-фиолетовый свет проникает глубоко в зубную эмаль и возбуждает там порфирины к свечению в красной области спектра. Причина этой достаточно большой глубины проникновения света заключается в призменномстроении эмали. Призмы, вытянутые в глубину эмали, направляют свет аналогично оптическому волокну. Поэтому флуоресцентная камера может обнаружить поражения, скрытые даже в самой совершенной эмали. А для того, чтобы цветовой датчик во флуоресцентной камере не перевозбуждался сине-фиолетовым светом, перед датчиком устанавливается оптический светофильтр, который поглощает свет с длиной волны менее 495 микрон и беспрепятственно пропускает свет с другой длиной волны. Поэтому чип камеры в зеленом свете может регистрировать свечение здоровой эмали в зеленой области спектра, а в красном канале свечение пораженного бактериями или кариесом участка зубной поверхности в красной области спектра.... Ссылка на комментарий
Л Ю С Я Опубликовано 22 июня, 2014 Поделиться Опубликовано 22 июня, 2014 Работаю Айконом года 2 , использую не очень часто. Хорошо заметен эффект на вестибулярных поверхностях, на апроксималках не пользую. Размер пятна всегда уменьшается после использования, уходит коричневое прокрашивание, но вот полностью пятно никогда не исчезает. В теч 2 лет наблюдений кариес в месте обработки не прогрессирует Ссылка на комментарий
Петрович Опубликовано 30 июня, 2014 Поделиться Опубликовано 30 июня, 2014 А может протравка не до травливает. И смола недотекает во все пустоты и пятно остается.... Ссылка на комментарий
Katerina_spb Опубликовано 16 июля, 2014 Поделиться Опубликовано 16 июля, 2014 Ради эксперимента попробовали айкон на мне. 17 медиально небольшое пигментированное пятно было. после процедуры стало меньше и обесцветилось, но не исчезло совсем. наблюдаем пока. Ссылка на комментарий
Бобр Опубликовано 22 июля, 2014 Поделиться Опубликовано 22 июля, 2014 Завтра еду в DMG забирать заказ, поинтересовалась, в наличии у них есть айкон. Так как беру на пробу вопрос, на сколько зубов хватает одного минимального набора. Ссылка на комментарий
Katerina_spb Опубликовано 23 июля, 2014 Поделиться Опубликовано 23 июля, 2014 смотря как использовать. Если не пользоваться оригинальными насадками для нанесения то можно подольше растянуть, т.к. в самой насадке очень много остается материала. особенно быстро заканчивается протравка. у нас хватает зубов на 10 1 Ссылка на комментарий
