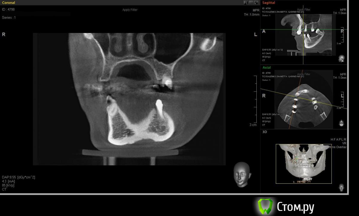
Евгений Ходыкин Опубликовано 20 мая, 2014 Поделиться Опубликовано 20 мая, 2014 Коллеги, прошу помощи в определении варианта аугментации в области 1.4 для адекватной в протетическом плане постановки имплантата. Адекватно ли здесь будет расщепление гребня при той оси импланта, которую я схематично выставил? Всем заранее спасибо) Ссылка на комментарий
АнтонТЛТ Опубликовано 20 мая, 2014 Поделиться Опубликовано 20 мая, 2014 Тонкий имплантат и НКР. Угол позиционирования имплантата делал бы другой. 4 Ссылка на комментарий
Евгений Ходыкин Опубликовано 20 мая, 2014 Автор Поделиться Опубликовано 20 мая, 2014 Если сделать по гребню, ангуляция на абатменте более 15 выходит, рассматривал этот вариант) Ссылка на комментарий
АнтонТЛТ Опубликовано 20 мая, 2014 Поделиться Опубликовано 20 мая, 2014 А в чем проблема ангуляции более 15 градусов? 2 Ссылка на комментарий
carloss Опубликовано 20 мая, 2014 Поделиться Опубликовано 20 мая, 2014 Если сделать по гребню, ангуляция на абатменте более 15 выходит, рассматривал этот вариант)а что мешает сделать на 15 градусном абатменте?.. и ради этого идти на намного более объёмную хирургию? 3 Ссылка на комментарий
carloss Опубликовано 20 мая, 2014 Поделиться Опубликовано 20 мая, 2014 А в чем проблема ангуляции более 15 градусов?вместе)) 1 Ссылка на комментарий
Евгений Ходыкин Опубликовано 20 мая, 2014 Автор Поделиться Опубликовано 20 мая, 2014 а что мешает сделать на 15 градусном абатменте?.. и ради этого идти на намного более объёмную хирургию?Сорри, если заблуждаюсь конечно, но более 15 уже не есть гуд касательно аксиальной нагрузки на имплант. А если все-таки ставить его "правильно", что подскажете?) Ссылка на комментарий
АнтонТЛТ Опубликовано 20 мая, 2014 Поделиться Опубликовано 20 мая, 2014 А как же абатменты 25 градусов? 1 Ссылка на комментарий
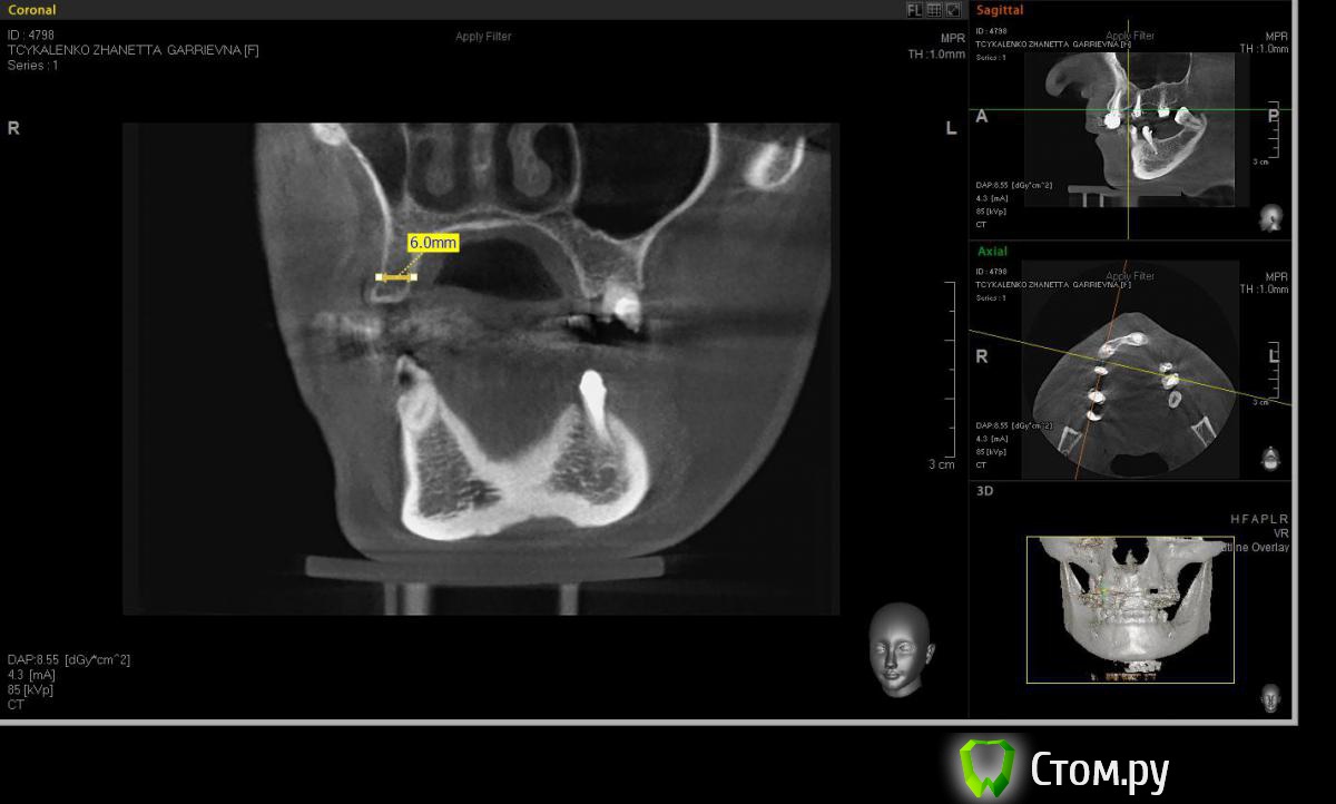
Евгений Ходыкин Опубликовано 20 мая, 2014 Автор Поделиться Опубликовано 20 мая, 2014 Замерил... Ссылка на комментарий
АнтонТЛТ Опубликовано 20 мая, 2014 Поделиться Опубликовано 20 мая, 2014 А теперь замерьте угол в районе 15 зуба через фиссуру Ссылка на комментарий
Евгений Ходыкин Опубликовано 20 мая, 2014 Автор Поделиться Опубликовано 20 мая, 2014 Ну как-то так. Сути не уловил) Свой зуб стоит совсем иначе, да и ширина гребня иная совсем... Ссылка на комментарий
АнтонТЛТ Опубликовано 20 мая, 2014 Поделиться Опубликовано 20 мая, 2014 Суть в том, что изначально не правильно угол замерили 1 Ссылка на комментарий
Евгений Ходыкин Опубликовано 20 мая, 2014 Автор Поделиться Опубликовано 20 мая, 2014 Суть в том, что изначально не правильно угол замерилиДак изначально я замерил строго по гребню, в условиях наибольшей ширины гребня, там угол под 30 и выходил. При ангуляции как у 1.5 у меня и получается дефицит кости, что примерно изобразил на схеме постановки имплантата. Поправьте, если не прав... Ссылка на комментарий
