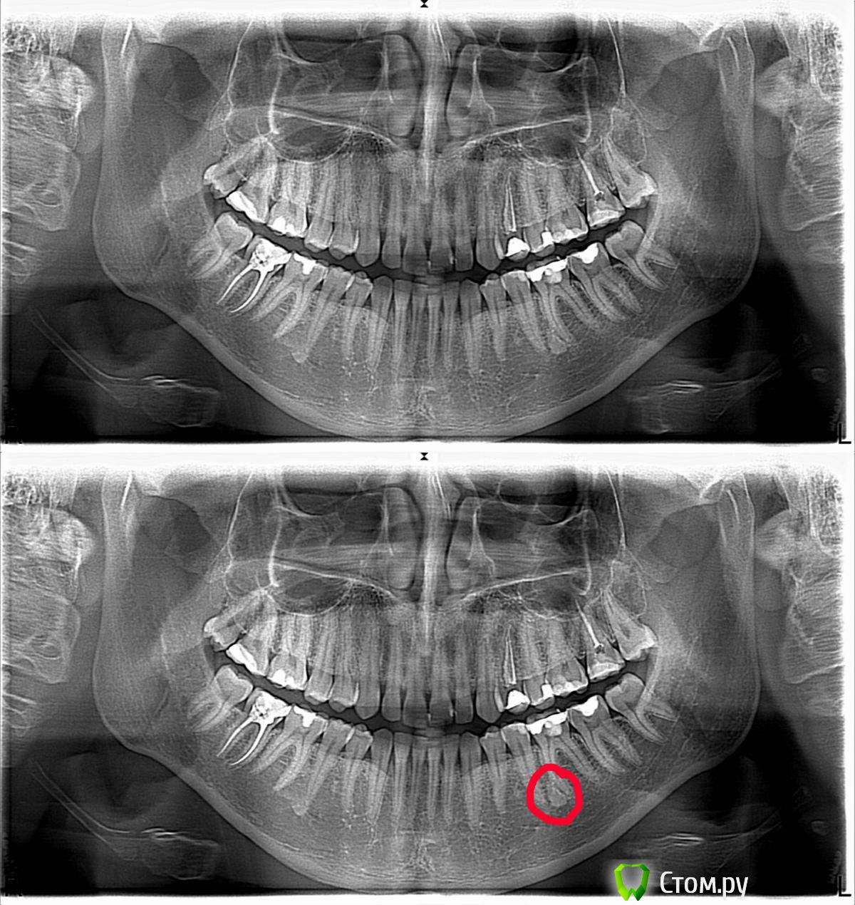
mzza Опубликовано 2 июня, 2014 Поделиться Опубликовано 2 июня, 2014 (изменено) День добрый уважаемые Врачи. Прошу прощения если покажется что расплодил тему ... просто не знаю к хирургии это или к терапии... Сегодня в очередной раз посетил стоматолога. В очередной раз с "фантомной" болью. Зуб и раньше эпизодически реагировал на боль. В 2010 г. был сделан рентген, ничего аномального замечено не было (на тот момент). Сегодня сделал снимок, и при сличении архивного и свежего была выявлена странная белая область... После этого отправили меня делать панарамное фото.Коротко о зубе. Внешне без заметных проблем, реагирует на воздух под давлением. При этом после воздействия боль сразу проходит (не ноит). Больно когда стискиваешь сильно зубы или жуешь активно что-либо... больно от мороженого, ноит только тогда когда застудишь ноги.... ПОВТОРЮСЬ.. как перстаешь воздействовать - боль проходит. Ещё из приятного... прочищая зубной нитью полость между зубами часто выявляется сладковатый гнилистый запах от нити (на остальных зуба такого нет). Вот собственно панорама... Римские развалины Завтра идти показывать снимок... и принимать решение как дальше с зубом поступить...Чтобы не ошибиться с диагнозом и не потерять зуб / жизнь / время / деньги ... подскажите что делать... Жуткий смайлик получился... Изменено 2 июня, 2014 пользователем mzza Ссылка на комментарий
Гарриевич Опубликовано 2 июня, 2014 Поделиться Опубликовано 2 июня, 2014 В том месте, между зубами, застревают микросопиеские остатки пищи, отсюда и запах и привкус. 6 зубе скорее всего периодонтит, а рядом на 5 кариес 1 1 Ссылка на комментарий
DokDent Опубликовано 2 июня, 2014 Поделиться Опубликовано 2 июня, 2014 Ноет когда замёрзнут ноги скорей всего 6-ка, а кратковременные боли возможно даёт 7-й. Белое пятно скорей всего остеомка (ну как бы уплотнение костной ткани). 1 Ссылка на комментарий
shishok Опубликовано 3 июня, 2014 Поделиться Опубликовано 3 июня, 2014 Аналогичное уплотнение и в области верхушки 45 зуба. Ссылка на комментарий
Alexey Doc Опубликовано 3 июня, 2014 Поделиться Опубликовано 3 июня, 2014 Белые области на ваших снимках - очаги остеосклероза. Не требуют лечения 3 Ссылка на комментарий
mzza Опубликовано 5 июня, 2014 Автор Поделиться Опубликовано 5 июня, 2014 Спасибо за ответы. Зуб депульпирован... Жду что будет дальше. Ссылка на комментарий
mzza Опубликовано 5 июня, 2014 Автор Поделиться Опубликовано 5 июня, 2014 Сегодня пломбировали каналы под анастезией ... и было дюже больно, когда дочищали один из кналов ... анастезия не помогда заблокировать боль. Есть предположение... ныть зуб будет и дальше... но время покажет. Даже Врач сказал.... "Странно" но продолжил начатое ...Забавно... но в зубе уже сидит 8 тэ рэ... жду окончательного 3-го приема... думаю что в итого будет около 10 .Жалею что не стал врачом стоматологом ... или паталогоанатомом ... профессии, которые в любой кризис будут востребованны.... Ссылка на комментарий
DokDent Опубликовано 5 июня, 2014 Поделиться Опубликовано 5 июня, 2014 Сегодня пломбировали каналы под анастезией ... и было дюже больно, когда дочищали один из кналов ... анастезия не помогда заблокировать боль. Есть предположение... ныть зуб будет и дальше... но время покажет. Даже Врач сказал.... "Странно" но продолжил начатое ...Забавно... но в зубе уже сидит 8 тэ рэ... жду окончательного 3-го приема... думаю что в итого будет около 10 .Жалею что не стал врачом стоматологом ... или паталогоанатомом ... профессии, которые в любой кризис будут востребованны.... Стоматология-очень расходная не только для пациента, но и для доктора Ссылка на комментарий
mzza Опубликовано 6 июня, 2014 Автор Поделиться Опубликовано 6 июня, 2014 Уря. Зуб доделан. Жду окончательного исчезновения болей. Ссылка на комментарий
Рекомендуемые сообщения
Для публикации сообщений создайте учётную запись или авторизуйтесь
Вы должны быть пользователем, чтобы оставить комментарий
Создать аккаунт
Зарегистрируйте новый аккаунт в нашем сообществе. Это очень просто!
Регистрация нового пользователяВойти
Уже есть аккаунт? Войти в систему.
Войти