Бобр Опубликовано 23 июля, 2014 Поделиться Опубликовано 23 июля, 2014 Большое спасибо, возьму на пробу Ссылка на комментарий
St. Опубликовано 2 ноября, 2016 Поделиться Опубликовано 2 ноября, 2016 расскажите про Айкон подробнее. Мне на работе предлагали купить поробовать, не знаю насколько это необходимая вещь. Давно применяете? Какие условия для положительного результата? Нюансы в работе? Долгосрочные наблюдения? Ссылка на комментарий
vse32 Опубликовано 2 ноября, 2016 Поделиться Опубликовано 2 ноября, 2016 Присоединюсь. Ссылка на комментарий
Л Ю С Я Опубликовано 2 ноября, 2016 Поделиться Опубликовано 2 ноября, 2016 Периодически использую. По моим наблюдениям2-3 года: в 90 % пятно не увеличивается и не углубляется. Система работает в случае хорошей гигиены. На апроксималках желательно коффердам с подвязками, сильно растекается. Перед использованием на апроксималках делаю р- грамму. Если есть признаки в дентине, не использую, хотя в аннотации есть показания и для начального проникновения в дентин. Что то забросила последнее время Ссылка на комментарий
Kolchanov Опубликовано 2 ноября, 2016 Поделиться Опубликовано 2 ноября, 2016 Имхо, при хорошей гигиене и без него все пучком будет. Мне айкон был бы интересен для устранения белых пятен. Как, например, после стабилизации пришеечного кариеса бывает. Никто не пытался так применить? 1 Ссылка на комментарий
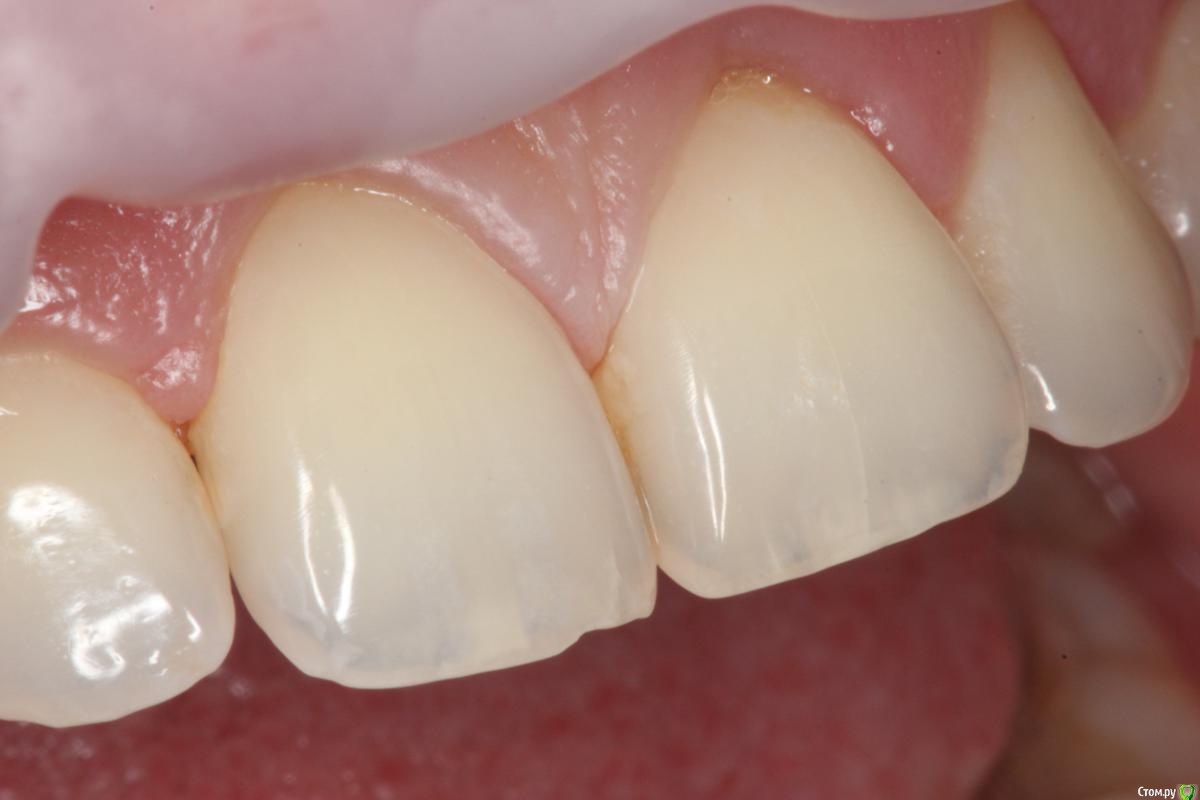
Л Ю С Я Опубликовано 3 ноября, 2016 Поделиться Опубликовано 3 ноября, 2016 Если кому интересно, срок наблюдения 3 года, 1- фото до айкона, 2 -сразу после, еще зубы не сдвинулись, 3 -через 3 года Ссылка на комментарий
red_butler Опубликовано 3 ноября, 2016 Поделиться Опубликовано 3 ноября, 2016 когда только появился и было модно, поиграли и бросили. Имхо, не стоит этих денег Ссылка на комментарий
Рекомендуемые сообщения
Для публикации сообщений создайте учётную запись или авторизуйтесь
Вы должны быть пользователем, чтобы оставить комментарий
Создать аккаунт
Зарегистрируйте новый аккаунт в нашем сообществе. Это очень просто!
Регистрация нового пользователяВойти
Уже есть аккаунт? Войти в систему.
Войти