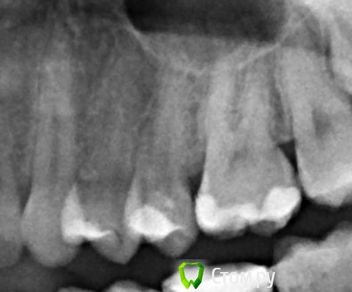
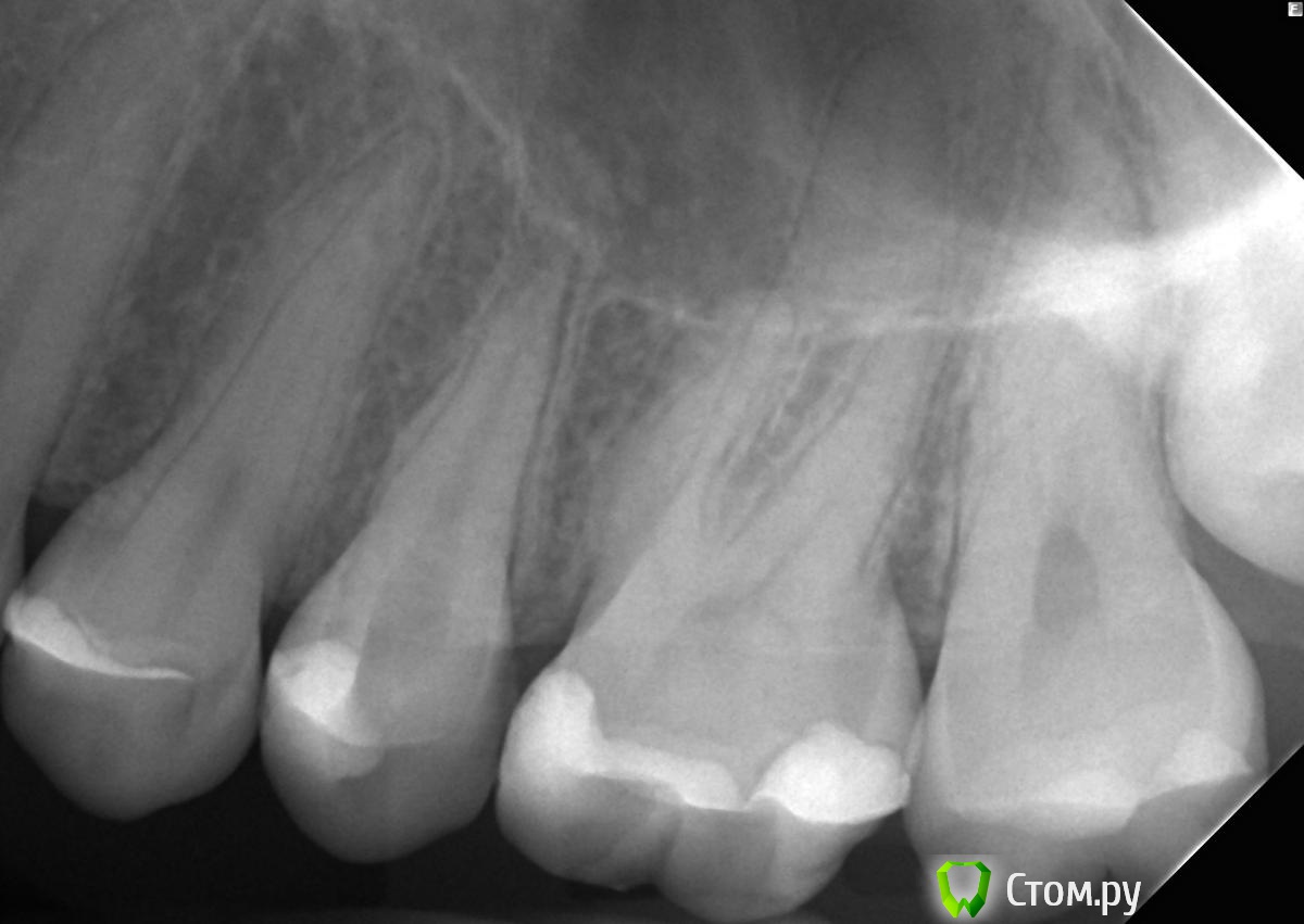
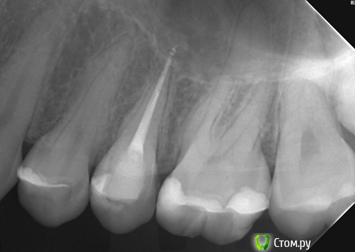
felicidade Опубликовано 18 июня, 2014 Поделиться Опубликовано 18 июня, 2014 Добрый вечер! Сегодня утром мне мой словенский стоматолог запломбировал канал 25-ого зуба. Я, конечно, не стоматолог, но мне кажется, что у меня теперь из корня выглядывают обломок файла и гуттаперча :-( Уважаемые специалисты, скажите, пожалуйста, правильно ли была проведена пломбировка канала? И если нет, то как это можно исправить? Прилагаю снимок зуба до и после пломбировки (17 и 18 июня, соответственно). Спасибо большущее заранее! Ссылка на комментарий
sydnik Опубликовано 18 июня, 2014 Поделиться Опубликовано 18 июня, 2014 Добрый вечер!ничего страшного ,незначительное выведение пломбировочного материла.а сколько каналов доктор запломбировал, не говорил? Ссылка на комментарий
felicidade Опубликовано 18 июня, 2014 Автор Поделиться Опубликовано 18 июня, 2014 Sydnik, спасибо вам огромное за быстрый ответ, немного отлегло! :-)Канал запломбирован один. До этого была у итальянского врача (живу в Италии, но езжу лечить зубы в Словению), тоже сказал, что один. Ещё была вчера у специалиста-эндодонта в Любляне по поводу перелечивания других каналов и заодно попросилась на пломбировку этого 25-ого зуба, но мне было сказано, что канал только один, и в нём сложно напортачить. Так что я была уверена, что канал точно один.. Ссылка на комментарий
sydnik Опубликовано 18 июня, 2014 Поделиться Опубликовано 18 июня, 2014 felicidade и в нём сложно напортачить очень сильно надо захотеть Ссылка на комментарий
diesel87 Опубликовано 18 июня, 2014 Поделиться Опубликовано 18 июня, 2014 А как ощущения? Накусываить на зуб не больно? Ссылка на комментарий
faity Опубликовано 19 июня, 2014 Поделиться Опубликовано 19 июня, 2014 Добрый вечер! ничего страшного ,незначительное выведение пломбировочного материла. а сколько каналов доктор запломбировал, не говорил? верхушки 2 штуки, за обе вышли, ты из-за облачков про канал спросил? felicidade вам нужно сделать снимок в другой проекции, как бы сбоку, и естественно выложить его нам) Ссылка на комментарий
felicidade Опубликовано 19 июня, 2014 Автор Поделиться Опубликовано 19 июня, 2014 Т.е. вероятно, что тут целых 2 корня? Блин :-(Жевать не больно, зуб после депульпации (начало мая) ни на что не реагирует. А можно ли сделать, допустим, CBCT, если рентгеном не получится сделать снимок в другой проекции? У меня сильный рвотный рефлекс, каждый рентген - пытка :-( Ссылка на комментарий
sydnik Опубликовано 19 июня, 2014 Поделиться Опубликовано 19 июня, 2014 (изменено) faity ты из-за облачков про канал спросил?да, насторожили Изменено 19 июня, 2014 пользователем sydnik Ссылка на комментарий