АнтонТЛТ Опубликовано 20 мая, 2014 Поделиться Опубликовано 20 мая, 2014 (изменено) http://s020.radikal.ru/i709/1405/bf/58f905f85d1d.jpgКоронка не совсем получилась, но как-то так))) Изменено 20 мая, 2014 пользователем АнтонТЛТ Ссылка на комментарий
Евгений Ходыкин Опубликовано 20 мая, 2014 Автор Поделиться Опубликовано 20 мая, 2014 Коронка я бы сказал на что получилась похожа ... А фиссурно-бугорковый контакт не подразумевается?) Ссылка на комментарий
Евгений Ходыкин Опубликовано 20 мая, 2014 Автор Поделиться Опубликовано 20 мая, 2014 Антон, если правильно понял, пойти по направлению гребня, конденсорами можно подрасширить ложе, поставить винт. При необходимости нрк? Или обязательно лучше с ним? Ссылка на комментарий
АнтонТЛТ Опубликовано 20 мая, 2014 Поделиться Опубликовано 20 мая, 2014 На кт зубе не в прикусе, но фиссурно-бугорковый контакт подразумевается. А там не глубокий прикус?Сделайте Wax-up и хир.шаблон с направлением сверления. А какой диаметр импланата планируется? Думаю нужно с нкр. Ссылка на комментарий
Bier Опубликовано 20 мая, 2014 Поделиться Опубликовано 20 мая, 2014 Я бы тут ничего не делал, просто поставил бы имплантат и все. 5 Ссылка на комментарий
Mane Опубликовано 20 мая, 2014 Поделиться Опубликовано 20 мая, 2014 Работайте остеотомами для расширения ложа и получите авторасщепление :-)Сразу имплант плюс гингивоаугментация 3 Ссылка на комментарий
Евгений Ходыкин Опубликовано 21 мая, 2014 Автор Поделиться Опубликовано 21 мая, 2014 Ок, спасибо всем, кто откликнулся. Имплант хочу 3.8. Расширю ложе, насчет нкр значит буду смотреть по месту) Ссылка на комментарий
Чертков Александр Опубликовано 21 мая, 2014 Поделиться Опубликовано 21 мая, 2014 Евгений ХодыкинС дебютом! Зачем аву поменял? Сорри за оффтоп. Ссылка на комментарий
Евгений Ходыкин Опубликовано 21 мая, 2014 Автор Поделиться Опубликовано 21 мая, 2014 Евгений ХодыкинС дебютом! Зачем аву поменял? Сорри за оффтоп. Спасибо, Саныч! Поменял ввиду неспокойной политической ситуации в сопредельных государствах, дабы не разжигать тут... Ссылка на комментарий
Чертков Александр Опубликовано 21 мая, 2014 Поделиться Опубликовано 21 мая, 2014 Спасибо, Саныч! Поменял ввиду неспокойной политической ситуации в сопредельных государствах, дабы не разжигать тут... Ссылка на комментарий
АнтонТЛТ Опубликовано 21 мая, 2014 Поделиться Опубликовано 21 мая, 2014 Ок, спасибо всем, кто откликнулся. Имплант хочу 3.8. Расширю ложе, насчет нкр значит буду смотреть по месту)Можно потоньше поставить Ссылка на комментарий
Bier Опубликовано 21 мая, 2014 Поделиться Опубликовано 21 мая, 2014 Остеотомы имхо, без пролов ничего не расширяют, а лишь уплотняют. Не надо тут никакого НТР, не откидывайте лоскут. 1 Ссылка на комментарий
Рекомендуемые сообщения
Для публикации сообщений создайте учётную запись или авторизуйтесь
Вы должны быть пользователем, чтобы оставить комментарий
Создать аккаунт
Зарегистрируйте новый аккаунт в нашем сообществе. Это очень просто!
Регистрация нового пользователяВойти
Уже есть аккаунт? Войти в систему.
Войти