faity Опубликовано 19 июня, 2014 Поделиться Опубликовано 19 июня, 2014 Т.е. вероятно, что тут целых 2 корня? Блин :-(Жевать не больно, зуб после депульпации (начало мая) ни на что не реагирует. А можно ли сделать, допустим, CBCT, если рентгеном не получится сделать снимок в другой проекции? У меня сильный рвотный рефлекс, каждый рентген - пытка :-(корень может быть и один, а верхушки может быть дведелайте прицельник в другой проекции если хотите, для подавления рвотного рефлекса попросите доктора смазать линию А гвоздичным маслом или эвгенолом. Ссылка на комментарий
felicidade Опубликовано 19 июня, 2014 Автор Поделиться Опубликовано 19 июня, 2014 корень может быть и один, а верхушки может быть дведелайте прицельник в другой проекции если хотите, для подавления рвотного рефлекса попросите доктора смазать линию А гвоздичным маслом или эвгенолом.Ух ты, спасибо вам за разъяснение! Обязательно озабочусь более информативным снимком. Ссылка на комментарий
DokDent Опубликовано 19 июня, 2014 Поделиться Опубликовано 19 июня, 2014 если рентгеном не получится сделать снимок в другой проекции? У меня сильный рвотный рефлекс, каждый рентген - пытка :-( Для устранения рвотного рефлекса можно использовать местные анестетики для аппликационной анестезии (гели,спреи). При сильном его проявлении могут помочь препараты от укачивания. Ссылка на комментарий
faity Опубликовано 19 июня, 2014 Поделиться Опубликовано 19 июня, 2014 Для устранения рвотного рефлекса можно использовать местные анестетики для аппликационной анестезии (гели,спреи). При сильном его проявлении могут помочь препараты от укачивания. от нанесения геля иногда подташнивает, проверял) а спреем тоже хорошо идет, септодонтовским вообще отлично Ссылка на комментарий
felicidade Опубликовано 19 июня, 2014 Автор Поделиться Опубликовано 19 июня, 2014 Прощу прощение, но только сейчас вспомнила, что у меня имеется апрельская ОПТГ, там вроде бы как раз 25й зуб виден немного под другим углом. Новый снимок, я, безусловно, сделаю, но, может, пока и благодаря ОПТГ что-то уже становится яснее?.. http://i062.radikal.ru/1406/42/8de5c832a66e.jpg Ссылка на комментарий
DokDent Опубликовано 19 июня, 2014 Поделиться Опубликовано 19 июня, 2014 похоже что всё-таки 2 Ссылка на комментарий
DokDent Опубликовано 19 июня, 2014 Поделиться Опубликовано 19 июня, 2014 от нанесения геля иногда подташнивает, проверял) а спреем тоже хорошо идет, септодонтовским вообще отличнобывает и такое Ссылка на комментарий
Рекомендуемые сообщения
Для публикации сообщений создайте учётную запись или авторизуйтесь
Вы должны быть пользователем, чтобы оставить комментарий
Создать аккаунт
Зарегистрируйте новый аккаунт в нашем сообществе. Это очень просто!
Регистрация нового пользователяВойти
Уже есть аккаунт? Войти в систему.
Войти